3Dプリンターで仮り歯作製
パソコンソフト上でだと何でもできてしまう、、、とはちょっと言い過ぎですが(笑)
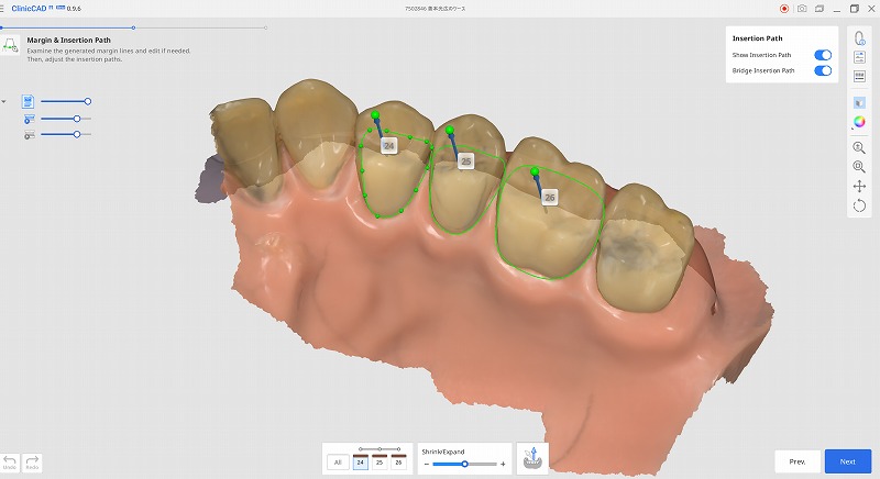
例えばこんなケース
4番目5番目6番目の歯を削って被せなければならない場合は事前に仮の歯を用意しておかなければなりません。
今までだと型どりして、石膏模型を削ってレジンで仮の歯を作っていくという熟練作業でした。
CADソフトを使用するとパソコン上で仮の歯を作ることができます。
部位を選択して2~3回クリックしていくと、、、、
パソコン上で作成できました。
あとは3Dプリンター任せ、、、、というわけです。
出来上がりの仮の歯がこれ!!
どこで一番人的労力がいるかというと、3Dプリンターの後片付けなんです。
これが結構厄介^^;





