November 08, 2010
私はウィリアムテル(‥ )ン?
今から30年前の歯科診療。
術者が立位診療から座位診療へと移行する時期ではなかったかと思います。
と言ってもあまりピンとこないと思いますが、昔の歯医者さんは立って診療をしていました。
立って診療をするということは、歯を削る機械のエンジンを回す為に、片足でペダルを踏みます。
必然的にもう一方の足で全体重を負担します。
さらに前かがみになり首を斜めに曲げての診療。
精密な仕事をする時にする姿勢ではないですよね。
そこで考えられたのが座位での診療。
足への負担は軽減したものの、腰と首を曲げて覗き込むという診療姿勢は変わっていませんでした。
その当時、Dr.ビーチという方がミラーテクニックによる、ホームポジション診療というのを提唱されました。
術者は座って背筋を伸ばし、胸を張り、一切腰や首を曲げて口の中を覗きこまない。
腕は脇を閉めて、90度に保つ。
その姿勢で直視できない部位は、デンタルミラーで鏡越しに歯を見ながら削るという今まででは考えられない診療姿勢。
広島大学歯学部保存学教室の当時の教授は学生にそのポジションでの診療を実習させました。
まともに削ることさえ出来ない学生に、ミラー越しに歯を削らせる( もちろん模型で )とい実習は不満だらけでした。
『ウィリアムテルみたいに、鏡を見ながらなんてできるわけない!!』
当時の私もその考えで、実習担当の先生の目を盗んでは覗き込みながら歯を削っていました。
でも不思議なもので慣れればこれほど楽で、しかも精密な作業が出来る診療姿勢はありませんでした。
しかしこの診療姿勢はスタッフの協力無しにはできない診療。
すなわちこの診療姿勢は、歯科医師一人での診療から、チームでの診療へと移行するきっかけになったといっても過言ではないと思います。
当時の先生たちの熱心な教育のおかげで、今のスムースな診療、そしてチーム作りの基礎ができたと感謝しています。
写真右の小さなミラーがビーチミラー。
口の中で歯を見ながら削るのに、左のような大きなミラーは邪魔になってしまいます。

投稿者 yoshimoto : 07:00 AM | コメント (0)
October 28, 2010
思い出は、クリスピー・クリーム・ドーナッツ
あれから一年経つのかぁ~。
去年の10月25・26・27日、韓国への院内旅行。
しかも善本歯科医院では、17年ぶり。
そう私が院長になって初めての院内旅行でした。
過去のブログのページにその時の様子が詳しく載っておりますので、暇な時読んでみてくださいね。
一年を記念して(*゜・゜)ンッ?スタッフに、クリスピー・クリーム・ドーナッツをプレゼントしました。
なぜ韓国旅行の思い出がドーナッツなのか、このページを読んで頂ければ分かると思います。
今度の院内旅行はいつになるかな?
今年の2月に結婚退職した元スタッフ・衛生士リカにもこのドーナッツ食べさせてあげたかったナァ~

投稿者 yoshimoto : 07:56 AM | コメント (2)
October 25, 2010
愚痴なんていったこと一度もないですよ。( ̄ェ ̄;) エッ?
毎日、毎日、こつこつと真面目に、そして前を向いて愚痴を言わずに生活をしていけたらいいですよね。
仕事でも遊びでも、ついつい私は愚痴を言ってしまいます。
せめて好きな趣味世界に浸っている時でも、愚痴らずにいれたらなぁって思いますね。
『虫歯って歯を磨かないから出来るの?知らなかったなぁ~。歳のせいだと思っていた。』
と70歳くらいの人に言われた時、さてどう説明すればいいにだろうか?
『ゴルフはダメやなぁ!!おかげで歯がグラグラや。ゴルフなんてやるもんやない。』
と70歳くらいの人に言われた時、さてどう説明すればいいのだろうか?
もちろんきちっと、虫歯になる原因、歯がグラグラになる原因を説明していますが、正直愚痴になっているかもしれませんねぇ。
そして半ば諦め口調に・・・
さて今日のブログは・・・愚痴でしたね。
(;´д`)
今日から一週間の始まり、今日の愚痴はこれで終わって、何事にも“ありがとう”の気持ちで過ごしましょう。
先日石垣の食べるラー油を頂きました。
小さな食堂で作られていたラー油。それが口コミでブレイクして全国区に・・・
コツコツと真面目に仕事していた結果でしょうね。

投稿者 yoshimoto : 07:13 AM | コメント (0)
October 18, 2010
えっ、どうして?
小さくて浅い虫歯。
これなら麻酔せずにいけるだろうと判断。
『もし痛かったりしみたら手を上げて教えてくださいね。』
何事も無く無事修了。
『先生、全然痛くなかったです。(^o^)』
『よかったですね。この次金属を詰めて終わりですよ。』
次回来院時、
『先生、しみて痛いです。(;´д`)』
『?????』
なぜだろうか?
なにも問題なかったはずなのに、どうしてしみてきたんだろうか?
何度も何度もその歯を診ても何も他に問題はない。でも?と思い特殊な光を当ててみると、歯にヒビが入っている。
もちろん削ったくらいでこの様なヒビは入らないので、以前から入っていたようである。
削る前にこのヒビに気付いていれば、事前にしみてくるであろうと説明できていたのに・・・
『先生、上の入れ歯を直してください。』
『下の入れ歯も合ってないですけど、下はいいんですか?』
『はい、上だけでいいです。』
作り変えるに当たり、よく観察すると上の前歯がかなり前に出ていて、下の入れ歯の前歯と噛み合っていない。
新しい入れ歯は綺麗に歯を並べ替えて、下の入れ歯としっかりと噛み合うものを作製。
『どうですか?』
『綺麗な歯並びになりました。ありがとうございます。』
数日してその患者様が入れ歯の調整で来院。
『先生。前歯で舌の先を噛んでしまって痛くて食事が出来ないんです。』
『????』
この患者様の以前の上の入れ歯は、前歯が出ていて下の入れ歯との間に隙間がありました。
その隙間に舌を入れて、下の入れ歯を押さえつけながらしゃべったり、食事をしていたため、きちっと上下を噛ませた為に舌を噛んでしまうことに・・・
結局は出っ歯の入れ歯に作り変えると、
『先生、以前と同じようによく食べれるよ。(^o^)』・・・と
『この前、奥に被せを入れてから食事がおいしくないんです。』
『?????』
どうみてもしっかりと噛んでいるし、左右前後に動かしても干渉せずに理想的な噛み合わせでセットしている。
でも、それなのにどうして??
3回やり直してもまったくだめ。
来院の度に、噛めないと訴えるのではなく、食事が美味しくないと訴えてくる。
4回目の再製の時、噛みあわせの理論を無視して作製。
『先生、美味しく食べれるようになりました。(^o^)』・・・と
毎日毎日、人の体の不思議と向かい合っているのが現状。
上手くいって当たり前。
上手くいかなければトコトンやりかえて当たり前。
こんな小さな金属の被せひとつで、食事の味が変わるのはどうしてなんだろうか?
未だに謎です。

投稿者 yoshimoto : 07:20 AM | コメント (0)
October 15, 2010
人と違う・・・って異常?
マスコミの影響ってとても大きいですね。
テレビで言っている事が全て真実。
ネットで書かれている事が全て真実。
また、極端なのが『知り合いから聞いたんだけど・・・』という知り合いの話が全て真実。
私の説明は間違っている・・と決め付けられてしまう患者様がここ2~3日増えています。
間違った考え方に、少し同調すると、
『私は癌ですか?』
となってしまい、また否定すると、
『他の人とは違うのになぜ問題ないんですか(゛ `-´)/ 』
となってしまう。
人とは違うから私は異常
人と同じだから私は普通
この考え方を少し変えてあげなければ、どうしても治療そのものが難しくなり、前に進めないですね。
舌をよく見てみてください。
周りが赤くて表面はやや白いです。
これが正常と言う意味ではありません。
私という人体にとっては、これが正常ということです。
人はそれぞれ違うということ。
違って当たり前であることを忘れないように・・・・
そして、“ あなた自身の普通 ” を探しましょう。

投稿者 yoshimoto : 07:15 AM | コメント (2)
October 14, 2010
歯の絆創膏
2週間ほど前に発表された記事。
近畿大(本津茂樹教授)と大阪歯科大(吉川一志准教授)の共同研究チームは28日、歯の主成分ハイドロキシアパタイトを0・005ミリの薄さでシート状に加工することに世界で初めて成功したと発表した。
本津教授らによると、ハイドロキシアパタイトは硬いがもろいため、薄く削っても曲げるとすぐ割れて加工が困難。極薄シートは、ばんそうこうのように歯にそのまま張り付けられ、歯質の修復や知覚過敏の治療に応用できるという。
知覚過敏に関しての治療薬は、数多く今までにも出されています。
『知覚過敏用のいい薬が出ましたよ。先生これはいいですよ。』
と出入りの歯科業者に言われてどれだけ多くの薬を買ったことか・・・
でも今までに使い切った薬はありませんでした。
それだけ知覚過敏を治すのは難しいですね。
もちろん神経を取ってしまえば症状はとれますが、それは最終手段ですからね。
知覚過敏用の歯磨き粉のコマーシャルをよく見ますよね。
このコマーシャルで女性の方が言っているセリフをよく聞いてみてください。
一言も知覚過敏が治るとは言っていません。
しみるのが、気にならなくなる・・・と表現しています。
でも一つの手段としてはいいと思います。
当院では、ハイドロアパタイトの入ったセメントで一時的に過敏箇所を封鎖して経過を診ています。
さて今回開発された“ 歯の絆創膏 ” 、とても興味はありますが、実際に複雑な歯にどのように巻きつけていくのかな?
抜歯した歯にセロテープを巻きつけようとしても、よれてしまい難しいのになぁ~。
実用化は5年後だそうです。
(;´д`)

投稿者 yoshimoto : 07:06 AM | コメント (0)
October 09, 2010
尖って痛い
『この間被せた歯が尖って、舌が痛いんですが・・削ってもらえますか?』
『この間被せたあとから、隣の歯の尖っているのが気になって・・・。削ってください。』
歯を被せたあと、数日してからこのように訴えてこられる患者様が時々いらっしゃいます。
明らかに被せを入れたあとで、その部位が気になり舌で触りすぎた為に起こる症状なのですが、それを説明してもなかなか納得してくれませんので、ほとんどのケースで、気なるところを削って様子をみてもらっています。
そのなかでも稀に、その隣も、その隣も、その隣も・・・・・
と延々に訴えて来られる患者様が・・・
皆さん一度よく歯を観てください。
結構歯って尖って鋭いものなんですよ。
だから噛み切ったり、噛み砕いたりデキルンデスガネ・・・
ちょとした変化がとっても気になりストレスになる。
少し削ってストレスが取れなら削る方法を選択していますが、実際には削るというより、少し丸めるといった表現の方が正しいかな。
本当に削ってしまうと噛む力が落ちてしまいますからね。
今年の夏の暑さで駐車中の車の中はおっそろしい程高温に・・・
8月の初め頃車に乗り込むと、プラスティックの破片が座席に散乱していました。
よーく調べてみると、サンバイザーに取り付けていたサングラスホルダーが暑さの為か、割れてしまっていました。
プラスティックが割れるかぁぁーー!!
ドンダケ暑いねん。
そのまま2ヶ月が過ぎますが、その後サングラスは座席に置いたりしていたため、気付かずに何度も私のお尻の下敷きになってしまい、グニャグニャに変形。
その都度、自分で修理。
サングラスホルダーを買えば済むのに、もったいないなぁ~なんて貧乏心。
昨日やっと、500円もする(?)サングラスホルダーを購入。
あーー2ヶ月前にすぐに買うんやったって今、後悔しています。
小さなストレスこそすぐに解消しないとね。
歯の悩みもすぐに相談です。
悩んでいて解決するならとことん悩んでください。
でも病気は悩むより相談です。
なにかいいアドバイスや処置があると思います。
『あーーとても楽になりました。\(*^▽^*)ノ 』
と喜んで帰ってもらえるよう私たちは努力努力の毎日です。

投稿者 yoshimoto : 07:22 AM | コメント (0)
October 06, 2010
歯ぐきで噛んだらええ
昼食中のある喫茶店での話
『 入れ歯なんて入れる必要なんてあるかいなぁ!!』
『そうそう、歯ぐきで噛んどったらええねん!!』
あぁぁぁああーーー、また始まった。
(;´д`)
今日は歯医者批判の日のようである。
以前このお店で、
『医者から貰った薬を信じて飲んだらあかんで。飲んだって医者には嘘ついとき』
と言った人が今日は入れ歯に関しての自論が始まったのでした。
『歯なんかに、お金かける必要があるかいなぁ!!』
『歯ぐきで美味しく食べれるやんか!!』
ついにはお店中のお客さんがどこどこの歯医者は・・・・
と名前が出始めました。
いつ、善本の名前が出るかとヒヤヒヤ。
幸いにも悪口の中に私の名前は出ませんでした。ヽ(´・`)ノ フッ
私の医院に、入れ歯を希望して来られる患者様がとても多いです。
歯ぐきで噛むより、どれだけ入れ歯で噛むほうが幸せかを当院の患者様は分かっています。
さらに入れ歯で噛むよりも、自分の歯で噛む方が幸せであることも理解してくれています。
噛み合わせる事ができることが、どれだけ大事な事か、理解して欲しいです。
でもその場で、多くのおば様相手に、
『それは違う(゛ `-´)/ 』
って言う勇気は私にはナイデスガネ。
多くの患者様が、早く入れ歯を入れて欲しいと待っています。

投稿者 yoshimoto : 07:15 AM | コメント (6)
October 05, 2010
当たり前
あるハンバーガーショップで、注文をした商品と違う物を渡されたことに気付かずに席へ・・・
開けてみて違う商品と気付き、店員に、
『これ注文した商品と違うんですが・・・』と言うと、
私の目の前で、その店員は謝罪の言葉もなくいきなり、
『私が悪いんですか??』・・・と
あるコーヒーショップで、受け取りカウンターで、私が注文したコーヒーが出てくるのを待っていると、後から来た人が次々と渡されて行く。
ついに待っているのは私だけになっても出てこない。
挙句の果てには、ずっと私がそこに立っているのを気付いているのに何も不思議に思わずに、店員同士雑談を始めてしまった。
『私の注文したコーヒーはまだですか?』と言うと、
『何注文しました??』
ハンバーガーショップでは、間違って出されたハンバーガーを叩きつけて、
コーヒーショップでは、レシートを叩きつけて、店を後にしました。
当然ながら二度とその店には行っていません。
絶対に間違い、失敗はありますよね。
間違い、失敗に対して、どうその時に対処するかがとても大事。
善本歯科医院でも同じことです。
医療上の間違いや失敗は必ず取り戻さないといけません。
誤魔化したり、嘘をつくと必ずいつかは分かってしまうことです。
今日セットしようとした、金属の詰め物がどうしても合わなかったとき。
まず最初に頭の中には、
“ どう言い訳しようか ”
という悪魔のささやきが一瞬よぎるのは事実です。
その悪魔のささやきを打ち消して、素直に謝り事実だけを患者様に報告し、理解をしていただければ、もう一度やり直す。
自慢することでもなんでありません。
当たり前のことですよね。
上手くいって当たり前。
上手くいかなければ、きちっと謝罪をして当たり前。
当たり前を続けて、当たり前・・・ですね。

投稿者 yoshimoto : 07:10 AM | コメント (0)
September 29, 2010
予防をつづけるには
『えーー、全然良くなってないんですね。ε- (´ー`*) フッ』
『変わり無しですかぁ?がんばってるのにナァ( -_-)フッ』
毎日予防の為に頑張って歯磨きをしているのに、どうしても結果が出なくて、落胆され発せられる叫びにも聞こえる訴え。
どのように導いて行けばいいのか、私たちが悩み苦しむ瞬間でもあります。
歯周病検査には、数値で示される検査があり数ヶ月前の検査結果と比べることができます。
その数値を見て、患者様は一喜一憂されます。
検査結果がいいと、とても嬉しそうな顔をされ、悪いと暗い顔に・・・
とても当たり前のことですが。
予防をしても、しなくても一緒だと言ってそこで止めてしまうと、必ず悪くなる一方です。
いかに現状維持が大事か、またいかに病気の進行速度を遅くさせるかが予防の第一のポイントであること。
このポイントを理解していただいた患者様は、どんな検査結果でも真っ直ぐに、素直に見て理解され、そしてますます予防意識を高めていかれます。
真っ直ぐに、素直に数値を見るって難しいことですね。
私はこの一ヶ月間、必死のパッチで筋トレを行なっていました。
ちゃんとトレーナーからメニューを頂き、それにそってトレーニングを行なっていました。
一日のメニューをこなすのに、一時間半から二時間はかかるメニュー内容でした。
でも一ヵ月後に測った体脂肪はほとんど変化無し。
まさに、
『えーー、こんない頑張ったのに(;´д`)』・・です。
この一ヶ月を振りかえってみると、最初の1週目は、
どんなことをするのかワクワクドキドキ。
2週目は、
メニューが増えたぞ。これから結果が出てくるんだろうなぁ。ワクワクドキドキ。
3週目は、
えーー、こんなにこなせるのかなぁ。しんどいなぁ~。( -_-)フッ
4週目は、
やってやろうじゃないかぁ。これで終わりだろ。
あのワクワクドキドキ感はいつどこで消えてしまったんだろうかぁって今思います。
結果だけを意識する。言われた事を仕事のようにこなす。
では面白くないですよね。
何事も面白さを忘れてしまっては長続きしません。
良いイメージを持って続けていきましょうね。
歯周病予防も、筋トレも・・(^o^)ゞ
そこで面白い質問をトレーナーにしてみました。
『トレーナーにとってパフォーマンスを最大限に引き出せる音楽は何ですか?』と・・・
『ここぞと言うときにスリップノットという音楽を聴くことです。』との返事。
さぁーーて、どんな音楽なのかYouTubeで調べてみると・・・
キャー!ビックリ!! (*゜ロ゜)ノミ☆(;>_<) バシバシ
という音楽でした。
でも私も今は筋トレ中にこれを聞いています。
そして一ヶ月っきりの筋トレでなくこれからも楽しく続けていくつもりです。
あっ、最後にこの音楽を聴きながら絶対に歯磨きはしないようにしてくださいね。
歯ぐきが痛んじゃいますよ。
``r(^^;)ポリポリ

投稿者 yoshimoto : 07:18 AM | コメント (0)
September 25, 2010
マウスピース作成方法・・・シール編
私がお世話になっております、ジム・FREE ROUD のトータルマネージャーとトレーナーに作製しましたマウスピース。
大体の作成法は分かっていただけましたか?
最後にシール入りのマウスピースの作成方法について説明します。
シールが目立つように、私はいつもクリアタイプのマウスピース用プレートを使用しています。
シール作製はコンピューターで行えますので大抵の事ができます。
好きな文字、写真、ロゴマークやイラスト等々を作製し印刷します。
今回耐水性ではないシールを購入してしまい一回目は大失敗。
そこでプリクラに使用する用紙を購入し印刷。
(・_・o)ン? (o・_・)ン? (o・_・o)ン?
おかしい(‥ )ン?
滲んでしまうし、指で触ると取れてしまいます。
なぜ???って感じでこれまた大失敗。
仕方なく今までどおり、写真用紙に印刷し、カッターナイフで切り出しそして両面テープを張ってマウスピースに貼り付けました。
・・・で終わってしますとマウスピースを口の中に入れると当然シールが剥がれてしまいますよね。
そこでシールを貼り付けた上からさらにマウスピースプレートを圧接していきます。
2層にすることにより、シールは剥がれることなくいつまでもきれいな状態でいられます。

さて今回作製したシールバーション・・・
まずは、トレーナー用
正面には相変わらずのワンパターンドクロにネーム(;´д`)

でも口蓋部分には、真正ジムのロゴを・・・

トレーナーは現在あの長谷川穂積選手の所属する真正ジムでプロを目指して日夜練習に励んでいます。
で、真正ジムのロゴをマウスピースに取り入れたというわけです。
さてFREE ROUND のトータルマネージャーのシールバージョンは・・・

やっぱりジムのロゴを全面に出していかないとね。(*^.^*)エヘッ
口蓋部分には、メキシコのボクシングブランド、REYESのロゴと、REYESのキャラクター、そしてお決まりのドクロを・・・

マウスピースは口の中だけを守る物ではなく、振動から脳を守り、そして脊髄を守る大切な物です。
お口に合ったマウスピースを着けましょうね。
\(*^▽^*)ノ ハーーイ

投稿者 yoshimoto : 07:23 AM | コメント (0)
September 24, 2010
マウスピース作成方法・・・その4
圧接されたマウスピースプレートを、マウスピース用の形にハサミで切り取ります。
そして先に用意しておいた、咬合器にそのマウスピースを装着。

そしてマウスピースの噛み合わせ部分をガスバーナーで軟化させます。

ある程度軟化させた時点で、決定しておいた噛み合わせの位置で固定します。

さてこれで出来上がりです。
あとは患者様の口腔内で微調節を行ないます。
今回作製したマウスピースです。
オレンジ・白、そして青・白・青のどちらも綺麗な色でかっこよかったですよ。
これを装着して思いっきり殴りあってくださいね。

投稿者 yoshimoto : 07:07 AM | コメント (0)
September 22, 2010
マウスピース作成方法・・・その3
さて患者様が希望する、マウスピース・プレートが届きました。
このプレートを器械に装着します。
一番下に歯型模型、真ん中にプレート、そして一番上が電熱器になっています。

この電熱器でプレートを軟化していきます。
プレートが弛んできているのが分かりますか?

適度に軟化した時点で、一気に模型上に圧接します。
この時模型の下から空気を吸い込む仕組みになっているため、プレートと模型の間が陰圧となり、完全に模型に密着されるわけです。
さてこれからがマウスピースを作製する上で一番大切な作業に入ります。
・・・・つづく

投稿者 yoshimoto : 07:15 AM | コメント (0)
September 21, 2010
度忘れ???
30歳前半まで、診療室に入ってこられる患者様の顔を見れば、瞬時に今までのその患者様の治療状況を思い出し、今日しなければいけない事が思い浮かびました。
その後顔を見てもピンとこなくなったものの、しかし口の中を覗いただけでカルテを見なくても、その患者様の治療状況が思い出せました。
いつからかなぁ~、今ではカルテを見ないと思い出せない事が多くなってきました。
記憶力は必ず落ちてきますよね。(^^ゞ
物忘れ、度忘れならいいけど、痴呆症となると大変ですね。
患者様の中には、やはり痴呆症の方がいらっしゃいます。
よくあることが、入れ歯を失くしてしまったり、どこかにしまいこんでしまうこと。
もしくは、古い入れ歯と、新しい入れ歯がゴチャゴチャになってしまい分からなくなってしまうこと。
本人にいくら説明しても無理なことですので、どうしても家族の手助けが必要となってきます。
われわれ歯科医師が出来ることは、食べる楽しみを提供していくこと。
歯科医師としての、ライフワークですね、
さて毎日がんばって筋トレを続けていますが、一つ困ったことが・・・
例えばバーベルを10回を上げる動作を1セットとして、それを6セット行なわなければならないとした時、
『えっ、今何セット目だっけ(‥ )ン?』
っていつも迷ってしまいます。
そこでそんなボケ防止の為に、カエルのマグネットを100均で購入。
1セットする度にマグネットを上に一つ移動させる。
どうです、完璧でしょ。
これで筋トレ途中で、何セット目か分からなくなることはなくなりますよね。
\(*^▽^*)ノ ハーーイ
でもマグネットを移動することを忘れたらどうしようか?
(*^.^*)エヘッ

投稿者 yoshimoto : 07:00 AM | コメント (0)
September 18, 2010
半年振りの食事会は神戸牛(?)
忙しい、忙しい・・・とばかり言ってスタッフと食事に最近行くのを忘れていました。
スタッフのがんばりに感謝して昨日は、神戸の肉を食べにステーキハウスへ・・・
神戸牛ではありませんよ。(≧≦)
神戸で食べることが出来る国産牛肉を食べに・・・
でもスタッフには神戸牛と嘘をΣ(='□'=)!?
ついつい時の経つのも忘れて、2時間半も居座ってしまいました。
最後にお決まりのかぶりもので記念撮影・

相変わらず私はかぶりものが似合いませんねぇ(〃'∇'〃)ゝ

投稿者 yoshimoto : 07:09 AM | コメント (0)
September 17, 2010
マウスピース作成方法・・その2
注文したマウスピースのプレートがまだ届いていないので、今朝は咬合器に模型を装着してみました。
上顎の歯型は二つ取ったので、一つはこの咬合器に取り付けます。

さてここで最終的にマウスピースを口の中に装着したときの噛みあわせの位置を決定します。
決定したのがこれ、

と言ってもどこがどうなのか分からないと思いますが、説明も難しいので省きますね。(*^.^*)エヘッ
これで準備は整いました。
後はプレートの到着を待つばかり・・・・
あっ、それとシール作りもしないといけませんね。
そう、おまけのマウスピースを作るのが私の楽しみの一つ。
今回はこんな感じで・・・(^^ゞ
投稿者 yoshimoto : 08:12 AM | コメント (0)
September 16, 2010
マウスピース作成方法・・その1
昨日私が通うジムの、トータルマネージャーとトレーナーがマウスピース作製に来院されました。
この機会に、善本歯科医院でのマウスピースの作り方に関して、数回に渡って紹介していきたいと思います。
まずは歯型を取ります。
マウスピースは原則上顎に装着するものですが、上下の歯型を取ります。
上下の歯型を取ることが、マウスピース作成上、重要なポイントとなってきます。
また、上顎の歯型は2個取ります。
これもまた重要なことなんですよ。
取った2個の上顎の歯型の模型処理を行なっていきます。
一つは中をくり抜いた模型。(写真右)
一つはくり抜かない模型。(写真左)

この中をくり抜いた模型をマウスピースを作製する器械にセットします。
この模型の上に厚さ3.5mmのプレートを装着して、模型に圧着させていきます。

まだ注文したプレートが届いていませんので、届き次第模型にどのようにして圧着させていくのか写真を撮って説明していきますね。
今回患者様が選ばれたマウスピースの色はこれです。
トレーナーのグローブがオレンジなので半ば強制的にこの色を勧めました。

トータルマネージャーはイタリア系(?)の端正な顔立ちなので、イタリア国旗の緑・白・赤のトリコロールにして欲しかったのですが、選ばれた色は、青・白・青の爽やかな色。

投稿者 yoshimoto : 07:36 AM | コメント (0)
September 15, 2010
毛先を使わないと
『その磨き方だと、どうしても圧がかかり過ぎて、歯ブラシの毛先が開いてしまい時間をかけてる割には、汚れが落ちないんですよ。』
『・・・・・・(‥ )ン?』
『どうしても力を入れてしまうようでしたら、ペンを持つ時のような握り方で歯ブラシを持ってください。』
『・・・・・(‥ )ン?』
『どうですか?』
『なんか磨けた感じがしなくて気持ち悪いナァ。もっとゴシゴシした方が磨けた感じがして気持ちがいいけどね。でもこれからはこのほう方法でやってみます。(^^ゞ』
『信じてやってみてくださいね。\(*^▽^*)ノ 』
歯ブラシの持ち方や歯磨きの仕方って誰から最初に教わったのかナァ?
当然親からですよね。
でもそのやり方正しかったのかなぁ?
虫歯予防の磨き方
歯周病予防の磨き方
皆さんは磨き方の違い分かりますか?
磨き方一つでお口の中の状態は確実に変わります。
歯ぐきや歯に感じる歯ブラシ圧の感覚だけで磨けたと判断するのは禁物ですよ。
\(*^▽^*)ノ ハーーイ
私が一年前に買って仕舞い込んでいたローラーを取り出してきました。
腹筋を鍛える道具なのですが、きつくて使えない為、お蔵入りしていました。
でもこの前買った本に、このローラーの正しい使い方が載っていたので読んでびっくりでした。
『えぇぇーーー、こうやって使う物だったんだぁぁヽ(´・`)ノ フッ』
で、4日前から正しい使い方をして腹筋を鍛え始めました。
効いているのがよーーく分かります。
正しい使い方をすることが何事においても大切であり、目的達成の早道ですよね。
はぁ~い♪ヽ(*^▽゜ *)ゞ^ ヾ☆

投稿者 yoshimoto : 07:05 AM | コメント (0)
September 14, 2010
白くなりました
『 白くなり始めましたぁ。ヾ(^▽^* 』
と、とても喜んだ顔をされて来院された患者様。
歯のホワイトニング(ブリーチング)をされて1週間。
色が落ちにくいかもしれませんねと私が言っていただけに、白くなり始めたことがとても嬉しかったんだと思います。
当院で行なっているホワイトニング(ブリーチング)の方法は、ホームブリーチングといわれる方法です。
その名のとおり、お家で行なってもらいます。
マウスピースの中にホワイトニング(ブリーチング)用のジェルを入れていただき、そのマウスピースを装着して就寝していただきます。
約2週間から3週間行ない終了です。
ホワイトニングの一番難しいところは、
患者様のイメージする歯の白さ・・・ですね。
明らかに色が落ちて綺麗な歯の色になったのに、
『 私が望んでいた白さではない。』
と落胆される患者様もいらっしいます。
事前にどの程度まで白くなるのか、色見本を見せて納得してもらってからホワイトニングは始めています。
ホワイトニングを始めて、一週間目に来院される時の患者様の顔を見るのはいつもドキドキします。
♪((O(〃⌒∇⌒〃)O))♪ドキドキ
このような容器に入ったホワイトニングジェルをお渡ししています。

投稿者 yoshimoto : 07:09 AM | コメント (0)
September 13, 2010
それは間違いです・・
『一番高い歯槽膿漏に効く歯磨き粉を使っているのに、どうして私が歯周病なんですかヾ(。`Д´。)ノ』
と歯周病と診断され激怒される患者様。
『毎日塩で磨いているから、心配ない。(`ε´)』
と言って歯ブラシ指導を拒否される患者様。
『これこの前治した歯なのになんで取れるんや。(゛ `-´)/ 』
と言ってこの前治した歯とはまったく違う歯を持ってこられる患者様。
全て、思い込みから来る勘違い。
丁寧に説明をして思い込みに気付いてもらい、
『あー、勘違いか(*^.^*)』
と分かってもらえる事がほとんどですが、頑として言い張り続ける患者様も・・・
思い込みに対して、『それは間違いですよ。』と言ってしまうと、相手との間に溝を作ってしまい、修復不可能にしてしまいます。
良い思い込みってあるのかなぁ??
ある意味間違ったことでも信じ続けることは幸せかもね。
もちろんそれが身体的に問題を起こす思い込みなら、すぐに分かってもらわないといけませんがね。
つい最近明らかな思い込みをされている患者様に、
『それは間違いです。』
って言ってしまった。
明らかなる私の失敗。その後延々と水掛け論に・・・
難しいですね。
最近の私のちっちゃな思い込みは、15年以上飲み続けているプロテインの話かな。
高い物が良いと思い込んでいました。
確かに高い物は良いのですが、何が高いから良いのかって考えたこともありませんでした。
高いプロテインはタンパク質以外に多くの栄養素を取り入れた複合型のプロテインだったんですね。
サプリメントで他の栄養素を別に摂取している人は、複合型のプロテインを摂る必要なんてないわけですよね。
医療従事者としてはあるまじきど素人的思い込みを、ずっとしていたということですね。
最近飲み始めたプロテインの栄養成分表です。
ね、実にシンプルでしょ。

投稿者 yoshimoto : 07:11 AM | コメント (0)
September 11, 2010
極悪???実はおちゃめな・・・
今日は早朝から、マウスピースを作っていました。
私が通うジムの元トレーナーのマウスピースです。
彼が選んだ色がこれです。

色はかなりの種類があります。
配色も、1色・2色・3色と色とりどりです。
自分のパフォーマンスが引き出せる、好きな色を患者様には選んでもらっています。
さてここまでは仕事上の話・・・・
このマウスピースだけで帰しては、善本院長の名がすたるってもんだぁ。ヾ(´ε`*)ゝ
極悪最強でも実はおちゃめバージョンのマウスピースもおまけに作っちゃいました。
正面には、アーミー風ネーム

口蓋部分には、ドクロ

これで止めとけばよかったのですが、どうしてもこれが入れたくて入れてしまいました。

というわけで、極悪最強でも実はおちゃめバージョンのマウスピースの出来上がり。
おまけですので、使うか使わないかは本人次第ですね。(;´д`)
いつの時代もおまけは捨てられる運命でしょうがねぇ。
``r(^^;)ポリポリ
マウスピースは分厚く作る必要はありません。
分厚くつくれば衝撃吸収が増すというわけでもなく、逆に口の中を切ってしまう原因となります。
それ以前に、分厚いマウスピースはパフォーマンスを下げてしまいますね。
なので今回はとてもお世話になったトレーナーですので、もう一つおまけを作りました。
マウスピースとしては一番薄い物になります。
私はほとんどこの厚さのを使用しています。

投稿者 yoshimoto : 06:56 AM | コメント (0)
September 07, 2010
鉄骨の体
『 被せに使っている金属は鉄ですか?』
(・_・o)ン? (o・_・)ン? (o・_・o)ン?
そっか結構普通の人は、
金属=鉄
と考えてしまうのかぁ。
『 使用している金属は、12%の金銀パラジュウム合金です。鉄だと金属の味がしますし、錆びてきますので使用しないんですよ。』
味がしない、錆びない、磁石がつかない、そして人体に害のない金属を使用しなければなりません。
仕事柄、毎日毎日金属を扱っていますが大きな鉄骨となると、まったくの専門外。
鉄骨
とても男心をくすぐる単語の一つですね。
ってもしかして私だけかもしれませんが・・・
インダストリアルで、男らしさが満杯って感じです。
``r(^^;)
鉄骨のいいところは、
金属の匂いと、錆び・・そして磁石が引っ付くことですね。
歯科用の金属とは真反対なところが魅力なのも不思議です。
秘密基地に設置された鉄骨。
邪魔ではないのに、異様なオーラを出しています。

そして、この鉄骨にカエルがやってきました?

私の鉄骨にへばりついて何かを持っていてくれてます。
筋トレ用のメニューを書いた紙をしっかりとマグネットで・・。
今日から新しいメニューでの筋トレの開始です。
メニューをこなして、鉄骨の体にならなければ・・
ねぇ。(*^^*ゞ

投稿者 yoshimoto : 07:17 AM | コメント (0)
August 31, 2010
日常的教育
日常、歯科治療に関して同業の歯科医師から、教育・指導を受けることはまずありません。
それは幸せな事なのかな?
大学を卒業し、広島大学歯学部・第二口腔外科に入局したとき、教育・指導の毎日でした。
毎日うんざりするほどの濃い内容の教育・指導。
自分の時間なんて一切ありませんでした。
でも、なりたい自分がそこにはあったので、がむしゃらに教育・指導を吸収しようとしていました。
大阪の歯科医院で勤務したときも、同僚と治療に関して議論を交わす毎日でした。
ここ、善本歯科医院に帰ってきたときも、父という大きな存在があり、教育・指導を受けていました。
ここ数年、日常で歯科医師から、歯科治療上の教育・指導を受けることはなくなりました。
歯科治療上の教育・指導を受ける手立ては、お金を出して講習会や学会に出席すること。
この行為・行動がめんどくさいと感じたときは、歯科医師を引退するときでしょうね。
日常、教育・指導が受けれることは、とても幸せなことだと思います。
私が数年前まで教育・指導を行なっていたジャッキー先生から残暑見舞いが届きました。
ちゃんとハブラシ指導できてるのかナァ(*^^*ゞ

投稿者 yoshimoto : 07:07 AM | コメント (0)
August 30, 2010
正確な記録をするには・・・
毎日毎日が記録の繰り返しです。
毎日毎日、日々変化する患者様の状況。
一人一人のカルテには様々な事が記録され残されています。

昭和62年以降からの患者様のカルテは全て保存されています。
このようなカルテ棚が、医院内のいたるところに増設され、正直もう新たにカルテ棚を設置する空間がなくなってしまいました。
カルテ。
この中に記録されたことは後の診療にも参考になる大切な内容。
間違った記載は、正しいこととして記録されてしまい、後々の診療の妨げとなってしまうため正確な記載がとても大切なことです。
それでも記載時に間違いが・・・
特に多い間違いは、右と左の歯の記載間違い。
月末にカルテ整理を行なっています。
まずはコンピューターで記載間違いをチェック。
そして、その後私がその月来院されたカルテを再度チェックし直し、間違った記載が記録として残らないように、出来るだけ記載間違いをゼロに近づける努力を行なっています。
記録に残すのは簡単ですが、
“ 正 確 な 記 録 ”
を残すことが医療現場ではとても大切なことですね。
三脚を購入しました。
筋トレのフォームや、ボクシングのフォームを残すために・・ヾ(´ε`*)ゝ エヘヘ
現在の自分のフォームが分からないと、どうしてもモチベーションがとりにくいですからね。
自分自身の写真はいっぱいありますが、そういえば自分自身の動画ってなかったなぁ~
初期のiPhoneには動画撮影機能がありませんでしたが、iPhone4では動画の撮影が出来ます。
この機能を使わないでいるのは勿体なぁ~って。
さらに動画編集アプリで簡単にiPhone上で編集も出来るとの事。
・・・・で、三脚購入ということに。
妻は、
『(キ▼д▼;) (;´д`) 』
正確な記録・・・が大切ですからね!!

投稿者 yoshimoto : 06:52 AM | コメント (0)
August 27, 2010
今日はリンスだけにしとこっと・・・
『今日は疲れたし時間がないから、シャンプーはやめて、リンスだけにしよっと』
(・_・o)ン? (o・_・)ン? (o・_・o)ン?
おかしいですよね。(〃'∇'〃)ゝ
リンスはやめて、シャンプーだけにしよっと・・・なら分かりますよね。
でもお口のこととなると、この常識が通用しない方が多くいらっしゃいます。
(;´д`)トホホ
『時間がないから、ハブラシはしていません。でも代わりにデンタルリンスを使ってうがいをしてるから大丈夫だよ!!』
・・・・やっぱり逆ですよね。リンスだけでは汚れを落とす効果はほとんど期待できません。
汚れが落ちていなければ、その中に住み着いている細菌を、デンタルリンスの効果でやっつけることなんてほとんど不可能。

歯の周りにはこのように、歯周ポケットという “ ポケット ”があります。
いわゆるポケットです。
歯周病菌で骨が溶かされると、この歯周ポケットは深くなります。
深くなったポケットは、いっぱい食べかすを溜め込みます。
溜め込んだ食べかすは、細菌の餌になりどんどん毒素を出していきます。
綺麗にシャンプー(歯磨き)をして、汚れを綺麗に落としてからリンス(デンタルリンス)をしましょうね。
そうすると効果が期待できますよ。

投稿者 yoshimoto : 07:28 AM | コメント (0)
August 26, 2010
あくまでも補助ですよ
歯科専用のサプリメントがあるのをご存知ですか?
免疫力を高めるサプリメントや、口腔内環境を改善するサプリメントや、歯科医師専用の目をサポートするサプリメントなどいろいろあります。
サプリメントを続けるのって結構難しいですよね。
実際に効果が出ているのかが分かりにくいのが一番の原因ですよね?
頭が痛くて鎮痛薬を飲めばすぐによくなるのに、サプリメントは最低でも3ヶ月は続けないと意味ないですからね。
それと値段が・・・・
効いているか効いていないかハッキリしない物に、高いお金を払い続けるのはしんどいですよね。
それでも私は7~8年続けているのが、ブルーベリー、ローヤルゼリー、マルチビタミン、DHA そしてプロテインです。
時々追加するサプリメントにアミノ酸があります。
アミノ酸の効果を老人ホームで試したテレビ番組を見てとてもびっくりしました。
寝たきりの老人で一番困ることが床ずれだそうです。
いくら介助の方が寝る方向を変えても、骨まで見えてしまうような床ずれがおこります。
その老人にアミノ酸を与えると、数ヶ月で床ずれが完治。
(ノ゜⊿゜)ノびっくり!!
また、寝たきりで起き上がることが出来なかった老人が、アミノ酸をとり続ける事により歩くことまで出来るくらいに回復。
(⌒▽⌒;) オッドロキー
アミノ酸パワーの秘めたる力に脱帽でした。
でも私が続いていない理由は、価格が高い・・・(;´д`)
昨日からアミノ酸の効果を試したくなりまた再開です。

効果の程は後ほど・・・
善本歯科医院受付にもあるサプリメントを置いています。
乳酸菌パワーで歯周病菌をやっつける!!!
LS-1
でもこれも結構高いんですよね。
サプリメントは、あくまでも手助けだということを忘れずに付き合っていきましょうねぇ。

投稿者 yoshimoto : 07:11 AM | コメント (0)
August 25, 2010
新旧融合の結晶
毎日の診療で、この治療をしない日はないという治療行為があります。
それは、歯の根っこの中の治療です。
歯の中には神経が通る、根管という穴が開いています。
その根管を綺麗に掃除して拡大していくという治療です。

基本的にはこのような古典的(?)器具で、15番~60番くらいまで拡大します。
ちなみにこの写真は40番の器具です。
でも根管は、真っ直ぐではなく湾曲しています。
さらに断面は円くはなくいびつな形。
こんな器具だけでは完全なる拡大清掃が不可能に等しいです。
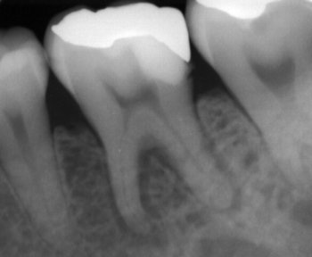
例えばこのレントゲン、

神経が通る穴、根管は左が湾曲し、右が根尖で右に振っています。
さらにやっかいなのが根管が異常に細いことです。
この根管を初めに示したような器具だけでは到底治療は上手くいきません。
そこで最新鋭(?)の器具を使用し、このように根管内に薬を詰めることができました。

でもこの治療は古典的(?)器具が無ければ成し遂げることができなかった、ということも付け加えておきます。
古いからダメ、新しいからイイ・・・ではなく、全ての器具の良い所取りをして治療に望むようにしています。
昔、筋トレ用のマシーンにとても憧れて、スポーツジムに入会しました。
あの最新鋭のマシーンを使えれば、マッチョ間違いなし!!
☆^v(*^∇')乂('∇^*)v^☆ヤッタネ!!
って感じでしたね。
でも実際にはそんな簡単なものではありませんでした。
器具がいくら最新鋭でも使うのは人間。
使いこなそうとする努力と継続がなければ、宝の持ち腐れですよね。
(;´д`)トホホ
筋トレ器具は古典的な物を使用し、最新の科学的根拠(?)にもとづいたメニューと、サプリを融合したトレーニングを始めてみようと思います。
Twitter と FaceBook を通じて知り合った方に指導を受けています。
(・_・o)ン? (o・_・)ン? (o・_・o)ン?
Twitte は分かるけどFaceBook は知らないって人が多いんじゃないですか?
私はTwitter では本名を名のっていませんが、FaceBook では本名を出していますので検索してみてくださいね。
って偉そうに言っていますが実はFaceBook 始めて5日ですがね``r(^^;)ポリポリ
なので見に行ってもほとんど何も書き込んでいません。
ヾ(^-^;) ゴメンゴメン
これが私が根管治療を行うためだけのワゴンです。
各引き出しにも色々器具や器械が入っています。
新旧融合の結晶・・・ですね。\(*^▽^*)ノ

投稿者 yoshimoto : 06:50 AM | コメント (0)
August 23, 2010
彫刻刃
大学の夏休み。広島から神戸に帰ってくると真っ先に顔を出したところが、ここ善本歯科医院の技工室です。
帰省すると善本歯科医院の技工士さんにいろいろと教わっていました。9時から18時までの間、技工士さんの横に座ってずっと見学。
あるとき、これ作ってみるかと渡されたクラウンのワックスアップ。
見よう見まねで、一つの模型を9時から18時までずっと触っていました。
その時に渡されたのが、この彫刻刃。

大学1年の夏から5年の夏まで帰省すると善本歯科医院・技工室で過ごしていました。
でもそのおかげで、同級生に比べると数段上の技工物を作るをことが出来る腕前に。
今でもその時渡された彫刻刃は大切に机の引き出しにしまっています。
もう本来の役目をすることはない彫刻刃ですが、大切な宝物の一つですね。

投稿者 yoshimoto : 06:55 AM | コメント (0)
August 21, 2010
覗いてみたい
覗いてみたいという衝動を抑えられない時ってありますよね?
私は毎日毎日、その衝動と戦っています。
(・_・o)ン? (o・_・)ン? (o・_・o)ン?
そう、歯の中を覗いてみたいという衝動と・・・・
歯の中を覗くにはレントゲンを撮れば簡単・・・
なんですが、
例えばこの歯、

レントゲンを撮ってみると、

このように写ります。
このレントゲンから、この歯は神経を取っている歯であると分かるものの、一箇所
“ 覗けてないところ ”
があります。
それは金属の中です。
金属はレントゲンを通さない為、真っ白に写ります。
この金属に隠れた部分で何が起こっているのかどうしても知りたいときがあります。
金属を外せばすぐに分かることなのですが、できれば外す前に正確な情報が欲しいというのが本音です。
外してみて、やっぱり想像通りだったという時もあれば、
(*゜・゜)ンッ?って時もあります。
覗いてみたい!!!
この衝動が抑えられません。(*^^*ゞ
さて皆さんは私の秘密基地が今どうなっているのか、覗いてみたくありませんか?
ちょっとだけ、
の・ぞ・か・せ・て・あ・げ・ま・す。
<(`^´)>エッヘン(^o^)ゞ

投稿者 yoshimoto : 06:56 AM | コメント (0)
August 20, 2010
暑さが過ぎてから・・・
『今日でこの歯の治療は終わりです。でもあと一本治さなければいけない虫歯がありますね。』
『治さないといけませんか(‥ )?』
『虫歯ですから治しておいた方がいいですよ。』
『10月になってからでは遅いですかね?今年の夏は暑くて、ここまで来るのが大変なんです。』
・・・・という会話が毎日のようにあります。
ご老人にとって今年の夏はやっかいなようですね。
(;´д`)
昨日のお昼から10日ぶりにジムで汗を流してきました。
いやぁ~、暑い!!
(;´д`)ゞ アチィー!!って感じです。
当然ながら、ε= (++ ) バテバテ!!で足が動かないし、愚痴ばっかり・・・・
私も帰り際、トレーナーに、
『練習を1ヶ月休んで、10月から再開しま~す。』
って冗談抜きでいいたくなるような暑さですよね。
(キ▼д▼;)
善本歯科医院に来院中のお年寄り・からだの不自由な患者様、そして暑さに弱い患者様へ、
『緊急を要する治療でなければ、一ヶ月先に延ばしても大丈夫ですよ。
でも歯磨きはしっかりして、何か痛みを感じたときは連絡くださいね。
それと、家の中でも熱中症になられる方が増えていますので、気をつけてくださいね。』
さて私はまだまだ少年!!
汗かいて走りまくりましょう!!
我家の蛙も暑さでおかしくなり、空を飛び始めました。
(-_-;)ホントカ・・・オイ

投稿者 yoshimoto : 07:03 AM | コメント (0)
August 16, 2010
イチローTシャツのわけ?
今日から、診療再開です!!
皆様のお盆休みはいかがでしたか?
私は家族とずっと一緒に過ごすことができ、のんびりと体を休めることができました。
\(*^▽^*)ノ
今朝、院長室のドアを開けると、目に飛び込んで来たのが、
イチローTシャツ
(・_・o)ン? (o・_・)ン? (o・_・o)ン?
どうして?
(*゜・゜)ンッ?
なんで?
あっ!!そういうことかぁーー
ハッハーン! (`Д´) ワカッタゾー!
背番号51・・ハッハーン! ヾ(`Д´)ゝ ソウイウコトカ!!

投稿者 yoshimoto : 06:58 AM | コメント (0)
August 11, 2010
お盆休み
お盆休みのお知らせ
8月12日(木)~15日(日)まで休診致します。
投稿者 yoshimoto : 05:41 PM | コメント (0)
患家で長話
昨夜久しぶりに、
“ 滝のある家 ” へ往診に行ってきました。
私の医院から車でわずか10分のところに、こんなに自然に囲まれた、そして滝があるお家があるなんて・・・
(⌒▽⌒;) オッドロキー
患者様の家の呼び鈴を鳴らす前に、しばらく滝の前で、
“ マイナスイオン浴 ”を・・・
五感で気持ちよさを感じ取れる瞬間です。
ずーーと、この場で楽しんで居たかったけど、私を待っている患者様が、ここから15秒のところにいらっしゃるので、自然のエネルギーを50%ほど充填したところで患家へ・・・
治療も無事終わり、アイスコーヒーを頂きながら、患者様の趣味の仏像作りの話で盛り上がり、ついつい長居をしてしまいました。
いつも笑顔のおじいちゃん。
今日はおいしくご飯が食べられているかなぁ?
完全に森の中のお家です。

神戸市 須磨区 善本歯科医院
投稿者 yoshimoto : 06:03 AM | コメント (0)
August 10, 2010
“今、今、今すぐに・・・”
注文した商品が今日、明日中に手に入る。
なんとなくそんなことが当たり前のように感じるようになってきていますよね。
『えーー、納品に一週間もかかるの?それじゃ他あたります。』
なんて失礼なことを言ってしまったりすることもあります。
仕事場で使う日用雑貨は全て、ASKULという会社にネットで注文します。
朝10時までに注文すれば、その日の内に配達され、それ以降だと翌日に配達されます。
ASKUL(明日来る)ではなく、KYOUKUL(今日来る)と名前を変えてもいいくらいですね。\(*^▽^*)ノ
医療の現場でも、同じことが言えます。
患者様の立場からすれば、
病気は今日、明日中に治って欲しい!!
・・・ですよね。
でも、そんなことは無理と分かっているから、なかなか口に出して先生に言わないだけ。
でも患者様の気持ちは、
“今、今、今すぐに・・・”
毎日、毎日、患者様の、“今、今、今すぐに・・・”という気持ちを痛切に感じながら、頭を下げる毎日です。
iPhone4を手に入れて、1ヵ月半。
入手前から注文していた、iPhone4用のケースが昨日届きました。
注文してから1ヶ月半。
『どんだけかかってんねん。(;`O´)o』
『ドンダケ待たせるねん。(゛ `-´)/ コラッ!!』
ってなりますよね。
でも現実には商品が無いのだから仕方がないのにね。
(^o^)ゞ
分かってはいても、気持ちはそうなっちゃいますよね。
Phone4は電波問題で、ケースが品薄状態。
やっと届いた Egg Shell とうケースです。

神戸市 須磨区 善本歯科医院
投稿者 yoshimoto : 06:25 AM | コメント (0)
August 02, 2010
DENTAL ROOM
1959年に父がここ板宿に、善本歯科医院の看板を掲げ歯科医療を始め、そして、1994年から私が院長としてその看板を引き継ぎました。
半世紀に渡って、この土地で歯科医療を行なっていることになりますね。
初めて父が掲げた善本歯科医院の看板ってどんなんだったんだろうか?
なんとなく記憶の中にある看板は、黒い看板に、白か金の字で縦に、
善本歯科醫院
って書いていたかな?
忘れたナァ(‥ )ン?
写真があったら見てみたいですね。(^o^)ゞ
アメリカのテキサスで使われていた歯科の看板を見つけました。
DENTAL ROOM
(・_・o)ン? (o・_・)ン? (o・_・o)ン?
昔はCLINICやOFFICEと言わずに、ROOMだったんですね。
でもこんな看板を現在掲げていたら、怖がってだれも来ないですね。
(*´σー`)

神戸市 須磨区 善本歯科医院
投稿者 yoshimoto : 06:57 AM | コメント (0)
July 31, 2010
私の歯の色はA2です。
あなたの歯の色は何色ですか?
『私の歯の色は、ホワイトニングをした前歯はA2で、奥歯はA3です。』
(*゜・゜)ンッ?

これは私達歯科医師が歯の色を決めるときのシェードガイドです。
私の歯の色は、左から2番目か3番目のA2、A3という色です。
その色って白いですか?
って言われたら白くはないですよね。
白とは写真の左から6番目のB1という色です。
頭にこの白い色がイメージとしてあると、ほとんどの歯の色は黄色く見えます。
この前、患者様がセット予定の“かぶせ”を手にとって見て、
『こんなに私の歯って汚いのですか?』
と悲しそうな顔を・・・
でも口の中にセットしてして見て頂くと、
♪ヽ(*^▽゜ *)ゞ^ ヾ☆ といった顔をされました。
周りの色合いで、見え方が変わってきます。
セット予定の歯の隣の歯の色。
唇の色。
肌の色。
口を開けた時の歯の見える量。
笑ったときの口唇のライン。
笑ったときの口角の位置。
・・・・・・
そして、患者様の希望する歯の色のイメージ。
様々の要因を加味して歯の色は決定していきます。
同じ歯を見ていても、私と、患者様の見え方が全然違う場合がありますので、歯の色を決定するときはとても神経を使います。
患者様の\(*^▽^*)ノ が見れたときは、本当にホッとしますね。
さて先日のブログで紹介しました秘密基地に着けた、テーブルクロスを使用してのカーテン。
中からしか見ずに着けたのですが、夜、外から見てみると意外な見え方が・・・
表と裏、夜と昼、中と外、いろいろな角度から物事を見ることは大切ですね。
隠れて見えなかったことが見えてくることがいっぱいありますからね。

投稿者 yoshimoto : 07:00 AM | コメント (0)
July 30, 2010
入れ歯安定剤=テーブルクロス
15年前の震災の時、須磨区歯科医師会として避難所で歯科検診・歯科相談を行っていました。
避難所に歯ブラシセットを須磨区歯科医師会として配ろうと決めたとき、そのセットの中に入れ歯安定剤を入れるべきかどうかを議論したのを覚えています。

入れ歯安定剤は大きく分けて、3種類に分かれます。
粉状のもの、糊状のもの、そしてクッション性のものです。
簡単に使い道を説明しますと、入れ歯が外れやすい場合は、粉状か糊状の安定剤を、そしてガタガタして合わず痛い場合はクッション性の安定剤を使用します。
特に接着力のある糊状の安定材と、クッション性のある安定剤の使用は誤ると、益々トラブルの原因となってしまいます。
当時の混乱の中、一人一人に合った入れ歯安定剤を説明するのは無理と判断し、配る予定のハブラシセットの中に入れ歯安定剤を入れるのを断念したことを覚えています。
入れたほうがよかったかなぁ('_'?)...ン?
って今なら思います。
毎日毎日、少しでも快適な生活を模索して生きているなか、誰かの役にたったのでは??
あれから15年、周りの状況は変わっても、皆、少しでも快適な生活を模索して生きています。
私の歯科医師としての、知識・経験・能力が一人でも多くの人の、快適生活の一役を担えれば幸いですね。
\(*^▽^*)ノ ハーーイ
昨日インド雑貨店で、700円のテーブルクロスを買いました。
それを、私の秘密基地の窓のカーテンに使用してみました。
出来栄えを見て、
\(*^▽^*)ノ ♪ヽ(*^▽゜ *)ゞ^ ヾ☆
一人こんな感じの幸せに浸っていました。
私も、少しでも快適な生活を模索して生きている一人です。
今日も笑顔で・・・

神戸市 須磨区 善本歯科医院
投稿者 yoshimoto : 06:39 AM | コメント (0)
July 21, 2010
デジタル=忍耐
デジタル機器を自由に扱える、アナログ人間になりたい。
♪ヽ(*^▽゜ *)ゞ^ ヾ☆
と常々思っています。
デジタル機器を扱えることは、これからの医療では必然的なこと。
使えて当たり前、使えないことは医療人にとって罪かも??
往診に行っていつも思うことは、
『あの器具がここで使えればなぁ。』
『あの器械があればこんな治療簡単なのになぁ。』
『・・・・なのになぁ~』・・ばっかりです。
どれだけ普段いろいろな器具・器械に助けられているかを痛感します。
医療器具の進歩は、治療を簡略化し、治療成績を上げ、患者様はもちろんのこと、医療スタッフのストレスも軽減してくれています。
『あそこの先生、検査ばっかり!!いつ行っても血を抜かれる。』
『またレントゲン撮られた。被爆は大丈夫かね?』
『薬でおなかいっぱいやわ!』
お昼、食事をしていると隣から、こんな話し声ばかり聞こえてきます。
ちょっと耳が痛くて、食事も喉を通らなくなる思いをすることが多々あります。
``r(^^;)ポリポリ
医療人と患者様の間には、まだまだ溝があるのも事実ですね。
でも嫌がられても、必要性を説き、納得してもらえる努力を惜しむことの方が、罪だと私は思います。
ある知り合いの先生に、長文のメールを送ったとき、
『しっかし凄いなぁ~。こんな長文をわしが携帯で打とうとしたら、2時間はかかるわぁ。_(^^;)ゞ』
『実はこれはパソコンのキーボードで文章を打って、iPhoneのimapメールアカウントを使ってパソコンから送信しているんですよ?』
『(・_・o)ン? (o・_・)ン? (o・_・o)ン?』
私の大好きなこの先生の、('_'?)...ン?っていう顔を見るのがとても好きです。
ちょっと意地悪かな???
携帯から長文のメールを打つのは、やっぱり時間がかかり、めんどくさいですよね。
今このブログを書いている、このキーボードが使えればどれだけ楽か?っていつも思います。
で、BluetoothでiPhoneと接続できる超小型キーボードを買ってみました。
うぅぅぅーーーーん、ちょっとは打ちやすいかな?
慣れればもっと打ちやすくなるかも。
このくらいの大きさなら、iPhoneと一緒にポケットに入れて持ち運べるし便利ですねぇ。
もちん慣れればの話ですが・・・
デジタル機器を取り扱えるようになるには、忍耐力(?)がいりますよね。
レ( ̄ー ̄)ナットク!!( ̄^ ̄/)

神戸市 須磨区 歯科医院 善本歯科医院
投稿者 yoshimoto : 06:35 AM | コメント (0)
July 14, 2010
お勧めはありますか?
いっぱーーーい、ありますよ!!


歯を磨く為のギア、いっぱいあります。
こんなに、本当に必要なの('_'?)...ン?・・・って思われる方もいらっしゃると思いますが、その人、その人にとって最適な物、そして最適な種類があります。
それを提供できるのは、やはり私達歯科医師、そして歯科衛生士でしょう。
勧めてもやはり上手く使えず、従来の方法で磨いてしまう患者様が多いのも事実です。
たとえ嫌がられても根気よく説明していく、もしくは違う方法に変えて指導していく。
歯を磨くというだけなのに、決まった答えはありません。
その人の性格や、日常生活や、家族構成や、いろいろ考慮しての歯磨き指導となっていきます。
たかが歯磨きの話なのに、そんなに複雑なの???
(・_・o)ン? (o・_・)ン? (o・_・o)ン?
口の中の状態を知ることでその答えはでますよ。
\(*^▽^*)ノ ハイ!!
何事もまず知ること、知りたいと思うことから・・・ですよね。
Twitter で、
『お勧めのボクシンググローブはありますか?』
と質問されました。
この質問、とても私には心躍る質問でした。
ボクシンググローブなんて、みんな同じでしょ!!
って思われている方がほとんどでしょうが、実はまったく違います。
まったく違うと私は言ってますが、本当はちっちゃな違いかもしれません。
でもその違いを追及して、自分の用途にあったグローブを選んで使用すると、とてもとてもちっちゃな楽しさ、そしてちっちゃな満足感が得られます。
このちっちゃな事が続けていく原動力になって行きます。
私にボクシンググローブの話をさせたら、3時間はしゃべれるかも。
Twitter 140文字では到底説明できませんでした。
``r(^^;)ポリポリ
でもできるだけ説明させていただきました。
5ツイートで・・・ヾ(´ε`*)ゝ エヘヘ

投稿者 yoshimoto : 07:13 AM | コメント (0)
July 13, 2010
生涯研修とは
日本歯科医師会・生涯研修事業
・・・・ってご存知ですか??
日本歯科医師会会員以外の方で、この事業をご存知の方はおそらく皆無でしょうね。
例えば私が、歯科学術の勉強の為本を読んだり、学術講演会に出席した場合、インターネットを通じてこういう勉強をしましたよって日本歯科医師会・生涯研修事業に報告します。
そして、その勉強した内容の程度で単位がもらえます。
2年間である一定の単位を越えると、生涯研修達成という修了証がいただけるというシステムです。
(・_・o)ン? (o・_・)ン? (o・_・o)ン?
なんでそんなことをするの??って思われる方がほとんどかな?
私もその一人です。
さて生涯研修達成した修了証を頂くとなにかメリットがあるのか???
というと何にもありません。
そもそも勉強とは修了証をいただく為にするんじゃないですからね。
自分の為、それが患者様のためにつながっていくものですよね。
今年も修了証が送られてきました。
2012年9月30日まで有効というシール。
何が有効なのかな??
院内に貼るのもおかしいし、捨てるのもしゃくに触るし、机の引き出しにしまっています。
社会人になって一番感じたことは、“ 勉強ほど楽なことはない ”ですね。
勉強したことをいかに実践していくことができるか、これはとても難しいです。
でもこの修了証を見ると、心の中に、ちっちゃな、ちっちゃな達成感を感じるのも事実ですね。
``r(^^;)ポリポリ

投稿者 yoshimoto : 07:08 AM | コメント (0)
July 09, 2010
この前言ったよね??
『この歯の治療にかかると、治療が終わるまでに6~7回来院して頂かなければなりませんので、治療終了までに1ヶ月半ぐらい掛かりますよ。』
『1ヵ月半もかかりますか。でも仕方ないですねお願いします。』
『はい、分かりました。それでは始めて行きましょう。』
と説明を行い、同意の下治療を始めるも、次回来院時・・・
『今日の治療はこれで終わりますね。』
『( ̄△ ̄;)エッ・・? 今日で終わりじゃないんですか?』
『('_'?)...ン? この前、治療に1ヶ月半はかかりますよって説明しましたよね?』
『ハイ、それでも今日終わると思っていました。( -_-)フッ』
充分な説明の上、同意を得ているはずなのに、このような会話が生まれてしまうのはなぜだろうか?
骨粗鬆症の薬(ビスフォスフォネート薬剤)を飲まれている患者様の歯を抜いたりすると、抜いた部分の骨の一部が壊死したり、骨髄炎を起こすことがあります。という注意書きを善本歯科医院待合室に掲示しています。
・・・と以前このブログに書いたとき、ある方から
待合室にそんなことを掲示することは、むやみに患者様の恐怖心をあおっているのでは・・・と
私は医療人としてそうは思いませんでした。
きちっと情報を提供し、分かってもらえる努力をし続けることが大事だと思っているから・・・
たとえ、説明しているにも関わらず、聞いていないと言われようが、労を惜しまず説明し続けることが大事だと思います。
この前言ったのになぁぁぁーーーε- (´ー`*) フッ って全身の力が抜けてしまいそうになる脱力感を持ち前の笑顔で誤魔化しながらもう一度説明しよぉぉぉーー!!

投稿者 yoshimoto : 07:07 AM | コメント (0)
July 08, 2010
私らしさ
現在善本歯科医院には、兵庫歯科学院・衛生士学科から2名の学生が、実習に来ています。
私が衛生士の教育に携わって、25年になります。
この25年の間、幾度と無く実習医院を辞退しようかと思ったことか・・・
でもずっと関わってきた源は、
“ 一瞬の喜び ”
ですね。
同じ医院の現場で、同じものを見て、同じ音を聞き、同じ空気を吸って、同じ目的のために動いている。
でも実習生は、何も見えていないし、聞こえていないため、動けないというのが現実。
ではこのような場合どう指導すればいいのだろうか?
まず、見えていないということに気付いてもらえなければなりません。
もう、10年以上も前の話ですが、私が実習生に取った指導方法です。
いきなり院長室に実習生を呼び出し、
『お前、今の患者さんに何をした。(;`O´)o』
実習生は胸を張って、言いがかりをつけるなと言わんばかりに、
『何もしていません。( #` ¬´#) ノ』・・・と
『なんで何もしない。(´‐` ○)\(○`ε´○) 』
『・・・・・・・・』
その実習生は今の患者様のことを思い出し、大粒の涙を流し出しました。
自分がしなければならない事をしていなかったため、患者を傷つけてしまったと分かったからです。
その患者様は足が不自由で、杖を持ってこられていました。
診療台から腰を上げるのも杖無しでは難しく、30センチ先に置いてある杖を取るのにも、一苦労。
さらに足元のスリッパを履くのにも、足先まで手が届かず両足で交互にスリッパを押さえながら履くという状態。
実習生はずっとその患者様の行動を見ていたのに、一切手を差し伸べることはありませんでした。
遠くでその状況を見ていたスタッフが手助けをし始めても、実習生は直立不動。
『お前、今の患者さんに何をした。』
『何もしていません。』
『なんで何もしない。 』
・・・の意味が分かった瞬間。この瞬間が見え始めた瞬間です。
この日を境に、びっくりするほど、その学生は成長していきました。
この瞬間こそ、私の、喜びの瞬間です。
『そんないけずな事をせずに、言って教えればいいじゃん。』
って声が聞こえてきますが、
(・_・o)ン? (o・_・)ン? (o・_・o)ン?
そうしないのが私らしさですかね。
σ(o^_^o)

投稿者 yoshimoto : 07:02 AM | コメント (0)
June 26, 2010
私の名前知ってますか?
『よしもとさん』
『はーい』 『ハイ』
病院の待合室で、名前を呼ばれて同時に二人の人が返事することってありますよね。
自分でなかった時、とても恥ずかしいですよね。
恥ずかしさの次に出てくる感情は、
怒り・・・ですね。
同姓が二人も居るならちゃんと名前まで呼べよ!(゛ `-´)/ コラッ!!
って思っちゃいますよね。

待合室で待っていらっしゃる患者様の中に、同姓の方がいらっしゃる場合にカルテに付けられるカードです。
こうしておけばスタッフの誰が見ても一目瞭然。
ちょっとした気配りで、患者様が間違って入ってしまうという、ミスも防げます。
私が考えたアイデアではないんですよ。
前の受付嬢が考えたことなんですが・・・
なんでもない事が、とても大きな意味を持ってくると思います。
『そんなことせずに、全員フルネームで呼べばいいやんかぁ。』
と思われるかもしれませんが、それもまた難しい話なんです。
フルネームを他人に知られたくないと思われる方もいらっしゃるのも事実。
ならば、番号札で呼べば・・・・
それは私の考える人との付き合いの始まりが違ってきます。
人との付き合いの始まりは相手の名前を覚えること。
と私は思っています。
何度も顔を合わしている人に、いつまで経っても名前で呼ばれないと、人との関係って冷めてしまいますよね。
必ず患者様と接するとき、
「○○さん、おはようございます。\(*^▽^*)ノ 」
それともう一つ忘れてはいけないこと、
文章や手紙を、患者様や他院に提供するとき、相手先の姓名の漢字を間違えないこと。
文章の提供はワープロで行うことがほとんどです。
漢字変換時に思い込みから来る、間違い変換。
これって相手に、
“ 残 念 ”
な感情を抱かせてしまいますよね。
今朝届いたある病院からの返書。
私の目の前のコンピューターは、
みつひろ
と入力すれば一番に、
光広
って変換されるんだけどなぁ~ヾ(´ε`*)ゝ エヘヘ

投稿者 yoshimoto : 06:59 AM | コメント (0)
June 17, 2010
整理整頓=削除
善本歯科医院では月に一度、半日かけて大掃除を行っております。
毎日毎日、清掃・整理整頓をしていてもそれでも月に一度の大掃除は欠かせません。
月に一度大掃除をしていても、年末の大掃除が大変なのも事実ですよね。
C= C= C= C= \( ;・_・)/ テェヘンダーテェヘンダー
机の引き出しの中。
これがまたやっかいなもので、どうしてもごちゃごちゃに・・・
引き出しを閉めてしまえば隠されてしまうので、整理が出来ていると錯覚をしてしまいます。
本や雑誌を捨てずに引き出しの中にしまっていき、ついにはパンク。(*´σ―`)エヘヘ
特に学術雑誌は、あとで読み返す必要が出てくると思うと捨てれないんですよね。
実際はほとんど読み返すことはないのにねぇ。_(^^;)ゞ
それでも引き出しはパンクしてしまえば、整理整頓の決心がつきますが、もっとやっかいなのが・・・・
パ ソ コ ン でしょぅ(*’ω’*)
パソコンの容量がパンクすることはないので、詰めるだけ詰めてしまいます。
初めて買ったWindows95 は1.2ギガ(今の100分の1)でしたので、常に整理整頓していないとすぐにパンクしてしまっていました。
iPhoneを買い換えるのをきっかけに、パソコンの中を整理してみようと、重い腰を上げかけています。(^o^)ゞ
まず手始めに、連絡先の整理整頓を・・・・
記憶に無い人やお店の電話番号。
同一人物名での複数のメールアドレス。
苗字だけしか登録していなかった為、どの人の連絡先か分からなくなってしまっていたり・・・
いきなり、挫折。(;´д`)
こうなれば削除あるのみ!!!
とことん削除してやりました。≧(´▽`)≦アハハハ
スッキリしました。
☆^v(*^∇’)乂(‘∇^*)v^☆ヤッタネ!!
整理整頓の基本はやっぱり捨てることですよね。
はぁ~い♪ヽ(*^▽゜ *)ゞ^ ヾ☆
でも内心は大事な人の連絡先を削除していないかドキドキしています。

投稿者 yoshimoto : 06:29 AM | コメント (0)
June 14, 2010
世界一小さなハブラシ
梅雨に入っちゃいましたね。
一週間遅れの梅雨入り、ということは開けるのも一週間おくれるのかなぁ?
(;´д`)
昨日LOFTに行ってみると、梅雨の長雨を楽しむグッズがいっぱい置いてありました。
あーゆうグッズを見ていると、梅雨も楽しく過ごせそうですよね。
ワクワク♪o(^o^o)(o^o^)oワクワク♪
私がまだ子供の頃、昭和40年代初期の頃かな?雨の日は長靴を履くのが当たり前でした。
履かないと靴がグチュグチュでさらに泥だらけ。
今の道路は全てにアスファルトで舗装されていますが、その頃は舗装されていないところがいっぱいありました。
雨が降ると、泥水が川のように流れてくる道なんてざらでしたよね。
でも私は子供心にあの長靴がかっこ悪くてキライでしたね。
わざわざ小学校に履き替えようの運動靴を持って行っていました。
``r(^^;)ポリポリ
その後レインブーツなるおしゃれなのが出てきて、買ってもらって自慢げに履いていったのを覚えています。
せっかく足元は完璧にしていても、子供って傘をささなくてもなぜかへっちゃら。
ずぶ濡れで学校に行って先生に怒られたり、ずぶ濡れで家に帰って怒られたり、やっぱり雨の日のいい思いではありませんね。
(キ▼д▼;)トホホ・・
LOFTで面白いハブラシを見つけました。
世界一小さな使い捨てハブラシ!!ローリー
ゴムのとげが付いた小さな球体を、口の中で舌で転がしながら歯を磨いていくハブラシ(?)
そのコーナーの前で商品を取っては戻し、取っては戻し、買おうか買うまいか、ずっと悩んでいました。
結局・・・・買いませんでした。(^o^)ゞ
使った経験のある方がいらっしゃいましたら感想をお聞かせ下さい。
・・っていないか(*゜・゜)ンッ?

投稿者 yoshimoto : 07:06 AM | コメント (0)
June 11, 2010
親知らず?本人知らず?
竜歯会(滝川出身の歯科医師)による、滝川学園・滝川第二校の歯科検診も昨日で無事終了。
昨日の滝川学園(男子校)での歯科検診に滝川第二校(共学)出身の女性歯科医師が検診のお手伝いに来ていただきました。
男子校である滝川学園の歯科検診に女性が参加するのは初のため、いつもとは違う不思議なざわつきが、講堂に響いていました。
親知らず・親不知(おやしらず)とは、
上下顎第三大臼歯(8番目の歯)の事を指す。知恵歯(ちえば)、智歯・知歯(ちし)とも呼ばれる。
下顎第三大臼歯と上顎第三大臼歯は、18歳頃から20歳頃に生えはじめ、親がその歯の生え始めを知ることはないという意味から親知らずという名が付いた。
さてこの親知らずと言われる第三大臼歯は、中学生はもちろんのこと、高校三年生のごくごく少数の生徒に見られただけでした。
親知らずは実際には生えてこなくて、骨の中に埋まっていることも多々あります。
親知らずどころか、“ 本人知らず ”ということも・・・
先日70歳を越えた患者様が、7番目の歯の付近が腫れて、咬めないと訴えてこられました。
レントゲンの結果、7番目の歯の奥に8番目の歯(親知らず)が埋まっておりそれが原因で感染し腫れていました。
埋まっている親知らずに骨との癒着の疑いがあったので、抜歯困難と判断し、善本歯科医院では抜歯を行わずに大きな病院の口腔外科に紹介。
結果は入院し抜歯の予定となりました。
入院下親知らずの抜歯を行うというケースは稀ではありますが、自分に親知らずがあるのかないのか、知っておくことは大切なことかもしれませんね。
“ 本人知らず ”にならないように・・・
レントゲン左下に横向いている歯が親知らずです。

投稿者 yoshimoto : 07:26 AM | コメント (0)
June 10, 2010
ちゃんと磨いてますよ(;`O´)o
「○○さん、痛くて噛めないのは歯周病だからですね。」
「えーーー、歯周病。ちゃんと磨いているのにどうして歯周病になるんですか?(;`O´)o」
歯周病という言葉を出すと、とても過敏に反応される患者様が多いです。
特に初めて善本歯科医院に来院された患者様で、今までの歯科医院で一度だって歯周病と言われたことがないのに、どうして歯周病なんですか?・・・と。
“ ちゃんと磨いている ”
この“ ちゃんと ”が曲者なんですよね。``r(^^;)
「一日何回磨かれますか?=^-^=」
「朝と夜、2回ちゃんと磨いていますよ。(゛ `-´)/ 」
「朝は食事の前、後、どちらですか=^-^=」
「食事の前に磨かないと気持ちが悪いから、朝食前に磨いています。」
「夜は食後ですか?=^-^=」
「寝る前です。」
「一日何回磨くのがベストだと思われますか?=^-^=」
「そんなの決まってるでしょ、三回でしょ!!でも昼は忙しいから磨けないでしょ。(;`O´)o」
「それでは食前、食後どちらに磨くのがいいでしょうか?=^-^=」
「食事の後でしょう。でも朝は気持ち悪いんだからしかたがないでしょう。(゜ペ)?」
ここまで話が進むと、“ ちゃんと ”磨いていなかったと分かってもらえます。
ただこの会話の問題点は、質問するだけで一切相手を否定しないようにすること。
否定してしまうと、その時点で全てが終わってしまい患者様は聞く耳を持たなくなってしまいます。
でもまだこの時点でベストの歯磨き方法の説明はしません。
続いて、歯周病の説明をはじめます。
「歯周病って聞いたことがあると思いますが、どこがやられる病気でしょうか?」
「歯ぐきでしょ。」
「歯周と書いていますよね。歯ぐきの病気だったら歯肉病と書くはずですよね?」
「????(*゜・゜)ンッ?」
「わざわざ歯周と書くのには意味があります。それは・・・」
と話が続いていきます。
最終的に、
『私はどの程度歯周病が進んでいるのですか?』
『どうしたら予防できますか?』
と患者様からこのような質問が出れば、とてもその後の治療をスムースに始めることが出来ます。
一番難しいのは、
『説明はもういいから早く治して\(`o'") 』
と言われた時。
改めて私の実力不足を痛感する一瞬です。
“ ちゃんと ”という思い込み。
“ 歯周病は歯ぐきの病気 ”という思い込み。
患者様との会話はとても難しいです。
会話の勉強なんて大学では教わらなかったですからね。
35歳くらいまでは“ 私の人柄 ”だけで話をしていました。
歯科医師生活10年を過ぎたころから、“ 人柄 ”だけではダメだと気付き、
聞く耳を持つにはどうすればいいか?
聞いてもらいたいと願わすにはどうすればよいか?
聞いてもらってよかったと、思ってもらえるにはどうすればよいか?
・・・・・
いまだに勉強半ばなのも事実です。
最近やっと歯周病に関するいいコマーシャルが放映されるようになりました。
このコマーシャルはよく出来ています。
GUMのHPにも出ていますのでよかったら覗いてみてください。
投稿者 yoshimoto : 07:14 AM | コメント (0)
June 08, 2010
思い込みの回避
ペーパーバック(paperback)もしくはソフトカバー(softcover, softback)は、安価な紙に印刷され、ハードカバーの様に皮や布や厚紙による表紙を用いていない形態の本のことである。並製本ともいう。日本では、ペーパーバックの語は洋書の並製本などに使用されることが多く、それ以外の並製本はソフトカバーと呼ぶことが多い。
私は昨日まで、洋書の並製本をペーパーバックではなく、ペーパーブックとずっと思い込んでいました。
ペーパーブックという言い方に疑問を持たなかったかというと、実はずっとおかしいなぁ~っと・・・
だってブック(本)は99%ペーパー(紙)ですよね。
なのになぜ、洋書の事を紙の本(ペーパーブック)というのか不思議でした。
いわゆる、“ 思 い 込 み ” ですよね。
しかし医療現場では、この “ 思 い 込 み ” が重大な事態を招くことがあります。
“ 思 い 込 み ” を回避する方法は、
本当にそうなのか?
間違っていないか?
勘違いをしていないか?
右か?左じゃないのか?
上か?本当は下ではないのか?
・・・・・といった具合に常に自問自答しながら診療を行っています。
あくまでも自問自答。このまま患者様に言ってしまうと、患者様は、
『自分の言っていることを信用してくれない先生』
というレッテルを貼られてしまい、コミュニケーションが取れなくなってしまいます。
思い込まないようにどれだけ努力しても、思い込みから来る問題は必ず起きてしまいます。
先日歯周病の末期で歯がグラグラして今にも抜けそうなので抜歯を希望されて来院された患者様。レントゲンでも想像通りの状態なので説明をして同意のもと、抜歯を行いました。
予想通り5秒ほどで抜歯完了。
でもこのとき必ず行う確認があります。
本当に全てを抜いたのか?
根っこの先の細い部分が折れていないか?
何か歯のかけらが残っていないか?
いわゆる、“ 抜けたという思い込み ” を回避する為の自問自答です。
結果は、根っこの先が一部残っていました。
これを取るのに、3分ほど掛かってしまいました。
このときの問題はレントゲンでこの状態が事前に分かっていなかったのか?分かっていれば患者様に簡単には抜けないかもしれない旨を事前に説明でき、さらにそれに対応した準備が出来ていたはず。
残念ながらこの場合は事前に分かりえなかったのが事実。
でも思い込みを回避する方法を取っていたので、後日もう一度残った根っこを抜かなければならない事態を起こさずにすみました。
思い込みを回避する方法は医療現場ではとても重要なこと。
でもこの思考方法は、
“ 否 定 ”
から始まる思考。
従ってあくまでも自問自答。
患者様とのコミュニケーションは必ず、
“ 肯 定 ”・・・から
この使い分けが出来なくなり、ついつい患者様を否定から始めてしまうことがあり、反省の毎日です。
肯定から始めるとは、相手の主義主張を鵜呑みにするということではないんですよ。
全部肯定していたら、簡単におれおれ詐欺に引っ掛かってしまいますからね。
最近、本の読み方が変わってきました。
書いてある内容を全て肯定しながら読むようにしています。
そして実践。
しばらく実践してみてそこから、先を考えるようにしています。
わざわざせっかく買った本を否定しながら読んでもおもしろくないでしょ・・・ねぇ。

投稿者 yoshimoto : 07:45 AM | コメント (0)
June 05, 2010
はたしてその正体は???
『 善本院長ってどんな方ですか?』
・・・というご質問にお答えいたしましょう。
O(`⌒´*)oエッヘン!
いつもは真面目で、笑顔の素敵な優しい歯医者さん、

\(*^▽^*)ノ
そして、ある時はとても家族想いの愛妻家、

\(*^▽^*)ノ
また、ある時は、ストイックな誰もが恐れる((‥ )ン?)ボクサー、

はたしてその正体は・・・・・
????
????
カエルとちゃうんか、カッパかぁぁああぁぁーーーい!!
えヽ(´▽`;)/=3=3=3=3 へへへ~っ♪

投稿者 yoshimoto : 06:39 AM | コメント (0)
June 02, 2010
窓の外
あなたの仕事場の窓からは何が見えますか?
善本歯科医院に戻ってきて22年。
私は毎日この景色を医院の窓から見ています。
本当は見ていなかったかな?
目に入ってきていたけど、この景色を心で何も感じたことがありませんでした。
確か20年近く前だったかなぁ??
この景色の中に、お風呂屋さんの高い煙突がありました。
ちょっとずつ、壊されていく煙突を、当時何気なく眺めていました。
さてこの景色の中のどこにあったかな?
また目の前には、歯科医院もありました。
その先生は猫好きで、いつも2階の窓の前のひさしで日向ぼっこしている猫を撫で撫でしていた。
なーーんていろいろ回想しながら、今朝はいつもの景色を数分楽しんでみました。

投稿者 yoshimoto : 06:51 AM | コメント (0)
June 01, 2010
当たり前ですが、基礎が大事
基礎・・建築物の重量を支え、安定させるために設ける建物の最下部の構造・・はとても大事ですよね。
でも実際には目に見えないところ。
手を抜かれていても私たち素人にはまったく分からず、数年して気付いても後の祭りということもよく聞く話ですよね。
歯科治療における基礎とは、歯肉の中。
またここも皆様には目に見えないところ。
でも私たち歯科医師はレントゲンでハッキリと見え、判断がつきます。
歯肉の中の骨と歯の根っこが、どれだけしっかりしているか、またはしっかりしていないかで歯の寿命が決まってくるといっても過言ではありません。
患者様も、レントゲンを理解し今の自分自身の歯はどのような状態なのか把握することは予防の意味からも大事ですよ。
歯周病で歯を支える骨が溶かされていくというコマーシャルが、テレビで最近流れ始めましたね。
目に見えないところを見ようとすることはとても大切ですよ。
最近工事関係者の方から、コンクリート舗装の仕方や家の基礎作りの専門的な話を聞く機会がありました。
コンクリートで固めてしまうとその下がどうなっているのかは素人ではまったく判断がつきませんよね。
レントゲンで調べるわけにもいかず・・・
コンクリートの下に鉄筋で枠を組むことで、沈下やひび割れを防ぐ役割があり、また建物の基礎の下には、湿気が上がってこないようにするシートを貼ったりするそうです。
でもこれらをせずに簡単にコンクリートで固めてしまう業者もあるとか・・・
当たり前のことですが、何事も基礎がとても大切・・・ですね。
\(*^▽^*)ノ ハーーイ

投稿者 yoshimoto : 06:52 AM | コメント (0)
May 27, 2010
アロマで歯肉マッサージ
『まさにリラクゼーション。あー気持ちよかったぁ。こんなの初めて
=^-^=ウフッ♪』
『歯医者さんで、リラクゼーション(‥ )ン? ですよね。ありがと
(o^-^o) ウフッ』
という患者様の声が診療室から聞こえてくることが多くなりました。
『痛くなくてありがとうございました。』・・とか、
『痛みがとれました。ありがとうございました。』・・とか、
『よく噛めます。これで食事がおいしくいただけます。』・・とか、
『歯がツルツル。気持ちよかったぁ。』
といった感謝の言葉を頂くことはありましたが、
“リラクゼーション”
という言葉を診療室で聞いた事はなかったですね。
今年の3月から始めた、
“ 歯 肉 マッサージ ”
とても評判がよく嬉しい限りです。
但しこの“ 歯 肉 マッサージ ”は患者様全員へ提供しているサービスではありません。
歯周病治療で来院されている患者様で、メンテナンスが充分に行き届き、歯肉状態が安定している患者様への、善本歯科医院からのご褒美的(?)医療サービスです。
アロマオイル配合の特殊なジェルを使用しての指による歯肉・歯槽骨・咬筋へマッサージ。
治療の疲れを癒してくれる “ ら し い ”ですよ。
そうなんです。実は私もこのマッサージ受けたことが無いんですよ。
``r(^^;)ポリポリ
善本歯科医院・衛生士から、私へのご褒美はまだお預けのようです。(*´σ―`)エヘヘ
左がマンダリン、右がハーブミント味の歯肉マッサージ用ジェル。
真ん中のペーストは、PMTC (Professional Mechanical Tooth Cleaning) 後の仕上げ剤です。

投稿者 yoshimoto : 06:34 AM | コメント (0)
May 25, 2010
傾聴
『この虫歯を治したらどうなるのですか?』
以前、ある患者様から言われた言葉。
『歯を残すことが出来て、噛み合わせがよくなります。』
と返答。
『噛み合わせがよくなるだけですか。だったら治さなくていいです。』
歯科治療の最終目標は、“ 噛めること ”
歯科を全否定されたような衝撃でした。
当時の私は、完全にこの瞬間に自分自身の心の扉を閉め、鍵をかけてしまっていました。
今なら、もっとこの患者様とその先のお話ができた気がします。
何を望んでいたのだろうか???
この疑問だけが残ってしまいました。
要求する事、望んでいる事は人それぞれなのに、また明らかにそれが間違っていても、もっともっと聞く耳、心を持たないといけませんよね。
話は変わりますが、サッカー・・全然、まったく面白くないですよね。
(∴`┏ω┓´)/
私が岡田ジャパンに要求すること。
3点取られても、4点取れるという可能性があるチームを作って欲しいです。
0点ばっかりじゃ、絶対勝てませんよ・・・ねぇ。
私の要求は、間違ってますか?_(^^;)ゞ

投稿者 yoshimoto : 06:58 AM | コメント (0)
May 15, 2010
アジアン・隅田の香り???
秘密諜報部員になりたくって(?)注文した懐かしのスパイドラマのDVD、0011ナポレオンソロ。
世界中で超有名なネットモールからの海外発注だったので、安心しての注文。
3週間経っても到着しないので、直接海外の業者に問い合わせてもなんの音沙汰も無し。
ネットモールに昨日クレーム申請をすると、その日の内に返金。
あーーーよかったぁ。
ではないですよね。
発送しましたメールが来てたのに発送していなかったということ。
さらにまだその商品がそのネットモール上にある。
どないなってんねぇぇぇええええーーー。
(∴`┏ω┓´)/コラァー!!
というのは昨晩の状態。
今までの私なら怒りに包まれたまま寝て、ずっとこの怒りを引きずるタイプでしたが、なぜか今はまったく冷静、沈着。
さっすが、思考訓練科の優等生。(○゜▽゜○)/ ヨッ!!
新しく始めた、お香の香りと煙りに包まれて、瞑想(妄想かも)の世界へと突入することで、怒りの世界から脱出できました。
でも今日は体中がお香臭いような気がする。
院長室のアロマの香りで、お香の匂いが消せるかな???
神秘的アジアンフレーバーが、アジアン・隅田の香りに変わったら大変やぁ(*゜・゜)ンッ?
今朝も早朝から、マウスピースを作製していました。
今日の患者様は、ブルーを選択。
名前入り、クリアマウスピースは善本歯科医院からスポーツを愛する方へのプレゼント。
ご心配なく、ドクロ仕様ではございませんので・・・

投稿者 yoshimoto : 06:40 AM | コメント (0)
May 13, 2010
私は“はいしゃさん”
板宿という町は下町。
下町と言えば、やはりご年配の方が多くて、しかも元気です。
昼食時あちこちの席から聞こえてくる話題は、目と歯の話。
『これから、“はいしゃ”、行かなあかんねん。』
『あそこの“はいしゃ”はあかん。』
『あっちの“はいしゃ”の先生はやさしいよ。』
『目、どないしたん?どこの“めんしゃ”行ってるの?』
『あそこの“めんしゃ”で白内障手術したん?』
『あそこの“めんしゃ”お父さんの時はよかったのになぁ』
毎日のようにこのような会話が聞こえてきます。
いつも“はいしゃ”の話題になると箸を止めて聞き耳を立ててしまいます。
食事が喉に通らなくなるようなドキッとする話題でも店中に聞こえる大きな声で皆でガヤガヤ状態。
下町のいいところと言えばそうなんですが・・・(;´д`)
ところでなぜ歯科と眼科の先生だけ、“はいしゃ”、“めんしゃ”って言うんでしょうか?
外科の先生を、“げいしゃ”と言わないし、内科の先生を、“ないしゃ”とも言わない。
なぜ????
親しみを持って言ってるように聞こえるときもあるし、ちょっと悪意が感じられるときも・・・
“はいしゃ”と“はいしゃさん”、
“めんしゃ”と“めんしゃさん”
・・・では当事者としては聞こえかたが違うんですよね。(^o^)ゞ
患者様との会話の中でも、言葉選びにはとても気を使います。
ちょっとした、ニュアンスの違いで相手を傷つけたり・・・
なにも答えの出ない今日のブログでした。
``r(^^;)ポリポリ
今日の写真は板宿の元気なおば様達
・・・というわけにもいかないので私のベストショットを一枚。
セピアで、逆光で、ローアングル。
これなら私でもかっこよく見えるでしょ?
『あそこのはいしゃさん、お父さんの時もよかったけど、息子さんになってもええなぁ!!』
『そうそう、私もそう思うよ。』
なぁ~んて会話があちこちで出てくるよう、日々努力であります。
(*^-^)ゞ 敬礼♪

投稿者 yoshimoto : 06:39 AM | コメント (0)
May 12, 2010
色もいろいろ、好みもイロイロ

私の渾身の作品(?)、ドクロ仕様のマウスピース。
とても、とても・・・・
評判が悪いです。(;´д`)トホホ
どこが悪いのかナァ???
なぜ人気ないのかな???
『こんなかっこ悪いの、入れれるわけないジャァン』
って東京弁で突っ込まれそうですが、好みだから仕方ないですよね。
ヤッパリ、患者様は、カラーマウスピースを選ばれますね。
昨日、校医をしている学校から、生徒が昼休み中に前歯を打って歯がグラグラで出血しているとの電話が・・・
すぐに来てもらい診てみると、前歯を強打した為、上の前歯一本が後ろに移動してしまっている為、口を閉じることができない状態でした。
幸い、歯は折れていなかったので、麻酔をして元の位置に徒手整復を行い、固定。
経過がよければ、抜歯をせずにいけそうで一安心でした。
“休み時間中にもマウスピースをして歯をガードしましょう。”
な~んて言いませんが、コンタクトを伴うスポーツ、もしくは顔面を強打する可能性のあるスポーツを行うときは、マウスピースをしましょう。
\(*^▽^*)ノ ハーーイ
これだけいろいろな色がありますから、自分自身のパフォーマンスを高めてくれる、好きな色でマウスピースを主治医の先生に作ってもらって、スポーツを思う存分楽しみましょうね。
もちろん、ドクロ仕様のマウスピースだって出来るよ。
(*´σ―`)エヘヘ

投稿者 yoshimoto : 06:33 AM | コメント (0)
May 11, 2010
心の・・・・掃除
狂ったように掃除がしたくなる時があります。
今朝がまさにそうです。
床のゴミ、汚れ、壁のしみが取れれば、心も晴れるような気がして・・・・
無我夢中で、ゴシゴシ、ゴシゴシ。
いくらがんばっても完全に、完璧に、綺麗にすることなんて無理だって途中で気付くと肩の力が少し抜けてくる。
人生ってそんなことの繰り返しですね。
床を、コロコロで何度もコロコロしては剥がし、またコロコロしては剥がし・・・
今朝は、4回繰り返したときコロコロに付くゴミをゼロにすることは出来ないってやっと気付きました。
で、コロコロと記念撮影。``r(^^;)ポリポリ
今日もあと2時間で笑顔に、
((o(*゜▽゜*)/)) ヘンシ-ン (/▽\*)三\(▼皿▼)/トォー!!

投稿者 yoshimoto : 06:30 AM | コメント (0)
April 29, 2010
マウスピース・U.N.C.L.Eモデル
完成したマウスピースの紹介です。
コンセプトは、
“ インチキ秘密結社・U.N.C.L.E仕様 ”
でーーーす。(。◣‿◢。)ニヤリッ
装着時一番見える正面には、アーミー風文字にドクロを・・
( ゚ Д ゚!)・・・・マヂカッァァァ

外した時に目立つ口蓋部分には、巨大ドクロ。
アワワ ヽ(´Д`;≡;´Д`)丿 アワワ

右サイドにもこれでもかぁぁああーーーというほど、ドクロを・・・
Σ(゚Д゚;エーッ! マタカヨ!!

そして、左サイドには、諜報部員の証である。
U.N.C.L.Eのロゴがぁぁーーー
工エエェェ(´ロ`ノ)ノェェエエ工
ヽ((◎д◎ ))ゝ ひょえぇ~
( ゚д゚)ハッ!
大失ぱぁあああぁぁーーーい!!
il||li (OдO`) il||li
やっぱり絵心の無い私の作品となってしまいました。
・・・とさ。。。ρ(--、)シクシク
投稿者 yoshimoto : 07:03 AM | コメント (0)
April 28, 2010
歯医者のイメージは・・・
歯医者さんのイメージは・・・
怖い・痛い・抜かれる・削られる・・・・
悪いイメージばかり出てきますか?
これはあくまでも昔のイメージですよね。
最近は、
優しい・丁寧・親切・痛くない・・・・
いいイメージが出てきますよね。
舌を引っ張って、麻酔もせず、無理やり歯を削る。
キャー ヾ(≧∇≦*)〃ヾ(*≧∇≦)〃 キャー
“/(;-_-) イテテ・・・
そんな歯医者、21世紀の現在にはいませんよね。
ハイ(^-^”)/
(*゜・゜)ンッ?(〃'∇'〃)ゝ
そんな歯医者が、いたぁぁぁあああああぁぁーーー!!
どこに???
キョロキョロo(゜д゜o≡o゜д゜)oキョロキョロ

マジかよ。…..Σヾ(;゜□゜)ノギャアアーー!!

間違ってもこんな歯医者は善本歯科医院にはいませんよ。
(*^^*)(^O^)(^▽^)/(*´∇`*)\(^▽^)/
善本歯科医院に居るのは優しい天使のようなスタッフばかりですよ。
安心してね。
C=(^◇^ ; ホッ!


投稿者 yoshimoto : 07:01 AM | コメント (0)
April 27, 2010
何が見えますか?
善本歯科医院では兵庫歯科学院衛生士学科の生徒の、臨床見学・臨床実習の教育現場として衛生士育成の手助けをさせてもらっています。
私がいつも学生に分かってもらいたいこと、理解して頂きたい事は一つです。
“ 目の前にあるものが見えていないことに気付け。そして昨日何が見えていなかったのか、今日感じ取れ。一日一日の変化に気付け。”
同じ現場、同じものを見ているのに、実際には見えているものが違う。
分かりますか???

私の歯型です。
何が見えますか?

何か見えてきましたか?
まず、歯というものに対する知識が無ければこれが上の歯なのか下の歯なのかも分かりませんよね。
医療現場で知識が乏しいことは、“ 悪 ”です。
知識は詰め込めるだけ詰め込む。
そして、その知識を整理して引き出す。
ただ医療現場において、知識だけではコミュニケーションはとれません。
今まで生きてきた中で、親・兄弟・友達・先生・見知らぬ人・芸能人・ドラマ・映画等々から感じた、人として大切な感性を患者様と接して磨いていくとを忘れてはいけないと思います。
・・・・衛生士学科学生諸君へ。そして私自身へ。
歯型を久しぶりに取ってみて、ちょっとびっくりですね。
こんなだったっけ??って新たな発見。
いろんなシールを作製してちょっと変わったデザインのマウスピースを作ろうと思っています。
“ ちょっと品の無いマウスピース ”がコンセプトの・・・
(〃⌒∇⌒)ゞえへへっ♪

投稿者 yoshimoto : 07:05 AM | コメント (0)
April 25, 2010
同窓会診療
このところの寒暖の差で、体を壊されておられる方をよく見かけます。
我がチーム・ヨシモトでも、二人ダウン。
(●´д`●)マヂカョ・・・
昨日の土曜日は、受付と衛生士がダウンしてしまいてんてこ舞い・・・・
ヘ(´o`)ヘ とほほ・・・・
と思いきや、受付エリザベスと衛生士リカが助っ人に駆けつけてくれました。
☆⌒(*^-°)v Thanks!!
朝8時前から来てくれて、なんとなく同窓会気分。
きもちよーーく、ガンバッテイキマ━p(●^ヮ^●)q━ショイ!!って感じで、診療に入れました。
人に甘えることがとても苦手な私。
普通なら極端に恐縮してしまうところですが、この二人の優しさに恐縮するのは逆に失礼。
どっぷりと、甘えさせて頂きました。
゛v(^_^ v)=アリガトウ=(v ^_^)v゛
しっかし、患者様もこの二人を見てびっくりしたやろなぁ!!

投稿者 yoshimoto : 06:36 AM | コメント (0)
April 24, 2010
アーミー仕様マウスピース
所ジョージさんで有名な“ 世田谷ベース ”
ここは秘密基地の王様ですね。
KING of KING Secret Base って感じですよね。
\(*^▽^*)ノ ハーーイ
所ジョージ先生からは学ぶことがいっぱいあります。
高校の時にダウンタウンブギウギバンドを国際会館に見に行ったとき、前座歌手として出ていたのを見たのが所ジョージさんとの初めての出会いです。

世田谷ベースでよく見かけるこの文字。
アーミーっぽくってカッコイイですよね。
ステンシル文字
こんな字体の型があって、それにスプレーを吹き付けると誰でも簡単にこんなかっこいい文字を書くことが出来るんですよ。
そこで思ったのが、パソコンにこのフォントを入れれば、パソコン上でステンシル文字を打ち出すことが出来るはず。
ステンシル文字のフォントを探してみると、日本サイトでは全て有料。
それでは海外では・・・・
ありました、フリーのステンシルフォントが・・・☆^v(*^∇’)乂(‘∇^*)v^☆
そこで今回マウスピースにステンシル文字で名前を入れてみました。
今作成中のウェイトリフティングをされている患者様のマウスピースに私からのプレゼントとして、もう一つ“ アーミー風マウスピース ”を・・・

個人的なマウスピースなら、さらにドクロを入れたりしたら面白いんですが、そこまでしたら、
変な歯医者_(^^;)ゞって思われたら嫌だもんね。
えっ(▼-▼*) 、もうすでに思われてるって・・・

投稿者 yoshimoto : 06:02 AM | コメント (0)
April 22, 2010
冬眠前のリス
スポーツマウスピースの重要性は、まだまだ日本では残念ながら認知されていませんね。
冬眠前のリスの口のような状態のマウスピースを装着されている方を、よく見かけます。
ずれる・外れる・呼吸が出来ない・しゃべれない・苦しい・気になる・・・・
という状態でのスポーツ。
明らかに充分なパフォーマンスを出すことは無理ですよね。_(^^;)ゞ
歯科医師なら全て問題を解消して、最高のパフォーマンスを引き出すことが出来るマウスピースを作れる。
・・・・というわけでもないのが現状。
(≧≦) ゴメンヨー
私もその一人。
自分のマウスピースだけでも数え切れないくらい作って試してみました。
今使用しているのはそのうちの二つだけ。
ずれる・外れる・呼吸が出来ない・しゃべれない・苦しい・気になる・・といった事を解消するのはとても簡単なことです。
でも一番大切なのは、最高のパフォーマンスを引き出すことが出来る噛み合わせの位置を決めること。
噛み合わせの位置(‘_’?)…ン?・・って何???
これが永遠の課題なんですよ。

今作成中のマウスピースは、ウェイトリフティングをされている方。
噛み合わせの高さ・左右・前後の位置付けを模型上で行った状態。

最後に、決定したこの噛み合わせの位置を、マウスピース上に再現させます。
表面に歯型がついているのが分かりますか?
これで完成です。
スポーツマウスピースは保険適応外ですので、作製を希望されるときは、かかりつけ歯科医院に相談してくださいね。

投稿者 yoshimoto : 07:10 AM | コメント (0)
April 19, 2010
不思議空間
昨日の日曜日は、4月18日。
“ 良い歯の日 ”だそうですね。
そんな日があるなんて知りませんでした。
歯科界では6月4日を虫歯予防デーとし、6月には学校や会社やいろんなところで、歯科検診を行っています。
4月18日が良い歯の日なら、1月18日・11月8日も、“ いい歯の日 ”ですよね。
10月8日は、“ 入れ歯の日 ”だ。_(^^;)ゞ
そんな日とは知らずに昨日は大阪へ検診に行ってきました。
天王寺動物園のサイ君の歯科検診に・・・・

いつ行っても不思議な空間。
動物園内のどこからでも通天閣が望めます。

投稿者 yoshimoto : 07:07 AM | コメント (0)
April 17, 2010
歯周病=???ワルサーP38??
歯周病が進むと、歯を失うことになる。
おそらく誰もが知っていることだと思います。
では、
『なぜ歯を失うのですか?』と質問すると、
『歯周病だから』という返事が・・・・
『それでは、歯周病ってなんですか?』と質問すると、
『歯ぐきの病気』という返事が・・・・
『それでは、なぜ歯ぐきがやられると歯がぐらつくのですか?』と質問すると、
『歯ぐきが痩せるから』という返事が・・・
『それでは、なぜ歯ぐきがやせるのですか?』と質問すると、
『歯周病だから』・・・と
100人の患者様にこのような質問をすると99人の方がこのような返答をされます。
歯周病=歯ぐき・・という間違った方程式ができてしまっているからです。
それでは、正しい方程式は、
歯周病=歯肉+歯槽骨+歯根膜+α
(・_・o)ン? (o・_・)ン? (o・_・o)ン?
という皆様の顔が浮かんできますねぇ(*^^*ゞ
歯周病は呼んで字の如く、歯の周りの病気です。
したがって歯の周りにある組織はなんなのか?を考えていかないと歯周病を予防することはできません。
それでは質問です。
歯科とは関係のない馬鹿げた質問ですので笑わないで下さいね。
(‘-‘*)エヘ
ルパン三世はなぜワルサーP38を愛用していたのでしょうか?
ルパンがワルサーP38の銃を持っているのはアニメを見たことがある方なら誰もが知っていることですよね。歌にもなってますからねぇ。
では、なぜ、コルトやべレッタではなくワルサーなの?
ここんとこずーーっと頭の中で疑問に思っていたことです。
ワルサー・モンキーパンチ・キャラクターそして時代背景。
この四つが疑問を解くキーワードでは・・・・
つづく

投稿者 yoshimoto : 07:44 AM | コメント (0)
April 15, 2010
スムースに開く鍵
どうしても、スムースに治療が進まないことがあります。
対人、対病気となると、スムースに進むほうがおかしいのですが・・・
逆に、予後不良と思われた治療が、劇的に回復をすることがあるのも事実です。
日常診療で一番嬉しいのは、患者さんにストレスを与えずに治療が進んだときですね。
どんなに難しい治療も、時間がかかる治療も、痛みを伴う治療も、診療室を出るときにはそれがストレスとして残っていない治療。
チーム・ヨシモトが目指す場所はここでしょうね。
鍵穴に鍵がスムースに入り、
鍵がスムースに回り、
鍵がスムースに開き、
そして、スムースにドアが開く。
またまた、善本哲学の始まりか??(‘_’?)…ン?
最近とても気に入った鍵を手に入れました。
抽象的表現の鍵ではなく、本当の鍵。

“ また院長ガラクタを拾って来たのか ”って声が聞こえてきそうですが、ちゃんとした南京錠ですよ。
風合いといい、重厚感といい、シンプルさといい、ヾ(=^・・^)ヾ(^^ )ナデナデしたくなりませんか?
こんな鍵の似合う秘密基地を作ってみたいなぁ( ^o^)\(^-^ )

投稿者 yoshimoto : 07:05 AM | コメント (0)
April 13, 2010
解剖学
大学2年の秋に、初めて歯科に関する講義が始まりました。
歯の解剖学という講座でした。

歯学部に入学したにも関わらず、入学以来ずっと、一般教養学ばかりの講義。
入学一年半にして初めての専門学の講義にわくわくして望んだのを覚えています。
でもそこから地獄の始まりだと気付くのには、そんなに時間は掛かりませんでした。
歯の解剖学に始まり、歯の組織学、そして人体解剖学。

人間の頭の先、脳内から足の爪先まで全てを解剖し頭の中にラテン語で詰め込む作業。
それは、それは、苦しい毎日でした。
病気を理解する前に必要なこと、正常な状態を知ること。
これには解剖学が必須の条件です。
今まさにある物の解剖学を学んでいます。
ハンマー部分の解剖(分解)にはかなり苦労しました。
いろんな細かい部品が絡み合い、まさに、
“いらない部品はありません”の世界でした。
気持ちに余裕がなく、分解直後の写真を撮るのを忘れていました。
この写真は組み立て後です。
頭の中に、目に見えない部分も含めての全体像を焼き付けておかなければ、なかなか本質を見極めることができませんよね。

投稿者 yoshimoto : 06:46 AM | コメント (0)
April 05, 2010
新人先生
善本歯科医院に新しい先生がやってきました。
紹介します。
モグラ先生です。

おっさん顔ですがまだ若いんですよ。(^^ゞ
マスクで鼻が隠せなくてごめんなさい。ヾ(^-^;)
優しいので、子供に大人気です。

投稿者 yoshimoto : 07:02 AM | コメント (0)
April 04, 2010
いい披露宴でした。・・・スピーチモ
善本歯科医院の患者様、2月いっぱいまで勤務しておりました、玉井衛生士が昨日結婚いたしました。
( *゜▽゜)/°・:*【祝】*:・°\(゜▽゜* )
とても和装が似合う、綺麗な花嫁さんでしたよ。
ほんとに、温かい、いい結婚披露宴でした。
そして私、院長も無事主賓のスピーチという大役も果たしてまいりました。
うちのスタッフも、中島みゆきの糸という歌をプレゼント。
自分のスピーチの時より、ドキドキしてしまいました。

北野坂の異人館での披露宴。
近くの天満宮で式を挙げ、披露宴会場まで異人館の街並みを、白無垢姿で歩く美しい花嫁さんに、道行く観光客も足を止めて見入っていました。
ほんと、映画に出てきそうな、いいシーンでした。
私はビシッと、タキシード。
でも顔は、いつものようにデレッと・・・
(#^.^#) エヘッ

投稿者 yoshimoto : 06:55 AM | コメント (0)
April 03, 2010
早朝診療??
夕方の6時ではありません。
朝の6時の写真です。
今日は2月で退職された衛生士・リカの結婚式。
結婚式は夕方からなのにこんな早くから来ての診療準備。
なぜ。(・_・o)ン? (o・_・)ン? (o・_・o)ン?
男性には分かりませんが、女性は結婚式披露宴前は大変だそうです。
新婦なら分かりますが、単なる出席者なのに、
美容院行って、セットして、化粧して、服着て・・・・・
いつもの土曜日のように13時過ぎまで診療をすると、後片付けして、帰って、美容院へ行って・・・と忙しくて間に合わないそうです。
男性なら15分もあれば十分ですよね。(*^^*ゞ
そういうわけで、今日は朝7時30分から善本歯科医院は開いております。
今日のスピーチの原稿をまだ覚えていません。
自分の文才に感心することがあります。(*゜・゜)ンッ?
自分で作った原稿を読み返していると、
“こんなフレーズよう考えたナァ”って、
だから余計に覚えにくいんですよね。
普段使わない言葉だから・・・・
この辺で終わります。暗記に掛かります。
では、リカさん今日楽しみにしています。(o^-^o)
またスピーチ長くなりそうです。許せリカ!!

投稿者 yoshimoto : 06:23 AM | コメント (0)
April 01, 2010
新年度
4月1日。
新年度の始まりですね。
でも学校や会社に属していないと新年度という感覚は薄れていきますよね。
なぜなんだろう?
そもそも、“ 年度 ”って何?
日本だけ?
?????また始まった私の疑問。
で、年度について調べてみると、やはり外国ではこのような制度は確認されていないようです。
また年度を4月始まりと定着していますが、それは“会計年度”及び”学校年度”と言われるもので、その他に、
いも年度 - 9月開始。 生糸年度 - 6月開始。 砂糖年度 - 10月開始。 大豆年度 - 10月開始。 でん粉年度 - 10月開始・・等々
と特に農業関係ではいろいろあるようです。
一般的に関わってくるのが、“会計年度”及び”学校年度”なので4月は新年度と自動的に思ってしまうのでしょうね。
年変わり、年度変わりは心機一転という言葉が似合いますよね。
今日からまた、心機一転がんばりましょう。
でも今日から心機一転できないやっていう人は、あせる必要なんてないですよ。
生糸年度に合わせて、6月から心機一転したっていいし、いも年度に合わせて、9月から心機一転したっていいし、皆に合わせる必要なんてないですよ。
人それぞれ、個々を伸ばしましょうね。
『いつもの妄想院長と違って、今日はいい事言うね。』
って声が聞こえてきそう?(*´σ―`)エヘヘ
医院の洗面台の上にスマイル君を置いています。
これなにか分かりますか?
実は水鉄砲なんですよ。
善本歯科医院で歯を磨いたついでに、水鉄砲で遊んでください。
???する人いるかな( ̄_J ̄)ん?

投稿者 yoshimoto : 07:10 AM | コメント (0)
March 25, 2010
抜歯器具
歯を抜くのはどうするか?
簡単に言えば脱臼させて、引っこ抜く。
{{{{( ▽|||)}}}}ぞぉ~~~~~
脱臼させる器具(ヘーベル)に、引っこ抜く器具(抜歯鉗子)といろいろあります。
例えばこの器具(抜歯鉗子)はどこの歯を抜くときに使用するでしょうか?

分かるわけないですよね。
上の器具は上下の4番目・5番目の歯を抜くときに、
下の器具は左上の6番目・7番目の歯を抜くときに使用し、左右差があります。
また、下の6番目・7番目の歯を抜くときには違う器具を使用します。
まだまだ、前歯用・残根用・乳歯用と・・・
それではこの器具はどこの歯を抜くときに使用するでしょうか?

分かりましたね。
前の写真と似てますよね。
4番目か5番目の歯を抜くやつかなぁ?
(・_・o)ン? (o・_・)ン? (o・_・o)ン?
じゃぁぁああぁぁーーん!!

実は精巧に作られたキーホルダーでした。
でもこれならネズミの歯は抜けそう。(*´σ―`)エヘヘ
投稿者 yoshimoto : 07:03 AM | コメント (0)
March 24, 2010
置手紙
手紙ってとても人の心を揺さぶるものですよね。
電話やメールが当たり前になってしまい、手紙を書くことなんて、ほんとなくなってしまいました。
私は字がとても下手。
子供の頃習字では何度も賞を取ったことがありますが、ペン字となると苦手です。
そのおかげといったら変ですが、20年以上前に電子手帳が出たときはすぐに購入し愛用していました。
また、ワープロなんて手放せなかったですね。
Windows95が出たときはパソコン上で文章を作成しそのままプリントアウトせずにFAXが送れる、しかも複数の人に一斉に送信できると知りすぐに飛びつきました。
これも、“ 字がヘタ ”・・・なおかげです。
でも本当は字が上手くなりたいと思っています。
字のきれいな人は、心も体も、その人の人生そのものが綺麗に見えてきます。
昨日とて綺麗な字の手紙を頂きました。
妊娠中、つわりで歯が磨けず、また出産後も赤ちゃんを抱えて、歯医者に行けずに困っていた方が、私の医院のHPを見て2ヶ月前に来院されました。
私どもはいつもの通り、別の部屋(スタッフルーム)で一人のスタッフが赤ちゃんを見てお母様の治療に当たります。
スタッフルームから赤ちゃんの鳴き声が聞こえるたびに、お母様は治療台の上で心配そうな顔、そしてとても申し訳なさそうな顔をされていました。
いつも、そんな時スタッフは笑顔で対応。
段々と安心して善本歯科医院に通ってくださるようになりました。
今月いっぱいで遠くへ引っ越してしまうとの事で、昨日が最後の治療の日でした。
昨日は初めて赤ちゃんの鳴き声が診療室に聞こえてこなかったなぁ。
最後の挨拶の時、お母様の笑顔は、とても可愛いかったです。
あとで気がついたのですが、スタッフルームにその患者様からの置手紙が・・・
スッタフ一同に対する感謝の気持ちがいっぱい込められた内容。
この手紙から、一年間がんばれるだけのパワーを頂きました。
そして、やっぱり・・・とても綺麗な字。
こちらこそ、ありがとうございました。
引越し先でまた治療続けてくださいね。
お手紙、スタッフの宝物にします・・・ね。(o^-^o)

投稿者 yoshimoto : 07:08 AM | コメント (0)
March 19, 2010
匂い、臭い、ニオイ・・・香り
“ 匂い ”、“ 臭い ”、“ ニオイ ”
ではなんとなく香りに違いがありますよね。
“ 匂い ”は、一般的なにおい。
“ 臭い ”は、嫌なにおい。
“ ニオイ ”は、トイレのにおい。
・・・・かな(*゜・゜)ンッ?
善本歯科医院にもやはり、“ 臭い ”を訴えて来られる方が数多くいらっしゃいます。
いわゆる・・口臭。
口臭の原因は大きく分けて5つあります。
口・鼻・喉・胃・肺の5つです。
肺がなぜ??って思われた方もいらっしゃると思いますが、例えばアルコールを飲みすぎた翌日もアルコール臭がするのは、血液中に入ったアルコールが肺から呼気として出されています。
口臭と言っても原因究明をしていかなければ解決はとても難しいです。
におい・・そのものがとても難しい感覚ですよね。
良い匂いと感じるのか、嫌な臭いと感じるのかは、人それぞれですからね。
待合室に設置した、空気清浄器・マジックボール。
空気を綺麗にしながら、アロマの香りも楽しめます。
でもこの香り選びにはとても苦労します。
4つの香りを選んでみました。
今日は、オーシャンという香り。
どんな香りなんや??って突っ込まれそうですが、
O(´^`)o ウーン、海?
海なら潮の香りをイメージしてしまいますね。(^^ゞ
やっぱり、オーシャン・・・が正しいですね。
香りに来てくださいね。
ってわざわざ来るわけないか``r(^^;)ポリポリ

投稿者 yoshimoto : 06:54 AM | コメント (0)
March 16, 2010
アロママッサージ始めました。
アロママッサージ、始めました。
????
と言っても、ここは歯科医院。
もちろん口腔内限定のマッサージです。
専用のアロマオイルが入ったジェルを使用しての、
“ 歯肉マッサージ ”
善本歯科医院・衛生士2名が歯肉マッサージのセミナーを受講し、歯肉マッサージを提供できる環境が整いました。
歯周病メインテナンス中の患者様で比較的コントロール状態の良い患者様に限って歯肉マッサージを提供していきたいと思っております。
“ 思わずウトウトしてしまう心地よさ ”を患者様に・・・

投稿者 yoshimoto : 07:43 AM | コメント (0)
March 13, 2010
カエル院長のホワイトデー
喜んでもらえるプレゼントって難しいですよね。
でも最近喜んでもらえるプレゼントは何かって分かってきました。
私が貰って一番嬉しいものは?
って考えればおのずと答えが出てきました。
私が貰って一番嬉しいもの・・・それは、私を喜ばせようとして悩んでプレゼントをしてくれた気持ちですね。
あー、めんどくさいなぁ!なんでもいか!
って選んでくれたプレゼントなんてやっぱり嬉しくないですからね。_(^^;)ゞ
さてカエル院長からのホワイトデーは???

手前の物はなんだぁ???

やっぱりカエル院長からのプレゼントはカエルかぁぁぁああぁーー!!
カエルの大判焼です。
後ろの白い袋の中身は・・・ナイショ
(^O^)ヒ(^-^)ミ(^・^)ツ
(゜≠゜)クチチャック♪
こんな感じで私も頂きました。

投稿者 yoshimoto : 07:05 AM | コメント (0)
March 09, 2010
縫合の仕方?
歯科治療のほとんどが、外科的処置です。
一日の治療で麻酔を使用しない日はない、と言っても過言ではありません。
時々、お話だけで治療(?)が終わる患者様もいらっしゃいます。
例えば、歯因性の心身症の患者様の場合はそうです。
明確な治療方法が無く、いつも手探りの状態です。
もう5年程前になりますが、10何軒の歯科を受診し結果が出ず悩んでいらっしゃる患者様が来院されたことがありました。
詳しい病歴や治療内容に関してここで記す事はできませんが、結果はうまくいきました。
夫婦揃って、医院にお礼に来られたときは、嬉しかったと言うよりは、ほっとしました。
どうすれば、なぜ、ダメか、今度は、わからない・・・などとずっとその患者様の事を考えて毎日を過ごしていました。
考えることは否定的なことばかり。
歯科医師・善本と、個人・善本の区別ができなくなってしまい、ずっと何日も歯科医師・善本から脱却できませんでした。
だから、個人・善本に戻れると思い、ほっとしたんでしょうね。
昨日のドラマ・コードブルーで主人公の藍沢先生がこんな事を言っていました。
『破れた傷を縫う方法を外科医は何通りも知っている。心の傷を縫いあわせるにはどうすればいいんだろう…』
そしてこんなことも、
『心の傷を癒す簡単な方法は…ない。ただこうも思う。心の傷はきっと必要なことだ。なぜなら心に傷を負う事で他人の傷みに気付けるようになれるから。』
この言葉を聞いたとき、私は心打たれ、安心しました。
私の中にある数多くの心の傷は無駄ではなかったんだ・・・と。
でも逆の悲痛な訴えも聞こえてくるのも事実です。
それは、
『他人の痛みなんて気付けなくてもいい。早くこの心の傷を治してくれ。』
・・・・と
さてコードブルーを見ているときは、ヤッパリ主人公の山下智久さん演じる、藍沢先生になりきっていますよね。
でも、見終わってふと鏡を見ると、浅利陽介さん演じる藤川先生の方が近いという現実が・・・・``r(^^;)ポリポリ
写真真ん中、めがねの先生が、藤川先生です。

投稿者 yoshimoto : 07:03 AM | コメント (0)
March 06, 2010
往診中はご迷惑を・・・
往診に伺うのが楽しいお家があります。
以前にもブログで書きました、
“ 滝のあるお家 ” です。
昨日久しぶりに往診以来があり診療後に伺ってきました。
往診に伺うときとても申し訳ないことが一つあります。
それは、車の駐車です。
私たち歯科医師は、往診に限って使用できる、
“ 駐 車 禁 止 除 外 標 ”
というのを申請し交付されております。
もちろん、“どこにでも停めてもいいですよ。”という意味ではなく、交通の妨げにならない場所、歩行者の安全を考えた場所とか、当然ながら使用にはモラルが必要です。
滝のあるお家は、細い片側一車線の山道を上がって行かなければならない場所。
しかも・・・バス道。
お家の近くに一箇所だけわずかな、わずかなスペースがあり、そこになんとか停車してそこから徒歩で滝のあるお家に伺っています。
そこなら交通の妨げにはならないのですが、いつも行き来するドライバーに嫌な目をされてしまいます。
そこで必ず往診に伺うときは、車に乗る前から白衣を着ています。
行き来するドライバーも、白衣の私を見て、
ちょっと納得してくれるかなぁ?
という淡い期待を込めて・・・
でも昨日は残念でした。
バスに大きなクラクションを鳴らされ、凹んでしまいました。
申し訳ないですが、滝のあるお家に往診に伺うときはここしか停める場所がなく許してくださいね。
いつもなら淹れてくれるコーヒーを飲みながら、おじいちゃんと話をするのが楽しみなのですが、昨日はなんとなくクラクションのことが気になり、
“もう帰るんですか”
と言わんばかりのおじいちゃんの顔に後ろ髪をひかれる思いで、お家を後にしました。
この白衣、普段は着ないですが、
“白衣の効果”
を期待しての着用。
歯科の往診は器具・機械が多く、とても重たいんですよ。

投稿者 yoshimoto : 06:57 AM | コメント (0)
March 04, 2010
触れる喜び
隠れ家VS秘密基地なるブログを書き始めて、いろんなことを思い出しました。
昔抱いていた、思い・感情・希望・喜び、そして感謝などを・・・
何かちょっとした事で、目の前に見えている景色が、とてつもなく明るく自分の心の中に入ってくる感情。
あの感情を思い出しました。
例えば、こんなくだらないことで、毎日が楽しかったことがありました。
1949年に一ドル360円と為替が定められ、1971年までこの360円が続けられていました。
私が大学に入学した32年前頃、1977年から1978年ごろに円高が進み、初めて一ドル180年となったあの頃、
海外の製品がその影響で安く手に入るようになり、貧乏学生にも“ 海外物 ”を手にするチャンスが訪れました。
海外の映画やプレイボーイという雑誌でよく見かけていた、あの憧れの物。
あの憧れの物を買ったときは、目の前の景色がとてつもなく明るく微笑んできてくれているようで、毎日が楽しかったなぁ。
それは・・・
Zippo のライター。
一ドル180円という為替のおかげで、貧乏学生の私ははじめてZippo のライターを手にすることが出来たんです。
カシャ、ジュポ、カシャ。カシャ、ジュポ、カシャ。・・・
と永遠と繰り返して、音と匂いを楽しんでいました。
歩いているときも、ポケットの中で、開け閉めして楽しんでいました。
くだらないことなのに、人生が明るく楽しく充実していたのはなぜでしょうか?
それからタバコをやめる5年前まで、私は初めてZippoを手にした時の、あの感情を忘れることなく持ち続けていました。
変なやつですよね。``r(^^;)ポリポリ
初めて患者を治療したとき、緊張しまくりでしたが、目の前に見える景色はとてつもなく明るかったのを覚えています。
手にする器具や薬品。
その当時は、触るだけで喜びでした。
でも残念ながらこの喜びを持ち続ける事を、私は忘れていました。
でも最近あの頃の、ただ触るだけで喜んだ感情が湧き始めています。
えっ、どうしてまた湧いてきたんだろうか???
この感情は大切にしていきたいですね。
いつも使っている器具や薬品に“ 感謝 ”に似た感情が湧いています。
そして、患者様に対しても、“ 感謝 ”に似た感情が・・・・。
毎日使わない日がない、この器具に対しても、使う喜びや感謝を感じています。
この器具何に使用するか分かりますか?
絶対に分からないと思います。
この器具は・・・ナイショ

投稿者 yoshimoto : 10:44 AM | コメント (0)
March 02, 2010
どや顔
なにか難しいことを完璧にこなした時や、上手くいった時、自慢したくて、
どうだ、凄いだろう
って顔になることがありますよね。
いわゆる、
“ ど や 顔 ”
です。(*^^*ゞ
まだまだ、歯科医師としては駆け出しの頃、私がしても上手くいかなかった治療を先輩の先生に代わり上手く治療が進んだときに、よく先輩の先生に“ ど や 顔 ”をされました。
治療が上手くいったことには感謝するのですが、患者様の前で堂々と、“ ど や 顔 ”をされると、
『こいつが出来なかったことを、私が難なくしてあげました。』
って言われているようで嫌でしたね。
絶対に、こんな自慢顔をしない先生になろうと思っていました。
でも人間って上手くいったときは、誰かに自慢したくなる動物ですよね。
``r(^^;)ポリポリ
自慢したくなるということは、
“出来ないことがある”
という意味でもあります。
医療現場では、どんな難症例も涼しい顔して、当たり前にこなせるようになれることが理想ですよね。
さて、ボクサー善本はジムでは、
“ ど や 顔 ”
のオンパレード。
だって、たまーーーーにしか、いいパンチが出ないんですから、いいパンチを打てた時ぐらいは自慢させてくださいよ。(*^.^*)エヘッ
ジムの壁一面鏡張り。
“ ど や 顔 ”の自分に酔ったりして・・・
たまに、“ ど や 顔 ”をしたのを他の練習生に見られたときは、めっちゃ恥ずかしいですね。(‘-‘*)エヘ
“ ど や 顔 ”は下手くその現れ・・・って分かっていますよ!!
昨日から私の自宅にまた一人(一匹?)、ボクサーが仲間入りしました。
こいつがまた私の物まねをするのが得意なんです。
こいつが新人の、
“どや顔ボクサー蛙選手”です。

あとの二人(二匹?)は真面目に練習してるのに、こいつだけは・・・・困ったものですね。
どや顔は慎みましょう・・・ねぇ。(-o-)

投稿者 yoshimoto : 06:49 AM | コメント (0)
February 27, 2010
ありがとう、玉井!!
衛生士リカが、今日で退職します。
多くの患者様に慕われ、この5年11ヶ月、口腔衛生指導に尽力してくれた、衛生士リカ。
サプライズを企画するのがとても好きだった、衛生士リカ。
結婚するのはおめでたいことだけど、善本歯科医院を離れることはスタッフ一同、そして患者様にとっても大きな痛手です。
でも次の新人衛生士はとても指導力があり、心優しい衛生士。
衛生士リカの抜けた分を十分に埋めてくれると信じています。
患者様も安心してくださいね。
さて昨夜は衛生士リカの送別会。
カニ~~で大騒ぎ。

サプライズ好きの衛生士リカの最後のサプライズ。
なんと私へのプレゼント・・・

それもなんと、二つもぉぉぉおおおぉぉーーー!!

中身はなんだぁ???
じゃぁぁぁーーーん!!

カエルの小物入れと、カエルの○×ゲームでしたぁぁーー。
ヤッパリカエルか!!
ピョンピョンピョンγγγ彡ヽ(^゜ρ゜)ノ
・・・・ここでいつもブログを読んでくださっているメグちゃんへのサービス写真。これからも読んでくださいねぇ。なっちゃんアシスタントにはいつも助けられています。・・・・

玉井、ありがと。
幸せにね。
そして、チーム・ヨシモトはお前のことを一生忘れないからな。
どんな時も、患者様に優しく接してくれた事は、患者様も決して忘れないと思うよ。
じゃぁ、また

投稿者 yoshimoto : 06:52 AM | コメント (0)
February 22, 2010
今週でお別れ
5年間一緒に働いた、リカ衛生士が今週いっぱいで退職です。
6年前に、実習生として善本歯科医院で一ヶ月研修。
他の実習生とは考え方、動き方、患者様との接し方がまったく違う。
学生なのに完成されていてびっくりしました。
彼女は歯科助手学校を卒業し、すでに一年の歯科助手経験者。
歯科医療の現場で働いてみて、自分をステップアップしてみたいと思い、歯科衛生士学校に入り、一から勉強しなおした、頑張り屋さん。
彼女にはこの5年間、いろいろ助けられました。
本当は去年の6月で退職予定だったけど、なかなか次の衛生士が決まらない善本歯科医院の現状をみて、自ら、
『来年の2月いっぱいまでいさせてください。』
・・・と。
退職して、3月の結婚式までいろいろとやりたいことがあっただろうに、ついつい彼女の言葉に甘えて今日まで来ました。
これほど、患者様に親しまれた衛生士がいなくなるのは、悲しいけど、これもまた人生。
今日から新しい衛生士が、チーム・ヨシモトに入ります。
新人ではなく、超ベテラン衛生士。
新人の超ベテラン衛生士には、リカ衛生士の役割を全て吸収してもらい、さらなるステップアップを行っていきます。
今の“ 歯のおそうじ ”部門は、オクヌシ衛生士、リカ衛生士の存在なくしては確立しえなかったでしょうね。

投稿者 yoshimoto : 07:02 AM | コメント (0)
February 20, 2010
恐縮です。
いつもよりとても緊張して、治療に取り組んでしまう患者様がいます。
どうしても平常心ではいられない自分がそこにいます。
緊張という言葉は適切じゃないかなぁ(._.?) ン?
うぅぅぅ~~ん、そう!!
恐縮して・・・が正しいなぁ!!
とても恐縮して、治療に取り組んでしまう患者様がいます。
それは私の恩師に当たる方が、患者様として来院されたときです。
中学時代の校長先生。
とても朗らかな声の大きな先生。
受付に来られた時点で、中の診療室まで聞こえる大きな挨拶の声で、
『あっ、校長先生が来たな!』
っていつも分かります。
中学時代に校長室で指導を受けた経験のある私は、いつも治療の時、
『まっすぐ立て!歯をくいしばれ!』
って言われているようで、直立不動の状態で恐縮しながら治療をしています。
(*´σ―`)エヘヘ
高校時代の担任の先生。
物腰は柔らかいけど、兄貴のような存在で信頼され皆から慕われていた先生。
高校時代はとても私の事をかばってくれて、指導してくれた思い出深い先生。
でも口の中は???なので、指・導 をしなければならないのは、とてもとても恐縮します。
(*´σ―`)エヘヘ
高校時代の家庭教師の先生。
家庭教師といってもこちらから先生の家に行って教えてもらっていました。
現役を退職された先生で、家の門から玄関まで行くのに、森(?)の中を通っているかのような大きな庭。
いつも玄関で迎えてくれたとき、口をもぐもぐされていて、お漬物の匂いがしていたのを覚えています。
とてもその匂いが苦手でした。
15年以上前になるかなぁ?
受付が、
『高校時代の先生と言われる方が来院されていますがご存知ですか?』
・・・と。
名前を見ると女性の名前。高校は男子校だったので、女性の先生はいなかったので、名前を見てもピンと来なかったけど、診療室に入って来られた時のとても柔らかい笑顔、そして・・・・
お漬物の匂いですぐに、
あっ
って思いました。
(*´σ―`)エヘヘ
歯科医師の大先輩。
昨日受付が慌てて、
『兵庫県歯科医師国保・本人の保険証を持ってこられた患者様がいらっしゃっていますが、お知り合いの先生ですか?』
名前を見てびっくり、まさしく大先輩の先生。
丁度急患などで忙しい時間帯で、一時間も待たせてしまい、いきなり恐縮。
さらに全て治療を理解されている同業者。
私は出す言葉を、一言一言自分の脳の中で確認しながらの作業。
人生最大の“ 恐縮です診療 ”でした。
(マリモッコリの左手の上に“ 甲 ”と書かれていると歯科医師本人。“ 乙 ”と書かれていると、従業員となっています。)

投稿者 yoshimoto : 07:10 AM | コメント (0)
February 17, 2010
イメージの大切さ
イメージを抱くことはとても、良いことですね。
でもイメージを抱くものの本質を取り違えると、そのイメージはドンドン間違った方向に膨らんでしまいます。
間違った知識が、間違った考えを生み、そして間違ったイメージを抱いてしまう。
よく患者様からこんなことを言われます。
『歯と歯の間に隙間が出来て物がよく挟まるから、歯と歯の間を埋めてくれ』・・・と
この患者様は隙間を埋めさえすれば、全ての事が解消されるとイメージを抱いています。

この絵のイメージが頭の中にあるので、それで解決出来ると信じています。
でも歯と歯の隙間はもっと大きくなっているのです。
歯ぐきをめくると、

こんなにも大きな隙間が。
実際に歯と歯の隙間を埋めるにはこれだけ大きなものを詰めてやらなければ無理です。
でも詰めれば、歯ぐきを圧迫し歯ぐきが腫れてきます。
さらに歯と歯の間に僅かに侵入した食べ物を取り出すことが出来なくなり、さらに歯周病を悪化させ、さらなる隙間ができてしまいます。
どんどん悪い方向へと進んで行きます。
さて、この説明で皆様はイメージできましたか?
おそらく正しいイメージが出来た方は、半分くらいかな?
イメージ出来ない方はなぜイメージできないかというと、歯と歯の間に隙間ができた根本的理由が理解できていないからなんですよ。
正しい知識があって、初めて正しいイメージを抱くことができるんですよね。
でも情報過多のこの時代、何が正しいかの判断も難しくなっています。
お昼休みに昼食をとっていると、隣の席から聞こえてくる、ご年配の女性の会話、
『医者の言うことなんて聞いてたらあかん。』
『そんなにいっぱい薬飲んだらあかん。』
『寝つきが悪いからいうて、眠り薬飲んだらあかん。昼間しっかり動いてたら寝れる』
『くよくよ考えるから寝られへんね。』
この会話は全てが間違っているわけではありません。
でも全ての人に通じるアドバイスではないことは確かですね。
最近ジムで、私の抱ている間違ったイメージを指摘されます。
ボクシングをしているイメージの中では、私の対戦相手はいつも超スローモーション。
でも私の動きは超高速スピード。
私のイメージの中では、どんなに強い相手だって負けるわけがないし、どんな技だって使える。
イメージの中では殴られたって痛くない。
でも全てが間違った知識から生まれた、一種の妄想・・・ですね。
(〃’∇’〃)ゝエヘヘ ``r(^^;)ポリポリ
正しい本質を見極めましょうね。

投稿者 yoshimoto : 07:13 AM | コメント (0)
February 13, 2010
評判がいい・・・スタッフ
善本歯科医院には、とても評判のいいスタッフがいます。
あっ、表現が間違っていました。
善本歯科医院のスタッフは、とても評判がいいです。
(; ̄― ̄)…ン?・・また自慢話か・・(*゜・゜)ンッ?
ちょっとお付き合いを・・・
患者様に対して評判がいいのは当たり前!!
実は、衛生士学校の生徒にとても評判がいいそうです。D(^-^)ネ!
善本歯科医院は父の代から、兵庫歯科学院・衛生士学校の実習受け入れ先医院として、30年に渡り教育現場として提供しています。
今のスタッフは、その衛生士学校の学生さんにとても慕われています。
実際には患者様への医療サービスと、学生への教育を両立することは難しく、ストレスの溜まることが多いのが現実。
でも善本歯科医院スタッフは皆、そんな顔をせずに両立させてくれています。
そして分からないことがあれば懇切丁寧に、学生に教えているそうです。
そのスタッフを慕って、先日去年の7月の一ヶ月間実習にきていた二人が診療後遊びに来ていたそうです。
そうなんです。
何がって(・_・)……ン?
来ていたそうなんです。(*´σー`)
私が帰った後に、来ていたそうなんです。
私は会っていません。(キ▼д▼;)トホホ・・
・・・モシカシテワタシハキラワレテイルノカ
でもこのように学生達が就職の報告などに来てくれるのはとても、とても嬉しいことです。
一人ぐらい、私を目当てに来てくれればもっと嬉しいのになぁ~_(^^;)ゞ
そこでとても慕われているスタッフのおかげで、おこぼれを頂戴しました。
学生からのバレンタインチョコ!!
田中さん、西岡さん、就職内定おめでとう。
(*^◇^)/゜・:*【祝】*:・゜\(^◇^*)
あとは国家試験がんばってくださいね!!
嫌でも二人は、善本歯科医院の教え子の一員です。
いつかまた縁があったら、一緒に仕事しましょうね。
実は今度からチーム・ヨシモト入りする予定の衛生士は、20年前の教え子なんですよ。
20年後のいつか、田中さんと西岡さんがチーム・ヨシモトに入りたい時は連絡して来てくださいね。
バレンタインチョコ、ありがとうございました。

投稿者 yoshimoto : 07:10 AM | コメント (0)
February 06, 2010
綺麗な空気
綺麗な空気って、気持ちいいですよね!(^^)!
私たちが日ごろ、医院の空気を綺麗にすることに心がけていること・・・
まずは、見た目。
そう、綺麗に掃除がいきとどいている事。
白衣が汚れていないこと。
でも見た目が綺麗でもスタッフの雰囲気が明るくなければ、医院の空気は綺麗に感じません。
いつも、明るく、笑顔で・・・
が、善本歯科医院のモットーです。
そしていつもいい香りで、お出迎え。
アロマで空気を綺麗に・・・
さらに、空気を綺麗にする新兵器を、待合室に置いてみました。
マジックボール!!
このマジックボールは空気洗浄機。大気中に無数に浮遊している細菌やニオイの原因となる物質
マジックボールから放出される目に見えないミストで包み込んで消滅させる、「空気をキレイに洗う」という新発想から生まれた画期的なアイテム。
・・・だそうです。
でもなんといっても、綺麗な空気にする基本は・・・
笑顔をプロデュースする、スタッフ一同の信念ですね。

投稿者 yoshimoto : 07:17 AM | コメント (0)
February 05, 2010
注射器をプレゼント((+_+))
こんなものを妻からプレゼントされました。

えぇぇぇーーー注射器では???
素人が扱える代物ではないのに(・・。)ん?
犯罪の臭いがする。
実はこれは注射器型のボールペンでした。
(´▽`) ホッ
スタッフ全員へのプレゼントでした。
こんなお守りもプレゼントされました。
歯守
患者様へのご利益を期待して、受付カウンターに置いておきま~す。

投稿者 yoshimoto : 07:11 AM | コメント (0)
February 02, 2010
あわてんぼうのバレンタイン(^o^)ゞ
今朝院長室に入ってみると、机になにか荷物が????
メッセージを見てみると、
エリザベスからのバレンタインプレゼント!!
ここでエリザベスとは誰かというと・・・・
善本歯科医院・元受付嬢のことですo(*^▽^*)o!
私が帰った後に医院に遊びに来たようです。
今年一番のバレンタインプレゼントは、エリザベスに決定。
私への一番のプレゼントを贈ろうと考えていた女性の皆さん、ザンネンでした。
来年がんばってくださいねぇ!
って、言ってみてぇぇぇええぇぇ~~``r(^^;)ポリポリ
私がもてたのは小学5・6年生がピークでしたね。
ピークがあるだけましか???

投稿者 yoshimoto : 07:14 AM | コメント (0)
January 28, 2010
ブラウン電動歯ブラシの感想
今まで使用していた音波歯ブラシ(写真右)に比べて、ブラウン電動歯ブラシ(写真左)は、
歯に強く当たる感じがする。
ブラシが大きく感じる。
回転運動をするためしっかりと持たないと振り回される感じがする。
器械そのものの設定が難しく感じる。
ブラシの数が多くて、どれをどのような場合に使用すればいいか分かりづらい。
歯に強くあたるものの、しっかり磨けている感がある。
ブラシが大きく感じるのは今まで使用していたブラシが小さいからか?
器械を一度設定するとあとは簡単。
ブラシの種類が多く ( 一般・ステイン・歯間・舌用と多数 )、目的別に使用すればかなりきれいに磨ける。
・・・・というわけで、一般の人が使用するには音波歯ブラシの方が簡単で使用しやすいですが、プロの指導の下、ブラウンの電動歯ブラシを使用すれば、ブラウンの方が歯垢除去率が高いと思われます。
私は、ブラウンの電動歯ブラシの方が気に入りました。
あくまでも、私の感想ですので_(^^;)ゞ
あっ、それと歯周病でかなり歯に動揺がみられる方にはお勧めできないですね。

投稿者 yoshimoto : 06:54 AM | コメント (0)
January 24, 2010
歯科衛生士募集(今春卒業予定者可)
一緒にチーム・ヨシモトで働いて頂ける衛生士を募集致します。
詳細は面談の上。
電話かメールでご連絡下さい。
今年春卒業を予定されている現在学生の方でもOKですよ。
℡: 078-732-3009 メール: info@yoshimoto-dc.jp

投稿者 yoshimoto : 08:29 AM | コメント (0)
January 23, 2010
音波歯ブラシ VS 電動歯ブラシ
5年ほど前から使用している音波歯ブラシ。
バッテリーがすぐなくなってしまい、頻繁に受電しなければ使用できなくなって不便を感じていました。
5年ほど前、ブラシが回転運動する電動歯ブラシとは違い、“ 音波で歯垢を落とす ” という衝撃的なキャッチコピーで一気にシェアーを獲得した音波歯ブラシ。
その後他社もそれに追随するかのように、音波歯ブラシ一色となりました。
その中で、ブラウンという会社は、“ 電動歯ブラシ ” にこだわりをもっていました。
昨日、詳しくブラウン電動歯ブラシの商品説明を受け、一度使用してみようと思い注文しました。
理想とするブラシの運動を再現し、しかもブラシの種類の豊富さに感動を覚えました。
電動歯ブラシは過去の遺物・・・と勝手に解釈していた自分が、ちょっと勉強不足で恥ずかしかったです。
でも実際に使ってみないとわかりませんが、しばらく使用してみて感想を述べたいと思います。
今どこを磨いているか、そしてどの部位をどれだけ磨いているかというナビゲーションシステムがついており、またタイマーやプレッシャーセンサー(ブラシの過度の押し付け防止)まで・・・
今回は歯科医院スタッフ限定の特別価格・・・なんと半額!!
なんといっても良い物が安いって、いいでしょう(^o^)ゞ

投稿者 yoshimoto : 07:23 AM | コメント (0)
January 22, 2010
尋ね方
人に物事を尋ねるって結構難しいですよね。
聞き方一つで、相手に不快な思いをさせてしまったり、または勝手に聞き手が望む答えに誘導されたり・・・
ちょっと一息ついてコーヒーを・・・
この時期は、温かいというよりは、熱いコーヒーを飲んで体の芯から暖まりたいと思ってコーヒーショプへ・・・
コーヒーを注文するときとてもドキドキしてしまいます。
理由は、マグカップではなく蓋付の紙コップで飲みたいから。
マグカップだとすぐに冷めてしまい、ぬるくておいしくなくなってしまうので保温性の高い蓋付紙コップで飲みたいんです。
ある店員さんは、
「マグカップでよろしいですよね(^^ゞ)」
・・・と
この聞き方だとエコの為マグカップでお願いしますよって半強制されてるようで困ります。
内気な私はどうしても、
「はい(^^ゞ)」
って答えてしまいます。
でも昨日の店員さんは、
「マグカップにされますか?紙コップにされますか?(^^ゞ)」
「申し訳ないですが紙コップでお願いします(^^ゞ)」
で、昨日はあっついコーヒーをゆっくり味わうことができました。
私の診療でも聞き方に苦労することがあります。
特に保険診療か自費診療、どちらを希望されるかをたずねるときです。
デンタルダイアモンドという歯科雑誌に、ある詩人がエッセイを載せていました。その中に、
『この歯に被せるのは保険のきく金属でいいですね、などと質問されるのは困る。貧乏人のなりはしているけれども、私にも見栄というものがある。笑ったときに金色、銀色の歯が見えるのはいやなのである。』
まったくこれとは逆に、自費で白い被せをされますか?と聞くと、とても困った顔をされる患者様もいらっしゃるのも事実。
さてどの患者様にも、不快な思いをさせない聞き方は????
答えは、
患者様一人一人とのコミュニケーションしかないですよね。(*^^*ゞ

投稿者 yoshimoto : 07:19 AM | コメント (0)
January 19, 2010
歯肉マッサージ
よく患者様が言われることに、
「ハブラシで歯肉を毎日マッサージしてるのに、どうして歯肉が腫れるのかな?」
歯肉が腫れる原因は、歯周ポケットに溜まった歯垢に細菌が感染し毒素を出す為。
歯周ポケット内の歯垢を除去することが大事で、歯肉をマッサージするという考えに根本的な間違いがあります。
例えば、体を洗うのにはブラシを使用することがあるかもしれませんが、体をマッサージするのにブラシを使用しますか?
(もちろん乾布マッサージや、たわし健康法があるのは事実ですが、あくまで特殊な話。)
答えはNOですよね。
それでは、歯肉はどうやってマッサージしてあげるのがベストなのでしょうか?
答えは????・・・でした。
この度、患者サービスの一環としてプロが行う歯肉マッサージ方法を勉強し、
“ トリートメント ”というより、
“ デンタル・スパ ”的要因を取り入れていきたいと思っております。
実際に患者様に提供できるのは、春ごろになりそうです。

投稿者 yoshimoto : 07:38 AM | コメント (0)
January 13, 2010
誇らしく思えた一言
午前中に来院された患者様が、歯が痛いといって午後も来院。
午前中セットした入れ歯がハグキに当たって痛いのかなぁ?と思いスタッフに尋ねると、この次治療予定の歯が痛むそうですとのこと。
私の頭の中では、
あー、あの治療には20分ぐらいかかってしまうな。
どの患者と患者の間で治療をしようか?
予約がいっぱい、いっぱいで空いてる時間がない。
予約の患者様に迷惑がかかってしまう。
でも痛がっている患者様を帰すわけにいかない。
そういう状況を判断したスタッフは一瞬にしてギアチェンジを行い、仕事のペースを上げ無事治療完了。
もちろん予約の患者様には、その後10分ぐらいずつの遅れが生じたものの、特にトラブルなく午後の診療を終えました。
後日、その患者様が来院されたとき、
「普通なら一日に二度も来たら断られるのに、診てくださってとても嬉しかったです。そして忙しくて大変なのに、皆が変わらない笑顔で接してくれて・・・・ありがとうねぇ」
・・・って。
あの状況でスタッフの笑顔が絶えなかったこと。
とてもとてもそれが、私としては誇らしかったですね。
そしてその患者様から、スタッフ全員にメロンパンとカレーパンの差し入れを頂きました。
そのパンにいろんな思いが込められていて格別の味でした。

投稿者 yoshimoto : 07:10 AM | コメント (0)
January 09, 2010
しょうゆうこと!!
最近、心理学に関する本を読む機会が増えてきました。
心理学を勉強すると、自分という人間を客観的に捉えることができるようになりました。
もちろん、ほんの少しだけですけどね``r(^^;)ポリポリ
自分を客観的に捉えると、自分の感情で隠されて見えなくなっていた相手の感情が見えてきます。
(見えてきます・・という表現は断定的すぎますね。見えるような気がしますが正しいかな(‘_’?)…ン?)
今までより冷静に、そして確実に耳を傾ける事ができるようになりましたね。
投影性同一視
とても聞きなれない言葉ですよね。
私も最近この言葉を知りました。
ここでの投影性同一視の説明は避けますが、この感情行動を知ったとき少し目から鱗でしたね。
日常誰しもが行ってしまっている行動。
あっ、これか・・って感じです。
この行動が行き過ぎると精神疾患へと移行してしまいます。
自分の感情行動を冷静に判断できると、尚いっそう患者様の訴えに耳を傾けることができるはずですよね。
そういうことですよね!!
で、最後のオチは、これで・・・
(真面目なんか、不真面目なんかようわからん先生とは思わないで下さいね。)

投稿者 yoshimoto : 07:40 AM | コメント (0)
January 07, 2010
とことん傾聴
去年読んだ“ 傾 聴 ” に関する本。
いかにして人の話を聞くかという内容。
人の話を聞くときに、いきなり
“それはね・・”
“いや、違うね・・”
と否定で始まってしまうと人は話したがらなくなり、本心・本音を聞けなくなり、お互いの意思疎通ができなくなってしまいます。
問題は、明らかに間違った事を言っていたり、勘違いをしている時の傾聴の仕方。
でもこのときこそ、否定から始まってしまうと話がこじれてしまうことが多いですよね。
無理難題を押し付けてくる人の、いいなりになるということではありませんよ。
どんな難題でも、一度相手に同調しなければ相手の気持ちを理解することはとても難しいです。
とことん傾聴
字にすれば簡単ですが実際は簡単じゃないですよね。
ちょっと意味は違いますが、これも本に書いてあったことですが、
“私は、平和集会には喜んで参加しますが、戦争反対集会には参加しません。”
とてもにこやかな顔の方が集まる集会はどちらでしょうか?
同じことをしているようで実際はまったく違っていることってありますよね。
難しいわけの分からない話はここまでにして、今日は今年初のボクシング練習に行く予定です。
丸10日間ジムには行っていないのでちょっと不安。
でもこの10日間はイメージトレーニングを積んできました。
年末にトレーナーの練習をビデオに撮ってきたので、DVDに落として毎日見ていました。
iPhoneにまで落として、出先でちょっとの空きが出来たときに観ていました。
すっかり頭でっかちになっている自分がどの程度動けるのか試してみるか(; ̄― ̄)…ン?
あっ、それと今日は初笑いにも行く予定です。
芸能人でもないのに、いちいち一日の私の予定なんて興味ないですよね。
分かっているんですけど、ブログの魔力ですかね(*゜・゜)ンッ?

投稿者 yoshimoto : 07:06 AM | コメント (0)
January 06, 2010
今日のカエル先生標語
昨日の仕事始め、びっくりするほど多くの患者様が来院されてんてこ舞いの一日でした。
長い待ち時間で大変ご迷惑をお掛けいたしました。
でもこれだけ多くの患者様が待っててくれていると思うと、身も心も引き締まる思いです。
以前の私は忙しい時は、“ 忙しいですオーラ ” を出して仕事をしていましたが、これは患者様にとても失礼なことだと思い、できるだけ、そうできるだけなんですが、“ 忙しいですが気にしなくていいですよオーラ ” を出すようにしています。
でも昨日は“ 忙しいですオーラ ” を出しっぱなしでしたね。
@(;・ェ・)@/反省…です。
今日のカエル先生標語はこれでいきますか??!!

投稿者 yoshimoto : 07:06 AM | コメント (0)
January 05, 2010
三兄弟
長い休みで、患者様には大変ご迷惑をお掛けいたしました。
本日より通常通り診療を開始いたします。
朝一番に留守電をチェック。
十数件のメッセージを確認し、一気に休みの体に血がめぐり診療態勢OK状態に。
年末年始、皆様はいかがお過ごしでしたか?
私は毎年のことですが、特に決まったことはなく、その日その日を楽しんでいました。
お正月と言えばやはり親戚が一同に集う日・・・というイメージがあります。
私の兄弟が集まるのもこのときだけですね。
・・・で、三兄弟で写真を撮りました。
正直、三人で写真を撮ったのはおそらく子供以来では(._.?) ン?
中央が一つ上の兄、右が4つ下の弟。
どうですか?
似てますか?

投稿者 yoshimoto : 07:00 AM | コメント (0)
January 02, 2010
年末年始休診のお知らせ
12月28日~1月4日まで休診致します。
尚、12月29日~1月3日までの年末年始の歯科診療を兵庫県歯科医師会・口腔保健センターにて行なっております。救急を要する場合は、351-1722 にお電話の上、受診して下さい。
交 通
●JR元町駅下車、北へ徒歩15分
●神戸市バス諏訪山公園下下車、すぐ前
●神戸市営地下鉄県庁前下車、北へ徒歩8分
●神戸高速鉄道花隈駅または阪神元町駅下車、北へ徒歩15分
投稿者 yoshimoto : 02:54 PM | コメント (0)
January 01, 2010
新年を迎えて
新年明けましておめでとうございます。
\_(^◇^)_/\(*^^*)/ 新年オメデトウ!
今年も善本歯科医院は、スタッフ一同、感謝を込めて歯科医療に従事していく所存ですので宜しくお願い致します。
皆様は今年の目標は立てられましたか?
たかーーーい目標を立てて、それが達成できた日の喜びだけを想像し一年を過ごしてみてはどうですか?
とても気持ちの良い一年になるでしょうね。
o(*^^*)oワクワク
今から12月31日が楽しみですね。
o(^▽^楽)o wakuwaku
今年の初日の出はあいにくこの程度でしたが、やっぱり海は気持ちよかったです。

投稿者 yoshimoto : 08:30 AM | コメント (0)
December 27, 2009
治す!!
一度読んだ本を、何度も読み返したことってありますか?
参考書以外でですよ。(*^m^*) ムフッ
私はこの一ヶ月間ずっと同じ本を読んでいます。
今朝、三度目を読み終えました。
私にとっては人生のバイブル(?)と言っても過言ではないと思います。
バイブルという表現は正しくないかな?
“苦しいときだけの神頼み”・・しか、したことがない私。
それもどの神様に頼んだのかもわからない神頼み。
これは全ての神様に失礼ですよね。
この本の中で書かれている事を実行し、私のマイナス思考を少しでもプラス思考に変えていく訓練を今しています。
でもこの本の一説だけはどうしても信じることが出来ず、疑いの念を持ちながら読んでいました。
“治せない病気はない”
医療に携わっていての究極の悩み。
それは・・・不治の病。
「治りません。」
この言葉を医者は患者に告げたくない、逆に患者は聞きたくない言葉。
私の心の中は、
治せない病気でいっぱいでした。
治せない病気はない・・・と信念を持ち前向きな先生と、
治せない病気はある・・・・という諦めばかり発する先生
治せない病気はない
・・・・と言える自分自身を作っていくこと、そして決して諦めないという気力を患者に持たせる手助けをしてあげること。
絶対に忘れてはいけないことですよね。
もちろんその場しのぎの、調子だけで“大丈夫、大丈夫”って言う意味ではありませんよ。

投稿者 yoshimoto : 09:14 AM | コメント (0)
December 26, 2009
太陽の光で・・・
皆さんは自分の誕生石は何か知っていますか?
超有名な石が誕生石の方なら知っているでしょうが、私は自分の誕生石って知りませんでした。
妻から今年のクリスマスプレゼントに8月の誕生石が入ったアクセサリーをプレゼントしてもらいました。
8月の誕生石は、
ペ リ ド ッ ト
聞いたことある方いらっしゃいますか?
50年間生きてきて一度も聞いたことがないですね。
8月の誕生石・ペリドットとは、
古代エジプトで伝えられていたように、太陽の光で人生を明るく照らしてくれると信じられています。
ネガティブになった時、不安や怖れを感じる時に、太陽のような明るく軽やかな気持ちに導いてくれます。
豊かな知恵を授ける誕生石でもあり、身につけると仕事、勉強などがはかどります。
怒りや不安をなくし、内臓の働きを活発にし、筋肉を育て、心身の成長を促すと言われています。
また、夫婦の仲を良くし、家庭円満に導くとも言われています。
このペリドットという石の持つ意味を知ったとき、心の奥底からこみ上げてくるものがありました。
私が追い求めていたそのもののような気がして・・・
妻も石の持つ意味を知らずに買ったそうです。
そして、石の持つ意味を知ってびっくりしたそうです。
太陽のような明るく軽やかな気持ち
私の周りの人、皆にこの気持ちを分け与えて行きたいですね。
さて、今年の診療も今日で最後です。
患者様全員を笑顔で帰すことは叶わなかったけど、多くの患者様を笑顔にする事の手助けはできたかな?
来年こそは・・・
という目標はありません。
来年も・・・
患者様に笑顔をプロデュースできる医院であり続けます。
ペリドットってこんな色の石なんですよ。
緑の河童や蛙がイメージの私にぴったりの色ですね。_(^^;)ゞ

投稿者 yoshimoto : 06:53 AM | コメント (0)
December 25, 2009
患者様へのプレゼントは・・・
サンタさんから何を貰いましたか?
サンタさんとして何をプレゼントしましたか?
皆さんにとって楽しいクリスマスイブでしたか?
笑顔でいることがとても幸せですよね。(*^^*ゞ(*^^*ゞ(*^^*ゞ
出来るだけ多くの患者様に、クリスマスイブだけでなく、毎日、笑顔(*^.^*)をプレゼントできる院長サンタでいたいですね。
今日明日で善本歯科医院も今年の診療が終わりです。
今日はおっそろしく多くの患者様の予約が入っています。
ヨッシャー!!
全員、笑顔で帰すぞぉーー!!

投稿者 yoshimoto : 07:04 AM | コメント (0)
December 24, 2009
今年のプレゼントは、おっきいぞーー
さーーーて、今年の院長からスタッフへのクリスマスプレゼントはなんでしょうか?
えーっと、去年はなんだっけ???
一昨年は?
一年も前の事って結構忘れてしまってますね。O(*^▽^*)oエヘヘ!
歳だからじゃないですよ。
プレゼントを選ぶのって楽しいですよね。
プレゼントを受け取る瞬間の、スタッフのあのなんとも表現できない笑顔・・・・
プレゼントするほうとしては、とても気持ちいいです。
でも毎年プレゼントの中身を見てもらうのは、私が帰った後にしてもらっています。
私が居たら、中身を見た瞬間、
“なぁ~んだぁ(‘ε’)”
って顔ができないでしょ。
``r(^^;)ポリポリ
今回はちょっと大きなものなので、どこに隠そうか(‘_’?)…ン?
やっぱり渡す前に見られるのもサプライズ効果が薄れるしなぁ~。

投稿者 yoshimoto : 07:15 AM | コメント (0)
December 23, 2009
忘年会
昨夜は善本歯科医院忘年会。
お酒を一滴も飲めない私は、いつものようにジュースで、
( ^_^)/U ( ^_^)/U☆U\(^_^ ) U\(^_^ )カンパイ
お酒を飲めないのに、一番酔っ払ったかのようにはしゃぎまくりに、しゃべりまくり。
完全に今朝は、喉枯れ状態。(;´д` ) トホホ
今年の善本歯科医院のキーワードと言えば、
か ん こ く
ですよね。
というわけで、今年の締めくくりは韓国料理・・ということで、三宮の韓国食堂・コチュコチュ に行ってきました。
品数豊富でとてもとてもおいしかったなぁ~。
o(^o^o)o(^o^)o(o^o^)o ウキョキョキョって感じで大満足。
大満足といえば、やはり今年もこのメンバーで忘年会を迎えることが出来たことは最高の喜びです。
去年とは一人入れ替わりがありましたが、新人もすっかりチームに溶け込み、かけがえの無いチームの一員です。
でも、来年の2月いっぱいで一人結婚退職者が・・・・
正直私の心の中は、
・・(;へ:)ナカナイモン・・状態。
誰だぁ~、私から大事なスタッフを奪っていったのわぁぁぁああぁぁーーー!!
でもとてもとてもおめでたい話。
おめでとう。
そして、☆⌒(*^-°)v Thanks!!
昨日は、善本歯科医院・受付嬢の誕生日でした。

皆からのサプライズケーキとメッセージカードで、うれし泣き。
その場に居合わせた他のお客さんからも、
お誕生日おめでとうコールを頂き、感謝感激雨霰の受付嬢でした。
誕生日、オメデト☆彡(^_^)∠※ PAN!
来年の忘年会もメンバーこそ変われ、チーム・ヨシモトとして迎えることが出来ることを切に願っています。
そして今年もスタッフに感謝感謝・・・でした。
来年も・・宜しくです。
最後に有名人そっくりさん当てクイズーーーーー!!
この中に、釈由美子・水川あさみ・大塚愛・上戸彩・ビヨンセ・チェジュウ・石黒賢のそっくりさんが居ます。
絶対に居るんです!!
さて???誰と誰が似てるか当ててくださいね。
一人もいない、(_ _;)/~~~~" 降参!許して..なんて言わないで下さいね。

投稿者 yoshimoto : 08:07 AM | コメント (0)
December 18, 2009
もし痛むようでしたら・・・
「もし痛むようでしたら、次の約束関係なく、いつでも来てくださいね。」
「痛かったら我慢せずに、いつでも診ていただけるのですね。ありがとうございます。_(^^;)ゞ」
と、とても安心した顔をされる患者様もいれば、逆に・・・・
「えー、痛みが出るんですか?凄く痛いんですか?痛かったらどうしたらいいんですか?」
「痛いときはいつでもいいですから来て下さい。痛み止めも出しておきます。」
「痛み止めが効かなかったらどうするんですか?夜中や休みの日に痛んだらどうするんですか?どうしよーーーー痛かったら。ねぇ、先生どうしたらいいんですか?」
と、たった一言の“痛かったらいつでも来てください”が、その患者様の痛みという恐怖心をあおってしまう結果に・・・・。
“痛かったら・・・”という言葉イコール、“痛みがでる”となってしまう。
ならばどのように声をかけてあげれば安心してもらえるのか?
「もう大丈夫です。絶対痛みなんて出ないですから安心してください。心配御無用」
これは言いすぎか(*´σ―`)
結局答えは出ずに、毎回この一言をかける時、どんな返答が患者様から返ってくるのかドキドキしています。
「もし痛むようでした、次の約束関係なく、いつでも来てくださいね。」

投稿者 yoshimoto : 06:54 AM | コメント (0)
December 17, 2009
・・・・は無理です。
「・・・・したら駄目ですよ。」
「・・・・しないで下さいね。」
「・・・・は、残念ながらできませんね。」
「・・・・は、残念ながら無理ですね。」
病院ではこんな会話ばっかりですよね。
私はできるだけ患者様との会話では、否定形を使わないように努力はしてるのですが、やはり仕事上注意事項が多く、また注意事項の説明をおろそかにすると問題が発生するおそれがあるため、
『できないです』、
『駄目です』
という会話が多くなってしまいます。
患者様の要求がとても、とても、分かってはいても、残念ながら不可能な要求であることが多々あります。
それでも、 『できませんね。』 という前に、
本当にできないのか?
できるんじゃないか?
俺にできなくても誰か他の先生ならできないのか?
できないと決め付けていいのか?
・・・と必ず自問自答しています。
でもそれでも 『できません』、 『無理です』 と答えなければならないとき、自分の力の無さに落胆してしまいます。
昨日はまさにそんな一日でした。
私が子供の頃、
『駄目でしょ。』
『どうしてそんなことするの』
『ちゃんとしなさい』
『落ち着きなさい』
『静かにしなさい』
ってしょっちゅう怒られていました。
日常生活、否定文のオンパレードでしたね。(*^.^*)エヘッ
それだけ、やんちゃで手に負えなかったからでしょうけどね。(^^ゞ
とても記憶に残っていることが、
「2階から飛び降りちゃだめ。」
って言われたこと。
そう、毛布にくるまって2階から飛び降りたり、ダンボールに入って2階から飛び降りて、周りの人を驚かせたこと・・・・。
確かそのせいで足の骨を折ったことも???
それと、
「木の、上の方まで登っちゃだめ。」
今でも体は小さい方ですが、子供の頃はとても小さくて、敏捷だったのでチョコチョコいつも走り回っていました。
木登りが得意で、木のてっぺんまで登っては自慢していました。
そして、木の枝が折れて落ちて、手の骨を骨折をしたこともありました。

そういえば、こんな登りやすい木が街から姿を消しましたよね。
おそらく、木登りをして誰かが落ちて怪我でもしたら、責任問題になるのでこんな木がなくなってしまったのかな?
小学4年生頃、大晦日の日に、
“木の上でコマ回しができるよ”
って自慢してやったところ、後ろ向きに木から落下。
気がついたら、頭に包帯巻いてコタツでテレビ見てたことがありました。
・・・ということは、落ちてから何時間かの記憶が飛んでいたんですね。
今考えたら、おっそろしー話です。
でもなんで、木の上でコマを回そうと思ったのかな??
ポリポリ f^^*)
まさに幼少の頃はこんな感じかなぁ( ̄_J ̄)ん?

投稿者 yoshimoto : 08:04 AM | コメント (0)
December 16, 2009
カエル治療
昨日最後の患者。
治療中に質問攻め・・・
「この前型とったのに、どうして今日で終わりでないの?」
「神経取ってる歯なのにどうして痛いの?」
「水が苦しいぃいいぃいいー」
「顎が痛いぃいいぃいぃぃー」
「下の歯の治療をしてるのにどうして上の歯の型をとるの?」
「上の歯も悪いの?」
「今日で終わり」
「なんか舌触りが変」
「すぐ食べていいの?」
・・・・・・・・・
・・・・・・・・・等々
全て、無視して治療を続けました。
この最後の患者は、カエルだったので・・・
(´~`ヾ) ポリポリ・・・
しかし患者様って治療中こんなことを考えているんだと、改めて認識しました。
もちろん、今回の様な質問は想定内なので、治療に入るときに全て説明してから行っています。
また、説明し忘れた場合も、治療後丁寧に説明していますので、ご安心下さい。
カエルは・・・・・・・・私の妻です。
(^◇^)ケッケッケ…ケロッグ

投稿者 yoshimoto : 07:02 AM | コメント (0)
December 09, 2009
喪中のはがき
この時期に届く喪中のはがき。
あ、あの方のお父さん、亡くなれたんだ。
あ、あの方のおばあさん、亡くなれたんだ。
私が広島大学・口腔外科を退職後勤務した歯科医院は、大阪梅田の阪急グランドビル内の皓歯会という医院でした。
その医院で27歳の頃受け持った患者様。
とても怖がりで神経質。
2回のカウンセリングを行いやっと治療開始。
でも治療のたびに質問、質問。
さらに治療の間にMy手鏡でご自分の口の中を確認。
まだ27歳の若造なんて信用できない・・・というのがありありとわかり、なんとか信頼してもらおうと治療時間よりも、話す時間を多く持とうと努力しました。
半年が過ぎた頃、その患者様のお嬢様を紹介していただけるほど、患者様に変化が・・・・
とても治療がスムーズに運び、信頼していただいているのがはっきりとわかるようになりました。
でも、丁度その頃、善本歯科医院へ戻らなければならなくなり、皓歯会を辞めなければならないとその患者様に話すと、私もついて行くと・・・
あれから23年間ずっと大阪から定期的に通ってくださいました患者様。
いつも社長婦人らしくきちっとした身なりで、
いつも上品に、
いつも笑顔で、
いつもMy手鏡持参で、
そしていつも・・梨奈ちゃん(私の娘の名前)大きくなったでしょ
って言ってくれた私が受け持つ患者様で一番古い患者様。
・・・・今年の4月に亡くなられたとのお嬢様からの喪中のハガキ。
遅ればせながら、お供えを送らせて頂くと、お嬢様から電話が。
“遺品を整理していると、先生が生まれたばかりの梨奈ちゃんを抱っこしている写真が出てきたんですよ。遺影の横にその写真を置いています。だってうちの母、先生の事が大好きでしたから・・・・”
電話の向こうと、こちらで大泣きを・・・
『吉田さん、娘はもう22歳になりましたよ・・・・・・』

投稿者 yoshimoto : 07:06 AM | コメント (0)
December 06, 2009
オープンキャンパス
私たちの医療は、どういう人達によって支えられているのだろうか?
医師・看護師・衛生士・歯科技工士・理学療法士
????
あとはなんだ?
すぐに出てこないなぁヽ(´~`;)ウーン
歯科医師たるもの、これでは駄目だと思い、ある医療専門学校のオープンキャンパスに昨日参加してきました。
まず目立ったのが、半分ほどの参加者が10代とは思えないこと。
すなわち社会人、もしくは大学生では・・・・
この100年に一度の大不況、2年~3年かけても資格を取ろうと考えている人が多いことにはびっくりしました。
診療放射線技師・臨床工学士・視能訓練士・理学療法士・作業療法士・言語聴覚士・診療情報管理士
・・・と、いろいろな医療スタッフによって日本の医療は支えられているのを改めて認識しました。
全体の専門科の説明のあと、興味ある学科で詳しく説明があるとのことで、私は歯科の仕事ととても関係の深い、言語聴覚士科の教室へ向かいました。
言語聴覚士とは、
言語の発達障害、聴覚障害、脳卒中や事故などによる失語症、口腔顔面領域の奇形からくる発音・構音障害、または摂食・嚥下障害がある人達への適切なアドバイス、改善の手助けを行う仕事です。
私が広島大学を卒業し、口腔外科という科に入局した当時、この言語聴覚の専門の先生にとても親切に教えて頂き、お世話になった事を思い出しました。
でも失礼なことに、このオープンキャンパスに参加するまでの26年間すっかり忘れていたのは事実です。
歯科口腔外科では、顎顔面領域の奇形の手術を行います。
術後問題となることは、発音障害、構音障害です。
人とコミュニケーションをとる最大の方法である言葉。
声が出るのに、うまく音を作ることが出来ない人達へ、適切なアドバイスを行い改善の手助けを行う仕事、凄い仕事ですね。
なぜ26年も歯科医師をしていながらこういう医療スタッフの事を忘れていたのだろうか?
情けない話しですが、気づけてよかったです。
いつの日か、善本歯科医院でも発音・構音障害、摂食・嚥下障害を持つ患者様へ適切なアドバイスが出来る専門スタッフ・言語聴覚士による適切な指導が出来るような診療体制作りができればと思いキャンパスを後にしました。

投稿者 yoshimoto : 06:59 AM | コメント (0)
December 03, 2009
浮かれよう(~o~)
「何を浮かれてるねん。今はそんな時ちゃうやろ(゛ `-´)/ 」
って今までに何度言ったか、または言われたか。
でもこれって間違いのような気がします。
こんな時、そんな時だからこそ、明るく振舞い、気分を盛り上げていくことがとても大切・・・なんですよね??
気分が滅入っているときに、普通に過ごしている人が浮かれて見える。誰しもが思い感じること。
それは悪いことではありませんが、良い事でもありません。
どうせ状況が変わらないなら笑いましょう!!
・・・って偉そうなことを言っていますが、実はこれ自分に言い聞かせているんですよ。
さんまさんの口癖、
『人生、生きてるだけで丸儲け』
あまり好きになれない言葉でしたが、今はとてもさんまさんの、この“ 思 考 ” がとてもかっこよく思えます。
もう12月も3日目、善本歯科医院ではエレベーターホールで、蛙サンタさんがお出迎え。
そして受付では超超ミニサイズのサンタさんがお出迎えしています。
遊びに来てください。
・・・って歯科医院に遊びには来ないよね。
O(*^▽^*)oあはっ♪


投稿者 yoshimoto : 07:36 AM | コメント (0)
November 24, 2009
ゆとりを生む無駄
今朝もいつものように、診療所に来て、
10箇所の電気のスイッチを入れ、
7箇所のコンピューターのスイッチを入れ、
7箇所の器械のスイッチを入れた。
ここから一日にスタートである。
一日の行動で無駄なことってなんだろうか?
しなくていいことってあるかな?
確かにいっぱいあるよね!
お金の無駄はだめだけど、
お金のかからない全ての無駄を省けば、心のゆとりがなくなってしまう。
無駄なことはとても大切。
国の事業仕分け。
お金の無駄を省くことはとても大切なことですよね。
国における心のゆとりを生む無駄って何かな?
とても難しい問題ですね。
私は最近財布の中身の事業仕分けをしました。
以前の財布の中をみると、いろんなカードが、35枚出てきました。
新しい財布には、カードが3枚ぐらいしか入りません。
空間の無駄を省く作業の開始です。
35枚から4枚を選び、2週間過ぎます。
35枚から4枚に減らしても生活に何の支障もでませんでした。
ジーパンのポケットがかさばらず楽で、どうしてこんな無駄な大きな財布を持っていたのか不思議でなりません。
心のゆとりを保ち、心を軽くする範囲で無駄を省けば、違った世界が見えてきますよね。
さてと、毎朝ブログを書き終えた頃、やっと最後に入れなければならないスイッチを入れます。
善本歯科医院・院長のスイッチを・・・

投稿者 yoshimoto : 06:53 AM | コメント (0)
November 18, 2009
元実習生からのメール
元実習生から突然メールが・・・
兄を善本歯科医院に紹介いたしましたので、明日治療に伺いますので宜しくお願いしますとの内容。そしていつもブログ楽しみに拝見していますと・・・
17~18年前にたった一ヶ月間、善本歯科医院で実習を行っただけなのに、私を信頼して紹介してくれた事が、ただただ、単純に嬉しかったですね。
この一ヶ月間悩んでいたことがあります。
もう実習生の受け入れ先医院を辞退しようかと・・・・
実習生に必ず私が言う言葉、
「この一ヶ月間、いっぱい、いっぱい失敗して帰れ。但し、患者を傷つける失敗は一切許さんからな!!」
この言葉の真意は、
『どんな失敗をしても、善本歯科医院が全精力を使ってお前たち実習生をフォローするからな。しんどい一ヶ月になるけど、安心してついて来い。』
という意味。
でも、この真意が実習生に伝わっているのかなぁ?
という疑問と、
善本歯科医院が全精力を使って・・・のパワーが私に不足してきているのでは?
という疑問が・・・
この二つの疑問が頭の中を駆け巡り、臨床実習受け入れ先医院の任期更新の書類に判を押さずに、机の引き出しにしまっていました。
一昨日届いた、元実習生からの“治療以来メール”を見てもう少し実習生と関わっていこうと決心しました。
早く書類にサインして送らないと、向こうから断られてしまうかもねぇ。

投稿者 yoshimoto : 07:07 AM | コメント (0)
November 14, 2009
15年目の決断・17年ぶりの院内旅行(18)
思い出を引き出しにしまうのがもったいなくて、ずっと机の上に広げっぱなしだった院内旅行の思い出も、そろそろ引き出しに整理してしまわなければ・・・・
韓国に院内旅行に行くと決めた日からずっと勉強していた本。

キクタントラベルというわずか150ページの本。
必死で分けの分からないカタカナの羅列を覚えました。
「こんな言葉必要ないやろ」
と思いながらもどの単語も、フレーズもカットせずにタダひたすら暗記。
例えば、
「試着してもいいですか?」
(イボ ボルス イッソヨ)
「他の色ありますか?」
(タルン セク イッソヨ)
こんなフレーズ使うことないのになぁ~と思いながらも覚えた言葉。
EVISUジーンズを買うときに見事この言葉が・・・
店員さんもそんな言葉知ってるのって顔してた。
私は試着室の中で、どや顔で試着。
☆^v(*^∇')乂('∇^*)v^☆ヤッタネ
また、
「出口」(ナガヌンゴッ)とか「上がります」(オルラガヨ)という言葉。
ロッテ百貨店が閉店時間を過ぎていたにもかかわらず、入り口の警備員が、私達を制止することなく間違って中に入ることが出来てしまい、突然店内が真っ暗に・・・
出口を探すもどこも閉まって出れなくなってしまったとき、たまたま店内にいた店員に、
「迷ってしまいました。出口はどこですか」って
すると、
「エスカレーターを歩いて上がって、一階に行ってください」と
なんとか従業員出口から大勢の従業員にまぎれて脱出成功。
このとき、この二つの単語がとても役にたった。
ヤッタァー!\(`∇\)(/`∇)/ヤッタァー!
コミュニケーションをとるのに言葉なんて必要ない
っていいますが、言葉を知っている方がもっとコミュニケーションがとれますよね!!
旅行から帰ってきて18日。
一度もこの本を開くことがなくなってしまったけど、せっかく覚えた単語だけでも忘れないように時々開いてみないとね。
本の全てのページをコピーして、いつでも暇なときに覚えれるようにしていた単語帳。
汗やら染みだらけの単語帳。
これはもう捨てるか・・・
そして全ての思い出を引き出しに・・・

たった三日間の旅行の思い出を綴った18日間。
お付き合いありがとうございました。
善本歯科医院の一つの歴史として残しておきたくて・・・
長くなってしまい申し訳ございませんでした。
投稿者 yoshimoto : 07:06 AM | コメント (0)
November 13, 2009
15年目の決断・17年ぶりの院内旅行(17)
いい思い出をプレゼントしてあげようと思って計画した、善本歯科医院17年ぶりの院内旅行。
そして私が院長になって15年目で初めての院内旅行。
プレゼントしてあげよう・・・
とんでもない
いっぱーーい、
いっぱーーーいの思い出を、この韓国旅行でスタッフからプレゼントしてもらいました。
院長として、とても幸せでした。
そして夫婦としても・・・・
次はいつになるかなぁ?
5年後か??10年後か???
もしかしたら・・・これが最初で最後かもしれない。
さらにステップアップした次の、
『チーム・ヨシモト』
が出来た時かな?
歳を取ると思い出を引き出しにしまうのがもったいなくて・・・
ずーーっと、
ずーーっと、机の上に思い出を広げていたい!!!
何気ない、皆で横断歩道を渡った風景までが、心の中に楽しかった思い出として残っている。
“信号青やで!渡るぞ。皆ついて来てるか”
そう、こんな何気ない言葉までもが・・・

投稿者 yoshimoto : 07:29 AM | コメント (0)
November 12, 2009
15年目の決断・17年ぶりの院内旅行(16)

まだ大きな物が二つもあるぞ???
ブルーとピンクの同じ大きさのものが???
中が透けて見える・・(・-・)・・・ん?
これは写真をプリントしたクッションだぁぁぁぁぁあああーーー
ロッテ免税店の横に東方神起の大きな写真があり、そこで撮った写真をクッションにプリントして、夫婦二人にプレゼントしてくれました。
妻はユノと撮った写真を、そして私はシアと撮った写真を・・・
とてもとても茶目っ気のあるプレゼントでスタッフの遊び心に脱帽でした。
フォトブックにクッション・・・いい思い出をプレゼントするつもりがいい思い出をいっぱいスタッフからプレゼントされ感謝感激雨霰でした。
(..)(^^)(^。^)(*^o^)(^O^)ウレシーーー!!


投稿者 yoshimoto : 07:04 AM | コメント (0)
November 11, 2009
15年目の決断・17年ぶりの院内旅行(15)
スタッフからプレゼントされたのは、フォトブックでした。
『善本夫妻写真集 in KOREA』
って感じのできあがり。
本当に、感動の一言でした。
そのフォトブックの表紙に選んでくれた写真が、旅の締めくくりに明洞で買った600円のウサギとカエルのリングの写真。
スタッフ全員で写った写真を表紙にはせずに、この写真を表紙に選んでくれたスタッフの気持ちにさらに感謝と感動を覚え、涙しそうでした。
さらに、フォトブックのタイトルに、
team 善本 in KOREA
・・・さすがにこれにはまいったなぁ~。

家に帰ってから何度も何度も飽きることなく、
『善本夫妻写真集 in KOREA』(?)
???を夫婦で眺めていました。
親ばかかもしれませんが、
というより完全に親ばかで呆れると思いますが、
善本歯科医院スタッフ、そしてチーム・ヨシモト・・・最高です!!!
あまり見たくはないと思いますが、30ページにもおよぶ写真集の一部を先行公開したいと思います。

地下鉄内で買ったばかりのEVISUジーンズを穿いて自慢している写真

道に迷ってやっと辿り着いたスターアベニュー

明洞の街を夫婦二人で仲良く歩いているところを衛生士・リカが隠し撮り

地下鉄で電車を待つのも楽しそう!!

これは本当に辛かったぁ~

帰りの金浦空港にて・・・また会おうぜ韓国!!
投稿者 yoshimoto : 07:21 AM | コメント (0)
November 10, 2009
15年目の決断・17年ぶりの院内旅行(14)
楽しかった善本歯科医院17年ぶりの院内旅行。
帰ってきてから、早くも2週間が過ぎます。
特にスタッフ全員旅行先で病気をすることもなく、帰国後も皆元気で毎日の診療に追われています。
韓国への旅行は、みんなの心の中で、いい思い出として整理され始めています。
昨日診療後、衛生士・リカから、
“ちょっとお時間ありますか?お話があります。”
スタッフの 『お話があります』 との事で、過去にいい話があったためしがないので、少し嫌な気分で院長室で待っていると、
いきなり、おっきな荷物を持ってスタッフ全員が院長室に・・・・
“院長!韓国旅行ありがとうございました。これは皆からのお礼です”
・・・・と

渡されたプレゼントを見て、思わず涙が・・・???

渡された物の表紙には、あの最終日に夫婦で買った指輪の写真が・・・・
そしてその下には、team 善本 in KOREA の文字が・・・

投稿者 yoshimoto : 07:20 AM | コメント (0)
November 09, 2009
15年目の決断・17年ぶりの院内旅行(13)
とても楽しかった2泊3日の旅行も、あっという間に終わりを迎えてしまいました。
スタッフと共に旅行に行ったから、明日からの診療に何か変化があるわけでもなく、また逆に何か変化を求めたわけでもありません。
私を含めてこの旅行に参加した皆が、何年かして思い出の引き出しを開けたとき、この3日間の数分でもその引き出しから出てきてくれたら幸いです。
また何十年もして、もう思い出が作れなくなるような歳になったとき、この3日間が引き出しの奥底に残っていてくれて、その時紐解いてくれれば・・・と
愛すべくスタッフと共に私たち夫婦は3日間を共に出来たことを誇りに思います。

来年の2月にはスタッフ一人が結婚の為、チーム・ヨシモトを離れます。
また新たなチーム作りを始めなければなりませんが、
こいつらが一人でもいれば、チーム作りなんて簡単!!!
さーて、また明日から頑張るぞーーー。
50歳の私が、少し大人になったような気がしながら、ソウル・金浦空港をあとに・・・

投稿者 yoshimoto : 07:02 AM | コメント (0)
November 08, 2009
15年目の決断・17年ぶりの院内旅行(12)
明洞の街に戻り、出発までの2時間最後の買い物に・・・
この旅行の3日間毎日足を運んだ明洞。
来る度に、また来る時間でいろいろな顔を持つ街。
とても気に入ってしまいました。
ブラブラしていると、スタッフと遭遇。
最後の最後まで、ソウルを飽きることなく楽しんでいるスタッフを見ていると、とてもとても嬉しかったなぁ~。
というより、誇らしかったかなぁ??
お昼は、又ドーナッツ。
クリスピードーナッツとは違って、ダンクイン・ドーナッツ。
このお店は日本にあるのかなぁ?
ここもまたおいしかったです。
最後の最後に買ったのが600円ほどの指輪。
妻は前歯が二本出ているのでイメージ的にウサギ。
私は、カッパかカエル。
丁度同じ場所にカエルとウサギの指輪があったので迷わず購入。
全然高価なものではありませんが、旅を締めくくるのにはとてもいい思い出の品になりました。
さっ、そろそろ帰りますか・・・

投稿者 yoshimoto : 06:47 AM | コメント (0)
November 07, 2009
15年目の決断・17年ぶりの院内旅行(11)
また、韓国製ボクシンググッズを買い損なってしまったと、心身ともにクタクタになってHapjeon 駅に戻り、心新たに、次なる目指す駅は、Sinchon(新村)駅。
Hapjeon 駅から電車に乗り込むと、一度見た人がいる?
誰だ???
あつ、そうだ。
昨日ボクシンググッズを買い損なって電車で帰る途中に会った、栗で遊んでいた親子連れだぁーー。
その栗坊やのお母さんが私たちと目が合い、とても恥ずかしいそうな笑みを浮かべ、
“アニハセヨ、アニハセヨ。”
と何度も、何度も頭を下げて挨拶をしてきたので、ビックリ!!!
昨日たった10分ぐらいの遭遇だったのに、私たちの事覚えていたんだぁ。
私たちも、何度も、何度もアニハセヨと挨拶を・・・
横に座っていたおばさんは、なんでこの親子は、この日本人と知り合いやねん?っていう不信そうな顔。
またその顔がとてもおもしろかったですねぇ。
今日は、栗を持っていなかったけど、口の周りと手は真っ黒。
見ると、グチュグチョのポッキーを・・・
降りる駅も一緒だったので、駅の階段の下で何度も何度も頭を下げて、アニハセヨって私たちを見送ってくれました。
異国の地での、偶然って驚きですよね。
さて、新村という街は、普通の韓国の街。
しいていうと学生街だそうです。
新村駅に直結したスーパーがあるとのことで、スーパーでお買い物。
本当に韓国の人しか来ないスーパーで、日常雑貨等を購入。
妻はどういった日常雑貨が日本より韓国が優れているかとの情報を持って、ここに乗り込んだようです。
私はわけがわからないので、韓国製の歯磨き粉を物色。
日本でも買える物がほとんどですが、それでは面白くないので、韓国製の値段もあまり安くないものを選んで購入。
口に入れるものなので安いと怖いですから・・・
妻はお目当ての物を全て見つけたらしく、新村をあとに・・・
投稿者 yoshimoto : 07:33 AM | コメント (0)
November 06, 2009
15年目の決断・17年ぶりの院内旅行(10)
旅行最後の日。
昨日失敗したのにも懲りずに、韓国製ボクシンググッズを捜し求めて、昨日は、Ttukseom 駅、そして今日は妻と二人Hapjeon 駅へ・・・
とても不安顔な私。大丈夫かなぁ???
昨日事前に現地の旅行代理店の方に今日行く予定のお店に電話してもらい、購入可能であると確認済み。
昨日のように、ただの事務所ではないので、自信満々(?)でHapjeon駅から徒歩で・・・
歩いて10分ぐらいの距離なので、取り合えず念のために道を確認。
ガソリンスタンドの人なら道が詳しいだろうと地図を見せながら聞くも、頼んない返事。
教えてもらった、道順は私が考えていた方向とは逆。
とりあえず、カムサムニダと言い残し言われた方向へ・・・
5分ぐらいして、やっぱり違う。
というより、怖い!!!
また誰かに道を聞けるような場所でない。
さっきから怖そうな顔のおっさんが私たち二人を睨んでいる。
そこへ、警備員風の人が通りかかったので、迷うことなく道を尋ねてみました。
ちょっと困った顔をして、一緒についてくる様にと・・・
その時、警備員風の人の胸に、
『POLICE』
と文字が・・・
警察官やったんや~~!!
助かった。
連れて行かれたところは、派出所。
詳しく道を教えてもらい、ほっと一安心。
やっぱりさっきのガソリンスタンドのおっさんは反対方向を教えていた。
なんとか、目的地付近に到着。
でもまたそれらしきお店が無い。
周辺のビルを見てみるも・・・無い。
そこで、意を決して、お店へ電話してみた。
何とか面と向かってなら意思表示ができるも、電話となると意思の疎通が出来るだろうか???
とても不安でしたが、電話するしかない状況。
ダイヤルしてみると・・・・
(・_・o)ン? (o・_・)ン? (o・_・o)ン?
留守電???
えーーー休みやぁぁぁぁああああーーー
ということで、泣く泣くその場をあとにぃぃいい。
写真で見ると、日本で撮影したかの風景。
道路標識もほとんど日本と一緒。
でも、車を見ると右側通行でしょ。
疲れた足取りで、元来た駅へ・・・
優しく微笑んでくれる妻の笑顔だけが救いでした。
今頃、スタッフはエステで、リラックスタイムをおくってるんだろうな。
。・゜゜・(>_<;)・゜゜・。
投稿者 yoshimoto : 07:01 AM | コメント (0)
November 05, 2009
15年目の決断・17年ぶりの院内旅行(9)
大きな韓国のりの袋を抱えた、スッタフを連れて旅行最後の晩餐、焼肉を食べに行きました。
韓国と言えば、骨付きカルビがおいしい!!!
焼肉屋さんもいっぱいありどこに入ればいいやら??
取りあえず、少し高くても、安心できる有名店を見つけ出し、入店。
やっぱり、おいしかったなぁ~。

明日の予定をいろいろと相談。
明日は、3時に空港行きのバスが来る為、それまでは自由時間。
私たち夫婦は明日は、もう一つ見つけていたボクシンググッズのお店、地下鉄でHapjeon(合意)駅へ行く予定。
そして、その帰りに学生たちの街・Shinchon(新村)駅へ行き、地元の人しか行かない普通のスーパーで買い物予定。
昼からは、明洞にもどり最後の買い物を予定。

スタッフ達は、韓国エステを予約しているとの事。
最後の一分まで楽しんでくれたら嬉しいなぁ。

人生で最大のから~~~い唐辛子を食べてしまいました。
ほんとに、この辛さは尋常でなかったです。

投稿者 yoshimoto : 07:07 AM | コメント (0)
November 04, 2009
15年目の決断・17年ぶりの院内旅行(8)
二日目の夕方からはみんなで、南大門市場へ。
明洞、東大門とはまた違った雰囲気の街、南大門。
明洞・東大門がファッションを中心とした市場であるのに対し、南大門市場はフード全般のほかにもレザー製品やメガネ、さらには伝統工芸品、伝統衣装までそろっているというまさに何でも市場です。
広大な規模の南大門市場ですが、店舗はそれぞれ、食品通り、メガネ通り、レザー(革製品)通りというように、ジャンルごとに分かれて店が並んでいます。
でも、一番日本人への呼び込みが激しく慣れないとちょっと怖いかも
(‘_’?)…ン?
“社長!まぼろしの時計ありますよ”
とか、
“社長!完璧なコピーありますよ”
って、何十回も声をかけられます。
なかには、強引に手を引っ張っていくやつもいます。
でもそんなの全部ひっくるめて、面白い街です。
歩くスペースがないほど、道には露天が・・・・

ここで2時間後に会う約束をして、スタッフとは別行動。
あとで聞いたところ、分かれてすぐ院長と一緒に行動すればよかったと・・・
とても怖くて不安だったとの事でした。
でも2時間後の待ち合わせ場所には、みんなが大きな袋を持って待っていました。
韓国のりをお土産に買ったとの事。
南大門市場に行ったことがある方なら誰でもが知っているお店、
『ノリのり天国』
まっ、免税店なんかで買うよりは遥かに安くていいですよ。
でも明らかに日本人だけをターゲットに絞ったネーミングですね。

全員集合したところで、旅行、最後の晩餐、焼肉へ・・・・
投稿者 yoshimoto : 07:03 AM | コメント (0)
November 03, 2009
15年目の決断・17年ぶりの院内旅行(7)
免税店。
海外旅行=免税店
ってイメージがありますよね。
確かに7~8年前までは、ブランド・ブランド・ブランド・・・
そんなイメージだったと思いますが今は違いますよね??
まったくブランドには興味のない私たち夫婦は、免税店でしか買えない韓流グッズだけを購入し、スタッフと別れ今回の最大目的である、韓国ボクシンググッズのお店へ・・・
韓国ドラマ・雪の女王でヒョンビン演じるハンドックが使用していた韓国製グローブが欲しくて欲しくて・・
(7月24日のブログで紹介したグローブ)

韓国に来る前に、ヤフーコレアで検索して探し出したお店が、スターアベニューからホテルに帰る途中の駅・Ttukseom (トゥクソム)駅から歩いて一分の場所にあったので、その住所をグーグルマップで調べて行ってみました。
日本人なんて降りない駅・Ttukseom (トゥクソム)駅
あんたら何しに来たん
っていう視線をバシバシ感じながら、コピーしたグーグルマップを見ながら必死に捜索。
しかし、ちょっと怖いところやなぁっと思いながら妻の顔を見ると、とても不安げな顔。
確かこの辺なんだけどなぁ~
でも明らかに、そんなお店がある雰囲気ではない。
誰かに道を聞きたくても、人通りもほとんど無く、たまに会う人も皆が怖そうに見えて声なんてかけれない。
そこにバイクに乗った郵便屋さんが通ったので、天の救いと思い、声をかけてみた。
“チョギヨ。アニハセヨ。キルル、イロボリョッソヨ”
と、そしてマップを見せて
ここなんですが?と聞くと、
満面に笑みを浮かべ、
“このビルですよ。”
と目の前のビルを指差してくれました。
10回ぐらい、カムサムニダと御礼を言い、そのビルへ・・・・
でもこのビルで何かを売っているような雰囲気はない。
下の郵便受けには確かに、『リングサイド』と探し出した店の名前が英語で書いてあった。
ここまで来たんだから、と意を決して3階の店に行ってみるも、ただの事務所。
いわゆるインターネット販売だけの事務所。
かなりの疲労感を覚え、夫婦二人、その場を後に・・・・
その場で記念撮影なんてできる心の状態ではありませんでしたので写真はありません。
朝、ドーナッツを食べたきり何も食べてなかったので、地下鉄で予定していたサムゲタンのお店へ行く為に、乙支路入口駅(Euljiro il-ga)へ・・・
その地下鉄内で前に座った、4歳ぐらいの子供を連れた親子連れ。
なぜか、栗を持ってずっと暴れまくっているので、周りの人もとても迷惑そうで、お母さんもとても大変困っていました。
なんとなくその子供の栗を持っている行動が面白くて、夫婦で見とれていると、降りる駅を二つも通り過ぎてしまいました。
でもこの親子連れとはその後、また運命の出会いをすることになろうとは、誰も思わなかったぁぁあああーーー
お腹ぺこぺこで、サムゲタンを。
よーく考えてみるとサムゲタンを食べるのは、人生初。
おいしかったなぁ~
この一時間いろいろあったけど、たった一時間が5~6時間に感じる一時間だったけど、サムゲタンを食べると元気モリモリ。
妻の機嫌も直ったかな??

そのころ善本歯科医院スタッフ達は自分達で探し出していた、明洞にある元祖サムゲタンというお店でサムゲタンを食べていたそうです。

投稿者 yoshimoto : 07:02 AM | コメント (0)
November 02, 2009
15年目の決断・17年ぶりの院内旅行(6)
スターアベニューとは、韓国の有名な俳優や歌手の写真や私物を展示してあったりする通り。
まっ、実にくだらないと言えば、間違いなくくだらないかもしれませんが、それがまた面白いんですねぇ。
東方神起の大ファンの二人。

韓流スターに興味のないスタッフは、IKKOさんのコーナーの前で。
しかし、なんで韓国スターアベニューにIKKOさんが???


韓国映画エデンの東でソンスンフォンがバイクに乗るシーン。

韓国で歌手デビュー!!

私は、合成プリクラのコーナーでプリクラを作製。
韓国グループ・ビッグバンの一員に・・


歌手レインにもなっちゃいました。

さて、最後に日本から来た善本歯科医院一行を見送りに韓国スターが勢ぞろい。
たった、一時間でしたが笑いの絶えない楽しい時間でした。
善本歯科医院スタッフ全員が隠れています。
探してくださいね。

投稿者 yoshimoto : 06:50 AM | コメント (0)
November 01, 2009
15年目の決断・17年ぶりの院内旅行(5)
クリスピードーナッツで朝食をすませ、Jamsil駅 へ。
ジャミシル(Jamsil)駅で降りるからなぁ~っと降りる駅を皆に伝え電車へ。
電車の中では皆が好き勝手にわいわいガヤガヤ。
急に善本歯科医院・受付嬢と衛生士リカが、
“院長!!ここですよ。ジャミシル駅。早く早く!!!”
地元の人のなんとなく冷たい視線、そして、ここじゃないでしょ!!って言ってるような顔。でも皆を慌てて電車から降りさせて駅名をみると・・・・
『Gangbyeon』駅と書かれていました。
ジャミシル(Jamsil)駅といっていたので、『Ga』をジャと読み、二人は慌てたようです。
Gangbyeon駅はJamsil駅の二つ手前の駅。
見せしめの為に、記念撮影。

5分も(?)も遅れてJamsil駅に到着。
目的地のスターアベニューを目指すも、場所がわからない。
さーって、ここで韓国語を三ヶ月も勉強した私の出番。
ロッテワールド百貨店の優しそうな店員さんを、見つけひと言。
“チョギヨ。アニハセヨ”・・
そのあとも、ちゃんと韓国語で、
“道に迷ってしまいました。スターアベニューというところに行きたいのですがどう行けばいいですか?”
すると、とても困った顔をして、
“スターアベニューは知らない”と、
他の店員さんに聞いてもらっても誰も知らない。
えーーーー!!日本の観光ブックにこれほど大きく出ている場所を知らない??
考えられない。
そこで、ふと思いついたことが、たしかロッテワールド遊園地のスケートリンクの横に隣接していると書いてあったな??
またまた、流暢(?)な韓国語で、
“スケートリンクの横にあるはずなんですが”と、
すると、とても喜んだ顔をして、
“それなら、ここをまっすぐ行って、右に曲がっ所に、エスカレーターがあるので、それを降りればスケートリンクですよ”
と、もちろん韓国語で言われました。
“カムサムニダ。カムサムニダ。カムサムニダ。”
となんども御礼を言ってその場をあとに・・・
“院長、普通に韓国語しゃべれるんですね”
とスタッフの、やっぱり院長は頼もしい~という熱い視線を背中で感じながら、どや顔で皆を誘導していきました。
そしてやっと、目的地、スターアベニューに到着。
しっかし、さっき道を尋ねた場所から、200mしか離れてないのに、なんて地元では知られてないのか?
頭の中は?????状態でした。
投稿者 yoshimoto : 07:47 AM | コメント (0)
October 31, 2009
15年目の決断・17年ぶりの院内旅行(4)
二日目の朝は、みんなでドーナッツ。
韓国に来てなぜ??ドーナッツを???
って、思うでしょうが今回の韓国旅行でみんなに食べさせてあげたかったのが、このクリスピー・クリーム・ドーナッツ。
日本では東京にしかお店がないので、関西の私たちには聞いたことがない名前。

この普通のドーナッツが今までに味わったことがない感触と味わい。
一度食べると虜になってしまいます。
で、みんなを連れて自慢げにいかにも食べなれてるかのようなふりをして、ここで朝食を。


今日は、みんなで、地下鉄でJamsil駅まで行き、スターアベニューを見学。
ロッテワールド免税店へ、そして私たち夫婦は別行動をとり、韓国ボクシング店へ・・
夜はみんなで南大門へ
昼は、サムゲタンで、
夕食は焼肉だぁ~!!!
といろいろとドーナッツを食べながら一日の打ち合わせを・・・

また忙しくも、楽しい韓国二日目の始まりです。
さぁー、地下鉄・乙支路入口駅(Euljiro il-ga)から、みんなで出発です・・・

投稿者 yoshimoto : 07:27 AM | コメント (0)
October 30, 2009
15年目の決断・17年ぶりの院内旅行(3)
初日の夜は、地下鉄で東大門運動場駅まで行き、東大門市場を散策。

眠らぬ街・東大門・・・
写真の様なファッションビルが5件ほど横並びに、そしてその前の道には屋台がずらーーーりと。
ファッションビルと屋台とのミスマッチがミスマッチに思えないのがこの東大門の不思議な魅力。
歩くのが難しいほど、人・人・人そして人。

とりあえず、ミリオネというファッションビルの前で、一時間半後に一緒に食事をする約束をしてスタッフと別れ別行動。
この全てのファッションビルの営業時間は、
聞いてびっくりしないで下さいね!!!
午前10時30分から翌日の朝5時です。
嘘ではないですよ。
本当なんです。
一時間半後にみんなでおいしいトッポギの店へ・・・
とても辛かったけどおいしかったなぁ~。
写真撮るの忘れた。
食事後、私たち夫婦はスタッフを残しホテルへ。
その後スタッフは東大門からアックジョン駅へと地下鉄を乗り換えて、東方神起・ミッキー・ユチョンのお母さんが経営するアイスクリーム屋さんへ行ったそうです。
恐るべき、若い人の適応能力。
あんなに怖いって言ってたのに、一度教えただけで地下鉄の乗換えまでして目的地へ。
初日からとても楽しそうなスタッフの顔を見れてとても嬉しかった。
本当に、来てよかった!!!
これが、ユチョンのアイスクリーム屋さんです。
そしてユチョンファンの善本歯科医院・受付嬢。
ユチョンファンの方は、韓国サイトのブログでアイスクリーム屋を紹介しているブログを見つけましたので覗いてみてくださいね。
ブログ1
ブログ2

投稿者 yoshimoto : 07:29 AM | コメント (0)
October 29, 2009
15年目の決断・17年ぶりの院内旅行(2)
飛行時間たったの、1時間30分。
本当に近いお隣さん。
残念ながら、歴史が遠いお隣さんにしてしまったのも事実・・・
2時前にはホテルに到着し、すぐに皆を連れてホテル前の一番の繁華街・明洞へ・・・
おおまかな町の説明をして、スタッフと私たち夫婦とは明洞の街を別行動。
私の今回の明洞での目的は、パンツ(下着)と韓国EVISUジーンズを買うこと。
日本EVISUジーンズと韓国EVISUジーンズの問題はご存知ですか?
まったく同じ名前、同じロゴのジーンズ。
もちろん日本がオリジナルなんですが、問題はロゴマークの商標登録を韓国EVISUジーンズがしてしまったこと。
さらに、韓国EVISUのメインキャラクターに東方神起のユノを抜擢するほどの熱の入れよう。
最初の頃は、完全なコピーでしたが、今ではロゴのコピーだけでデザインはまったくのオリジナル。
その後どんな決着がついたかわかりませんが、日本EVISUジーンズには申し訳ないのですが、とても安くて、細身が主体の韓国EVISUジーンズを購入。
ついでに韓国EVISUジーンズのパンツ(下着)もかっこよかったので購入。
さらに、東方神起・ユノファンの妻はポスターを貰っていました。
韓国EVISUジーンズのお店の横にもう一つの目的のパンツのお店・yes がありそこで自分用のパンツを4枚購入。
友達もここのパンツが好きで、10枚買ってきて欲しいと頼まれていたので店の全種類のパンツを購入。
合わせて14枚のパンツを買ったので、さすがにお店の女の子はびっくり顔でした。
その後夜まで、明洞の街を夫婦二人でショッピング。
主に化粧品を・・・
しっかし、安い・安い・安い・・・ですね!!
何時間いても明洞の街は飽きないですね。
活気があってとてもワクワクさせてくれるパワーがあります。
夜にホテルでスタッフと待ち合わせをして、次は地下鉄で東大門へ・・・
私は早速買った韓国EVISUジーンズを穿いて東大門へ


これが東方神起・ユノのポスター。
ここまでコマーシャルにお金をかければ、もうコピーの域を超えてますよね。
ちらっと見えてるのが買ったパンツ(下着)です。
これで私もユノに?????

これがお気に入りの下着のお店 yes
基本、女性がメイン、男性だけでは入りにくいかな?
入ってすぐのところに、男性用がディスプレイされています。
投稿者 yoshimoto : 07:35 AM | コメント (0)
October 28, 2009
15年目の決断・17年ぶりの院内旅行
10月26日・27日と休診いたしまして誠に申し訳ございませんでした。
本日28日より平常どおり診療を開始しておりますので、宜しくお願い致します。
17年前、まだ大先生が院長の時代は2年おきぐらいに院内旅行をおこなっておりました。
15年前に院長を交代し、私もスタッフへの恩返しの為にも大先生と同じように院内旅行をおこなっていこうと思っていた矢先、あの14年前の大震災。
あれから必死に前しか見ずに走ってきたように思えます。
いつも、一人で頑張っていたと思っていましたが、本当はスタッフや家族に、そして患者様にも支えられ生きてきたんだと5・6年前より強く感じていました。
そこで患者様にはとても迷惑な話で申し訳ございませんが、17年ぶりに院内旅行をおこなう決心をし、25日より行ってまいりました。
またゆっくり珍道中を紹介していきたいと思います。
出発の関空にて

インフルエンザを恐れて一応マスクを

投稿者 yoshimoto : 06:56 AM | コメント (0)
October 24, 2009
臨時休診のお知らせ
10月26日(月)・27日(火)は臨時休診致します。
大変ご迷惑をお掛け致しますが宜しくお願い致します。
17年ぶりの院内旅行に行ってきます。
スタッフへの感謝を上手く伝えられず、迷惑をかけてばかりの院長です。
患者様の為、患者様の為・・と言い聞かせてきましたがやはり行動で表さないとね。
スタッフ一同日ごろのストレスを発散して帰ってきますので・・・
でもまる3日、私と一緒だとよけいに疲れさせてしまうかもね???
院内にはこのように掲示を・・・ゴメンナサイ
投稿者 yoshimoto : 06:54 AM | コメント (0)
October 20, 2009
発想力・発想転換力
発想力・発想転換力ってとても大切ですね。
こうすれば・・・
ここを、こう変えれば・・・
こっちの方向から見ると・・・
日々の診療でもつくづく思うことです。
そして、それによって助けられています。
私がとても子供だった頃、掃除機の後ろから排気される風で頭を洗うふりをしたりして遊んだ記憶があります。
今考えればとても汚い事で、ぞっとしますが・・・
でもこの考えで新しい扇風機が開発されました。
そうあの掃除機で有名なダイソン社から。
まさに私が子供の頃したあの風景が現実に・・・
掃除機から産まれた羽のない扇風機です。

投稿者 yoshimoto : 06:50 AM | コメント (0)
October 19, 2009
新マスク
インフルエンザ予防用(?)マスクをプレゼントされました。
えっ??絵が描いてあるし、ちっちゃい。
よーく見ると、スティッチの鼻では?
裏の注意書きにはまず最初に、
“保護者の方へ”
と書かれていました。
子供用のキャラクターマスクでした。
さすがにこれで診療は無理ですね。

投稿者 yoshimoto : 07:14 AM | コメント (0)
October 02, 2009
歯磨きと癌
歯磨きと癌(口・食道)との関連が日本癌学会で発表されました。
1日2回以上歯を磨く人が口の中や食道のがんになる危険性は、1回の人より3割低いとの研究結果を、愛知県がんセンター研究所がまとめた。
また、全く磨かない人の危険性は、1回の人の1.8倍だった。
約3800人を対象とした疫学調査の結果で、歯磨き習慣と発がんの関連を示す報告は国内初という。
横浜市で10月1日から開催された日本癌学会で発表。
私は一日平均4回磨いているかな。
タバコを吸っていた頃は一日10回以上磨いていました。
タバコの嫌な臭いを消す為に。
でも実際には服や髪の毛や体にあの嫌ーなタバコの臭いが染み付いていたのに気がつかなかったなぁ~。
いくら歯を磨いても、ダメだったんですね。
5年ほど前から電動ハブラシを使用しています。
旅行などでホテルの普通のハブラシを使うと、歯医者とは思えないくらいへたくそな磨き方をしてしまいます。

投稿者 yoshimoto : 07:09 AM | コメント (0)
October 01, 2009
歯科衛生士募集(来年卒業予定者可)
一緒にチーム・ヨシモトで働いて頂ける衛生士を募集致します。
詳細は面談の上。
電話かメールでご連絡下さい。
来年卒業を予定されている現在学生の方でもOKですよ。
℡: 078-732-3009 メール: info@yoshimoto-dc.jp

投稿者 yoshimoto : 06:47 AM | コメント (0)
September 30, 2009
任務終了∠(*^ー^*)oラジャ!!
衛生士実習終了です。
7月と9月に2名ずつ実習生の実習先医院として指導してきました。
やれやれですね。
毎年指導の難しさに悩みます。
実習生そして善本歯科医院のスタッフ共にお疲れさまでした。
実習生にとって善本歯科医院で実習してきたことが、将来に何かとして残れば幸いです。
来年の国家試験に合格して、歯科医療に貢献してくださいね。
私にはあと一つ仕事が・・・
成績をつけなければ(@'ω'@)
シンパイシナクテモミンナイイセイセキデスヨ

投稿者 yoshimoto : 07:09 AM | コメント (0)
September 27, 2009
勉強!勉強??
スタッフとの韓国旅行まであと一ヶ月。
韓国語の勉強を始めて二ヶ月。
こんな薄っぺらい本がなかなか暗記できなかったんですが、今ではあのまったくわけのわからなかったカタカナの羅列が、私の脳の奥底に根付き始めたようです。
こんな本を丸暗記しても韓国で会話ができるわけでもありませんが、少しでも、本当にほんの少しでもしゃべれることでスタッフみんなが韓国を楽しむことができればと思い、むきになってがんばっています。
無駄な努力なんてありませんよ。
努力が報われなくても、努力することが大事。
何事も続ければ変化が必ず出るはず・・・
・・・なーんて自分に言い聞かせてがんばっています。
.jpg)
投稿者 yoshimoto : 07:37 AM | コメント (0)
September 24, 2009
海抜ゼロ
長期のお休みといえば、お盆、正月、そしてゴールデンウイーク。
産まれて50年、これ以外での長期の休みなんて初めての事。
シルバーウイーク
皆様はどう過ごされましたか??
本当にこんなに休んでいいのだろうか?
ってうしろめたさを感じながら休んだのは私だけでしょうか?
今日から診療開始!!
患者様が、笑顔で来てくれたらいいのになぁ~。
さー準備開始です。
休みの間欠かさなかったことは、韓国語のお勉強。
毎朝6時から一時間、海抜ゼロ地点で・・・
いい天気でしたね!

投稿者 yoshimoto : 06:36 AM | コメント (0)
September 19, 2009
シルバーウイーク
びっくりするような連休ですね。
土曜日が休みの方は、5連休。
私も明日から4連休。
休み慣れていない為、何をしたらいいかわかりませんね。
できれば連休でなく、ちょこちょこ休めた方がありがたみがありますよね??
ほんと、なにしたらいいやら?
(^・ω・^).....ンニュニュ?
長いお休みの間、歯科医師会では休日診療を行っております。
兵庫県歯科医師会・口腔保健センター 351-1722 にお電話の上、受診して下さい。
交 通
●JR元町駅下車、北へ徒歩15分
●神戸市バス諏訪山公園下下車、すぐ前
●神戸市営地下鉄県庁前下車、北へ徒歩8分
●神戸高速鉄道花隈駅または阪神元町駅下車、北へ徒歩15分

投稿者 yoshimoto : 07:10 AM | コメント (0)
September 18, 2009
早めの検診を
自宅リビングの照明器具が壊れ始めて一年。
電球を替えても点灯しなくなってしまいました。
三つあるうちの一つが点かなくても、
まっいいか。そんなに暗くないし。
つい最近、さらにもう一つ点かなくなってしまいさすがに暗くて不便。
でも天井が吹き抜けで傾斜天井。
自分での取替えが不可能。
暗くて不便を感じながらも、我慢。
ついに火曜日に最後の一つも点かなくなりついに電気屋さんにSOS。
昨日取り付け完了。
明るい。
・・・て当たり前か??
吹き抜け天井の為今までは電球の交換を3mの脚立に登ってしていました。
まだこの歳ならなんとか可能ですが、今後の事を考えて電動の昇降式照明器具を設置。
これで、電球交換も脚立に登って震えながらしなくてすみます。
やはり、プロって凄いですね。
こんなことならもっと早く頼んでおけばよかった。
歯も同じです。
もっと早く受診しておけばよかったと後悔する前に、早目、早めの検診を・・・。
デスね。!(・。・)b

投稿者 yoshimoto : 07:14 AM | コメント (0)
September 17, 2009
お世辞は大事
気づいとったんかぁ~~いぃ!!!
今週から新調した治療用・老眼鏡。
スタッフから、
“院長、メガネ新しくされたんですね。似合ってますよ”
なぁ~んて優しい言葉を期待してたのに、誰からも言われずガッカリ。
でも昨日スタッフから、
“ちゃんと気づいていましたよ”・・・って
気づいてくれてたんやーっていう喜びと、
一言でもお世辞を言って欲しかったなぁっていうスネスネ根性も・・・
今日一日、皆が健康でいられますように。八(^□^*)

投稿者 yoshimoto : 07:18 AM | コメント (0)
September 16, 2009
ジンクス
何かジンクスってありますか?
私は多すぎて困っています。
ジンクスなんて思い込みだから信じる必要はないんですが、人の健康・命と関わっている仕事上、“負の波長” を発する行動や物は避けたいと思っています。
その結果、ジンクスだらけになっちゃいました。
/(-_-)\ コマッタァ・・・
例えばよくいいと言われる“赤い下着”
これを着けた時にかぎって、診療の流れが悪かったり、難しい治療内容の患者様が連続したり、急患が異常に多かったり・・・・
単なる偶然とわかっていても、二度と赤い下着は着けたくないと思ってしまいますよね。
で、すぐに捨てちゃいました。
最近では“新しい靴下” が履けません。
って馬鹿げた話でしょうが本人にとっては真剣な話。
靴下が古くなったので新しいのを購入。
でもなぜかこの靴下を履いた日に限って、診療が・・・・
で、捨てちゃいました。
という風にどんどんジンクスが増えちゃって、しまいには身動きが取れなくなってしまうかも(*゜・゜)ンッ?
カエルや河童の緑が私にはラッキーカラーかな?
でも緑の物って何も持ってないですね。
緑の下着や靴下・・・
それを買って履いてみるのもいいかも?
どうせするなら、これくらい緑にしないとね!!

投稿者 yoshimoto : 07:19 AM | コメント (0)
September 15, 2009
誰が気がつくか?
2年ほど前ふと立ち寄った眼鏡屋。
それもメガネ専門店ではなくアパレルのコムサ。
デザインが気に入り掛けてみると、私の低い鼻にもフィトしていい感じ。
衝動買いしてしまいました。
・・・でそれが手放せないほど気に入ってしまいました。
掛けたことがない人には分からないと思いますが、老眼鏡は掛けたり外したりを診療中なら数十回もするものです。
で、耐久性がどうしても要求されます。
これはどんなに雑に扱っても壊れず2年使っていました。
でも、どんなに耐久性に優れたメガネでも、私の眼の度数が変わってしまったらしく仕方なく新調しました。
同じタイプのメガネがまだあるのかなぁって不安でしたが、幸いにも同じタイプのがありホット一安心。
快適に昨日から診療で使用しています。
そこで楽しみにしていたことが一つ。
さて、うちのスタッフの誰が一番にメガネが変わったことに気がつくだろうか???
ドキドキしながら一日過ごしましたが誰からも指摘されず。
なんで気がつけへんねーーーーん!!
手前が古いメガネで奥が新しいメガネ。
こんなに似てたら気がつくわけないか?

投稿者 yoshimoto : 07:23 AM | コメント (0)
September 12, 2009
微妙
サージテル(治療用拡大鏡)がまた壊れてしまった。
めがねのツルの部分が折れてしまいすぐに修理へ。
代品も翌日には届き一安心。
でも・・・・・
微妙に違う。
同じ倍率なので見え方に変わりがないのですが、レンズの角度が違う為、
“見える位置”
に微妙な狂いが・・・
昨日から何度も何度も、調整を行うもどうしても合わない。
以前代品を使用した時は簡単に調節ができたのになぜかなぁ??
って言っても皆様には、
“なんのこっちゃぁ”
だと思いますが、身に付けるもの、特にめがねってちょっとしたずれがうっとうしくないですか?
それが治療用となるととてもとても気になって、気になって・・・
早く修理から戻って来ないかなぁ
(m。_。m) オネガイシマス

投稿者 yoshimoto : 06:53 AM | コメント (0)
September 09, 2009
先生
韓国語の勉強していて悩むことは、その言葉にどういうニュアンスを持っているのかがわからないこと。
例えば、日本語では人に物を尋ねたりするとき、
“すみません”
って言いますが英語では、
“Excuse me”でsorryではないですよね。
ならば韓国語では??
“チョギョ”という言葉が一番近いかな???
でもいきなり使って失礼な呼びかけにならないだろうか??
なぁ~んて、いろいろと表現方法に悩んでいます。
先生
これは韓国語も日本語も同じ意味を持つみたいですね。
韓国ドラマを見ているとお医者さんを、
“ソンセンニム(先生)”
って呼んでいますからね。
でも英語ではありえないですよね。
先生は、Teacher でお医者さんは Doctor 。
ちなみに、先生を辞書で引くと、
1.先に生まれた人
2.学徳のすぐれた人。自分が師事する人や、その人物に対する敬称。
3.教師、医師、弁護士など、指導的立場にある人に対する敬称。
4.議員に対しても使われる敬称。
とあります。
でももう一つの意味で、
『仲間内で先生を多用するとバカにしているように感じることもある。』
とあります。
さてこの意味は韓国語にもあるのでしょうか?
本来の先生の意味通りの
“善本先生”でないとね。
“善本(バカ)先生”では困りますよね。
レ( ̄― ̄)ナットク!!( ̄^ ̄/)
どうです、先生に見えますか??

投稿者 yoshimoto : 07:39 AM | コメント (0)
September 08, 2009
保証??
何か物を使いやすくカスタマイズすることは、その本人にとってはとても使いやすく、便利なものです。
しかし勝手にカスタマイズをすると、その製品の保証を受けれなくなることも多々あります。
例えば歯科で使用するコンピューター。
全てがソフトとハード込みでの購入。
したがって1ソフト、1コンピューターが原則。
とてもとても不便でお金がかかる話です。
私の医院の各診療台(4台)にはデジタルレントゲン用のコンピューター(4台)を置いています。
さらにマザーコンピューターが一台。
この5台のコンピューターには一切勝手にソフトが入れられないようにされています。
コンピユーターの壁紙さえ変えることができません。
“このコンピューターにソフトが自由に入れられるように変えてもらえますか?”
と業者に尋ねると、
“もしなにか不具合が起こったとき保証ができませんがよろしいですか”
・・・・・と
業者の立場もわかりますが、なんて融通がきかないんだろうと、思ってしまいますよね。
診療室に5台も優秀なパソコンがあるのに自由に使えないなんて・・・
そこで勝手に使えるようにしちゃいました。
すこしレジストリをいじれば普通のパソコンに・・・
入れるソフトといっても、患者説明用のソフトや画像だけですから不具合が起こるわけもなく、まったく問題なく3年が経ちます。
パソコンを使わないときはモニターに患者を和ませる画像を移し、モニターが一枚の絵に・・・
これくらいカスタマイズしたっていいですよね。
私の使用するiPhoneもまた同じことが言えます。
iPhoneは殺風景なモニター画面。
携帯には当たり前のメール着信音の変更ができず、
“ポワーン”
と鳴るだけ。
旧型のiPhoneのカメラにはズームも動画もなし。
とても使い勝手が悪いことばかり。
でもJailBreak(脱獄)ということを行うと簡単にモニターを変えたり、メール着信音を変えたり、カメラにズームや動画機能まで付けることが出来たり。
いろいろカスタマイズできてとても自分に合った携帯に仕上げることが出来ます。
でも・・・・もちろん壊れたら自己責任。
保証対象外となります。
毎日の歯科診療を行う上で、何事もスムーズに運べるように自分好みに変えていく事はとても大切なこと。
『使いにくい』の状態ではいい治療効果が期待できませんからね。
どこかに、
“先生の好きにして下さい。後は私たちが保証し改良していきますから。”
って言ってくれる太っ腹の歯科業者はいないかなぁ???
JailBreak(脱獄)したiPhoneのホーム画面。
普通のホーム画面を知らない人には“なに???”の世界ですが・・
(キ▼д▼;)トホホ・・

投稿者 yoshimoto : 06:51 AM | コメント (0)
September 07, 2009
カラーテラピー
今日はどんな色の服を着ようか?
白?青?赤???
その時の気分で色を決めたり、逆になんとなく着た服の色で、その日がハッピーになったり、ならなかったり・・・
カラーテラピー効果。
色で治療効果を高める。
でも色の選択って難しいですね。
白衣は白のイメージ。
でも白衣恐怖症ってありますよね。
そこで私は白い白衣を4年前からやめたのですが、中には白い白衣を好む患者様もいらっしゃるのも事実です。
今日の写真の左から月曜日~土曜日に着る順番です。
月曜日はなんだか気が滅入る日。
でも黄色を着て晴れやかな気持ちで仕事をしようという雰囲気でもない。
土曜日は明日から休みだぁーって思うと黄色を着たい気持ちになります。
カラーテラピー効果。
残念ながら私はその時の気持ちで色を選び、色でその時の気持ちを変えることができません。
でも患者様を迎える立場の人間として、私のその時の暗い気持ちは一切表に出さずに接していかなければなりません。
いろんな色の清潔な白衣を着て、いつも明るい笑顔で今日も診療開始です。

投稿者 yoshimoto : 07:22 AM | コメント (0)
September 03, 2009
ワクチンはいつ?
豚インフルエンザワクチンはいつから接種できるのでしょうか?
優先順位の高い医療従事者は10月末頃と言われていますが、実際には歯科医師会を通じて詳しい日程等が入ってきていない状況です。
甲子園球児やプロ野球選手、NEWSの山下智久さんや、錦戸亮さん、さらにオードリーの春日さんまでもが。
このように元気でいかにも健康な人達の感染が報道され益々危機感が・・・。
危機感を持つことは悪いことではありません。
予防対策がとにかく大事ですね。
でも・・・・
なんですよね。
そう予防対策用のマスクや手指消毒用アルコールが手に入らなくなってきています。
一ヶ月ぐらい前から品薄状態でしたが、ここ数日は皆無に等しくなってきています。
マスク無しで歯科診療は難しいというか、患者様の方が嫌でしょうね。
かといって、もったいないから一日使い捨てではなく何日もってわけにもいかず、在庫確保に大変です。
幸い善本歯科医院には三ヵ月分のマスクと手指消毒用アルコールを確保しています。
早く安定供給されるようになればいいのですが・・・
おそらくこれから先、もっとマスク供給が難しい状況になるでしょうね。
医療現場は、なにからなにまで使い捨ての時代。
さらにこのように在庫確保をしなければならない状態の為、問題は保管場所。
一畳ほどの備品を置く部屋があるのですがもうそこは一杯。
しかたなくレントゲン室に在庫を置いています。
レントゲン室に入られた患者様はダンボールの多さにびっくりされていると思います。

投稿者 yoshimoto : 06:49 AM | コメント (0)
September 01, 2009
LOVE IN ・・・・

カキ氷です。
東方神起 LOVE IN THE ICE
凄い命名ですね。
でもおそらく東方神起ファンなら食べますよね。
1時間30分待ちの大行列です。
で、私も食べてきました。
でもコンサートが終わる頃に食べに行ったので、まったく待ち時間無しで頂きました。
800円???高いなぁーなんて思いましたが、でも実際食べてみてとてもおいしくて大満足でした。
また行きたくなる。
そこには何かいいことが必ずある。
たとえお金を払っても十分満足できる。
・・・そういった場所作りをする努力は絶対に必要ですね。
私の医院でも同じことが言えます。
善本歯科医院 LOVE IN THE TREATMENT
・・・・かな?

投稿者 yoshimoto : 07:13 AM | コメント (0)
August 28, 2009
繰り返し、繰り返し
一冊の韓国語参考書の最後まで一応目を通し終えました。
そうなんですよね(;´д`)
あくまでも一応目を通しただけ、記憶の中には????
丁度一ヶ月で最後まで目を通し終えることが出来ました。
これから二度目が始まります。
一度目は一ヶ月かかったのが、おそらく二度目は二週間くらいで、目を通し終えることが出来ると思います。
おそらくその頃から頭の記憶の奥底に、あのまったく意味を持ってなかった、ハングルのカタカナの羅列が見えてくると信じています。
そういえば大学受験の時、参考書を一度やり終えて二度目か三度目で記憶に残って、10回目には一冊の参考書を最初から最後まで10分で終えることが出来るほどになっていたことを思い出します。
とにかく継続ですね。
下の写真のように、韓国語の参考書を10ページごとにコピーしていつも持ち歩いています。
少しでも時間があれば、目を通す。
目を通す回数を増やす。
それしか記憶に残す方法はありませんよね。
あと2ヶ月でスタッフとの韓国旅行。
少しでもしゃべれるようになってスタッフを喜ばしてあげないとね。

投稿者 yoshimoto : 07:26 AM | コメント (0)
August 26, 2009
合わせる努力
自分に合った物を探すのはとても難しいですね。
毎日、毎日使用する歯科用の器具。
手に馴染み、自分好みに調整したりすることはよくあります。
以前は道具に馴らそうと努力していました。
でももっともっと自分に合った物に変えたくていろいろと細工を・・・
すると世界に一つしかない最強の武器(?)に変身。
治療効率もアップです。
しかし最近では最初から色々と細工をした既製の物が多くなり、自分で細工をする必要がなくなってきました。
歯科の器具に関しては妥協できませんから、値段に関係なくできるだけしっくり手に馴染む物を選びます。
いきなりですが私は頭が大きくて足は甲高です。
既製のバイク用ヘルメットでは10分もかぶっていると頭が痛くなり大変でした。
しかし背が小さな私が大きいヘルメットをかぶると、三頭身ぐらいになってしまいかっこ悪いので大きなヘルメットはNGです。
そこでやってはいけないことかもしれませんがヘルメットの中を削り、自分の頭の形・大きさに合わせていました。
新しいヘルメットを買うたびにヘルメットの中を削っていると妻に、
“そんなことしていいの。捕まるよ”
ってよく言われました。
ヘルメットの中は発泡スチロールで出来ているのでカッターで簡単に削れるんですよ。
最近はバイクに乗らないのでもうこんなことはしていません。
甲高・・・これもとてもやっかいです。
正直スニーカーしか履けません。
革靴だと甲が痛くて痛くて・・・
最近では甲高用の革靴もありますが、左より右の方が高くて右に合わせると左がゆるくなり、左に合わせると右が痛くなりとてもやっかいです。
したがって革靴なんてスーツを着るとき以外は履いていませんでした。
でも一年ぐらい前から、なぜかジーンズに革靴が合わせてみたくなり自分なりに靴に細工をしてみました。
2~3センチ大き目の革靴を買い、丁度自分の左右の甲の高さに合うように、クッションの効いた中敷とクッションの効いていない中敷を上手く合わせて細工してみるとかなりいい感じに・・・
何度も何度も調整し絶妙の感じの革靴(?)の完成です。
今回まったく紐のない革靴(エンジニアブーツ)でもできるのではと思い挑戦。
購入から三日目でだいぶ上手く調整ができてきました。
もう少しの調整で、
オーダーメイド靴(('_'?)...ン?)の完成です。
この靴の中にいっぱいの努力が詰まっています。
そう世間では無駄と言われる努力が・・・・
治療に関しては、どんなに無駄であっても努力は惜しまないようにしています。

投稿者 yoshimoto : 07:10 AM | コメント (0)
August 24, 2009
捕まえたいけど捕まらない“蚊”
なかなか蚊を捕まえることができません。
昨日ある方と話をしている最中に蚊が飛んでいたので、手でバシィっと、
“取れましたか?”
手を広げてみて、
“取れませんでした”
あっそうや、忘れてた。
取れるわけないやん。
飛蚊症やったぁぁぁぁぁ~。
(視野に糸くずやゴミ、黒点のような物が現れる。まるで蚊が飛んでいるように見えることから、その症状を飛蚊症と呼ぶ)
この時期の飛蚊症はやっかいですね、
本当に蚊が飛んでいる時期ですから。
この前は逆に、飛蚊症だと思ってほっていたら本当に蚊で、しっかりさされてしまいました。
網膜裂孔の手術を受けてから、2ヶ月半がたちます。
普段の生活では目をこすらないようにすること以外ではあまり気にならなくはなってきましたが、飛蚊症だけはまったく手術前と変わらず目の病気を忘れる日は一日足りとありません。
今日は一ヶ月ぶりに検診に行く予定です。
悪くなっていたら?
とどうしても思ってしまいますね。
私の医院の待合室にもいろいろと不安を抱えた人ばかり。
全員を笑顔で帰してあげたいですね。
笑顔で・・・
取れるわけない蚊を必死で取ろうとしてしまいます。

投稿者 yoshimoto : 07:05 AM | コメント (0)
August 22, 2009
マムシ??
入れ歯の調子が悪いとの連絡があり、あの滝の音がする家に訪問診療に行ってきました。
崖を降りてなんとか滝壺に行けないか試してみるもとても無理そう。
万が一降りれても登ってこれそうになさそう。
この場所ではおそらく携帯も繋がらないし、大声を出しても滝の音で聞こえないだろうなぁ~なんて考えながらずっと滝を眺めていました。
おじいちゃんが、いつものように満面の笑みでベットの上からお出迎え。
少し、入れ歯がハグキに食い込んでいたので調整。
簡単に問題なく診療終了。
その後アイスコーヒーを頂きながら滝の話を・・・
“なんとかあの滝壺に降りれないですかね?”
“昔は降りる道があって子供らはあそこでカニを取ったりして遊んでいたんですよ。でもその後その道が崩れてしまい降りれなくなってしまいました。”
“今日、降りれないかがんばってみたんですよ”
“先生、危ないからしない方がいい。誰も通らなくなってから久しいので夏はマムシがでますよ”
“・・・・・・・・・” 絶句。
もう絶対に降りようなんて思わない。

投稿者 yoshimoto : 07:07 AM | コメント (0)
August 21, 2009
保証期間
壊れてしまった2GBのSDメモリーカード。
1年2ヶ月前に購入したにもかかわらず保証期間中とのことで無償で交換。
なんと保証期間が・・・永久。
そうなんです、永年保証なんです。
これはとてもありがたいですね。
保証書がなくても購入時のメールがあればそれでOK。
こういう時ネットで買ったことがとても役立ちます。
通信記録が残りますからね。
歯科でも保証期間が存在する治療があります。
被せ物とブリッジには2年間の保証が・・・
2年以内に外れた場合は医院の責任において再製しなければなりません。
でもここで大きな問題があります。
その歯が2年持たないかも?持つかも?・・・という時、
当然ながら患者様は2年くらい持つ可能性があるなら保存を希望されますよね。
でもがんばって残そうとしたにも関わらず、2年持たずして抜かなければならなくなった場合、抜いた後の治療にも制約があるんですよね。
この制約がとても歯科医師の悩みの種なんです。
そもそも病気治療に保証って変ですよね。

投稿者 yoshimoto : 07:11 AM | コメント (0)
August 20, 2009
記録
またやってしまいました。
デジカメに使用しているSDカードが壊れてしまい2700枚の写真データが全てパー。・゜゜・(>_<;)・゜゜・。
でも今回は一週間前にデータをバックアップしていたので被害は少なくてすみました。
何千枚もの写真データを小さな記録メディアに残せるのですからとても便利になりましたよね。
以前ならネガを残しておいても、その整理が煩雑でどこに行ってしまったかわからなくなってしまっていましたからね。
今日の写真何かわかりますか?
ある患者様のカルテホルダーを横から撮った写真です。
カルテホルダーの中には、昭和62年からのカルテと、検査記録、そしてとてもやっかいなのが、この青い紙の束。
領収書の写しです。
3年前から領収書の写しの保存も義務化されました。
毎回診療後に発行する領収書を6年間保存しておかなければなりません。
その為、一人一人のカルテホルダーの厚みが増し、カルテ棚がいくつあっても足りなくなってしまい大変です。
これだけ記録メディアが発達しているのに、紙での保存。
なんとかならないですかね???
・・・ってここで言っても仕方ないですね。

投稿者 yoshimoto : 07:15 AM | コメント (0)
August 19, 2009
出来ること、出来ないこと
テレビドラマ・救急救命病棟を見ていてとても苦しくなってしまいました。
医者は命を助けて当たり前、助けられないのは医者に問題があったのでは・・・・
いつからだろうか?
こんな考えが“当たり前”みたいになったのは・・・
私が今まで一番つらかった言葉。
上下の総入れ歯を失くされた高齢の患者様にどんなに急いで作っても二週間はかかりますと説明、同意の上治療を開始するとその日に身内の方が怒鳴りに来られました。
“入れ歯が無くて噛めないのに二週間もかかるとはどういうことや。それでも医者か。明日までに作れ”
本当にその通りなんですよね。
その方が怒鳴られている事は間違いではない。
正しい主張です。
でも残念ながら・・・無理としか言いようがない。
このとき、
何とかできないのか?
何とかしたい。
本当に無理なのか?
・・・と心の中では葛藤が渦巻いています。
出来ないことが、いっぱい、いっぱいありすぎるのが医療現場です。
でも逆に出来ることも、いっぱい、いっぱいあります。
いつの日か出来ないことなんてなくなればいいですね。
そうなればあんな悲しいお通夜に行かなくてすむのになぁ。

投稿者 yoshimoto : 07:39 AM | コメント (0)
August 17, 2009
愛すべきスタッフ
今日から診療開始です。
長いお休みで大変ご迷惑をお掛けいたしましたが、今日からまたがんばっていきたいと思います。
朝院長室のドアを開けるといきなりカエル院長がお出迎え。

ソファーを見ると変なおっさんの写真をコピーしたクッションが・・・

書棚の横には、スタッフの写真入手作りカレンダーが・・・

昨日は自宅に数々のパーティーグッズとレインボーフラワーが送られてきました。
これ、本物の薔薇なんですよ。
花言葉は“無限の可能性”だそうです。

今日もこの愛すべきスタッフと共にチーム・ヨシモトは始動します。

投稿者 yoshimoto : 07:05 AM | コメント (0)
August 12, 2009
カウントダウン50・・・あと4日
お盆休みの為、
13日(木)~16日(日)まで休診致します。
兵庫県歯科医師会で行っております休日診療は、8月16日(日)だけとなっております。
ご迷惑をお掛けいたしますが宜しくお願い致します。
50歳になったら一番最初にしてみたいことがあります。
ちっちゃな、ちっちゃな事ですが、
夫婦50歳割引で映画を見たいです。
映画は普通・大人1600円。
映画には妻としか行きませんので、3200円もかかってしまいます。
結構しますよね。
でも夫婦のどちらか一方が50歳を越えると、夫婦で映画鑑賞をした時だけ、一人1000円、二人で2000円ですみます。
これって凄くないですか?
チケットはネットで買うことが多いので、実際に入り口でチケットを提示するときに、もぎりの人になんて言われるのだろうか?
私の証明書提示はわかるけど、妻である証明も必要なのだろうか?
なんかワクワクしますね。
娘からまた誕生日プレゼントを・・・
スポーツタオルです。
3日前にプレゼントされたスポーツタオルは東方神起バージョンで今回はドナルドバージョン。
確かに運動好きの私にはいくつあっても助かる品です。
でも汗を拭くのがもったいないと思ってしまうのは完全なる親ばかですね。

投稿者 yoshimoto : 06:57 AM | コメント (0)
August 08, 2009
外国語
診療中、80歳近いおばあちゃんが、
”今、息子と一緒に英語を勉強してるんですよ。一日一つの単語を覚えようとしてるんだけど、この歳だから・・・ねぇー・・・・”
ってとても恥ずかしそうにはにかみながら言っていたのをよく思い出します。
そのおばあちゃんが来るたびに英語まだがんばってますかと聞くと、まだがんばっているんですよって・・・
私は残念ながら外国語が話せません。
辞書があれば、英語は書いていることは理解できますがしゃべるのはダメですね。
大学で習ったドイツ語。
これはまったく読むことも無理ですね。
いつも関心いているのが、韓国のアーティスト達。
日本で成功している韓国アーティストは日本語しゃべれますよね。
あれってすごいなぁーって思います。
言葉なんてしゃべれなくてもコミュニケーションはとれるって言いますが、しゃべれた方がもっとコミュニケーションとれるでしょ????
不思議な事で、一冊の本の出会いから韓国に興味を持ち、15年ぶりの院内旅行も韓国へ。
『フェルマーの最終定理』という300年間証明できなかった数式を解くという一冊の本。
この数学の本から韓国への興味が・・・・。
フェルマーの最終定理の本の中には一切韓国に関しての記述はありません。
でも私の頭の中での数式は、
フェルマーの最終定理=韓国への興味
出発までの三ヶ月間だけでも韓国語を習ってみます。
50の手習いですね。
とてもとても簡単な耳から覚える本を買ってみました。

投稿者 yoshimoto : 06:32 AM | コメント (0)
August 07, 2009
院内旅行
15年間うじうじ悩んでいた院内旅行。
今年こそ、今年こそ、と思いながら15年も・・・
今スタッフにしてあげれなければ一生できなくなってしまう。
と思ったのが丁度一週間前。
昨日旅行会社に予約を入れてきました。
やはり時間・費用・満足度を考えると韓国がベストですね。
2泊3日の院内旅行。
私も韓国文化に触れる為にはもうちょっと韓国語を勉強せねば。
大好きな韓国ドラマ“雪の女王”を借りてきました。
これで耳を慣らそっと。

投稿者 yoshimoto : 07:01 AM | コメント (0)
August 06, 2009
そろそろ盆休み
あと一週間でお盆休み。
8月13日(木)~8月16日(日)まで休診いたします。
えーって感じですね。
夏が始まらないまま終わりに向っていくイメージですね。
真っ黒に日焼けした去年までの夏とは違います。
短い夏ですが思いっきり楽しまないと・・・
ここんところ週末の都市高速道路の渋滞はすごいですね。
高速に乗らないほうがよかったと思うことがしばしばです。
民主党の掲げる高速道路無料化。
確かに善し悪しですね。
タダはありがたいけど、高速道路でなくなってしまうのも、いらちの私には納得できませんね。
自民党のマニフェストを見ました。
しかし、検索エンジンで自民党マニフェストと入力しても一番にヒットしないのはなぜだろ?
自民党のHPを開いてもマニフェストという字が見あたらない???
ダウンロードしずらかったですね。
でもさすがに一番最後に出ただけあり(?)読みやすかったですね。
投稿者 yoshimoto : 07:25 AM | コメント (0)
August 05, 2009
学術雑誌
毎月届く、歯科の学術雑誌。
書いてある内容は、とても難しいことであったり、即日常臨床に役立つことであったり、色々な学会の案内であったり、または歯科器材の広告であったり、多岐にわたっています。
でもどんな難しい内容でも目が拒否することなく、脳が理解しようとします。
5日前より勉強しているハングル文字を見るときと脳の状態がまったく違います。
不思議ですよね、脳って・・・
歯科の雑誌を見るとき脳が拒否しだすようなら歯科医師として終わりかな?
そんな時が来なければいいですが・・・
まだ大丈夫のようです。

投稿者 yoshimoto : 07:07 AM | コメント (0)
August 01, 2009
8月1日
今日から8月。
梅雨があけないまま、8月になっちゃいましたね。
7月1日から善本歯科医院で衛生士実習を行っていた実習生の一ヶ月の実習が一昨日で終了。
次の実習生は9月からになります。
昨日は久しぶりに実習生がいなくなった診療。
もともとあるべき姿の院内。
でも、なんか違うんですよね。
あれ程大変でストレスが溜まった実習前半。
でもある時期を境に、診療の一役を担えるようになり実習生の動きに明らかに変化が・・・
見え始めた瞬間です。
いつも診療室という同じ空間で同じものを見て、同じものを聞いているのに実際は見ている世界が違う。
でも私たちが見ている世界が見え始めたとき急激に実習生は成長します。
見え始めた瞬間・・・・私たちははとても喜びに包まれます。
実習生がいなくなった昨日の診療。
心に小さな穴が開いたようで、少し寂しさが・・・・
成績をつけるのも私の仕事なんですよね。

投稿者 yoshimoto : 06:36 AM | コメント (0)
July 31, 2009
16年ぶりに・・・
私が善本歯科医院の院長になって15年になります。
平成6年1月1日に父と院長交代をしました。
父が院長の時代、毎年のようにスタッフを旅行に連れて行っていました。
私もがんばってスッタフに感謝の意を込めて旅行にと考えていた矢先、平成7年1月17日のあの大地震。
神戸の町からそして人から余裕という言葉は消えてしまいました。
今のチーム・ヨシモトとして確立しだして5年ほどになります。
このチーム作りに貢献してくれたスタッフに感謝を込めて院内旅行を思案中です。
それとなく昨日スタッフに話をすると、びっくりした顔でとても喜んでいました。
こんな笑顔を見ると旅行を計画するストレスなんて吹っ飛んじゃいますよね。
昨日の午後は休診。早速旅行会社へ・・・
国内旅行の方が高いですね。
ならばと、韓国あたりがいいかな????
いろいろとパンフレットを頂いて帰ってきました。

投稿者 yoshimoto : 07:23 AM | コメント (0)
July 22, 2009
[みる]・・勉強
昨日は学会出張の為、臨時休診と致しました。
今朝来てみると、18件も留守番メッセージがありご迷惑をお掛けいたしまして申し訳ございませんでした。
私たちの永遠のテーマ・ミル(見る・診る・看る観る・視る)を3日間使ってたっぷり勉強してきました。
これからの診療、いや人生に役立てていきたいと思います。
たまたま、移動時間に読もうと思って買った文庫本。
またこれもたまたま“ミル”がテーマでした。
簡単に言うと、予後が見えてしまう、医者の話です。
面白かったです。
さー、今日も忙しくなりそうです。
がんばらないと。
p(´∇`)q ファイトォ~♪

投稿者 yoshimoto : 07:13 AM | コメント (0)
July 17, 2009
バランス・・・支えあう
バランスをとるって難しいですね。
三人以上集まれば、必ずバランスが崩れてしまう。
そのバランスを取る為に一人一人が考え、行動にうつしバランスを保とうとする。
そこにはまた、信頼関係を生み出していく。
バランスが崩れるとそこには、疑心暗鬼しか残らない。
善本歯科医院は、とてもいいバランスが保たれています。
本当にスタッフ一人一人がうまく支えあっていて、とても、とてもそれを誇りに思えます。
多くのストレスを感じ、抱えながらも、うまくみんながカバーし合って、いい空気を作り出しています。
ストレスには生体的に有益である快ストレスと不利益である不快ストレスの二種類がある。これらのストレスが適度な量だけ存在しなければ本来的に有する適応性が失われてしまうために適切なストレスが必要である。しかし過剰なストレスによってバランスが失われてしまう場合があるため、様々なストレス反応が生じる。しかしストレスがある一定の限界を超えてしまうと、そのせいで身体や心に摩耗が生じる。
Wikipediaより抜粋
今の善本歯科医院はすばらしいストレスバランス感覚の中で仕事が出来ています。
支えあう。
いい言葉でしょ!!??
今日はあの滝の音が聞こえる家に往診に伺う日です。
やっと入れ歯が完成し今日はセットの日。
上手くセットできるかな??
上手くいった時、おじいちゃんは喜ぶだろうなぁ~
でも上手くいかなかったら・・・悲しむだろうなぁ~
でもイメージの中では喜んでくれているおじいちゃんの顔の方が、鮮明に見えてきます。
今日の私のストレスバランスは良好のようです。
そしてもう一つ私のイメージの中には、
横で同じように喜んでいるおばあちゃんの姿も・・・
支えあっている夫婦の姿が・・・
セット予定の入れ歯です

投稿者 yoshimoto : 07:18 AM | コメント (0)
July 16, 2009
本日は
今朝は5時30分から出勤しています。
私の父の弟さんが亡くなられ、お葬式が11時より行われます。
そういう理由で、本日の診療を8時より行うため朝の準備に出てきた次第です。
叔父は順照寺というお寺の前住職。
とても明るいお方で私たち夫婦、そして娘までも可愛がってくれました。
ご冥福をお祈りいたします。
本日は朝8時から11時までの診療となっております。
このブログを見られてから来られる患者様はほとんどいらっしゃらないと思いますが、時々、
“ブログいつも楽しみ見させていただいてますよ”
と声をかけてくださる患者様もいらっしゃいますので・・・・

投稿者 yoshimoto : 05:46 AM | コメント (0)
July 13, 2009
視点を変える
「どこにお痛みがありますか?」
「左下の一番奥が痛みます」
「診てみますね」
「????左下の奥ですよね」
「一番奥がズキズキ痛みます」
「????」
『何もない!!!!どこが痛むのか???』
ということが診療をしていると多々あります。
奥の歯でなく前歯が痛かったり、
下ではなく上であったり、
ごくごくまれに左ではなく右であったり・・・
私はまず患者さんは間違った場所を言っていると疑ってかかります。
本当にそこが痛いのか???・・・ですね。
主観で判断してしまうと、見逃してしまうことがあります。
できるだけ客観的に診る。
あらゆる視点から診る。
一方向からしか診ないと死角を見逃してしまいます。
それでも100%診る事は難しいですね。
本屋さんが選ぶ本、本屋大賞という賞があります。
今年は“告白”という本が選ばれました。
いわゆる殺人事件を扱った内容ですが、
視点を変えてみる
という観点から、とてもいい勉強になりました。
まさに視点を変えると全体像が見えるという、わかりやすい本で面白かったですよ。

投稿者 yoshimoto : 07:05 AM | コメント (0)
July 11, 2009
駐車禁止除外指定車標章
私たちは往診の際に特別に、車をどこに停めてもいいという、許可書を持っています。
駐車禁止除外指定車標章といって、兵庫県公安委員会から発行された許可書です。
もちろん、だからといって交通渋滞を招くような場所には停めれません。
最近頻繁に往診に出かけている、あの滝の音の聞こえる家は、坂がきつく車の底が当たってしまう為、坂を上って家の近くまで車で行けません。
下の道も片側一車線のクネクネした山道。
そこをバスが通り、山道なのに交通量も多くて停車位置を探すのが大変です。
ドライバーからは白い目で見られながらも、なんとか停車。
そして、車のフロントに駐車禁止除外指定車標章を置いて、わざわざそこで白衣に袖を通して、
“私はここに不法に駐車したのではありませんよ”
とアピールしながら車から立ち去ります。
昨日の往診でちょっと困ったのは、駐車禁止除外指定車である私の車が修理中のため、妻の車で往診へ・・・
駐車禁止除外指定車標章に書かれている車番と、実際の車番が違っている為、もし、
“駐車禁止を貼られていたらどうしよう”
とか、
“警察が不審車両として連絡していたらどうしよう”
とかドキドキしながらの往診。
いつも勧められる往診後のアイスコーヒーを断り足早に往診先を後にしました。
車に戻るも何事もなく一安心。
でも、いつものように話をしたそうだったおじいちゃんの顔が浮かび、後ろ髪を引かれる思いで、その場を後にしました。

投稿者 yoshimoto : 06:47 AM | コメント (0)
July 07, 2009
チョコバナナ先生
幼稚園時代からずっと善本歯科医院に通ってくださっているかわいい女の子がいます。
当時からとても話好きで、治療時間より私と話している時間の方が長いくらいです。
つい先日学校検診で虫歯が見つかったとの事で来院。
みてびっくり!!
すっかり大人っぽくなっていて・・・
聞くと中学一年との事。
中学生になると女の子は一気に女性っぽくなりますね。
一年前に会ったときとは大違い。
男の子はまだまだ子供っぽいのにねー。
何かしゃべりたそうにしてたけど淡々と治療が進み帰り際に、とてもうれしそうな顔をして、
“先生、今日チョコバナナみたい(~0~)”
“?????チョコバナナ???”
“だってこの色合いが(・o・)”
チョコバナナは確か・・・・

な感じ????
あつ、そういえばいかにも。
レ( ̄ー ̄)ナットク!!( ̄^ ̄/)
確かにこれじゃ、チョコバナナですね。
でもなぜか、こう言ってくれて嬉しかった。
中学生になってもやっぱり以前と同じ話好きな可愛い女の子でした。

投稿者 yoshimoto : 07:05 AM | コメント (0)
July 01, 2009
サービス
サービスってなんだろうか?
サービス(英:service)とは、経済用語において、売り買いした後にモノが残らず、効用や満足などを提供する、形のない財のことである。第三次産業が取り扱う商品である。
医療サービス・・・・
提供する側と、受け取る側にはまだまだ差があるのが、現実。
“来週発表会があるのでそれまでに直して。”
“入れ歯を失くしてしまって噛めないから、明日までに作って。”
もちろん努力はしますが、明らかに出来ないことがあり、出来ませんと言うと、
“それでも医者か!!”
という暴言も・・・・
気持ちは分かりますがね(-_-#)
昨日知り合いの方が手術をしました。
手術時間は3時間ぐらいと言われ、今か今かと終了の報告を待つも一向に報告が入らず。
1時間オーバーした時に痺れを切らして電話してみるとまだとの事。
病院スタッフから、手術の経過報告なし。
2時間オーバーした時にメールで聞くと、まだとの事。
病院スタッフから、手術の経過報告なし。
3時間オーバーした時もメールで聞くと、まだとの事。
病院スタッフから、手術の経過の報告なし。
そしてまもなくして手術無事終了との電話。
医療サービスを受ける側に立つと、なぜ予定時間を3時間も過ぎてるのに経過報告がされないのだろうか??
待っている人達はみんな、最悪の事態を想定して胸がはちきれそうな思いで過ごしているのに・・・・
一言でいいのになぁー。
”時間がかかってますが、大丈夫ですよ。”・・・と
カルテの保存義務は5年ですが、実際には5年を過ぎたからといって、廃棄にはできません。
やはりサービスを提供する上には過去の善本歯科医院での診療記録は全て把握していたいから。
そのため莫大な量のカルテの山。
技工室にまた一台カルテ棚を購入。
正直この一台を増やしても焼け石に水って感じです。
もうこれが最後のスペース。
あとは天井裏しかスペースはありませんね。

投稿者 yoshimoto : 07:19 AM | コメント (0)
June 30, 2009
TEAM YOSHIMOTO卒業
6年3ヶ月技工士として善本歯科医院を支えてくれたスタッフの送別会を昨夜行いました。
一度も私の我儘な要求にも一切嫌な顔をせず、私を支えてくれた技工士。
とてもとても寂しいですね。
もうすぐ出産。
元気なお子さんを生んでくださいね。
ありがとうございました。
a(^-^)r(-^ )i(^ )g( )a( ^)t( ^-)o(^-^)~♪★
そしてやってきた新人。
期待の星です。
チームヨシモトの一員、おめでと!!

投稿者 yoshimoto : 06:59 AM | コメント (0)
June 27, 2009
滝音の聞こえる家
昨晩は診療後、あの滝の音が聞こえる、坂の上のお宅への往診の日でした。
なんとか写真を撮ろうとがんばってみました。
デジカメをマニュアル設定にして何度も何度も設定を変えて撮れた写真がこれです。
わかりますかね?
もちろん大きな滝ではありませんが、とても水量が多くて、いい音色なんですよ。
滝壺に降りてみようかと思いましたが、かなり急な崖になっていて降りられませんでした。
家に入ると、ベットの上で酸素マスクをつけたおじいちゃんが、満面に笑みを浮かべて迎えてくれました。
この笑顔を見ると、往診の煩わしさなんて、吹っ飛んでしまいます。
今日もきてよかった。(~0~)

投稿者 yoshimoto : 06:24 AM | コメント (0)
June 26, 2009
滝川第二校検診
昨日の午後も検診デー。
滝川第二校へ行ってきました。
私が滝川高校在学中はまだ第二校はありませんでした。
現在の滝川第二校の敷地は野球の練習場や、部活の合宿場に当てられていたと思います。
当時は、甲子園球場と同じくらいの野球場が2面と、サッカー練習場があったと記憶しています。
今でも自然に囲まれたとてもすばらしいところ。
しかし自然に囲まれているということは、とても交通に不便なところ。
どうやってみんな通ってるんだろうか?
大きな体育館で1100名程の歯科検診。
学生の熱気で汗だく(゜O゜;でした。

投稿者 yoshimoto : 07:09 AM | コメント (0)
June 20, 2009
坂の上には・・・

この坂の上には私の到着を首を長くして待ってくれている人がいます。
肺気腫の為、酸素ボンベをつけての生活。
なかなか通院が困難な為、昨日は往診に・・・
2ヶ月前に初めて伺ったときに、家の周りには森、そして聞こえるのは滝の音。
“須磨にこんなに自然に囲まれたすばらしいところがあるなんて、知りませんでした”
と私が言うと、
とても嬉しそうに満面の笑みを浮かべてうなずいていました。
このすばらしい環境に移ってきたのは娘さんが喘息だった為。
でも今ではこの長くて急な坂が老夫婦にとっては問題に・・・
“タクシーが嫌がって上がってくれないんですよ。”
”どうしてですか?”
”あまりに坂が急なので、車の底を擦ってしまうんです”
そう、そんなことを知らずに私も2ヶ月前に行った時は、坂の上まで車で登りました。
登りは問題なかったのですが、下りの最後で、
ド━━━(゜ロ゜;)━━ン!!、
ガリガリ
車のフェンダーが壊れてしまいました。
(ノ゜⊿゜)ノびっくり!!
昨日は坂の下に車を置いて歩いて坂を上がりました。
さすがに、しんどかったなぁ。
でもこの先には私を頼りにしてくれている人がいると思うと体調が悪くてもがんばって登らないと・・・・
しっかし、マイナスイオンたっぷりのすばらしい場所です。
滝の水音が心地よく私を応援してくれていました。

投稿者 yoshimoto : 06:40 AM | コメント (0)
June 19, 2009
出務
年に2~3回ほど、保健所での検診に出務します。
昨日の午後は1時30分から、保健所での3歳児検診の日。
なんとか早く午前の診療を終わらせて、昼食を取ってから行こうと思いがんばって診療を行うも、こういう日に限って急患が多く、結局昼食を取る時間も無く保健所へ。
なんとか5分前に到着するも、いきなり保健所の衛生士さんに、
『今日は70人ほど予定しておりますので早速お願いします』
・・・とのこと。
昨日は、8時30分~15時までまったく息つくヒマがなかったなぁ~。
目には悪い一日でした。

投稿者 yoshimoto : 07:05 AM | コメント (0)
June 15, 2009
ボクシング蛙、仲間入り
院長室の机のパソコンの横には小さなカッパや蛙の置物でいっぱいです。
スタッフもどこかでかわいいのを見つけてきてはプレゼントしてくれます。
今日からボクシング蛙も仲間入りです。
これらを見ているとなんとなく心が和みますね。
ヤッパリ前世はカッパかカエルだったのかなぁ???
最近妻がカッパの学術書(?)を買って読んでいます。
もしかして、私をもっと理解する為かな(; ̄ー ̄)...ン?

投稿者 yoshimoto : 07:16 AM | コメント (0)
June 12, 2009
母校にて検診
私は滝川高校出身です。
私の父も旧滝川中学出身です。
滝川高校、滝川第二校の卒業生の歯科医師で竜歯会というのを結成し、毎年母校の歯科検診を行っています。
昨日は滝川高校での歯科検診。
17名もの先生方に集まって頂き、あっという間に全校生徒の検診を終えました。
しっかし、中高生って元気ですね。
ずーっと、走り回っているし、ずーっと、しゃべってるし・・・
ずーっと、先生に怒られっぱなし。
私にもあんな時代があったのかなぁ???
6月25日には滝川第二校で検診予定。
こっちは男女共学なんですよね。
毎年思いますが、学校によって空気が違いますよね。
その違う空気を感じるのもちょっと楽しみですねぇ。
ヾ(@⌒▽⌒@)ノ
ちなみに竜歯会の会長は私の父。
私は滝川高校の歯科の校医をしております。
この写真は震災後立て替えられた校舎。
私が通っていた頃とは雰囲気が全然違います。
ちょっと、それは残念かな('_'?)...ン?
投稿者 yoshimoto : 07:19 AM | コメント (0)
June 10, 2009
通常のマスクへ変更
N95マスク(抗ウイルス)から通常のマスクへ変更しました。
診療中もこの三週間は、マスクをつけたままで患者様とお話をしておりましたが、昨日からは今まで通り、お話する時はきちっとマスクを外して対応しております。
マスクをつけたまま話すのって結構息苦しいんですよねぇ。
それにいつもよりハッキリと話さないと相手に伝わらないし・・・
この三日間での神戸市の新型インフルエンザ発生件数は1件
そこで、善本歯科医院としましても安全であると判断した次第です。
しかし、全国でみると、一昨日22件、昨日25件と発生件数は増えております。
手洗い、うがいの予防は怠らないように・・・・
マスクを外しての説明は楽だわ(゜ー゜☆
って、患者座ってないやん。(~--)/(^^;) ナンデヤネン

投稿者 yoshimoto : 07:27 AM | コメント (0)
June 05, 2009
♪♪ネットで借りて・・・♪♪の続き
知らないことで、想像していた事と違う事が起こると、とてもそれが小さなことでもびっくりしてしまいますよね。
DVDのネットレンタル。
まさかこんな入れ物で自宅のポストに入っているとは想像できませんでした。
当然ハードケースに入れられて届けられるとばかり思っていたので、ポストに入っているのさえ見落とすところでした。
でも当たり前の話かなぁ??
ハードケースだと当然送料が高くつきますよね。
そのままこれを裏返すと、返送先の住所と90円切手が貼ってありそのままポストへ返却ということです。
誰が考えたのか、よくできています。
確かにこれならビジネスになりますね。
想像していた事と違う事が起こると、とてもそれが小さなことでもびっくりしてしまいますよね。
そう、毎日の歯科診療でも同じことが言えます。
いかに想像豊かに、何事にでも対処できる柔軟さが必要となります。
その柔軟さを養うには、歯科の勉強ばかりでは無理、いろんな事に挑戦し、いろんな事を行い、いろんな人と出会う事も必要では・・・

投稿者 yoshimoto : 07:03 AM | コメント (0)
June 04, 2009
アスクル、アマゾン・・・etc
会社関係、事業所関係の人にとってアスクルって超有名ですよね。
一般家庭では利用できないサービスなので知らない人も多いとは思いますが・・・
日用雑貨、文具・・・
鉛筆一本から大型家具まで
なーんでもほとんど次の日に届いちゃうんですからびっくりです。
明日届けてくれるので、明日来る・・すなわちアスクル。
最近では朝10時までに注文したらキョウクルになってますよね。
おまけに1500円以上の注文で配送料がただ。
この配送料ただの仕組みがわからないですね。(・-・)・・・ん?
最近、活字依存症になってしまいました。
画面上や学術本の活字ではなく、単庫本や文庫本の活字に対して・・・・
となると活躍するのがアマゾンですよね。
なかなか、本屋に直接行って広大な敷地の中からお目当ての本を探す・・・・
これも一つの楽しみでもありますが・・・
どうしても限られた時間の中で効率よく探せるネットの本屋さん・アマゾンはとても助かります。
ここでもびっくりするのが1500円以上で配送料がタダ。
ネットビジネスってそんなに人件費が節約できるんですかね??
私の仕事は人財あっての仕事なのでどうしても理解できないところがあります。
村上春樹さんの1Q84はアイキュウ ハチジュウヨンって読むとばっかし思っていました。
まさかイチキュウハチヨンとは・・
でも9をQにした意味は???
2日前に注文した本も今日早速到着。
読むのがとても楽しみです
V(○⌒∇⌒○) ルンルン

投稿者 yoshimoto : 07:12 AM | コメント (0)
June 01, 2009
新型インフルエンザの近況
もうほとんどの方がマスクをされていませんね。
普通の街の風景が戻ってきたようでとても嬉しいです。
人の動きもいつものようになってきていますね。
(..)(^^)(^。^)(*^o^)(^O^)
最近では患者数の動向がマスコミで発表されていませんのでこの一週間を比較してみました。
5月25日現在
5月31日現在
感染拡大が心配されたこの一週間でしたが、皆さんの感染拡大防止努力によりかなり封じ込めることができたようです。
このままおさまって欲しいですね。
ちょっと気になるのが29日から30日にかけては3名の発生でしたが、30日から31日にかけては8名の発生でした。
ほんとうにこのままなにもなければいいのですが・・・
投稿者 yoshimoto : 07:17 AM | コメント (0)
May 24, 2009
治療・予防
私たち歯科医師の仕事は、簡単に表現すれば、治療と予防。
但し、問題はどちらにも100%はありえないこと。
“はい、これで直りましたよ。これからはこうならないように予防に努めましょうね”
でもこの『直りましたよ』という言葉に突っ込んでくる患者様も。
“もう一生大丈夫なんですね”・・・・と
そこで予防ということの大切さを説明しますが、残念ながらそのときも、
“予防すれば一生大丈夫なんですね”・・・と
治療、予防に100%を求めることは無理。
でもここで『無理』と言い放ってしまうことは歯科医師としての職業の放棄になってしまいます。
いかに100%ではないが、予防の大切さを根気よく説いていくことが大切であると日々思います。
マスクなんてインフルエンザ感染予防に意味がないとマスコミで放映され始めています。
マスクをつける意味があるのは、感染者だけと・・・・
いずれ、『マスク着用者の来店を禁じます』といった張り紙が出てしまう危険が
どのマスクを使用し、どのようにマスクを着用し、また顔の形・大きさによってどのタイプのマスクを選択すべきか、そうして選んだマスクはどれだけ感染拡大予防に効果があるかを知らせるべきでは???
今日は思いっきり『いい空気(?)』を吸ってきました。
久しぶりに深呼吸をしたなぁー。
今までだって街中で深呼吸することはなかったけどね・・・

投稿者 yoshimoto : 07:29 AM | コメント (0)
May 21, 2009
情けは人の為ならず
私の人生はいつもいつも人の助けのもとに成り立っています。
情けない話ですが、只一度も自分の力だけで物事を解決したことがありません。
人生での大きな危機のときに、手を差し伸べていただいた方々のことは一生忘れることはないし、なんとか死ぬまでに恩返しをしたいと思っております。
広島から昨日救援物資が届きました。
そう、マスクです。
医療機関でもまだまだ手に入りにくい状態。月曜日に30枚調達できただけでその後は皆無でした。
ネットオークションでは定価の10倍の値段がついたとのニュースまで・・・
マスクを送って下さった方は広島で薬品会社を経営している遠い親戚。
私はこの方を敬意(?)を込めて筋肉バカとよんでいます。
かなりのスグレモノのマスクで抗ウイルスマスクでありながら30回使用が可能。
一回使用すると48時間陰干しして再使用。
したがって一袋3枚入りなので三ヶ月は使用できる計算になります。
実際には三ヶ月は無理かもしれませんが少なくともこの三枚で一ヶ月でも使用できればとても助かります。
この数日間患者様や知り合いからマスクを分けて下さいと言われ、心の中で在庫を計算しながら、顔ででは笑って
“いいですよ”
っていう自分が情けなかった。(。>0<。)
マスクがネットオークションで定価の10倍の値段が・・・・
情けは人の為ならず
因果応報
このマスクが届いて、梱包を解くときなぜか涙が・・・・
14年前のあの日、多くの人に助けられ事が走馬灯のように頭の中をめぐりました。
あの日のことはトラウマとしてまだ心の中に残っていたんですね。
14年前のあの時、信号が青になっただけで大泣きしたぐらいの弱虫でしたからね。
この意味が分かる人は少ないか???
とにかく、筋肉バーカ!!
(o^o^o)あ(o^-^o)り(o^o^o) が(o^O^o)と(o^.^o)う
★あ(^-^) り(-^ ) が( ) と( ^-) う\(^0^)/★
この笑顔は私・スタッフだけでなく、ほか多くの方々の笑顔ですよ。

投稿者 yoshimoto : 07:10 AM | コメント (0)
May 20, 2009
速乾性アルコール手指消毒薬
皆様、健康にお過ごしですか?
一人一人が出来る範囲での、感染拡大予防に努めていきましょうね。
私が出来る範囲は、家族そしてスタッフの10名に感染拡大予防をさせることだけです。
でもその小さな努力が、善本歯科医院での患者様への感染拡大予防につながり、またスタッフの家族への感染拡大予防にもつながると信じています。
速乾性アルコール手指消毒薬を購入しました。
本当は医院の玄関口に置きたかったのですが残念ながらあきらめました。
一つは、この消毒薬でさえ手に入りにくい状態。
もう一つは、1000CCの消毒薬が一日もたないのが現実。
・・・だそうです。
ある医院でいち早く速乾性アルコール手指消毒薬を設置したところ、
ワンプッシュで充分であると患者様に使い方を説明するも、速乾性のため何度も何度もプッシュし続けるためすぐになくなってしまうそうです。
一日でその医院は設置を断念したそうです。
そこで善本歯科医院では少なくともスタッフがウイルスを持ち込まないようにと、裏口に設置しています。
とてもとても微力な予防法ですが、できることはしていかないと・・・
来るであろうと言われている強毒性鳥インフルエンザ対策の為にも・・・

投稿者 yoshimoto : 07:15 AM | コメント (0)
May 19, 2009
消えたマスク
消えてしまいました。
市中からマスクが・・・・
いや、日本からマスクが・・・・
先週の木曜日に私は通常のマスクではなく、インフルエンザ対応のマスクを1箱60枚入りを4箱購入しました。
その二日後の土曜日に国内初の感染者が・・・
そして、日曜日には市中からマスクが消えてしまいました。
医療関係の業者にはまだまだ在庫があるだろうと楽観視していましたが、残念ながらインフルエンザ対応どころか、普通のマスクまでもが在庫ゼロの状態。
ネットで調べるもどの店も売り切れ状態。
昨日の月曜日に確保できたインフルエンザ対応マスクはたった30枚。
先週買っておいたマスクと合わせて270枚。
多いと思われるかもl知れませんが医院は私とスタッフ合わせて8名。
そして家族2名。
合計10名。
出来れば医院で使用するマスクは一日2枚が必要。
・・・となるともって20日が限度。
歯科医師会を通じて600枚注文をかけるもいつ手に入るか、手に入れることが出来るのかさえ現時点ではわからない状態。
マスクが手に入らないとお困りの方にマスクをお分けしていますが、残念ながら数に限りがあるためそれも難しい状態に。
申し訳なく思っております。
今週行われる関西でのコンサート。
ある事務所は延期を決定。
そしてある事務所は、
“くしゃみ、咳きの出る方はマスクをしてください”・・・と
本当にいいのかなぁ??
全員マスク着用が必要では・・・
でも、マスクに慣れてないとマスクをつけて大声を出すと酸欠状態に・・・
コンサートに来る人全員のマスクを確保するのも難しいか?
今、何が正しいか正しくないかを判断するのは難しいですね。
1箱に60枚インフルエンザ対応マスクが入っています。

投稿者 yoshimoto : 07:04 AM | コメント (0)
May 18, 2009
感染予防・・・二つの意義
なぜ、また神戸なんだ。とお感じの方も多いと思います。
もう一度14年前を思い出して、あの日、あの時と同じように一人一人の小さな力で、感染拡大を防いでいきましょう。
今日私が書こうとしている事はとても偉そうに聞こえるかもしれませんし、意味がないと思われるかもしれませんが、一人でも理解してもらえればと思い書かせていただきます。
また、人を誹謗中傷することではないことも、ご理解願いたいと思います。
私は、国内での感染が報告されてからは、必ず外出の際にはゴーグルをしてマスクをつけることにしています。
でもおそらく皆様とは少し考えが違うかもしれません。
もし皆様が万が一感染してしまったとき、一番初めに思うことが、
なぜ私だけが感染するの・・・
次に思うことが、
マスクをして感染した人は、マスクをしていたのになぜ?
マスクをせずに感染した人は、マスクをしていればよかったと後悔。
でも、この次に思うことがとてもとてもその人を苦しめてしまいます。
誰かに感染させていないだろうか?
マスクをしていれば、自分が感染したと分からずに接した人達に感染を広げるリスクが低くなります。
そうこのときに少なくとも、マスクをしていてよかったと・・・
自分はうつらないではなく、
うつるかもしれない、だからうつさない。
今出来るマスク・手洗いという感染予防は本当にパーセンテージの低い予防法です。
ワクチンが出来るまではやはり今出来ることを多くの人が実行されることを願います。
私が今書いたことは決して感染した人達を非難しているのではないことも理解していただきたいと思います。
一日も早く感染した人達の回復を願っております。
さすがに車の中では必要ないかもしれませんが、今私が医療人として出来ることは、残念ながらこれくらいしかありません。

投稿者 yoshimoto : 06:56 AM | コメント (0)
May 17, 2009
マスクの着用方法
皆様もご承知の通り、神戸市に新型インフルエンザの感染が、広まってしまいました。
今できる感染予防方法は、第一にマスクです。もし可能であれば、ゴーグルを着用し目からの感染にも注意して下さい。
マスコミで有識者が、マスクなんて役に立たないと言っている方がおられますが、私はこの考えは間違っていると思います。
ただ、マスクの着用方法、使用方法を間違っておられる方が多いのが現実です。

この写真のように苦しいからといって鼻を少しでも出してしまうとマスクの意味がありません。

必ず鼻をカバーしノーズガードを鼻のカーブに合わせて下さい。
そして、あごの下までカバーするようにマスクを伸ばしてください。
その他、注意していただきたいのが、マスクの表面はウイルスが感染した部分であると認識され、マスクの表面には絶対に触れないこと。
マスクを外すときは耳にかけるゴムを持って外すこと。
一番大事なことは、マスクはウイルス対策用マスクで使い捨てであること。もったいないと思わずに必ず常に新しいものを使用してください。
善本歯科医院では今まで以上に、院内感染には注意し診療に従事していきたいと思っております。
また皆様方も、感染には十分注意され、健康にお過ごし願いたいと思います。
投稿者 yoshimoto : 07:49 AM | コメント (0)
May 16, 2009
新型インフルエンザ・・神戸
今朝のニュースで神戸で国内初の新型インフルエンザ感染の疑いの患者が出たと・・・
今現在精密な検査を行っているとのことですが、新型ではなければよいのですが・・
もしそうなればどこまでの行動制限が発令されるのか?
また神戸市のどこで?
思い出されるのが国内初のエイズ患者が出たときのこと。
それも私の住む町、板宿でした。
マスコミの異常な行動。
板宿中の喫茶店はマスコミでいっぱい。
そしてあちらこちらの路上にチャーターされたハイヤーが・・・
昨日もブログで書きましたが、過剰な反応は慎しみ、適切な感染防御に努めること。
昨日東京で停留処置を解除された高校生の言葉、
私たちは病原体ではありません
差別は絶対にしてはいけません!!

投稿者 yoshimoto : 06:59 AM | コメント (0)
May 15, 2009
新型インフルエンザ対策
昨日、歯を削っている最中に患者様がむせだして咳を始めました。
“大丈夫ですか”
すると、
“ゴホン、ゴホン、単に水が絡んでむせただけだからね”
( ‥) ン?
さらに、
“ゴホン、ゴホン、本当にむせただけだからね。”
('_'?)...ン?
さらに、
“ゴホン、ゴホン、風邪の咳じゃないからね”
アー、レ( ̄ー ̄)ナットク!!( ̄^ ̄/)
私の咳は安全ですよ。
ウイルスはまき散らしてませんよ・・という事を言いたかったわけか。
確かに人ごみで咳をしている人がいるとなぜか気になるし、咳が出てしまうと冷たい視線を感じる事があります。
過敏に反応してしまい差別することはダメですが、自己防衛としての対策をする事は大切です。
それを、恥ずかしがることはないと思います。
私も家族の為に、新型インフルエンザ対策用マスクを大量購入しました。
万が一の時、家族3人が2ヶ月過ごせる分のマスクを・・・
でも、万が一の時って外出できないか??
なら、こんなにマスクはいらなかったかなぁ?
その時、歯科医院は機能するのだろうか?
すると、スタッフの通勤の為のインフルエンザ対応往復マスク、午前の診療用のインフルエンザ対応マスク、午後の診療用のインフルエンザ対応マスク・・・・
どんだけマスクがいるねん!!!
未知の話なので、どの程度対策をすればいいのかわからないですね。

投稿者 yoshimoto : 07:16 AM | コメント (0)
May 12, 2009
新スタッフ
昨日より新しい技工士がスタッフに加わりました。
技工士は、診療室内で患者様と直接会話することが少ないため、一般的には認知度の低い存在かもしれませんね。
善本歯科医院にとって、歯科医師・衛生士・技工士・歯科助手・受付秘書、このメンバーが一人でもかけるとチーム医療ができなくなってしまいます。
新メンバーは経験豊富なので、今の技工士が退職するまでの一ヵ月半で、十分善本歯科医院のチームの要となってくれるでしょう。
ロッカーの名札を作成するのは私の係。
メンバーがかなり長く固定されていたので、名札を作るのも久しぶりです。
新しい名札を入れるときに、いつも思うことは、
一日も早く良いメンバーに育って、ずっとこの名札を外すときが来て欲しくないと・・・

投稿者 yoshimoto : 07:15 AM | コメント (0)
May 07, 2009
ゴールデンウイーク終了
ながーい休みも終わりましたねぇ。
ほとんどの方が今日から仕事。
つらーい朝を迎えておられるのでは????
私は、休み中は毎日5時半に起きていつもの場所へ・・・
なにもせず、なにも考えず、
ただただボーっと30~40分しているだけ。
この景色はとても心を穏やかにしてくれて、
ずーっと見ていてもあきません。なぜかな?
皆さんにはそういう場所や景色ってありますか?
休みで体力は消耗された方は多いと思いますが、心の充電は満タン(・-・)・・・ん?
さー行きますか!!!
(/*⌒-⌒)o レッツゴー♪
しかし雨のゴールデンウイークでしたね。
結局陸から海を眺めるだけで、海上には出れなかったなぁー。

投稿者 yoshimoto : 06:52 AM | コメント (0)
May 03, 2009
ゴールデンウイークの歯科診療
昨日の診療は8時から始めるも、終わったのが13時過ぎ。
またまた多くの患者様を、お待たせして申し訳ございませんでした。
一時間以上もお待たせした患者様に、とても暖かいお声をひと言、掛けていただきました。
そのひと言は、
“先生もお疲れでしょうから、ゆっくりと休んでくださいねぇ(-^〇^-)”
ほんと、嬉しかったです。
ありがとうございました。
休みの間に痛くなったらどうしたらいいんですか・・・って言われるととてもつらいですね。
以前は携帯の電話番号を教えたりして対応していましたが、いつかかってくるかと思うとゆっくりと休めませんでした。
一度広島に行っていたときにかかってきて、そのまますぐに神戸に帰って来たこともありました。
長い休みでご迷惑をおかけいたしますが、ゴールデンウイーク中の休日歯科診療を兵庫県歯科医師会・口腔保健センターにて行なっておりますので、救急を要する場合は、351-1722 にお電話の上、受診して下さい。
よろしくお願い致します。
交 通
●JR元町駅下車、北へ徒歩15分
●神戸市バス諏訪山公園下下車、すぐ前
●神戸市営地下鉄県庁前下車、北へ徒歩8分
●神戸高速鉄道花隈駅または阪神元町駅下車、北へ徒歩15分
投稿者 yoshimoto : 06:37 AM | コメント (0)
May 02, 2009
朝の・・・5時半
明日から4連休。
昨日は急患が多くて、以前から予約していた患者様には待ち時間が長くなり、ご迷惑をお掛けいたしまして申し訳ございませんでした。
今日も、大変な一日になりそうです。
できるだけご迷惑をお掛けしないようにと、8時から診療開始するため、朝の5時半に出勤して診療準備に取り掛かっています。
いつも私の指示に文句も言わず、嫌な顔もせず従ってくれてるスタッフですが、さすがにこんな時間に出て来い!なぁ~んて言えませんからね。というわけで一人で準備にかかっています。
早朝の町はあまり好きではありません。
酔っぱらいや、奇声を発している集団や、地べたに座り込んでいる集団や・・・・
とにかく二十歳前後と思われる若者が多いのにはびっくりします。
中には中学生???という子供たちも・・
昔は早朝といえば、新聞配達や牛乳配達の人、散歩するおじいちゃん、おばあちゃん・・・だけだったのになぁ~。
ブログ書くのに30分もかかってしまった。
早く準備にかからないと・・・

投稿者 yoshimoto : 05:47 AM | コメント (0)
April 30, 2009
本日臨時休診
本日は、月に一度実施しております保険の整理、薬品の整理そして大掃除の為、休診致します。
明日、明後日は平常どおり診療を行っております。
連休明けの5月11日より新しいスタッフが来ます。
6年勤めた技工士が6月末で出産のため退職。
とてもとても残念でしかたありません。
一ヶ月半は引継ぎのため技工士が二人いることになります。
そこで大先生が引退するまで使用していた院長机(本当は技工机)の修理と整理を朝早くから行っています。
この机は私が20年使用し続けたので私物でいっぱい。
娘からの誕生日カードや昔のスタッフとの写真やわけのわからない機械の部品などなど・・・
やっと一時間半もかかって終わりました。
しっかし電動ドリルって便利ですね。
ラクチン、ラクチン

投稿者 yoshimoto : 07:13 AM | コメント (0)
April 28, 2009
いたずら好きなスタッフ
“バンドエイドを出して”と言うと不敵な笑みを浮かべて返事をするスタッフが一人います。
開けて貼ってみるとこんなメッセージが・・・・

/(-_-)\ コマッタァ・・・
どうせ手袋をするから見えないかと思うでしょうが困ったことに手袋しても結構ハッキリと読み取れるんです。
なんとか午前の診療中患者様には気づかれずにホットしたのもつかの間、昼食から帰ってくると院長室の机の上に新しいバンドエイドが・・・
( ̄(エ) ̄)ゞ クマッタナー

投稿者 yoshimoto : 07:07 AM | コメント (0)
April 25, 2009
見学実習終了
2週間に渡る、兵庫歯科学院衛生士学科の生徒の、見学自習が昨日で終了しました。
診療室内にノートとペンを持った、違う色の白衣を着た人が居て、来院された患者様には嫌な思いをされた方もおられると思いますが、申し訳ございませんでした。
7月からは3ケ月に渡っての診療実習生が来ます。
私の父はいつも
“ライフワークは衛生士教育”
・・・と言います。、
実際に全国の衛生士教育の役職をずっと続けています。
84歳になった今でも会議のため、東京へよく行っています。
私、息子としましても父の衛生士教育の一役を担えればと思い、学生の診療実習の場として提供しています。
・・・・とかっこいいことばかり言っていますが、実習生の受け入れはとてもとてもストレスがかかり、さらにスタッフの仕事も増え大変です。
決して患者様にはご迷惑をお掛けいたしませんので・・・

投稿者 yoshimoto : 07:05 AM | コメント (4)
April 22, 2009
35年前のドアノブ
善本歯科医院入り口の内側のドアノブが破損しております。
現在ガムテープで応急処置をしております。
開閉には問題がありませんがガタガタしてご迷惑をお掛けしますが、もうしばらくご辛抱の程宜しくお願い致します。
35年間毎日毎日開け閉めしていたドアノブ。
35年も使えば壊れるか・・・
修理をお願いすると海外物で取り寄せに一ヶ月以上かかりびっくりするような値段。
35年前に父がこの医院の細部にまでこだわり設計した思いがひしひしと伝わってきます。
今回は日本製のドアノブにすることにしました。
そろそろ自動ドアーに変えないといけないなぁって思っていた時なので今回はそれまでのつなぎということで・・・

投稿者 yoshimoto : 07:09 AM | コメント (0)
April 21, 2009
春の新色
あー今日は何にもブログのネタが浮かびません。
(≧≦) ゴメンナサイ
困ったときの白衣ネタ('_'?)..
1ヵ月ぐらい前から新しい色の白衣を着ています。
現在使用している色は全部で6色。
すなわち毎日色を変えて気分も変えて診療をしています。
今日はブラウン。
朝早くから院長室でセルフタイマーで自分を撮って楽しんでいます。
ブログネタがないときまた違う色の白衣を紹介しまーす。
そんなの紹介していらんっていう声が聞こえてきそうですがそこは自分勝手ができるブログの良いところ・・・好きにさせて下さい。
八(^□^*) タノム!!

投稿者 yoshimoto : 07:10 AM | コメント (0)
April 18, 2009
実習生
今善本歯科医院にはこのナースシューズを履いた女性が二人居ます。
兵庫歯科学院2年生の見学実習生です。
いつも私が一番初めに言うことは、
絶対に患者様に背を向けずハッキリと大きな声で“おはようございます”、“お大事に”を言うようにと・・・。
当たり前のことのこのことが出来ない生徒が多いのが現実。
見る事ばかり考えて診療室の一員であることが認識できない。
診療室と学校との区別が出来ない。
本当にびっくりすることがあります。
でも今回の実習生は声も大きく出てハッキリと挨拶ができ気持ちがいいです。
見学実習なんてなんの役にもたちません。
100年見学しても一流の衛生士にはなれない。
もちろん歯科医師にも言えることです。
見学実習の意義はそれがわかる事・・・かなぁ??
もう30年前の話になってしまいますが私が学生のときもまずは見学実習から入りましたがまったくなにを見学したか記憶に残っていませんが、初めて診療実習を行った時の事は今でも鮮明に記憶の中に残っています。
確かに百聞は一見にしかずですが、
私の持論は“百見は一行にしかず”・・・ですねぇ!!
“見る”から“観る”・“看る”・“診る”のどれかに変化すれば見学実習は成功なんですがね・・・・

投稿者 yoshimoto : 06:43 AM | コメント (0)
April 16, 2009
勘違い・・・なぜ???
約束の時間より少し遅れて来られた患者様が、
“ここではトイレを貸してくれないって以前に言われたから外でトイレを探すのに時間がかかって今日は遅れた”・・・・と
100%いや一億パーセントうちのスタッフがトイレを貸せないなんて言うわけがないのになぜこんな勘違いが起こったんだろう?
こういう場合は言った、言わないの押し問答になってしまうので必ずこちらから謝罪をします。
“何かの間違いだとは思いますが申し訳ございませんでした。トイレはいつでも使っていただいて結構ですのでいつでもおっしゃってくださいね”・・・と
勘違い、思い違い、思い込み・・・・
この対処方って難しいですね。
この写真の院長室の机。
これも勘違いの作品です。
座る側に丸みがありますが、注文したのは丸みのないタイプ。
でも届いたのは・・・・これ。
確かに言ったよな?
言った気がする??
言うの忘れたか???
って心の中では思うも相手には、
“言ったよね(;`O´)o”・・・って。
後には引けない状況になることってありますよね。
結局設置してみるとこちらのタイプの方が使い勝手がよかったので、
“もう、これでいいよ”・・・って
よっぽどのことでない限り言った、言わないの言い合いだけはさけるようにしています。
勘違いを起こさせた要因は私たちの方にもあるのですから・・・ねぇ!

投稿者 yoshimoto : 07:11 AM | コメント (0)
April 15, 2009
ピアザ来院
あの賢いやつがやってきました。
そう、盲導犬ピアザ!!
一年ぶりかなぁ?
やっぱりえらいなぁ~。
うちの犬はこうはいかないね。
ご主人様の診療中はじっと伏せの状態。
でも口をゆすぐ為に診療台を上げると終わったと勘違いしてピアザも起き上がる失敗を何度か・・・・
でも学習能力は凄いもので診療の最後の方ではその失敗もなく伏せを続けていました。
本当はお仕事中の盲導犬に触れてはいけないんですがご主人様の許可を得てヨシヨシ。
さすがに嬉しそうにシッポを振っていました。

投稿者 yoshimoto : 07:00 AM | コメント (0)
April 14, 2009
中国製義歯
ちょっとびっくりしました。
昨日の神戸新聞の夕刊にこんな記事が。
歯科医の7.4%が技工物(入れ歯や差し歯や被せなど)を海外の技工所に発注経験があるとの記事です。
中でも中国に発注経験があるとの答えが70%も・・・・
(*゜ロ゜)ノミ☆(;>_<)
今回の調査は製品の品質の調査を行っていないそうですが食品と同じ口に入れる物ですから厚生省もきちっと調査をしてもらいたいものです。
そのうち歯科医の待合室には
“国産入れ歯使用”
なんてポスターを貼らなければならなくなるんでわ???
もちろん善本歯科医院は全て過去にもこれからも先も国産です。
でも一つ、日本ではまだ認可されていない海外の高度医療を取り入れることはこれから先あるかもしれませんが・・・・

投稿者 yoshimoto : 07:14 AM | コメント (0)
April 11, 2009
ナースシューズ・・スニーカータイプ
善本歯科医院には一人だけスニーカータイプのナースシューズを履いているスタッフがいます。
理由は普通のタイプのナースシューズだとすぐに破けてダメになってしまうから。
確かに買ってまもないのにボロボロ。
一人だけ違うナースシューズはどうかなぁ~って思いましたがナースシューズなら問題ないかと注文。
昨日届き履いています。
これが結構動きやすそうでよかったかも・・・
スニーカータイプのナースシューズを履いたスタッフを見かけたら声をかけてあげて下さい。
( ̄_J ̄)ん?
なんて声かけるねん???
Σ\( ̄ー ̄;)

投稿者 yoshimoto : 06:44 AM | コメント (0)
April 10, 2009
対応の違い
2ヶ月前にネットショップで買ったお気に入りのREYESのグローブ。
でも最近右グローブの中の布が少し破れてしまいこのまま使い続けて中綿が出てこないかと心配でした。
そこで購入したお店に修理をしていただけるお店をご存知ありませんかとメールをすると
“2ヶ月もたっていないのに破れてご迷惑をお掛けしました。返金致しますので着払いでお返し下さい。”・・・と、
でもこれは他のショップでは見つけることができない特別な色でとても気に入っていたのでもし同じ色があるようでしたら交換は可能ですかと聞くと、
“今日新しいのを送りますので配達業者に古いグローブをお渡し下さい”・・・と、
次の日には新しいグローブが届いていました。すばやい対応にはびっくりです。
同時期に違うお店でグローブを購入した友達は両手の中の布が破れ中綿が出てくるほどひどい状態でショップに連絡すると、
“中の状態を確認しないとなんとも言えないので送って来てください”と、
そして送っても何の連絡もないのでこちらから電話すると
“責任者が居ないのでお答えできない。”
・・・・・・と
同じことが起こったのにもかかわらずショップによっての対応の違い。
皆さんならどちらのショップとこれからも付き合っていきますか?
答えは一つですよね。
何か問題が起こったときすばやく対応し処理をしていく“能力”はとても大切な事ですねぇ!!
勉強になりました。
またまた革を柔らかくするためミンクオイルの出番です。
テカテカになるまで塗って置いています。
本当に手に馴染むまでには2ヶ月ぐらい使い続けないと無理ですね。
昨日の練習で使用しましたが全然手に馴染まず使いづらかったです。

投稿者 yoshimoto : 07:10 AM | コメント (0)
April 09, 2009
白衣
最近よくスタッフからパンツタイプの白衣に変えたいと言われます。
私はもう2年前からいわゆる白衣はやめていろんな色のスクラブ白衣というのを着て診療をしています。
スクラブ白衣は従来の白衣が持つ威圧感、冷たさや、患者さんが感じる恐怖感を緩和し明るい雰囲気の中で、患者様がリラックスして診療や治療を受けられるようにというコンセプトから作られた白衣です。
もちろんこれは女性スタッフの白衣にも当てはまる考えですが・・・・
なぜかまだ気持ちの中で“女性らしさ”という概念が捨てきれずにいます。
女性らしさは着用する白衣の種類で決まるものではないのですがねぇ。
レ( ̄ー ̄)ナットク!!( ̄^ ̄/)
私が着用しているスクラブ白衣のHPチェロキーを覗いてみてください。

投稿者 yoshimoto : 07:09 AM | コメント (0)
April 07, 2009
はっやー!!
今朝は6時45分に出勤。
8時から外科の先生の治療をするためです。
なかなかこの仕事は病院に通う時間が作れないのが現状。
医者の無養生はある意味仕方がないことかなぁ???
で朝の準備のためにこんな時間に出勤してきたというわけです。
早くブログ書き終えて準備にはいりまーす。

投稿者 yoshimoto : 06:47 AM | コメント (0)
April 06, 2009
全てを受け止めるパワーの源は・・・・
先週見た映画ドロップで初めて知った俳優 水嶋ヒロさん。
その水嶋ヒロ(24)さんと歌手、絢香(21)さんの結婚。
あー単なる若者の結婚か・・・と思っていましたが週末の芸能ニュースを見て感動しました。
ちょっとこの話は古くて今頃何言ってるのって感じかもしれませんが本当に水嶋ヒロさんと絢香さんはとても大人でかっこよかったです。
あの離婚したお笑い芸人とは大違い
相手を思いやり相手の病気も含めて全てを受け止める。
勇気がいりますよね。
もちろん相手の病気も含めて全てを受け止める事ができないという逆の選択も私は間違っていないと思います。
でも本当の二人の真価を問われるのはこれから・・・
10年後、20年後・・・水嶋ヒロさんと絢香さん、幸せそうって言われる人生を歩んで欲しいですね。
病気を受け止めるということはとてつもないパワーがいります。
そのパワーの源は・・・・・

投稿者 yoshimoto : 07:12 AM | コメント (0)
March 27, 2009
新型・・・
映画感染列島は見られましたか?
始めの感染ルートに少し矛盾がありましたがとても勉強になる映画だと思います。
いわゆる映画と思わずに一般市民にも分かりやすい学術ビデオ(._.?) ン?と思っていただきたい作品でしたね。
新型インフルエンザは必ず起こると思われます。
やはり今からの予防対策は行って下さい。
歯科医師会でも会員全員にゴーグルとマスクが配られました。
もちろんこの数では足りませんが予防対策の啓発にはなります。
皆さんも今からの予防を・・・

投稿者 yoshimoto : 07:19 AM | コメント (0)
March 26, 2009
指定医療機関講習
昨日は診療後8時から神戸市が行う40歳歯周病歯科検診・妊産婦歯科検診事業の指定医療機関の認定を受けるための講習を受けに行ってきました。
1時間30分程の講習。
一つ疑問が。
なぜ歯科医にとって治療ではなく検診と言う簡単なことを今更教えてもらう必要があるのか?
さらに更新のため毎年この講習を受けなくてはならないのか?
一般の方にこんなことを言っても仕方がない話ですが・・・
ちょっと歯科医を馬鹿にされたように感じるのは私だけでしょうか?

これと同じ歯周病検診指定医療機関のプレートも一年前に頂いたのですがどこかにいってしまいました。

投稿者 yoshimoto : 06:59 AM | コメント (0)
March 19, 2009
見てしまった
昨日のお昼から一切テレビ、インターネットのニュース特にスポーツニュースを見ていません。
考えるだけで・・・・
一夜明けて少し韓国戦のショックから立ち直っていたのに医院の待合室に置くためのスポーツ新聞を今見てしまった。
ショック☆<( ̄□ ̄;)>☆ショック
((“o(>ω<)o”))クヤシイー!!
今日のキューバ戦は全力でオウエンダー!!
今日は待合室に新聞を置くの辞めようかなぁ('_'?)...ン?

投稿者 yoshimoto : 07:20 AM | コメント (0)
March 17, 2009
ハピネス
ハピネス、幸せなひととき・・・なんて言葉には心動きますよね。
新しいアロマオイルの名前です。
本当にいい香りで心潤う感じがします。
今日はこの香りを待合室に・・・
幸せなひとときをお届けします。
・・・・・お届けできるかなぁ????

投稿者 yoshimoto : 07:16 AM | コメント (0)
March 10, 2009
オリジナルマウスピース
WBC、負けちゃいましたね。
ぜひアメリカ決戦では勝利してほしいですね。
WBCで一番気になっていたことが4番村田選手のマウスピース。
確か薄い青色のマウスピースだったと思います。
気づかれた方いらっしゃいますか??
野球はコンタクト競技ではないので明らかにあのマウスピースは運動能力を高めるために作製され装着しているマウスピースですね。
こんなオリジナルのマウスピースを作製してみました。
REYESのロゴ入りマウスピース。
勝手にロゴを使うのはいけないことですがあくまでも商品としてではなく遊びとしてですので許してくださいねぇ。
マウスピースにシールを貼っただけでは当然口の中で取れてしまいますので、マウスピースにシールを貼りさらにその上から一番薄いマウスピース用のゴムでシールドします。
すなわち二重構造になっています。
従って名前とかオリジナルロゴとか好きな絵とかを好みの場所に入れることができます。
シールもコンピューターで簡単に作成できますのでオリジナルのマウスピースが出来ます。
このREYES仕様のマウスピースはまだ噛み合わせがうまくいかず調整中です。
運動能力を最強に引き出せるマウスピースに仕上げていきたいです。

投稿者 yoshimoto : 07:14 AM | コメント (0)
March 07, 2009
チームよしもと・・編成
このすばらしいチームよしもとから二人が脱退。
一人は出産のため、そしてもう一人は結婚のため。
二人ともすばらしくそして楽しい未来への旅立ち。
スタッフ皆で昨夜は祝ってあげました。
といっても正式脱退は4ヶ月先の話なんですが・・・
でもこの4ヶ月の間に新しいチームよしもとのメンバーを探し育てていかないと思うと4ヶ月がとても短く感じます。
この仕事について25年。
何度も何度も別れと出会いを繰り返してきました。
二人がよしもとを離れるのは涙が出るほど悲しいし不安です。
チームよしもと隊長がこんな泣き言を言っていてはダメですねぇ。
@(/ェ・o)@クスン
おめでとう

顔で笑って心で泣いて・・・


投稿者 yoshimoto : 07:17 AM | コメント (0)
March 06, 2009
ジムでの必需品
コンタクトを伴うスポーツではマウスピースは必需品です。
歯型をとってそれぞれの人に合ったマウスピースを着けるというのが私には当たり前と思っていましたが実際には既製のマウスピースを自分で合わせるというびっくりするような方法が主流。
ジムで既製のマウスピースを着けている人を見ると苦しそうで運動能力自体を低下させてしまいそう。
さらに必要以上の厚みのためかえって口の中を傷つけてしまいそう。
でもやはり歯医者さんで作るマウスピースは高いというイメージが・・・
というよりもマウスピースの重要性を知らない人がほとんどかなぁ??
以前ブログでスポーツマウスピースの重要性について書いていますので、興味ある方はこのブログ画面横のサイト内検索にスポーツマウスピースと入力して読んでみてください。
今私は2種類のマウスピースを使用しています。
それぞれ厚みと噛み合わせが少し違います。

投稿者 yoshimoto : 07:25 AM | コメント (0)
March 05, 2009
成長
昨日以前善本歯科医院に勤務していた技工士さんが14年ぶりに来られました。
技工所開業の挨拶に・・・
20歳の頃から知っているので薄くなった頭を見て年月を感じました。
勤務の技工士さんと開業の技工士さんの大きな違いは“営業”をしなければならないこと。
武士は食はねど高楊枝・・・というわけにはいきませんからね。
きちっとスーツを着て手土産持って挨拶に。
なんとなくほほえましくて応援したくなるこの感情はなんなんだろうか?
早速スタッフと頂きました。
オイシカッタ

投稿者 yoshimoto : 07:21 AM | コメント (0)
March 04, 2009
1歳6ヶ月検診
昨日のお昼は保健所で行われる1歳6ヶ月の歯科検診へ行ってきました。
この年のお子様で虫歯の人は少なく私が診た内一人だけでした。
須磨区は旧須磨地区とポートアイランドの埋め立てのために山を切り開いて作られた新須磨地区に別れ保健所も2箇所あります。
数年前まで保健所での1歳半、3歳児検診は旧須磨地区は少なくて、とても楽でしたが最近人口分布が変わってきたらしく検診に来られるお子様の数がとても増えてきました。
地震のあと古い家はなくなり新しいマンションが・・・
さらにJR鷹取駅車庫がなくなり広大な敷地にマンションが・・・
旧須磨地区?新須磨地区?・・・今ではこの言葉も死語??
もしくは逆転したかも
時の流れですね((o("へ")o))
旧須磨の保健所内は以前と変わらず薄暗く、
壁には古い面影が・・・
投稿者 yoshimoto : 07:14 AM | コメント (0)
March 03, 2009
学習塾
善本歯科医院が入居しておりますビルの二つ上の5階に学習塾が入居されました。
善本歯科医院の一つ上の階の4階には以前、カラオケ屋さんが入っており診療中に演歌が流れてきてとても困惑しました。
もう少し静かにしてくださいというお願いが相手には苦情・文句にとられあまりいい関係が作れず悩んだ時期もありましたが一年ほど前に出て行かれたようです。
まだ4階のテナントは空き状態ですが善本歯科医院そして学習塾の為にも静かなテナント入居者が決まればいいのになぁ~♪ヽ(*^▽゜ *)ゞ^ ヾ☆

投稿者 yoshimoto : 07:25 AM | コメント (0)
February 24, 2009
歯科医院に醤油(ノ゜⊿゜)ノ
善本歯科医院の診療室には醤油が置かれています。
治療に必要なので・・・。
治療と言っても歯の治療に使うのではありませんよ!
私が仕事中にイライラしたときにスタッフにこの醤油をかけてもらいます。
Σ( ̄ロ ̄|||)なんと!?
この醤油は本物ではなくよしもとグッズの一つで村上ショージさんのギャグ、しょうゆこと(そうゆうことの意味)の醤油なんです。
注ぎ口にスイッチがあり押すと村上ショージさんの声で“しょうゆこと”と言います。
時々診療中にこんな声が流れますが気にしないで下さいねぇ。
気にするわ。
キャー!ビックリ!! (*゜ロ゜)ノミ☆(;>_<) バシバシ

投稿者 yoshimoto : 07:17 AM | コメント (0)
February 20, 2009
反省
人を傷つけるつもりもなく傷つけていると知ったとき私はかなりショックです。
一番したくないこと、やはりそれは人を傷つけること。
同じ事をしても心に受ける傷の深さは人によって違います。
自分中心で考えてしまい傷を負わせてしまう・・・・
傷を負わせてしまったと知ったときの感覚は、
大好きな人に大嫌いって言われたような晴天の霹靂・・・
みたいな(._.?) ン?
昨日もジムへ行き妻と元町の喫茶店で待ち合わせ。
頼んだ甘いショートケーキも少し苦く感じた一日でした。

投稿者 yoshimoto : 07:16 AM | コメント (0)
February 17, 2009
洗脳???
昨日患者様からこんな質問が、
“あの通販で有名な○○という歯磨き粉を使っていますが問題ないですかねぇ?”
有名な???
聞いたことないなぁ?ヾ(゜ー゜ヾ)^?。。。ン?
診療途中でネット検索してみるもヒットせず。
テレビの通販コマーシャルって同じ一つの商品を30分延々と流し続けていることがありますよね。
暇なときは結構見入ってしまいませんか?
30分見ていると誰でもが使用していて知らなかった自分が恥ずかしく思えてきて今買わないと一生後悔するとまで思ってしまうこと・・・ありませんか?
一種の洗脳ですかね?
こうして通販地獄にはまっていく・・・・
私もその一人。・゜゜・(>_<;)・゜゜・。
REYESの携帯ストラップ
最近ネットで買った商品です。
通販コマーシャルで買ったわけではありません。
携帯ストラップで30分の通販コマーシャルがあったら逆にびっくりするよね。
(ノ゜⊿゜)ノびっくり!!

投稿者 yoshimoto : 07:15 AM | コメント (0)
February 15, 2009
バレンタインデー
今年はバレンタインデーが土曜日だったので世間では義理チョコを渡さず済んで、また貰わずに済んで男女共にほっとしてるとか???
腹が立つのが逆チョコヽ(`Д´)ノ
本末転倒もいいとこですよね!
自分チョコはこの時期にしか味わえないチョコを楽しむという意味では正しい。
d((o゜c_,゜o))オッケェ牧場w
スタッフから今年も頂きました。
朝診療前に皆でチョコを渡しに院長室へ、
そこで頂いたのがこのヒキガエルチョコ。
どこで見つけてきたのか
(; ´_ゝ`) フッ
でも今度は診療後に第二段チョコを持って院長室へ・・・
イベント好きのスタッフにはいつも驚かされます。
ありがとヾ(*´∀`*)ノ゛

投稿者 yoshimoto : 08:13 AM | コメント (0)
February 10, 2009
捨ててもらえますか?
“不要になった入れ歯を持ってきてこちらで処分してもらうこと出来ますか?最近ゴミだしが厳しくなって入れ歯をどの日に出していいか分からなくて”
今まででは考えられないこのような事を最近お年寄りから何度か言われました。
もちろんこちらで処分しますのでいつでもいいですから持って来てくださいと返事するとほっとした表情を・・・。
他の自治体はわかりませんが神戸市は去年からゴミだしがかなり厳しくなりました。
私の家の玄関にももう10日前から大型ゴミ(机と椅子)が置いてあります。
この大型ゴミを出すには行政に電話して回収費用を教えてもらいそのお金をコンビニかスーパーで支払い支払い済みのステッカーを貰い大型ゴミに貼って行政が指定した日に指定の場所に持っていく・・・・
まーややこしいルールです。
10日前に電話して指定された日が2週間後でした。
なのでこんな物がずっと玄関前を占拠。
┐( -"-)┌ヤレヤレ...
ゴミはお年寄りにとっては深刻な悩み。
入れ歯の回収ボックスでも作って置いておこうかな??

机は300円シールを3枚、椅子は1枚

投稿者 yoshimoto : 07:17 AM | コメント (0)
February 05, 2009
アロマオイルの効果は??
待合室にアロマファンを置きアロマの香りによるアロマテラピーを始めてもう12年くらいになります。
毎朝、毎朝その日の気分でアロマオイルを選択して私がセットします。
そうこれをもう12年も続けてるんだぁー。
効果がどれだけのものかはまったく分かりません。
少しでも治療前に気分的に和んでもらえればと思って・・・・。
和んでもらえてるのかな???
今日の香りはレモンティートゥリーです。
待合室の椅子の陰にアロマファンを置いています。
気づいていない人の方が多いかなぁ?

投稿者 yoshimoto : 07:20 AM | コメント (0)
February 04, 2009
当たり前・・・
チェーサイドには色々なボタンがついています。
頻繁に使うのが写真左サイドのABCボタンです。
治療台のポジションが設定されているボタンです。
月曜日からうまく作動せず手動で治療台を動かさないといけない状態でした。
昨夜修理に来てもらい直ったとの事でしたが今朝動かしてみるとBボタンだけがうまく作動しません。
当たり前と思っていることが当たり前にできないととても不便ですよね。
でもこの“当たり前”と“思い込み”が合体するとやっかいになります。
例えば、
医者は病気を治して当たり前・・・
これは当たり前ではなく思い込みです。
残念ながら日々の診療で痛感することですがどうしてもうまくいかないことは多々あります。
でも医者は病気を直して当たり前・・・になりたいですね。
いつも以上に今日は支離滅裂なブログになってしまいましたね。
ゴメンナサイ。

投稿者 yoshimoto : 07:25 AM | コメント (0)
January 30, 2009
新しい抜歯器具
ある先生と雑談していたときこのラクシエーターという抜歯器具を強く勧められました。
最近出た器具ですがとてもいいとの事。
早速購入し使い始めました。
抜歯といっても色々なケースがあります。
本当に簡単にペンチのような器具でつまんで引っ張るだけで抜けるケースもあれば歯の周りの骨を削って歯の根っこを出して抜く場合も・・・・色々です。
この器具は出来るだけ歯の周りの骨を削らずに済むとのことですがまだ使い始めたばかりなので良し悪しはわかりません。
ただ色々な器具を試すことでいい結果が出れば患者様の為にもなるのでこれからもドンドン試してみたいと思います。

投稿者 yoshimoto : 07:21 AM | コメント (0)
January 29, 2009
1000回記念
3年前の2月25日にこのブログを始めこつこつと出来るだけ更新してきました。
読み返すとくだらない話ばかりで“歯科”とはかなりかけ離れた話でいっぱい。
どれだけの方に読んで頂いているのかなぁー?
何か情報提供ができているのかなぁー?
っていつも思いながら更新してきました。
そしてついに今日、1000回目のブログを迎えることが出来ました。
いつまで続くか分かりませんがこれからもお付き合いの程宜しくお願い致します。
ブログの管理画面です。
エントリー1000と書かれているのが分かると思います。
お暇な方はもう一度一から読み返してくださいねぇ!
そんな暇な人はいないか(._.?) ン?
投稿者 yoshimoto : 07:16 AM | コメント (0)
January 25, 2009
医歯薬三師会
昨日の7時から医歯薬三師会が行われ出席してきました。
医科、歯科、薬科の横の連絡を密に持つことでよりよい医療を提供しようとする会です。
貴重な意見の交換が行われその後懇親会へ・・・。
その食事の席で禁煙に関していろいろと体験談を交えて話しているうちにその中の一人の先生が、
“禁煙をして体重が90㎏になったけど今は70kgで体脂肪が10%なんですよ”
という言葉にその席にいた皆が食いつきました。
聞くところによるとやはりジムに通いトレーニングを続けたまたま申し込んだ第一回東京マラソンに当選し出場。
それからモチベーションが変わったらしく今年も2月の東京マラソンにエントリーしさらに3月に行われる宮古島トライアスロンに出場する予定だそうです。
トライアスロンで使用する自転車の話になると目を輝かせて子供のように楽しく話をしている姿を見ているとこちらまでワクワクしてきました。
私より4つ程年上の先生なのに頭が下がります。
私のトレーニングなんて屁みたいなものです。
もっともっとガンバルゾー!!
投稿者 yoshimoto : 07:47 AM | コメント (0)
January 22, 2009
卓上殺菌灯
須磨区歯科医師会の先生で歯科の器材の開発に取り組んでおられる方がいらっしゃいます。
以前のこのブログでも紹介しましたオイルで器材を滅菌消毒する器械。
これもこの先生が開発された製品です。
善本歯科医院でもとてもこの器械には重宝しております。
簡易に滅菌消毒ができ安心して患者様に器材の使用ができます。
今回新たに新商品を開発され昨日届けてくれました。
そう今回の製品は頂いちゃいました。ヾ(●⌒∇⌒●)ノ
滅菌消毒を行った器材は殺菌灯の保管庫に入れておくのですがどうしても診療周りの小さなよく使用する器材は滅菌消毒を行ってそのままのケースが多くなります。
そういった器材も殺菌灯の下で保管できたらなぁーという発想から産まれた商品です。
とてもコンパクで邪魔にならずとても便利なすばらしい商品です。
善本歯科医院に新たな武器が備わって満足、満足。
(..)(^^)(^。^)(*^o^)(^O^)ウレシーーー!!

投稿者 yoshimoto : 07:30 AM | コメント (0)
January 17, 2009
黙祷
14年になりますね。
私にとってはもう14年という感じです。
月日が経つのが早かったなぁ。
あの日はとてもとても寒い朝でしたが今朝は昨日までの寒波が去ったあとだけに暖かく感じますね。
目を閉じて浮かぶのは恐ろしい光景ばかりです。
今日の写真は善本歯科医院の裏口のドアです。
地震でひしゃげてしまい鍵を開けても入ることが出来ませんでした。
エレベーターが動かないので表からも入れない。
そこで裏口のドアのガラスを割って中に入りました。
それはそれは恐ろしい状況。
大きなレントゲン装置は倒れ、診療台は根こそぎもぎ取られ薬品が薬液が散乱、壁や天井は剥ぎ取られた状況。言葉では充分表現ができないほどの有様でした。
それを見た私には絶望感しかありませんでした。
たまたま同じ時間に医院に歩いて来た父も中に入ると言ったのですが受けるであろうショックの大きさを考え、
“今は中を見ないほうがいい”
と言ってバイクに二人乗りをして帰りました。
父とバイクの二人乗りをしたのはあの日が最初で最後でしたね。

投稿者 yoshimoto : 06:51 AM | コメント (0)
January 14, 2009
支えられ・・
多くの優しい人達に支えられて善本歯科医院はあるんだなぁって思います。
現在の受付が家庭の事情で急遽3~4日休むとの報告。
受付が居ないとかなり大変なこととなってしまいます。
でも前の受付がその事を聞きつけ今の仕事を休んで大阪から手伝いに行きますよとのメール。
また月初めに一週間だけ手伝いに来てもらっている衛生士からも手伝いに行きますよとのメール。
とてもとても嬉しかったです。
私の人格というより今の受付がみんなに愛されているからこそだと思います。
恐縮ですがみんなの好意に甘えることにしました。
もちろんこの二人は大先生の引退式の日に参加してくれています。
右でピースサインをしている二人がそうです。
感謝、感謝です。

投稿者 yoshimoto : 07:15 AM | コメント (0)
January 08, 2009
思いもよらない一言
いつものことながら風邪を引くと回復まで一ヶ月ぐらいかかってしまいます。
最後にいつも残る症状は咳です。
これがやっかいで突如咳き込み数分続きます。
夜は必ず寝ると咳き込み熟睡できません。
今はまさにその最中です。
昨日初めて来院された患者様に病状、治療方針を説明していると突如咳が。
しゃべると余計に咳が出てとまりませんでした。
それでもなんとか我慢しながら説明を続けていると
患者様が一言、
“私の口臭で咳き込んでいらっしゃるのですか?”と・・・
すぐに風邪で咳き込んでいると説明するも嫌な思いをさせてしまったなぁ~ってつくづく思いました。
咳一つでも気をつけてしないと、また咳が出ることをあらかじめ伝えておいて診療にかからないといけないと反省です。
患者様が帰るとき、
“こんなに丁寧に説明していただけたのは初めてです。宜しくお願いします。”
と言われホッとしました。
今回のこの一言はとても勉強になりました。

投稿者 yoshimoto : 07:46 AM | コメント (0)
January 07, 2009
変わらずに・・
年も明けて一週間になりますね。
年末から引いた風邪も咳が残る程度で体調も大分回復してきました。
お正月気分っていう言葉あまり聞かなくなってきましたね。
お正月らしさがなくなってきたからかな?
昨年末で大先生は引退されました。
50年もの間歯科医療を続けてきたということはとてもすばらしいことだと思います。
さて私は・・・
技術はどんどん変わって進歩しつづけそれを学ぶ姿勢は変わらずに、そして患者様に対する気持ちも変わらずに続けていくこと・・・とても難しい事ですが来年も再来年もこの気持ちをずっと持ち続けようと思っています。

投稿者 yoshimoto : 07:10 AM | コメント (0)
January 06, 2009
入れ歯の破損
皆様は昨日の仕事始めいかがでしたか?
私は年始からの風邪でとてもつらい一日でした。
毎年のことですが年始に来られる患者様で多いのが入れ歯の破損です。
入れ歯が割れた場合はすぐに持ってきていただければ大抵は直りますが年末年始どこの医院も休診の折、皆様がされることは接着剤でつけてなんとか使用されています。
現在の接着剤はとても強力で一度つけただけで問題なく一週間ぐらいはそのまま使用できることが稀にありますが現実には何度も割れてその度に接着剤の上塗り上塗りで接着剤だらけになった入れ歯を持ってこられる方も・・・
昨日は5人の方が入れ歯が割れて来られました。
うち一人だけ接着剤で問題なく入れ歯を使用できていました。
お正月に入れ歯が壊れると折角のおせちもおいしく食べれないので大変ですよね。

投稿者 yoshimoto : 07:28 AM | コメント (0)
January 05, 2009
仕事始め
本日より平常通り診療を開始いたします。
今年は2日の夜から風邪で寝込んでしまい3日、4日とダウン。
最悪のコンディションで仕事始めはつらいなぁ。
でも気合だけで今日をやり遂げないと・・・

投稿者 yoshimoto : 07:10 AM | コメント (0)
December 31, 2008
今年を振り返って
今日は12月31日、今年も今日で終わりです。
いろいろと一年ありました。
振り返るとつらかった事、苦しかったことばかり浮かんできます。
でもそれが普通ですよね。
この世界は悲しみ、苦しみ、そして喜びを感じるためにある。
だからこの世界を楽しまないとね。
そう、悲しみ、苦しみ、喜び、ぜんーんぶ楽しまなきゃ損しますよ。
来年は世界を楽しむ事を目標にしたいと思います。
今年最後に皆さんに質問です。
明日が地球最後の日だったらあなたは今日何をしますか?
それでは良いお年を。

投稿者 yoshimoto : 04:11 PM | コメント (0)
December 29, 2008
休診のお知らせ
12月28日~1月4日まで休診致します。
尚、12月28日~1月4日までの年末年始の歯科診療を兵庫県歯科医師会・口腔保健センターにて行なっております。救急を要する場合は、351-1722 にお電話の上、受診して下さい。
交 通
●JR元町駅下車、北へ徒歩15分
●神戸市バス諏訪山公園下下車、すぐ前
●神戸市営地下鉄県庁前下車、北へ徒歩8分
●神戸高速鉄道花隈駅または阪神元町駅下車、北へ徒歩15分
投稿者 yoshimoto : 06:40 AM | コメント (0) | トラックバック
今日も医院に・・
休みに入ったとはいえいろいろと事務的なことをしに昨日も今日も医院には顔を出しています。
昨日の朝院長室にはスタッフから大先生宛に置手紙がしてありました。
読んでは悪いかなと思いながらも目に入ったので見てみると優しい言葉がいっぱい・・・
そういえば私はこんな優しい言葉を父かけたことがなかったなぁー。
大先生はもうここにはこないのにこの手紙どうしようか?
と思いながらもそのままにして昨日は帰りました。
でも今朝医院に来て見るとその手紙がありません。
父も来たのか、置手紙喜んだろうなぁ。
大先生引退のお知らせのポスターを外し忘れていたので今外しました。
84歳。
立派な歯科医師生活でした。
私は幾つまでするのだろうか?
そしてその時こんなすばらしいスタッフに見送られ医院を出れるだろうか?

投稿者 yoshimoto : 06:26 AM | コメント (0)
December 27, 2008
忘年会&大先生引退式
昨夜は善本歯科医院の忘年会。
そして大先生の引退式を行いました。
スタッフからは表彰状、花束そして思い出いっぱいの手作りのアルバムを授与されました。



スタッフの粋な計らいで患者様からも寄せ書きを書いていただき一人一人丁寧に読んで感慨深げでした。

今年もスッタフみんなご苦労様でした。来年もがんばりましょう。

そして歯科医師生活60年。
板宿の地で50年間ご苦労さでした。

投稿者 yoshimoto : 06:15 AM | コメント (0)
December 25, 2008
プレゼントはダイソン???
つい一週間前に医院の掃除機2台が潰れてしまいました。
スタッフからは“ダイソン買って八(^□^*) ”コール。
“お前らにあんな高い掃除機なんて買ってやれるか!( ̄○ ̄)”
って言ったもののかわいいスタッフの望みとあればやっぱり仕方がないかなと思いダイソンを購入。
“これが今年のクリスマアスプレゼントやで”
って言うとスタッフ全員からブーイングヽ( )`ε´( )ノ
優しい院長はそんなことは致しません。ちゃんと一人一人に今年もクリスマスプレゼントを・・・・。
いつもながら大はしゃぎのスタッフを見ると嬉しくなってしまいます。
そこでメインのダイソンを中央に記念撮影。
来年もこのチームで仕事がしたいものです。

投稿者 yoshimoto : 07:06 AM | コメント (0)
December 24, 2008
黒髭サンタ
今年もやってきましたクリスマス。
今日のクリスマスイブはみなさんどんなイブを過ごされますか?
善本歯科医院でもスタッフにプレゼントを渡しに黒髭のサンタがやってきます。
しっかし毎年プレゼントを何にしようか悩みます。
気に入ってくれたら嬉しいんだけどね。

投稿者 yoshimoto : 07:12 AM | コメント (0)
December 21, 2008
みる
先週の日曜日の朝は南西の方向に満月が今朝は東南の方向に三日月。
体感では風は感じないのに上空の雲はとても早く流されている。
東の空は朝日が幻想的な色をかもし出している。
同じ時間に同じ所で同じ空を見ているのに絶対に同じ風景を見ることはないですよね。
当たり前の様でそんなこと考えたことがなかったし見える風景は絶対に同じだと思っていたかも・・・
その日の心の状態でも見え方が変わってくるのに、そんな当たり前のことに気づいていなかったとは・・・
人をみる時も一方向からみていると必ず落とし穴が。
人は同じではない。
この当たり前の事を忘れ診療をパターン化してしまうと良い結果は生まれない。
見る、観る、看る、視る、診る・・・・
みる。
ちゃんとみないとねぇ!

投稿者 yoshimoto : 07:37 AM | コメント (0)
December 18, 2008
続きは来年で・・
治療の終わりに、
“続きは来年で、よいお年を”
って言う機会が増えてきました。
あー今年も本当にわずかなんだなぁって実感するときです。
相反して続きは来年回しにできない患者様も多いのが医療現場の現実。
なんとかあと10日で・・・と思っても病気が相手の仕事。
なかなかうまく直ってくれない。
最近スタッフも残業して年末の大掃除の準備に取り掛かっています。
そういうときはちょっとした差し入れを・・・
ミスドばかりですが、とても喜んでくれます。
今日の一枚は最近iPhoneで手に入れた写真を1960年代風に仕上げてくれるアプリで撮った写真です。
これだけ色あせてくれれば顔のシミも隠せていい感じ(?)ですかなねぇ???

投稿者 yoshimoto : 07:31 AM | コメント (0)
December 17, 2008
正常値・・でも
3ヶ月前に血液検査を行ったところコレステロール、中性脂肪そしてLDL値が高くてがっかりでした。
そこでサプリメントの助けを受けながらがんばった結果なんとか数値は全て正常範囲になりました。
でも・・・・
正常値の上限ぎりぎりの値。
これではまだまだ安心できません。
善本歯科医院の患者様には予防はずっと続けていくことが大事で、直ったから大丈夫と思ってしまうとダメですよ・・・・なぁーんて言ってるのにいざ自分の事となると正常値=直った=予防は終わり・・と思ってしまいます。
予防=継続
ですよね!!

投稿者 yoshimoto : 07:20 AM | コメント (0)
December 16, 2008
裏テク??
誰もが裏テクと名のつくものには興味がありますよね。
私たちの歯科界でもそう。
裏テクをマスターしてより良い治療技術を提供したいと思うのは常です。
ちょっとしたアドバイスや器具を使用することで治療精度があがることって多々あります。
やはり高いお金を払って行く講習会ではこういった裏テクの伝授がありそれがまた楽しみでもあります。
こんな本が出ていたので買ってみました。
しかしここに出ている裏テクはほとんどが無料。
払うのは本代とリスクかなぁ?
しっかしここに書いてあること全てができたらiPhoneは凄いモバイル機器に変身してしまうな
(⌒▽⌒;) オッドロキー

投稿者 yoshimoto : 07:17 AM | コメント (0)
December 12, 2008
やっぱりこれが・・・
やっぱりこれでないとねぇ。
ずーと使ってきたこの色がなんとなく気持ち的にもすっきり馴染みます。
フレームが黒でも見え方には違いが無いのにねぇ。
あとはレンズの位置の微妙な調整が必要。
やっぱりこれがないと駄目ですね。

投稿者 yoshimoto : 07:20 AM | コメント (0)
December 11, 2008
届いた・・が?
壊れてしまった治療用拡大鏡・サージテル。
でもメーカーからすぐに届きました。
一昨日の4時ごろに壊れた事を電話で伝えて、昨日の朝9時30分には別のサージテルが届いたんです。
しかし今の流通機構は凄いですね。
本当に助かります。
したがって治療もストレス無くいつもの通りの診療ができました。
・・・・が、届いたサージテルはオークリーフレームが黒。私の使用してたのは青。
どっちでもいいって言えばそうなんですが一応色が間違っていますとメーカーに電話を入れるとすぐに送ってくれるとの事。
本当に申し訳ないです。
こんなことがあるなら予備のサージテルがあればいいんですがとても高価なもので残念ながら予備を購入する余裕はありません。

投稿者 yoshimoto : 07:15 AM | コメント (0)
December 10, 2008
あー壊れてしまったぁ~
昨日のお昼の診療中、いつものように治療用拡大鏡・サージテルを使用しているとなんとなく見え方にが違うなぁーって思って調べてみるとボキッと折れてしまいました。
オークリーのめがねフレームと拡大鏡部分との繋ぎ目が壊れてしまいました。
一年前まではサージテルを使用せずに診療をしてなんのストレスも感じていませんでしたが使用することが当たり前となってしまった現在これがないとストレス、ストレスです。
壊れてから診療が終わるたった2時間で心身ともにグタァーでした。
販売元に電話すると大急ぎで新品を今日着くように送ってくれるとの事。
しかも全額保証をしてくれるとの事、一安心です。
あー早く着かないかなぁ。

投稿者 yoshimoto : 07:26 AM | コメント (0)
December 04, 2008
酸化電位水(2)
11月21日のブログでお話致しました魔法の水・酸化電位水生成器が戻ってきました。
もうこの器械はとても古く生産中止。
でも後継の機種はアナログをデジタルに変更しただけでサイズ等に変更がなかったため修理部品が手に入り新品を購入することなくすみました。
この写真のどの部分の部品が必要だったかというと真ん中の隔壁の周りのゴムが劣化していたのでこのゴムの部分だけが欲しかったのです。
ゴム代4000円。
新しく器械を購入すると15万円。
あー助かった。

投稿者 yoshimoto : 07:19 AM | コメント (0)
December 02, 2008
クリスマスデコレーション
昨日の午後は大掃除のため休診致しました。
イベント好きのスタッフはやはり掃除の後でクリスマスデコレーションをしてくれていました。
いつものように玄関ドアー、そして受付カウンターにもサンタさんが・・・・
今年も残りわずかとなり年末年始おいしく物が食べれるようにと12月のの診療は他の月とは違った意味で気を使うことが多いです。
いい年が迎えられるよう残り一ヶ月がんばっていこうー!!

投稿者 yoshimoto : 07:07 AM | コメント (0)
December 01, 2008
メリークリスマス蛙
さーて今年もあと一ヶ月。
街はすっかりクリスマスモードですね。
私が住む町もイルミネーションを始めている家々が・・・
善本歯科医院もエレベーターホールのメリークリスマス蛙がお出迎えをしております。
今日の午後は一月に一回の大掃除の日で休診致しますがおそらくイベント好きのスッタッフは大掃除の後でクリスマスデコレーションをするのでは??

投稿者 yoshimoto : 07:14 AM | コメント (0)
November 29, 2008
ファミリー忘年会
今日は須磨区歯科医師会の3年に一度のファミリー忘年会。
須磨区歯科医師会会員の家族も参加しての忘年会があります。
残念ながら私は今日診療後勉強会があり参加できせんが娘が小さかった頃はこういう催しに参加するのがとても楽しかったです。
私も小さかった頃父親の所属するライオンズのクリスマス会に参加するのがとても待ち遠しかったぁー。
そのライオンズの忘年会に必ず来るのが横山ホットブラザーズ。
舞台の一番前で毎年見ていたなぁ。
でも中学生ぐらいになるとそういう場所に行きたくなくなってしまった。
まっ、それが普通かな。
今年もルミナリエの季節ですね。
今年は12月4日から15日まで開催されます。
もう13年になるのに一度も参加したことがありません。
ルミナリエの主旨は阪神大震災の鎮魂。
見に行くととても想像もつかないあの日の悲しみが襲ってきそうで・・・・
まだ見に行く決心がつきません。
今年も写真やテレビ映像だけにします。

投稿者 yoshimoto : 07:03 AM | コメント (0)
November 27, 2008
インドと言えば・・・(2)
夢をかなえる象・ガネーシャのドラマを見ているかたならわかると思いますが単にお願いすれば夢をかなえてくれる神様ではありません。
夢をかなえてくれるための手助けをしてくれるだけで全ては本人の努力。
でもそこがすばらしくて好きになった理由。
努力なくして夢なんてかなえられるわけがない。
そんなに世の中甘くないですよね。
ガネーシャ様のカレンダーを買い院長室に飾りました。
よーくこの写真を見てください。
・・・・・・
何か違いに気づきますか???
そう、日月火・・の並びが縦なんです。
インドってこれが普通なのかなぁ?

投稿者 yoshimoto : 07:14 AM | コメント (0)
November 26, 2008
インドと言えば・・・
よくカエルグッズを買いにインドショップへ行くと昨日お話いたしましたが、
インドと言えば・・・
そう夢をかなえる象・ガネーシャですよねぇ。
そこでショップ内をガネーシャはないかと探索。
ありました、ありました。
それもいっぱい。
やっぱりテレビのおかげで一躍日本でも有名になっていたようです。
私も一体のガネーシャ様を購入。
私の夢は・・・・ナイショですね。

投稿者 yoshimoto : 07:12 AM | コメント (0)
November 25, 2008
カエルカレンダー
何かいいカエルグッズはないかとインドショップへ。
そうなぜかインドショップにはカエルグッズがいっぱいなんです。
卓上の永久カエルカレンダー(写真左)を購入。
善本歯科医院には十何年と使い続けてきた卓上の永久カレンダー(写真右)がありこれをカエルに交換しました。
受付横に置いてありますので見て帰ってください。

投稿者 yoshimoto : 07:13 AM | コメント (0)
November 21, 2008
酸化電位水
もう15年前になると思いますが医療界では大変話題になった水があります。
それが酸化電位水(pH2.7以下の水)です。
須磨区歯科医師会でもこの水の生成器の勉強会を行い善本歯科医院でもこれを購入致しました。
この水の特徴は以下に記載した通りなのですが読んでいただければわかると思いますがとてもすばらしい魔法の水です。
当時はテレビにニュースでも取り上げられました。
もちろんこの水のパワーを最大限に発揮させるために守らなければならないことがいろいろあるのですがとにかく人体に無害で菌だけを死滅させるというすぐれものです。
でも15年目にしてはじめての故障。
購入した会社はもう無く新しく購入するしかないかと思案していましたがやっと修理をしてくれる会社が見つかり今修理に出しています。
一時でもなくなると空気みたいなものでとても不便を感じます。
酸化電位水の特徴
・病原菌や微生物だけを殺菌し人体や環境に害のない優しい水です。
≪安全性≫劇薬や薬品と違い耐性や残留性がなく、人体には無害。
≪安心性≫皮膚、唾液、血液などの有機物にふれると普通の水に戻る。
・多くの病原菌や微生物を瞬間的に殺菌する。
≪感染病をひきおこす病原菌≫
エイズ、B・C型肝炎、ヘルペス、緑膿菌、MRSA、結核菌、インフルエンザ、水虫など
・各種の菌を爆裂させる破壊力。
酸化電位水で処理された菌は内部から破壊され、まるで爆破されたかのごとく原形さえもとどめないように死滅させられます。

投稿者 yoshimoto : 07:16 AM | コメント (0)
November 20, 2008
退院おめでとうございます
重症と思われる患者様の受け入れ病院探しに苦労したと10月26日のブログで書きましたが、昨日その患者様が寒い中善本歯科医院まで退院のご挨拶に来てくれました。
緊急入院となりその後3週間入院。
残念なことに根本原因がわからなかったとのことですがでも元気そうで本当によかった。
“先生にがんばってもらって助かった”
って満面の笑みで言われると嬉しいやら心苦しいやら・・・
だって受け入れ病院を探して紹介状を書いただけですから。
でも公立病院のほとんどが土日休診の現在。土曜日に重症患者様の受け入れ病院を探すのがこんなにも難しいとは思わなかったです。
お礼に頂いた福砂屋のカステラ。
これおいしんですよねぇー。
スッタッフ皆で頂きました。ありがとうございました。

投稿者 yoshimoto : 07:22 AM | コメント (0)
November 19, 2008
中村、高橋そして・・・
20日の夜中にワールドカップアジア最終予選カタール戦がありますね。
ちょっと見れる時間帯ではないので今回は諦めます。
右ひざを痛めていた中村俊輔選手は強行出場するそうです。
話は変わりますがフィギュア界のプリンス、高橋大輔選手はひざの手術をして今期の出場を断念したそうです。
ほんと、プロスポーツの選手の方々は体を壊せば選手生命を絶たれるという大変なこと。
またまた話は変わって歯科界のはなかみ王子こと善本光広もひざを痛めて今期絶望???
昨日は診療後歯科医師会の理事会。
膝用の杖も会議中は指圧用マッサージ器に変身。
杖は肩こりにも効きますね(._.?) ン?
今朝の真冬並みの寒さは関節にこたえるなぁー
投稿者 yoshimoto : 07:10 AM | コメント (0)
November 17, 2008
一週間分の洗濯物
1年半前から白衣は必ず毎日取り替えると決めました。
当たり前のようですが一般的に医療現場で白衣を毎日取り替えるということはありません。
でもこの当たり前のようなことはやはり気持ちいいです。
毎日洗い立ての白衣とTシャツ、そしてズボン。
柔軟剤のいい香りがしてすがすがしい気持ちで朝の診療がスタートできます。
でもめんどくさいのが土曜日全ての物を持ち帰り洗濯、乾燥して月曜日に持ってこなければいけないこと。
いいことをしようとするとやはり何かを犠牲にしないといけないのは当たり前のこと・・・か!

投稿者 yoshimoto : 07:18 AM | コメント (0)
November 16, 2008
副作用・・説明と理解
この一週間は膝の痛みに悩まされっぱなしでした。
お年寄りにの方が膝をかばいながら歩かれているのを見ていると胸が痛みます。
私はいずれは直るであろう痛みですがお年寄りの方は長年の無理が関節を変形させている事が多く自然に元と同じように歩けるようになるのは難しいでしょうね。
患者様で一人膝の手術を受けとても歩くのが楽になったという方がおられました。
もう片方の膝も手術を受けようと思うって言っておられましたが、
“やっぱり手術は怖い”って・・・・
お年寄りの方の足の骨折はそのまま寝たきりになってしまう危険性があり最近では予防のために骨粗鬆症の薬を飲まれている方が増えました。
以前にも述べましたがこの薬の副作用で歯科医師は困っています。
骨粗鬆症の薬を長期に飲まれている方の抜歯を行うと抜いた部分の顎の骨に異状が出ることがあります。(副作用の発現率は1%程度)
したがって基本的には3ヶ月骨粗鬆症の薬の服用をやめていただき抜歯を行うのが望ましいとされています。
でも実際の現場では抜歯を行わないと痛みが消失しないケースで3ヶ月も放置することができず服用を中止せずにすぐに抜歯を行わざるをえない場合が多々あります。
医学の進歩はすさまじいものがありますがそれに伴う予期せぬ事態にどう対応していくかが今後問題になってくると思います。
いまだによく患者様から出る言葉に
“前の歯医者で健康な歯を抜かれた”
健康な歯を抜くことは矯正治療の必要上以外では絶対にない事。
でもこの言葉が出るということは十分な説明と理解ができていない証し。
・・・・むずかしいなぁ。
今日は一日雨。
でも楽しい日曜日。
なにしてあそぼかなぁ???

投稿者 yoshimoto : 07:30 AM | コメント (0)
November 15, 2008
マルタ島
もう引退間近となった私の父である大先生。
趣味は海外旅行。
5年ぐらい前から海外旅行はこれが最後、これが最後と言い続けていますが今年も2回ほど行っています。
一昨日マルタ島から帰ってきました。
聞いた事はありますがどこのどの国なのか私は知りませんでした。
でも調べてみるとびっくりするくらい良い所ですね。
まっ地中海に面した国はすべて魅力がありますよね。
マルタ島(ウィキペディアより)
マルタ島は、地中海の中央、マルタ共和国内の島であり、同国内で最も大きな島である。イタリア、シチリア島の南93kmほどのところにある。最高標高点は253m。世界で初めて海水から生活用水を生み出した島でもある。
最も大きな都市は、首都でもあるバレッタ。島の東部にあり、市街は世界遺産となっている。海岸沿いのいりくんだ入り江は美しい港の景観を創りだし、密集した人家の風景は高台のある丘が特徴的である。
地中海性の温暖な気候で、冬は温暖で雨が多く、夏は暑く乾いている。マルタ島にはこの二つの季節しかなく、そのコントラストは旅行者にとって魅力的なものとなっている。
また猫が非常に多く生息しておりその数は70万匹以上と人口の倍近くの数を占める。他の多くの猫を掻い潜ってエサを獲得する為にそれぞれが前足を使ってエサを口に運ぶのがこの島の猫達の大きな特徴にもなっている。

投稿者 yoshimoto : 07:09 AM | コメント (0)
November 12, 2008
善本歯科医院往診中
私達は歯科医院だけでの治療だけでなく病院に入院中の患者様やお家で療養中の為医院に行って治療を受けれない患者様の為に往診に伺うことがあります。
ただ歯科の治療の特性上大きな機械を持ち込まなければならずどうしても車で往診に伺う事がほとんどです。
そのため毎年警察署に駐車禁止除外車の申請を行い駐車禁止除外車両証を頂きます。
それを車のフロントガラスのところに置いておけば車をどこに停めても駐車禁止のキップを切られる事はありません。
・・・が今年私はその申請を忘れていたため往診の際の車の駐車に苦労しています。
仕方なく写真のような物を作り路上駐車の時は車のフロントガラスに貼り付けて往診に伺っています。
携帯の電話番号を書いているので変な電話がかからないかとちょっとビクビクしながらの往診。
来年は忘れずに申請をしなければ・・・

投稿者 yoshimoto : 07:24 AM | コメント (0)
October 31, 2008
予防
昨日我家の愛犬パンプの予防注射(9種混合ワクチン)に行ってきました。
ワクチン注射をされていない犬が多いと聞きます。
でも絶対に予防が大事です。
以前飼っていたジャッキーという犬は6種混合ワクチンを打っていましたがそれにはずれていたウイルスに感染して亡くなってしまいました。
9種を打っていれば・・・
9種を打つように進めてくれていれば・・・・
後悔ばかりでした。
私たちの仕事もそうです。
予防を進めるのですが喜んで受けてくれる患者様もいれば自分には関係ないという顔をされる患者様もおられます。
予防の効果は目に見えないです。
でも普通でいられることが予防の効果なのです。
歯や体だけでなく人生全てにおいて予防をしておかないと
・・・・ねぇ!!
動物病院の名物犬、カイ君です。68kgあるそうです。
でももう歩くのも大変そうで・・・・
昨日は久しぶりに受付に座っていました。
投稿者 yoshimoto : 07:21 AM | コメント (0)
October 18, 2008
黒ハヤシライス
最近ハヤシライスって食べたことないですね。
子供の頃、時々作ってもらえるハヤシライスが楽しみでしかたがなかったのを覚えています。
そっか、子供の頃以来食べてないんだぁ。
先週の日曜日に東京で行われた講習会に善本歯科医院の美人(?)衛生士2名が参加してきました。
その東京土産に黒ハヤシライスとやらを買ってきてくれました。
ネットで見てみると結構有名なんですね。
それを昨日食べました。
まー食欲を誘わない色。
えーこれがおいしいのーって感じです。
でも一口食べてみてびっくり。
うまいヾ(@⌒¬⌒@)ノ ウマヒィ
人気が出るはずだわぁ。
でも結構味が濃いいので食べ過ぎるとちょっと胃にもたれるかも・・・

投稿者 yoshimoto : 07:08 AM | コメント (0)
October 08, 2008
望んでいることは???
iPhoneでのメールには絵文字の機能がありません。
携帯から送ってきてもらうメールには皆さん絵文字をつけて送ってきてくれます。
でも私のiPhoneでは〓〓としか表示されずせっかく送ってきてくれた人に悪いなぁって思います。
でももうすぐiPhoneでも絵文字の表示が可能になるそうです。
予想以上に日本でのiPhoneの普及が悪く絵文字が使えるようになれば普及率も上がるのではという考えから開発が進んでいるとか・・・・
たしかにすでにiPhoneを持っている人にとってはとてもありがたいですが絵文字が使えるようになったからって普及率が上がるとは考えられない。
根本的にパソコンとの同期という概念が難しいから普及しないと思う。
やはりiPhoneは携帯電話ではないと思います。
そう携帯電話ではなくパソコンだと思わなければ・・・・
すなわちiPhone設定出張サービスとかiPhone同期サービスとかメール設定サービスとかをしないと。
でも現状では販売員のiPhoneに対する理解度が低すぎて無理。
そこをなんとかしないと・・・・
ではないですか?
患者様の治療方針で一番難しいのが、本人が何を望んでいるのかを理解すること。
出来るだけ歯を抜かずに治療をして喜んでくれる患者様もいれば、そんな時間のかかるめんどくさいことはするなと激怒される患者様も・・・
その方々に合った治療方針を見つけることは本当に難しくいつも悩んでいます。
こちらの考えばかり押し付けていないだろうか?
理解されているだろうか?
望んでいることは・・・なに?
iPhoneで絵文字が使えるようになればiPhoneを購入されますか???
投稿者 yoshimoto : 07:10 AM | コメント (0)
October 04, 2008
通信の進歩
もう皆さんは忘れてしまったかも知れませんがこんなコマーシャル覚えていますか?
♪♪ISDNはじめちゃ~ん♪♪
天才バカボンのはじめちゃんがISDNのコマーシャルをしていましたよね。
ISDNにすると一回線で二つの電話番号が取得できてさらにインターネットが早くなるという当時は画期的な通信の進歩でした。
でも今では過去のものですが善本歯科医院は今も使用しています。
電話とFAXをISDNで使用しているため解約できないんです。
さらにビルの3階のため光回線を引くことが出来ずインターネットはADSL専用回線。
大変不便です。
光に変えることが出来ればISDNとADSLを解約でき一つにまとめることができるのになぁー。
携帯のiPhoneはWi-Fi環境でとても面白いことが色々と出来るので無線ルーターを2週間前に購入しました。
またこれがうまく機能せずサポートセンタート毎日のようにメールのやりとり。
結局不良品ではとのことで返却依頼のメールが昨日届きました。
2週間あれせえ、これせえ、ってやってきたのに・・・
疲れた。
今日の話はちょっとマニアック過ぎてチンプンカンプンの人ばかりかもね?
手前がISDNモデム、右奥がADSLモデムそして左奥が無線ルーター。
机の下が配線でゴチャゴチャです。

投稿者 yoshimoto : 06:44 AM | コメント (0)
September 27, 2008
長老会
須磨区歯科医師会の長老会に行ってきました。
長老会って怖そうな先生方が若手に意見をする会って思われそうですがそうではありません。
今まで須磨区歯科医師会にご尽力頂いた先生方を招いて一年に一度感謝の食事会を行う場です。
この日は残念ながら4名の長老(?)しか出席できませんでした。
左から3番目が私の父、大先生です。
この中では一番の古株。
未だに発言力があり怖い存在は事実・・・・かな???

投稿者 yoshimoto : 06:51 AM | コメント (0)
September 13, 2008
結婚記念のお祝い
スタッフが結婚したお祝いに昨日は神楽へステーキを食べに行ってきました。
みんなに何が食べたい?って聞くと必ず帰ってくる答えが、
“に・く”
歳を取ると肉よりももっとあっさりしたほうがいいんだけどなぁ~と思いながらもいつもいつも私のわがままを聞いてくれる大切なスタッフの要望とあれば・・・しかたないか。
お店の方が記念撮影をしてくれてその写真をプレゼントしてくれました。
そのときなぜかかぶりものが・・・
スッタッフは大喜びで好きなものを取って被っていました。
普通こんなの嫌がるでしょ???
案の定私はカッパのかぶりものを。
みんな似合ってますね!!

投稿者 yoshimoto : 07:01 AM | コメント (0)
September 06, 2008
レントゲン装置
30年以上前に購入したレントゲン装置がついにダメになってしまいました。
ここ一年修理、修理を重ねてきていたのですが交換用の部品がメーカーではもうすでに製造中止。
なくてはならない装置ですので新しく買い換えました。
でも新しくしたからといって映りがよくなるというものでもなく思わぬ出費に頭が痛いです。
今日はいつも使っているデジカメを忘れてしまいiPhoneで撮影。
まーまーうまく撮れてるかな???

投稿者 yoshimoto : 07:04 AM | コメント (0)
September 04, 2008
いいわけ
もう5年になるだろうか?突然左肩に激痛が。
それも2~3分おきにおこる。
あまりの激痛にそこにうずくまるしかない。
痛み止めはなんの役にも立たない。
病院にいくもすぐに痛みを取る手立てがないとのこと。
いつ痛みが取れるかわからないと・・・・
絶望感の中、病院を後にしたことがありました。
激痛はその後1週間ほど続きその後は痛み止めでコントロールできるようになり1ヶ月で痛みもなくなりほっとしたのを覚えています。
患者様の痛みを取ることは治療する上で一番に考えていることです。
でも現実にはその痛みをすぐに取り去ってあげることができないケースも多いです。
どうしてその痛みをすぐに取ることができないか、そしてどうすれば今後痛みが消えていく可能性があるか、またある程度の痛みとはずっと付き合っていかなければならないかなどを詳しく説明するようにしています。
この説明を患者様に理解してもらうのがかなり難しい場合があります。
でも諦めず必ずわかるまで私は説明します。
しかしそれが患者様にしてみれば単なる言い訳にしか聞こえないことが・・・
そらそうですよね。
どうでもいいから痛みを取って欲しいと願っている、それを解決できないのですからね。
自分の技量の無さにつくづく失望する瞬間です。
昨日も一人の患者様を暗い気持ちにさせてしまった。
でもどうすれば???
プロなのに嘆きが出てしまう。
一人ゆっくり考えているといつの間にかあたりは真っ暗闇。
もう二度とこういう思いを患者様にさせてはいけない。

投稿者 yoshimoto : 07:15 AM | コメント (0)
September 02, 2008
心の中
24時間テレビを見て難病に苦しむ人達や事故で体の自由を失った人達の苦しみながらも喜びを見つけ生きていこうとする姿には見る人の心を動かします。
自分の悩みなんてちっちゃい、ちっちゃいって・・・
でも不思議なことにこのちっちゃな悩みが心の中全てを覆っているんですよね。
人様から見たら小さな取るに足らない悩み、そう思っていても自分にとっては心の中全てを覆う悩み。
心の中ってどうなってるんだろうってつくづく思います。
私の仕事は悩みを解消することが仕事。
したがって毎日患者様の悩みと戦っています。
そこで難しいのが悩みを共有してしまったときです。
患者様の悩みが私の心を覆ってしまったときはあまりの重さに耐えられなくなります。
心の切り替えがうまく出来なかったときに悩みを共有してしまうことがあります。
心の切り替えって難しいですね。
皆さんはどうされてますか?
私はやはり家族との語らいかな???
カルテ棚の写真です。
この中に患者様の喜びや苦しみが詰まっています。

投稿者 yoshimoto : 07:13 AM | コメント (0)
August 28, 2008
ありがとうございました
昨日25年間の歯科医人生の中で始めての経験をしました。
70歳ぐらいの女性の方の抜歯を行い止血を確認し診療台から降りられたとき、
“これが抜いた歯ですか?”
“はいそうですよ”
“長い間ご苦労様でした。ありがとうございました”
と抜いた歯に・・・
私はどう返事していいかわからなかったので無言で微笑むだけでした。
昨夜から今朝までずっと頭の中でどう返事を返すべきだったかどうしても思い浮かばない。
本当に長い間がんばってきた歯に対して感謝を述べる気持ち・・・私の心を動かしました。

投稿者 yoshimoto : 07:24 AM | コメント (2)
August 27, 2008
携帯マナー
最近携帯電話の使用マナーの悪い人が増えてきましたね。
皆さんはどう思われますか??
私の医院でもちょっと困っています。
待合室で平気で電話を大声でかけている。
まだ待合室はましなほうで診療中それもまさに治療をしている真っ最中に電話を受けたりメールをみたり・・・
頭の中の構造を確かめたくなることがあります。
残念ながら中高年の方ばかりです。
その都度注意はするものの注意するほうも悲しい気持ちでいっぱいです。
みなさんももう一度携帯マナーを考えましょうね。
iPhoneという携帯電話に変えて1ヶ月が過ぎます。
やっと慣れてきて少しずつカスタマイズされてきました。
最近You tubeで好きなお笑いをダウンロードして自動でiPhoneのiPodに登録できるソフトを見つけたのでどんどんお笑いをiPhoneに取りだめしています。
見るのはお昼休みの喫茶店で・・・
コーヒーを飲みながらイヤホンでお笑いを見ています。
ほんとにいい息抜きになります。
でも中年のおっさんがニヤニヤしながら携帯をみているのは変かな???
もしかしてこれも携帯のマナー違反のひとつかも・・

投稿者 yoshimoto : 07:23 AM | コメント (0)
August 21, 2008
無罪判決
福島県立大野病院の帝王切開死事故で、福島地裁は昨日無罪判決を出したという裁判。
医療関係者はもちろんのことマスコミの方々も多くの関心をもたれ判決が出る昨日の裁判には傍聴を求める人達でいっぱいだったようです。
医療従事者である私は無罪判決にホットしているのは事実です。
でも人生最大の喜びの日が、最大の悲しみの日と一緒になってしまった遺族の苦しみ悲しみは計り知れないものがあります。
亡くなった方のお父さんが判決後の記者会見で
“私たち被害者が・・・・”と話されていたこの『被害者』という言葉に家族の暗い闇を感じ胸が詰まる思いでした。

投稿者 yoshimoto : 07:19 AM | コメント (0)
August 18, 2008
今日から
夏休みも終わり今日から診療再開。
この仕事は徐々にエンジンをかけていくなんてことはできないので最初の患者様からエンジン全開でがんばっていきます。
皆さんの夏休みはどうでしたか?
スタッフによる演出は院長室だけではありませんでした。
自宅に二つの届け物が・・・
一つは大好きなすいか。
そしてもう一つはパーティーグッズ。
スイカをケーキ代わりにしての、49歳の誕生日でした。

投稿者 yoshimoto : 07:09 AM | コメント (2)
August 16, 2008
49回目の誕生日
お盆休みのお知らせ
8月14日~17日まで
お盆休みの為休診いたします。
今朝、休み中に貯まった郵便物を取りに医院へ。
貯まった郵便物を持って医院の中に入り留守電を確認して院長室に入ると・・・・
びっくり
エッ(゚Д゚≡゚Д゚)マジ?
カエルに院長室が乗っ取られていました。
椅子に座るカエル院長

サイドテーブルの上のカエル

パソコンモニター上のカエル

プリンター横に隠れていたカエル

そうこれは私を驚かせようとしたスタッフの演出でした。
13日の診療後のいたずら顔のスタッフの事を考えると嬉しくてうれしくて・・・
こいつらとチームヨシモトを作れたことを誇りに思います。
お前ら最高(。→ˇܫˇ←。) ♡

投稿者 yoshimoto : 07:00 AM | コメント (0)
August 14, 2008
今日からお盆休み
さーて今日からお盆休み。歯で悩んでおられる患者様には申し訳ないですが診療から離れゆっくりと休ませて頂きます。
今週から海の風が変わってきましたね。
真夏の風ではなくなってきたみたい。
感覚なのでうまく表現はできませんが季節が変わり始めているみたい・・・かなぁ??
今日はなんば花月でよしもと新喜劇と漫才を見に行きます。
もう今から新喜劇のオープニングテーマ曲が頭の中で流れています。
お盆休みの皆さんもまだまだ暑いですが思いっきり遊んでください。

投稿者 yoshimoto : 07:20 AM | コメント (0)
August 07, 2008
理解
今回のiPhoneテクニカルサポートセンターとのやりとりで自分自身の考え、態度も改め直さないといけないと痛感しました。
仕事である以上中途半端はダメ。
私の仕事の基本は、
“説明と同意”
でもこれが難しい。なぜなら“説明と同意”の間に“患者様の理解”が入るからです。
下のレントゲン写真を見てください。
根っこが二つあり左の根っこの中の神経が通る穴は一つ。
右の根っこには二つあります。
右の根っこの左端にはレントゲン上黒く写っている部分がありますがここが病巣です。
ってブログ上で説明を受けてわかる方はどれだけいるでしょうか?
これを指差しながら説明をするとかなり多くの方にわかってもらえるとおもいます。
でもそれでもわかってもらえない場合。
心の中で『なんでこんなことがわからないの』ってつぶやいてしまう。
すると口調や態度にでてしまう。極力そうしないように心がけるけどあくまでも感情動物である私には100%抑えることは無理。
でもやっぱりそれではダメ。
説明→理解→同意→治療→説明→理解→納得
この構図を常に作っていかないと・・・なぁ~!!

投稿者 yoshimoto : 06:52 AM | コメント (0)
August 03, 2008
スタッフ結婚式
今日は私の医院スッタフの結婚式。
技工士である彼女は医院の縁の下の力持ち的存在。
いつも影で診療室の皆を支えてくれています。
昨日は結婚式前なので休暇をとって休んでいました。
そうすると大変、まったく医院が回転しない。
てんやわんやの大騒ぎ状態。
あらためて彼女の存在の大きさを感じました。
一人でもかけるとチームヨシモトは動けない。
でも一人休んでも誰一人泣き言言わずやるべき事をこなしてくれるスッタフ全員に感謝です。
今朝は少しうす曇。昨日は花火大会だったのを忘れててた。
管理人さんに昨日は来られなかったんですね?って言われてはじめて思い出した。
来年は忘れずにメモしとこ。
おそらくメモしたことを忘れれるやろな。
でもiPhoneにメモしておけば自動的に教えてくれる。
もの忘れが激しくなった私には強い味方???

投稿者 yoshimoto : 07:18 AM | コメント (0)
July 05, 2008
歯型を採る材料・・・を練る機械
歯型を採る時に使用するあのピンクの材料をアルジネート印象材といいます。
昔はアルジネートの粉と水をゴムボールに入れて手で練っていました。
結構熟練が入るためスッタフによって練り方にばらつきがありました。
私が善本歯科医院に戻ってきた22年前に写真右の自動練和器を購入致しました。
これだとオレンジ色のボールが自動で回転するため熟練がいらず誰でもが簡単にアルジネート印象材を練ることができ大変重宝しスッタッフも喜んでいました。
単純な構造の機械なのでほとんど故障もなく22年間使用してきましたがついにダメになってしまいました。
そこでさて同じものを購入するかもしくはもっと最新式に変えるか悩んでいます。
写真左に映っているのが最新式の練和器。
ソフトクリームの機械と同じだと思ってください。
ボタンを押すだけで下から練和された印象材がソフトクリームの様に出てくるという仕組みです。
これはさいこーに便利でしょ!!
デモ器を一週間お借りしましたので使用後購入するかどうか思案です。
やっぱり高いしランニングコストもかかるし・・・でも印象面がすごくきれいなので欲しいなぁー

投稿者 yoshimoto : 06:17 AM | コメント (0)
July 04, 2008
シューズスタンド
7月1日のブログで書きました30年来使用中の靴箱をついに処分致しました。
よくまーこんなに使っていたなぁって感じですね。
新しく購入したのがこれです。
うーん、あんましかっこよくないけど狭い裏口にとなると仕方がないかな?
やっぱり靴が隠れてしかもブーツとかにも対応できるのが一番なんですけどね。
しかしスッタフの人数の倍はあるナースシューズ。
なんでこんなにあるんやろか???

投稿者 yoshimoto : 07:02 AM | コメント (0)
July 01, 2008
靴箱
善本歯科医院の中にはトイレはありません。
トイレに行く場合は善本歯科医院の裏口から出てビルのトイレを使用しなければなりません。
そのときいつも気になっていたのが裏口のふるーくて汚い靴箱。
この医院が出来た30年前から使用しているものです。
見ての通りラックを靴箱として使用しているみたいです。
裏口が汚く雑然としているのはどうしても嫌で20年ぐらい前からずーといいシューズボックスがないか探していました。
でもこの狭い裏口に今以上の物が見つからず諦めていました。
でーも、やっといいのを見つけました。
まだ届いてはいませんがこれでトイレに行かれる患者様に見られても恥ずかしくないかなぁ???
設置しましたらブログで紹介します。

投稿者 yoshimoto : 07:18 AM | コメント (0)
June 28, 2008
戻ってはきたが・・・・
SDカードが壊れてしまい半年間の写真が一瞬にしてパーになってしまったことをお話しましたが、まだ保障期間中だったので購入店に送り返してみるとすぐに修理されて戻ってきました。
やっすーいSDカードでしたがそれでもまた使えるとなると嬉しいものです。
戻ってはきましたがもちろん残念なことに中のデータは戻ってこなかったです。
電化製品の保障期間って最近は1年とは限りませんよね。
去年買ったエアコンは10年保証がついていました。
絶対に保障期間は活用しないと損ですね。
ちなみに歯科の治療にも保証がついているのご存知ですか?
歯に被せる物だけに限って(詰め物はダメですよ)の話ですがセットして2年間はなんらかの理由ではずして作り変えた場合は被せにかかる金額は患者負担とはならないんですよ。
もちろん善本歯科医院でもこのルールを守っていますのでご安心下さい。

投稿者 yoshimoto : 06:32 AM | コメント (0)
June 20, 2008
3歳児検診
昨日の午後からは保健所での3歳児検診に行ってきました。
いつもは60名程度の検診ですが雨のせいか少し少なかったかなぁ。
どーも保健所の考えかたと合わないな。
もちろん保健所での検診である以上保健所のルールに従い検診を行いましたが・・・
何が合わなかったかというとジュース100ml以上飲んでいるお子様には食事指導が必要となるそうです。
そこで私の方から食事指導を伝えて欲しいとの事。
私は100mlで食事指導する必要はないと・・・
たとえ50mlであっても口腔衛生上指導する必要がある場合もあるし300mlでも口腔衛生上指導する必要がない場合もあると伝えましたが答えは保健所の決まりですからと・・・。
決まりなら私が説明する必要もなく無条件でジュースを100ml以上飲まれているお子様は食事指導に回すようにと満面に嫌な顔をして伝えました。
あー検診中いやーな雰囲気が・・・
そんな嫌な雰囲気の中写真を撮ってくださいと頼めずこっそりと担当の衛生士さんがいない間に撮影。
いつもの笑みではないですよね??

投稿者 yoshimoto : 07:14 AM | コメント (0)
June 19, 2008
骨粗鬆症・・ビスフォスフォネート系薬剤
今、歯科界ではこの骨粗鬆症が問題になっっています。
問題になっているというと一般の方は骨粗鬆症だから骨がもろく歯周病に罹りやすいということが問題なんだろうなぁって思うと思いますがまったく予想もしないことで問題が起こっています。
骨粗鬆症で飲む薬のうちのビスフォスフォネート系薬剤を服用している患者様の歯を抜歯した場合顎の骨の一部が壊死してくるという副作用があるからです。
骨を丈夫にする薬なのに顎の骨が壊死するとは矛盾している話なのですが・・・
善本歯科医院でも半年前から受付にポスターを掲示して必ず飲んでいる薬の報告をしてくださいと言っていますがなかなか報告してくれません。
他の薬は簡単に言ってくれるのですが骨粗鬆症の薬を薬と思っていない方が多いようです。
カルシウムの薬・・・いわゆるサプリメントと思っている方、
または一週間に一度とか一ヵ月に数回しか飲まないので勝手に大丈夫と思ってしまっている方。
最後に残念なことが薬を処方している先生がこの副作用を患者様に説明していないこと。
この薬(ビスフォスフォネート系薬剤)はとてもいい薬で飲むことは大切です。
ただ歯を抜くときだけは注意が必要ですので必ず歯科の主治医に報告してくださいね。

投稿者 yoshimoto : 07:23 AM | コメント (2)
June 15, 2008
竜歯会総会
昨日の午後は竜歯会総会(滝川学園出身の歯科医師の会)に出席してきました。
私の父が会長をしております。
そう、親子2代滝川学園出身です。
一年に一度しか会わない先生方ばかりですがいろんな環境の違う先生方ととりとめもないお話をするのはとても楽しいですね。
一人一人近況報告をするのですが喉が痛くて声が出ないのにまた嬉しがって長話をしてしまいました。
今日はやっとゆっくりできます。

投稿者 yoshimoto : 07:21 AM | コメント (0)
June 14, 2008
肉、うまかった
スッタフと昨日は肉を食べにステーキハウス神楽というお店に行ってきました。
予約の時に希望の席を伝えていたのに座ることができず少し残念でしたが久しぶりに食べるおいしい神戸の(?)牛とシーフードに堪能。
焼くときにパフォーマンスをしてくれて見てても楽しいお店です。
価格も結構リーズナブルでお勧めです。
私の体調不良でスッタフにもこの一週間迷惑かけっぱなしでしたから少しは罪滅ぼしができたかな???
でもまた調子に乗って喋りすぎたため益々声が出なくなってしもたぁー。

投稿者 yoshimoto : 07:19 AM | コメント (0)
June 13, 2008
滝川学園での歯科検診
竜歯会という滝川出身の歯科の先生が昨日の検診には15名も集まってくださり無事に1時間半ほどで1500名の学生の検診を行うことができました。
歯科検診では大きな声を出し続けなければいけないのでさすがに検診終了後、喉の痛みがひどく寝込んでしまいました。
今日はスッタフが肉を食べたい食べたいとしつこく言うので診療後に肉を食べに・・・
3週間前から予定していたことなので中止にするとスタッフが悲しむだろうし・・・
なんとか体調を戻さないと連れて行けなくなってしまう。

投稿者 yoshimoto : 07:24 AM | コメント (2)
June 12, 2008
声が出ない
栄養ドリンク飲みすぎたかなぁ?
昨日夜、目がさえて寝れなかった。
しんどくて早く眠りにつきたかったのに・・・
栄養ドリンクのカフェインが原因かも???
今日はお昼から滝川学園の学校検診に行かなければなりませんが声がほとんど出ません。
完全にのどをやられたようでのどスプレーを買ってはみたもののあまり変化なし。
声が出なければ検診が出来ないしなんとか昼までには声が出るようになればいいのですが・・・・
今日も栄養ドリンク飲んでがんばろー(ノ◇≦。)

投稿者 yoshimoto : 07:37 AM | コメント (0)
June 11, 2008
体調最悪
昨日から風邪で体調不良です。
この仕事はどんなにしんどくても患者様には見せられないし、また絶対に手を抜くことができません。
栄養ドリンク3本持ってきました。
がんばります。

投稿者 yoshimoto : 07:33 AM | コメント (0)
June 10, 2008
絵
受付のうしろになんの絵を飾ってあったか皆さんは覚えていますか?
そう、ラッセンのイルカの絵でしたよね。
10年ぶりに変えてみました。
次回来院された時よーく見て帰ってくださいね。

投稿者 yoshimoto : 07:25 AM | コメント (0)
June 06, 2008
滝川学園第二
私は滝川高校の出身です。
竜歯会という滝川高校出身の歯科医師の会があり年に一度竜歯会の有志が集まり母校の歯科検診を行います。
学校歯科検診は歯科の校医(通常一名)が何日かにわけて全校生徒の検診を行いますが滝川学園のように1000人を越える生徒を一人の歯科医が検診するのは大変です。
そこで有志が集まり検診を行うというわけです。
昨日は13名もの先生が集まってくれたため1時間30分ほどで全校生徒を検診することができました。
滝川学園本校は男子高、第二校は男女共学。
私は本校出身ですがやっぱり共学のほうが楽しかったでしょうね。
来週の木曜日は本校の検診。
来来週の木曜日は保健所検診。
6月は検診で大変です。
生徒に撮って貰いました。

投稿者 yoshimoto : 07:01 AM | コメント (0)
June 05, 2008
ヒールオゾン
ヒールオゾンっていう言葉聞いたことがありますか?
私は1ヶ月ほど前にテレビ番組ではじめて聞きました。
ヒールオゾンとは歯科機械の名称でオゾンを20~30秒当てることにより虫歯を治すという代物です。
そのほかにも根っこが膿んだときに根っこの中にオゾンを照射して菌を死滅させることができるすばらしい治療用機械のようです。
なぜ歯科医の私がこんな機械を知らずに一般人と同じようにテレビではじめて知ってしまったのか。
自分の勉強不足を後悔しました。
でも調べてみると日本ではまだ未承認の為日本国内では販売されておらずドイツのカボ社(歯科界では超有名ブランド会社)から直接購入しなければならないようです。
そこですぐにドイツのカボ社に資料請求を・・・
1ヶ月かかってやっと昨日資料が届きました。
たとえ購入しても使用説明書を自分で読んで理解しさらに万が一故障したときもドイツまで送って修理をお願いしなければならないし、今後日本で承認されても承認前に購入した機械に関して日本の代理店はメインテナンスをしないとか・・・・いろいろと問題点が多すぎて購入はあきらめました。
でも一度使ってみたいなぁー。
日本で個人輸入した台数は50台ほどだそうです。
もしこの機械で治療を受けた方がおられましたらご感想をお聞かせ下さい。

投稿者 yoshimoto : 07:09 AM | コメント (0)
May 31, 2008
掃除
毎日の掃除ってめんどくさいですよね。
でも私は毎日楽しく院長室の掃除をしています。
診療後、机周りの拭き掃除をしてコロコロで床の掃除。
一日足りと欠かしたことはありません。
もちろん院長室改装後の話ですが・・・・。
以前は正直なところ、年末にするだけ。
そう一年に一回だけでした。(≧≦)
毎日しててもよくゴミって取れるものですね。

投稿者 yoshimoto : 06:42 AM | コメント (0)
May 29, 2008
ティンサイン
絵画に対しての趣味はありません。
でもポスター画にはとても興味があります。
なぜポスター画に惹かれるかというと主義・主張がとても簡単に伝わってきますよね。
それにポスター画って結構メッセージ性が高いですよね。
もっといいところは安いところかな(*^-^)
ポスター画をネットで探しているとアメリカのサイトですがいいところを見つけました。
挨拶代わりに1500円のこのティンサインを購入しました。
国際便で届けられますが4~5日ほどで届き日本で買うティンサインよりしっかりしていて大満足です。
問題ない会社みたいなので今はどのポスター画を注文するか考えている最中です。
なんといっても数が多いので見るだけでも大変です。

投稿者 yoshimoto : 07:10 AM | コメント (0)
May 28, 2008
引退宣言
今年いっぱいをもちまして大先生は善本歯科医院を引退することとなりました。
この日曜日に父に話があるからと実家に呼び出されました。
おおよその見当はついていましたが完全引退をするとのこと。
数年前から寄る年波には勝てず体力的な問題を訴えておりましたが私から引導を渡すことが出来ないため見守っておりましたがついに決心がついたようです。
歯科治療に関して完全引退したその後も歯科医師会の仕事、滝川学園の仕事、そしてライオンズの仕事と多忙の日々は続くそうです。

投稿者 yoshimoto : 07:10 AM | コメント (0)
May 25, 2008
院長室大改装・・完成
今年2月21日のブログで院長室改造計画を発表《そんなたいしたことではないんですが》してから3ヶ月が過ぎました。
昨日サイドテーブルとクッションを購入しやっと完成・・・かな?
ソファーの前に置くテーブルをどうしようか考えていました。
センターテーブルを置くとせっかくゆったりとした院長室がまたゴチャゴチャした感じになってしまう為小さなサイドテーブルを設置することにしました。
昨日行ったマリンピアのフランフランでやっすーいサイドテーブルとクッションを見つけたので購入。
早速今朝医院に行って設置してきました。
最近このソファーに座って本を読んでいる大先生には喜んでもらえそうです。
今回の改装に伴う家具はあくまでも部屋のイメージを大切にして安い家具をネットやアウトレットショプで購入したので高級感は無いものの、でも想像以上の出来になったと思います。
あと考えられることは壁に絵を飾ることかな。

投稿者 yoshimoto : 07:07 AM | コメント (0)
May 24, 2008
アロマタイム
善本歯科医院の患者様ならご存知と思いますが待合室にはアロマを使用しています。
アロマオイルの色々な香りでリラクゼーションしてもらえればと思っております。
でもこんなことを言ったら怒られるかも知りませんが一番リラクゼーションしなければいけないのは私かも・・・・???
私がイライラしていては患者様に一番迷惑がかかりますからねぇ。
そこで私専用のアロマミストの器械を買い院長室に置いてみました。
朝の診療前と、お昼休みにアロマでリラクゼーションに心がけています。
でも・・・大先生が出勤されるとこの新院長室から私本来の居場所である技工室に移動しなければならずアロマタイムも終了。
できれば診療が始まる前までアロマタイムに浸りたいのですが残念がら大先生は8時前には出勤されるのでアロマタイムもせいぜい30分ぐらいです。ほんと、出勤が早いですよね。
だから私はそれよりも早く出勤しなければならないってわけです。
こんな状態が20年以上続いているので当然朝には強くなりますよね。
つい先日朝早く出勤すると医院の前で患者様に会い一言・・・
“先生、遊び人やねぇー。朝帰りか”って
Σ\( ̄ー ̄;)ナンデヤネン
ゆっくり家で寝て出勤してきたっちゅうねヽ(;´Д`)ノ
今一番のお気に入りアロマオイルはオレンジ・ローズマリー・イランイランのブレンドです。
一度試してみてください。ご感想をお聞かせ下さい。

投稿者 yoshimoto : 06:24 AM | コメント (0)
May 23, 2008
印鑑
印鑑を作りました。
印鑑なんてもしかして作ったのはじめてかも???
認印に使用する印鑑は確か高校卒業の時に頂いた印鑑かな?
シャチハタは大学卒業の時に学校から頂いたもの。
もっとも大事な実印も急遽必要となった25,6の頃、親の持っていた印鑑で登録。
いまでもその実印を使用しています。
さーてしつこい話になりますが院長室大改装が終わり自分専用の文房具入れができるとそこに少しはまともな印鑑を置いてみたくなりました。
・・・という理由で印鑑を産まれて初めて新調。
48歳になってちょっと大人になった気分。
(・_・o)ン? (o・_・)ン? (o・_・o)ン?
わっかるかなぁー???
ユーエン社長婦人のお目たての印鑑。
いい色で気に入っていますありがとうございました。

投稿者 yoshimoto : 06:55 AM | コメント (0)
May 22, 2008
照明器具
医院に入ってまず目がいくのが受付。
当然ですよね。
以前から気になっていたのが受付上の照明器具。
開院当時から使用しているこの照明器具。
32年前から使用しているわけでどうしても今の壁紙の雰囲気にも合わず少し浮いた感がありました。
それでも特段不自由があるわけでもないので正直ほったらかしにしていました。
・・・が、この前京都旅行に行った時に入ったちりめん細工のお店のライティングがとてもすばらしくこれをうちでも使えないかと思いました。
そこでまたネットでこの照明器具を探しまくりました。
なかなか見つからなかったんですがやっとみつかりました。
BEFORE

写真では伝わりにくいですが医院に入ったときにまず明るくなったなぁって感じてもらえると思います。
そして受付うしろの絵にも照明が当てられ絵もライティングにより綺麗に浮き上がって見えます。
でもちょと暑いかも・・・・
AFTER

投稿者 yoshimoto : 06:41 AM | コメント (0)
May 21, 2008
交流戦
昨日よりセ・パの交流戦が始まっているそうですね。
最近めっきり野球を見なくなったのでこういう話にはまったく疎くなってしまいました。
今日の写真の意味わかりますか?
途中で切れてはいるのですがオリックスの8番ローズの手作り応援グッズだそうです。
うちのスッタフが今日阪神とオリックスの野球を診療後見に行くそうで、その時に使用するそうです。
“絶対にテレビに映るので見ててください。”と頼まれましたがこんな下手なのが映ると恥ずかしいですよね。
特に“8”という数字・・・へんやわ!!
浜中選手のも作ったそうです。
皆さん是非テレビ中継見てやって下さい。

投稿者 yoshimoto : 06:54 AM | コメント (2)
May 20, 2008
新色発表会
思い切って明るい色のスクラブ白衣を購入しました。
病院という暗いイメージを一掃するにはこの色しかないでしょ?
(・_・o)ン? (o・_・)ン? (o・_・o)ン?
でもやっぱり着慣れるまで恥ずかしさが・・・
メローイエロー・・・いいでしょ?

投稿者 yoshimoto : 06:59 AM | コメント (0)
May 17, 2008
院長室大改装・・900c㎡
ハサミどこに置いたっけ?
赤鉛筆知らない?
ここに置いてた定規知らない?
・・・・て事日常生活ではよくありますよね。
善本歯科医院に私が戻ってもう20年が過ぎます。
20年間私専用の机はなく技工室の隅を自分のテリトリーとしていました。
専用の机が無いと自分専用の文房具類を置く場所もなくいつも診療室のボールペンを使用したり受付のハサミや定規を借りて使用していました。
今回の院長室改造で一番欲しかったのが自分専用の文房具類を入れれるスペース。
そうこのスペースが欲しいために改装をしたと言っても過言ではありません。
でもやはりメインの引き出しは敬意を込めて大先生に使用してもらっています。
大先生用

今回の机は何もついておらずシンプルそのものが売りです。
したがって机の真ん中に引き出しはありませんでした。
しかし今回の目的である自分専用の文房具類を入れるスペースを作るためオプションでセンター引き出しをつけてもらいました。
5月6日にこの机は入ったもののセンター引き出しの品番が違っていたため当日はつける事が出来ず再発注。
やっと一昨日納品され引き出しをつけることが出来ました。
これで私専用の誰にも触らせない念願の
30cm×30cm=900c㎡のスペース
を確保することが出来ました。
他人にはチッチャナ、ちっちゃなスペースでチッチャナ、ちっちゃな話に聞こえると思いますがこのわずか900c㎡のスペースが私にとっては甲子園球場より大きく感じ文房具が納められたこのスペースを見ていると笑顔になります。

投稿者 yoshimoto : 06:31 AM | コメント (0)
May 15, 2008
院長室大改装・・ワードローブ
私の白衣はスクラブ白衣と言って欧米の医療現場でよく使用されている白衣です。
以前は有名デザイナーがデザインした白衣を着用していましたが一着が非常に高くさらにクリーニングに出さなければいけなくて大体一着を一週間近くは着ていました。
それでは衛生上よくないと簡単に毎日洗えて皺にならなず非常に安価なスクラブ白衣が欧米では主流となってきました。
私も一年以上前からスクラブ白衣に変えました。でもそうなると毎日着替えて一週間毎洗濯するため白衣が6着、パンツが6着そしてTシャツが6着必要となりロッカーが満杯状態になってしまいました。
BEFORE

そこで今回は2段に吊り下げ出来る大きな前面ガラス張りのワードローブへ。
これで全てがすっきり解決???
残念ながら現在この大きなワードローブは大先生が使用中。
中には白衣一着とズボンだけ。
まさか大先輩でもあり父でもある大先生にスッタフルームのロッカーを使用させるわけにはいかないですからね。
でも今回の改装は大先生の城を壊して新しくするということでありかなり私としては悩みましたが改装の結果に大先生も満足していただいたみたいでホットしています。
AFTER

投稿者 yoshimoto : 07:21 AM | コメント (0)
May 14, 2008
院長室大改装・・書棚
書棚の選択にはかなり悩みました。
高級感を出すには壁一面に立派な書棚が必要。
でも以前の院長室のように壁一面を書棚にすると部屋の面積が小さくなり圧迫感が強くなってしまいます。
BEFORE

今回の改装に先駆け本を整理してみるといらない本の多いこと。本棚がいらない本の捨て場になっていることに気づきました。
壁と同化して圧迫感のないスリムな天井まで使える書棚。

そしてよく使う書類は机サイドの書棚に。

投稿者 yoshimoto : 07:11 AM | コメント (0)
May 13, 2008
院長室大改装・・ソファー
今回の改装でつくづく感心したのが32年前に大先生が購入した家具のすばらしさです。
このソファーもまったく型崩れなく、クッションも最高です。
難点は写真のソファーがもう一点あること。狭い院長室に応接用のソファーでいっぱいでした。
そして布地であること。
32年間のほこりをいっぱい吸ってしまい体にはよくないかも???
BEFORE

今回購入したソファーはシンプルな2人掛けです。
少し大きめなので3人は余裕で座れます。
デザインはル・コルビュジェの作品です。
オリジナルは近代美術館にありますが版権切れによりコピーが可能となりいろいろなところからこのデザインのソファーが出されるようになりました。
とにかくシンプルで院長室の雰囲気にぴったりでした。
AFTER

投稿者 yoshimoto : 07:05 AM | コメント (0)
May 10, 2008
院長室大改装・・祝賀会??
昨日診療後院長室大改装記念祝賀会をスタッフが開いてくれました。
キャーゞ(^o^ゝ)≡(/^ー^)/"""パチパチ
・・・なぁ~んてことはあるわけがなく実はスタッフの一人が婚約をしたので婚約祝賀会を開きました。
7時30分から11時近くまで一軒の店で大騒ぎ。
楽しかったなぁー。
というよりいいスッタフに恵まれたなぁー。
♪♪♪♪Happy (ノ^^)乂(^^ )ノHappy♪♪♪♪
マルムシゴメンキレテシモタ

投稿者 yoshimoto : 06:44 AM | コメント (0)
May 09, 2008
院長室大改装・・イス
大先生が使われていた院長室の椅子は大変すばらしいものでした。
32年間使用していたのにほとんど型崩れすることなく、革も破けたりささくれだったり色あせたりしていませんでした。
でも大きな欠点はムダに大きく、肘掛が机より高い位置にあるため机の内に椅子が入らず狭い院長室を独り占めしているかのようでした。
BEFORE

今回購入した椅子は革張りでもなんでもない椅子です。
でもこれは人間工学を考えた椅子で一度座ってみると太もも、お尻、腰、背中、肩にフィットしとても楽な姿勢で机に向うことが出来ます。
今まで私はi椅子に8000円以上かけたことがありませんでしたがこの椅子はびっくりするような値段でした。
AFTER

投稿者 yoshimoto : 07:02 AM | コメント (0)
May 08, 2008
院長室大改装・・デスク
机周りはどうしても煩雑になってしまいます。
32年前に父が購入した机は重厚感がありすばらしい机でした。
でも今のようにOA化されるなど考えられない時代。
また機能性を重視するという考えがあまりなかった時代。
電話、FAX、パソコン、プリンター、モデム・・・と机周りにはいろいろな物が後付けされてきました。
BEFORE

その全てをすっきりとさせてくれたのがイトーキのこの机。
これはよかったです。
自分が注文していたと思いこんでいたのは座る側がラウンド状でないタイプでしたが間違って届いたこのタイプの方がかっこよかったなぁー。
AFTER

投稿者 yoshimoto : 07:14 AM | コメント (0)
May 07, 2008
院長室大改装・・ミス・ミス
昨日は内装工事が終わり机と椅子の搬入のため医院へ。
9時前に到着し業者の方が組立作業に入るも、思わず私が、
“待って、違う”と叫んでしまいました。
注文していた机と型が違っていました。
とりあえず組み立てて後日交換するとのことになりましたが組み立てていくと間違ったこのタイプの方が部屋の雰囲気合っていたし組み立てるのに2時間もかかっていたので業者の方に申し訳なく思い間違った型の机でOKを出しました。
最後に“椅子はどうされました”と聞くと発注していなかったらしくきていませんでした。
今朝に代品を持ってきてくれることになりましたが2ヶ月も前から大阪のショウルームまで見に行って念入りに打ち合わせしてたのに・・・
さらに机設置の作業で新品の床に傷が・・・
少し?だいぶ?怒りが・・・
今はこのパイプ椅子に座っています。

投稿者 yoshimoto : 07:15 AM | コメント (0)
May 04, 2008
歯神社
ゴールデンウイークの真っ只中ですね。
昨日は大阪キタへショッピングーに行ってきました。
結局なにも買わなかったけどなんとなく気持ちはウキウキですね。
だってまだまだ休みですから。
今日の写真をよーく見て下さい。
この写真は梅田のエストのブティックの中から撮った写真です。
手前にブティックのカバン。その窓の外に神社が見えますよね。
鳥居に歯神社って書いてあります。
皆さんは歯神社って知ってましたか?
梅田に行かれたときは一度お参りに行ってみて下さい。

投稿者 yoshimoto : 06:34 AM | コメント (0)
May 03, 2008
朝から改装準備
今日の写真の後ろの時計を見てください。
午後ではないですよ、午前ですからね。
午前4時起きで医院へ行き写真左隅にある書棚を作ってきました。
この書棚が二つ。結構時間がかかってしまったぁ。
しんどかった。
でもこのためにコードレス電動ドライバーを買っていたので助かりました。
絶対日曜大工にはこのコードレス電動ドライバーは必要ですね。
院長室からパソコンを取り出し全ての準備が整いました。
あとは業者任せ。連休最後の日に荷物を入れに行かなければ・・・
しんどいやろうなぁ。

投稿者 yoshimoto : 07:37 AM | コメント (0)
May 02, 2008
明日から4連休
善本歯科医院も明日から4連休となります。
休日中の緊急歯科診療を兵庫県歯科医師会で行っておりますので下記にお電話の上受診してください。
神戸市中央区山本通5丁目3番27号 口腔保健センター内
電話 078-351-1722
10時から3時まで
休みの間に院長室の本格的な改装が始まるため本や書類を段ボール箱につめもう院長室はごった返しています。
本当に休み明けには片付くのかな?

投稿者 yoshimoto : 06:25 AM | コメント (2)
April 28, 2008
春の新色
私が着ているチェロキーという会社のスクラブ白衣の新色が出ました。
このカタログを見ているとどれも欲しくなります。
でも冷静に考えるとこの足の長くて胸板が厚く顔の小さな金髪の外人を背の小さな足の短い私に置き換えると・・・???
やっぱり今までの色の方が無難かなぁ。
ショック☆<( ̄□ ̄;)>☆ショック

投稿者 yoshimoto : 06:59 AM | コメント (0)
April 24, 2008
よ坊さん=歯の心得=
よ坊さんはいいこと言っています。
歯の心得、よーく読んで守ってください。
ちょっと読みづらくてごめ~んねぇ。

投稿者 yoshimoto : 07:02 AM | コメント (0)
April 23, 2008
よ坊さん
日本歯科医師会のPRキャラクター“よ坊さん”です。
結構よく出来たネーミングですがなんで医療現場にお坊さんなのか・・・と疑問の声も出るかとは思いますが、かわいいキャラクターに免じて許してください。

投稿者 yoshimoto : 07:14 AM | コメント (0)
April 22, 2008
高温オイル殺菌装置=デンティスター=
2週間ほど前のブログで紹介しました高温オイル殺菌装置を購入しました。
歯を削るタービンやエンジン、また小さな器具を15分と短時間で殺菌してくれる装置です。
デモ品を10日ほど使用させてもらいいい装置だと思いました。
この商品はEテックという会社が開発されました。
実はこの会社の社長は須磨区歯科医師会の先生なんです。
Y先生、いい商品をありがとうございました。
このかごの中に器具を入れスイッチを入れるとかごが下降してオイル層の中に浸かるという仕組みです。
そして殺菌後かごが上がり乾燥して終了。ここまでが15分です。
殺菌終了後女性の声で“殺菌が終了しました”と院内全体にアナウンスされます。
このアナウンスの声が結構大きいので時々患者様がびっくりして何事っていう顔をしています。

投稿者 yoshimoto : 07:11 AM | コメント (0)
April 20, 2008
近畿デンタルショー
昨日の午後から京セラドームで行われましたデンタルショーに行ってきました。
歯科関係の見本市。たのしーい催しです。
もちろん歯科関係者以外にとってはくだらなぁ~い催し。
見ているとあれも欲しい、これも欲しいって感じになります。
イベント好きの我が医院のスタッフーも全員で行っていました。
またおもろーい物を見つけて購入予約をしてくるのでは???
京セラドームに車で行かれる方で振動でセキュリティーが作動する車はセキュリティーを解除してから駐車場にいれたほうがいいですよ。
私の車が立体駐車場から出てきたときハザードが点いて異常を示すサイン。なにか盗まれたのかと思いびっくりしましたが実際には横揺れでセキュリティーが作動した模様。3時間以上ハザードが点いていた事になるのでバッテリーがあがっていないか心配になりましたが問題なくエンジンがかかり無事に帰ってきました。

投稿者 yoshimoto : 07:48 AM | コメント (0)
April 14, 2008
MAWA
寒い時期の厚手のコートなどは簡単に洋服掛けに掛けることはできるのですが特にこの時期、女性の薄手の上着は洋服掛けに掛けると形が崩れたり伸びたりまたスルット床に落ちたりとしてしまいます。
以前からスタッフにハンガーを買って下さいと頼まれていたのですがなかなかいいハンガーが無くて困っていましたがやっと見つけました。
このドイツ製のMAWAというハンガーは本当にいいです。
掛けたら滑り落ちてしまいそうな生地の服でも全然滑り落ちない。
しかも肩の部分が少し厚めになっているので型崩れもしません。
でもハンガー一個が600円も・・・
高いですか?安いですか?

投稿者 yoshimoto : 07:12 AM | コメント (0)
April 12, 2008
スリッパって・・・
待合室から診察室へ入るのに多くの医院では靴からスリッパに履き替えますよね。
でも大きな病院や最近できた医院はほとんどがバリアフリーでしかも土足のまま診察室へ・・・。
以前は清潔域と不潔域をはっきりと区別させていました。
でも患者様にとってはめんどくさく誰が履いたかわからないスリッパを履く抵抗が。
そこで病院関係で一世を風靡したのがスリッパ殺菌装置。もちろん善本歯科医院もこの殺菌器でスリッパを殺菌して患者様に提供しています。
それでもブーツを脱ぐ手間や、素足でスリッパを履くのには抵抗があるようです。
写真右に見えるのが自動スリッパ殺菌器。待合室と診療室との間には段差が・・・・
やはりいずれは土足OKにしなければと最近思います。それには診療室内の床材も全てそれ対応にしなければならないし・・・あー頭が痛い。

投稿者 yoshimoto : 06:44 AM | コメント (0)
April 09, 2008
カエル大集合
これ全てカエルです。
8匹のカエルが大集合です。
お世話になっているユーエンの社長様の沖縄土産です。
私がカエル好きと知って行き先々でカエル物を買ってきていただいています。
でもこんなにいろんな色があるとは知らなかった。
さーてどこに飾ろうかなぁー。
これを受付に飾ったら“キャァー”ってなりそうなので・・
院長室改装があと一ヵ月後なので改装後の目玉として取っておきます。
院長室に入った人だけのお楽しみにしておきます。

投稿者 yoshimoto : 07:22 AM | コメント (0)
April 08, 2008
高温オイル殺菌装置
高温オイル殺菌装置という器械を今試しに使用しています。
歯を削るタービンやエンジンという器具はオートクレーブという滅菌器にかけて滅菌するのですがオートクレーブにかけるとどうしても器具が痛みやすく寿命が短くなります。
それに滅菌の全工程が終了するのに1時間以上もかかってしまい急なときには非常に不便を感じていました。
この高温オイル殺菌装置だとエンジン、タービンを痛めずに滅菌してくれてさらに15分という短時間で全工程が終了できます。
2~3年前から購入を考えていたのですがタービン、エンジン内にオイルが残るという欠点があり購入を控えていましたがオイル抜きをするいい方法があるとの事で現在デモ品にて試しています。
結果はまた・・・

投稿者 yoshimoto : 07:07 AM | コメント (0)
April 05, 2008
コンバースオールスターロゴ
ハイカットのコンバースにはあの有名なロゴマークが入っています。
でもこのロゴマーク、外側ではなく内側にはいっているのご存知でしたか?
外側に入っていたほうが目立つと思うのになぜでしょうか?
ずーと疑問に思っていました。
私の足のサイズは24.5cm。
でもコンバースの靴のサイズは27cm。
典型的な日本人の足、甲高、幅広のため丁度27ぐらいが履きやすくてストレスを感じません。
アメリカ人ってそんなに足も細くて甲も低いのかなぁ?
一度比べてみたいです。

投稿者 yoshimoto : 06:51 AM | コメント (0)
April 04, 2008
コンバース
10日ほど前に私より10歳は上の患者様に
“先生、コンバース好きですね”
って言われました。
思わず、
”診療中はいつもこれが楽で履いています”
・・・・って。
本当は今履いているターコイズ色のハイカットコンバースが汚れてきたので違う種類の靴を探していたんですが今更コンバースとは違うメーカーの靴を履くと嘘をついたことになってしまうのでやっぱり今度もコンバースにしました。
今回はネービーのローカットを・・・

投稿者 yoshimoto : 07:14 AM | コメント (0)
April 03, 2008
私は歯医者
私の仕事は歯科医です。
そうここ板宿という地で善本歯科医院の看板をあげ21年間歯科治療を行っている歯医者です。
虫歯の治療や歯周病などの治療をしてできるだけおいしく食事をしてもらえることを願っています。
でもつらい言葉をかけられることは多々あります。治療に対することは決して苦にならず耳を傾け誠心誠意聞き対処します。
しかし“まだ虫歯がありますよ”という言葉に激怒して逆切れされることには本当に耐え難いです。
虫歯があっても“はいもう大丈夫です”と言ってあげたほうがいいのかな?
って考えてしまいます。
はじめに述べたように私は歯医者である以上は嘘はつけない。
だからどんなに嫌われようが治療が必要と思われれば患者様にその旨を伝えていきます。
昨日は本当に疲れたなぁ。ついに言ってはいけないこと言ってしまった。
私が作った虫歯ではありませんよって。ちょっと自己嫌悪、反省です。

投稿者 yoshimoto : 07:20 AM | コメント (0)
March 31, 2008
保険点数表
今日の写真は何が書いてあるかわかりませんよね?
歯科の治療でよく使用する項目の保険点数表です。
もちろんこれだけではないので特殊な点数は本を見て調べなければなりませんが・・。
A3様式なので邪魔になるのでA4に縮小し診療室に備え付けています。
明日から点保険数及び保険解釈改正のためこの内容ががらっと変わってしまいせっかく覚えた点数もムダ。
診療毎にいちいちこれを見て確認しなければなりません。
さらに歯科用レセプトコンピューターの中身も書き換えなければなりません。
これがまたかなりの出費。
無駄な出費が重なるのがこの時期。
そうそうところで明日からのガソリンはどうなるのでしょうかね?

投稿者 yoshimoto : 07:14 AM | コメント (0)
March 29, 2008
後期高齢者医療
4月より保険点数改正や医療保険制度改正(後期高齢者医療)と医療会はいろいろと大変です。
改正のたびに思うことが本当に“改正”なのか?ということ。
毎年倒産していく医院、歯科医院の数は年々増えています。
もちろんずさんな医療、経営管理を行っているところは当然のむくいなのですが・・・。
なにごとも値段が下がることは嬉しいことです。でも医療費がこれだけ物価が上がっているのに下がる一方では医療の質が落ちているのは当然の結果。さらに採算の合わない診療科はどんどん医者がいなくなっていく。
産科、小児科の次は歯科と言われています。
本当に国の無駄な税金の使いかたを直していただき福祉・医療にまわしていただきたいです。
後期高齢者、嫌な響きですね。

投稿者 yoshimoto : 06:51 AM | コメント (0)
March 28, 2008
大失敗
保険改正に伴う須磨区歯科医師会での説明会昨日終えました。
1時間半みっちりかかってしまいました。
最終的に用意した61ページの資料はほぼ問題なっかたのですが思わぬところに落とし穴が。
数ページの日本歯科医師会が用意しているはずの資料がなっかたのです。
当然用意されているものと思って疑わなかった私のミスでした。
80部ぐらい30分あったらコピー出来ていたのに・・・と思うとくやしくてくやしくて。
最後のご奉公を完璧にしたかったのに残念です。
この資料はあってもなくても説明会には大きな問題はなかったので無事終了はしました。
完璧主義者の私にすれば大失敗の説明会でした。
思い込みって怖いですね。まさにこの写真の手に持っている資料がなかったんです。しかし今日のブログにあわせてうまく写真を撮ってくれていますね。
N端先生ありがとうございました。

投稿者 yoshimoto : 07:15 AM | コメント (0)
March 26, 2008
板ヤドカリ
今週はとっても気分的に沈んでいます。
なんとなくハイな気分になれない。
理由はもちろんここ数日ブログで書いている保険改正の件で。
明後日に説明会を行いますがこうみえて根は真面目、中途半端が嫌なので全力投球をしてしまいます。
昨日も出来上がった80部の資料に追加資料を加えさらに印刷ミスがないかチェックし一つ一つをクリップで綴じる作業を・・・・
これだけでまた3時間もかかってしまいました。
もーしたくない。あと一年の任期までもめんどくさくなってきた。
私の医院は板宿(いたやど)というところにあります。
パンやさんにふと寄ってみるとこんなパンがあり買ってみました。
板宿のキャラクターだそうです。
その名も板宿のヤドカリという意味で“板ヤドカリ”
おいしかったですよ。いわゆるコロネですね。

投稿者 yoshimoto : 07:24 AM | コメント (0)
March 25, 2008
4640枚のコピー
保険改正に伴う資料作りも終わり一部58ページの資料を80部昨夜須磨区歯科医師会事務所でコピーしてきました。
58×80=4640
4時間ずーとコピー機の前でコピー機とにらめっこ。
10分おきに紙詰まり。20~30分おきに用紙補給。
最大の難関は2時間過ぎてからトナー切れ。幸いにもトナーのストックがあったのでなんとか助かりました。
このコピー機はすぐれもでちゃんと自動で区分けをしてくれてホッチキスで留めてくれます。
だが、しかーし、ページ数が多すぎてホッチキスで留めることができませんでした。50枚が限度のようでした。
本日中にクリップを購入して80部綴じなければ・・・・。
この歯科医師会での役職の任期もあと一年。最後のご奉公と思いがんばりまーす。
さすがにクッタクタ。

投稿者 yoshimoto : 07:01 AM | コメント (0)
March 22, 2008
資料作り
木曜日に保険改正に伴う説明会を受けてきて来週の木曜日には須磨区歯科医師会の先生方にその内容説明をしなければなりません。
その為の資料作りのためこの2日間ほとんど寝ていません。
すごく疑問に思いながらの資料作り。
なぜかというと写真の分厚い資料を元に1時間にもおよぶ説明があったのにこの資料は一般会員には配布されません。
すなわちこの本無しで説明をするということ・・・・・
理由は兵庫県歯科医師会会員全員に配ると何百万円もかかってしまうから。
したがって地方会での説明は口頭か、コピーをして説明してくださいとのこと。
こんな難しい内容口頭でわかるわけもなくましてやこんな本まともにコピーできるわけが無い。
しかたがないので全てワードで起こし資料作りです。
もちろん必要な部分だけで本全部ではないですよ。
でもやれやれ、しんどーデス。\(`o'") コラー

投稿者 yoshimoto : 07:24 AM | コメント (0)
March 21, 2008
保険改正モニター会
昨日の休日に医療保険点数改正に伴うモニター会に出席してきました。
兵庫県下の各郡市区の保険担当の先生方が一同に集結。4時間近くに渡る保険改正の説明を受けました。
さーてこれからが大変。来週の木曜日までに須磨区の先生方にわかるように説明できる資料を作成しなければなりません。
昨日のブログでは今回の資料作りは簡単になるかもと述べましたがまったく逆でした。
これから毎日コンピュータの前でがんばらなければなりません。
しんどいなぁー。
会議中の1コマです。

投稿者 yoshimoto : 06:52 AM | コメント (0)
March 20, 2008
2年に一度の保険改正
あーこの一週間は風邪でしんどかったなぁ。
毎日毎日ユンケルを3本飲んでました。
偏頭痛が少しまだ残っていますが大分よくなってきました。
今日は祭日で休みなのでゆっくりしたい。
・・・でーも、今日は2年に一度の大きな保険点数改正の説明会が兵庫県歯科医師会で行われる為須磨区歯科医師会の代表として聞きに行かなければなりません。
そして今日聞いた事をまとめて来週の木曜日に須磨区歯科医師会の先生方にお伝えしなければなりません。
ほんとに今日はゆっくりしたかった。
ちょっとびっくりしたことが私が歯科医師になって24年。この間2年に一度必ず保険点数改正が行われていますが今までに一度も日本歯科医師会からわかりやすいまとまった資料を頂いたことがありませんでしたが今回はびっくりするほどわかりやすい資料を作成したようです。それも説明会の前にこの資料を手に入れることが出来ました。
そう日本歯科医師会の会員用HPにその資料がUPされていたんです。
この驚きと喜びをわかってもらえる方は各地方歯科医師会の保険担当者だけでしょうね。

投稿者 yoshimoto : 07:12 AM | コメント (0)
March 19, 2008
めがねが曇る(2)
治療用拡大鏡(サージテル)の会社から送られてきた物はノーズパッド。
写真右(透明・グレー)のノーズパッドが今まで使用していた物。
写真左(黒・白)のノーズパッドが新しく送られてきた物。
違いがわかりますか?
そう写真左のほうが高さがあるのです。
ノーズパッドが高いとめがねと顔との間に隙間ができて空気の通り道ができるため息がこもらず、めがねが曇りにくくなるということです。
早い話、鼻の低い人用のノーズパッドだということですね。
苦情のメールをしたとき担当者も“先生、もしかして鼻が低いですか?”とは直接言えなかったでしょうね。
((“o(>ω<)o”))クヤシイデス!!
この鼻の低い人用ノーズパッドに変えてからは本当にめがねが曇らなくなりました。

投稿者 yoshimoto : 07:16 AM | コメント (0)
March 18, 2008
めがねが曇る
医療用の拡大鏡をつけると曇ってしまい見えづらく大変困っています。
めがねが曇りにくいというマスクに変えましたがもうひとつ・・・
曇り止めのスプレーもネットで調べ一番人気の物を購入するも効果なし。
ついにしびれをきらして拡大鏡を購入した会社に何とか曇らないようにできませんかねぇという苦情のメールを出してしまいました。
でもきちっと対応してくれて見事めがねが曇らないようになりました。
実は私の身体的欠陥が原因でありました・・・・つづく
この曇り止めを一日3回は使用していました。

投稿者 yoshimoto : 07:28 AM | コメント (0)
March 17, 2008
体調最悪
金曜日からずっと風邪をひきっぱなし。
毎日風邪薬に栄養ドリンクを飲んでいるんですが一向によくならない。
今朝は月曜日ということもあって最悪です。
あー早く帰りたい。
でもまたユンケル飲んでがんばろっと。
念のため今日はもう2本持ってきました。

投稿者 yoshimoto : 07:31 AM | コメント (0)
March 15, 2008
ホワイトデー
バレンタインデーに私にチョコを渡すため痛いのにがまんしてその日にアポイントを取り来院してくれた患者様(もちろん60歳代ですが・・)にホワイトデーにお返しの品を郵送しました。するとまたまたご丁寧に手紙つきでこんなに大きなりんごを持ってきてくれました。
この気持ちがとても嬉しいです。
ありがとうございます。ゆっくり心遣いを味わいながら頂きます。

その一方我が医院ではホワイトデーのプレゼントを取ったや取られたと大騒ぎ。
やれやれと ホホホ!!γ(▽´ )ツヾ( `▽)ゞオホホホ!!

投稿者 yoshimoto : 07:07 AM | コメント (0)
March 13, 2008
虫歯がありますよ
この歯に虫歯が出来ていますね・・・
左下の詰め物の下に残念ながら虫歯がありますね・・・・
こういう言葉を交わすことが一日に多々あります。
だって私は歯科医ですから当たり前ですよね。
でもこの言葉に食いついてくる患者様って結構いらっしゃいます。
どうして治療した歯に虫歯ができるんですか・・・
どうして磨いているのに虫歯なんですか・・・・
どうして?どうして?どうして?
・・・・・本当ですか????
結構この会話は精神的に疲れてぐったりしてしいまいます。
あー虫歯があるなんて言わなければよかったなぁって
もちろん歯科医であるいじょう見逃せない事実なので言うしかないのですがね
疲れた顔をしていたのかお店の人がこんなカプチーノを作って出してくれました。
今日も笑顔でがんばろっと

投稿者 yoshimoto : 07:23 AM | コメント (0)
March 11, 2008
10年前
院長室の本の整理をしているといろいろと歴史を感じる物が出てきます。
10年前に須磨区歯科医師会は60周年を向かえ記念誌を発行いたしました。
震災後ということもあって甚大な被害を受けた須磨の状態が写真でいっぱい掲載されていました。
また会員一人一人のプロフィールも紹介されており10年前は皆わかかったなぁ~ってつくづく思いました。
私も髪の毛と髭ががまだ黒々としていたなぁ。
こんな大人びたコメントを寄せていたなんて・・・・

投稿者 yoshimoto : 07:24 AM | コメント (0)
March 03, 2008
シュレッダー
最近ゴミを捨てることでのストレスが結構あります。
事業所から出るゴミは全て有料。
さらに医療機関は感染の面から考えて使い捨ての物が増えゴミの量は増すばかり。
また個人情報がもし漏れることでもあれば大変なので書類関係は全てシュレッダーに。
個人の家庭でもシュレッダーをお持ちの方も多いと思いますがこれが結構めんどくさいですよね。
安価なシュレッダーは連続使用時間が5分以下。ひどいのは1分以下なんてものも。
私の医院も連続使用時間が3分というシュレッダーを買っていましたが能力不足を感じ新しいシュレッダーを購入しました。
なんと連続使用時間が20分。
・・・・・・たいしたこと無いって?
連続使用時間20分以上のシュレッダーって結構高いんですよ。

投稿者 yoshimoto : 07:27 AM | コメント (0)
March 02, 2008
須磨区歯科医師会総会
昨日は須磨区歯科医師会総会がありました。
総会の議長は私の父。
もう20年近く父が議長を勤めているんじゃないでしょうか。
父を誉めるのもなんですが・・手馴れたもんでまー名議長ですね。
議事もスムーズに進み問題なく総会を終了。
議事進行中私は大の仲良しコテツ君と写真撮影。
久しぶりに大の仲良しと会えて単調な議事も懇親会も楽しく時間を過ごすことが出来ました。

投稿者 yoshimoto : 07:46 AM | コメント (2)
March 01, 2008
院長室改造計画(4)
ついに父である大先生に大先生室(ドアには院長室と書いていますが)の全面改装の許可がおりました。
そこで毎日のようにあの机がいい、こっちの方がいいかな?・・・
床は?壁は?どんな色にしようか・・・
収納を考えると部屋がせまくなるなぁー・・・
って感じでちっちゃな部屋なのに悩んでいます。
この分厚いカタログの中身は大体全て目を通しました。
わざわざ大阪のショールームにまでメジャー片手に行って来ました。
撮影禁止ということで写真が撮れなかったのがザンネン。

投稿者 yoshimoto : 07:10 AM | コメント (0)
February 29, 2008
専門書
大学時代に購入した歯科専門書。
当時はもちろんそれを教科書として使用していましたが卒業して25年、ひも解いたのは数回。
完全に本棚の飾りとなっていました。
一冊が数万円するものばかりなのでそのままのしておりましたが思い切って捨てることにしました。
だってよく考えてみたら25年前の考えってかなり古い。そんな古い考えの載っている本って役に立たないですよね。
やはり今を知らないといけないので読む雑誌は学術雑誌ばかり。
読みたい学術雑誌は本棚の外に乱雑に並べられ読まない古い専門書が綺麗に本棚の中に置かれてしまっている。
やっぱり変ですよね。
まー出てくるは出てくるはこんなに多くの専門書が本棚の肥やしとなっていました。

投稿者 yoshimoto : 07:09 AM | コメント (0)
February 23, 2008
院長室改造計画(3)
良い机、良い椅子って憧れますよね。
小学生の頃自分用の机があれば勉強するのにってずっと思っていてでもいざ買ってもらえてもやっぱり勉強なんかしなかったけど・・・
だけどもだっけど、
院長室が新しくなれば特にガムテープで補強なんてしなくてすむ椅子が欲しいなぁー。
オフィスのカタログ(かなり大手の会社)をネットで注文し送られ来ました。
でもすぐに営業マンがアポイントなしで医院に来られました。
木曜日のお昼で私が居ないときだったので改めてこちらから翌日電話すると“今から行きます”って・・・
電話したのが朝の10時30分頃、今来られても診療中で会うことなんかできないでしょ。
ちょっとマナーが無さ過ぎ。
残念ながらこんな営業マンとは付き合いたくないですね。
オフィス用の机はコンピューター用の配線などが考えられていてとても便利。

投稿者 yoshimoto : 07:11 AM | コメント (0)
February 22, 2008
院長室改造計画(2)
30年前ネズミやゴキブリが這い回る下宿から1DKのマンションに引っ越したときは本当に嬉しくて嬉しくて仕方がなかったのを覚えています。
いい部屋に引っ越したらどうしても欲しかったのが丸テーブル。
今ではおしゃれな家具は簡単に手に入りますが30年前の状況では難しい話。
やっと手に入れた憧れの丸テーブルでコーヒーを飲みながらタバコを吸うのが最高の時でした。
今回ネットでふと見たこのソファー。
このソファーをどうしても院長室に置きたいと思ったことが院長室改造計画を考えたきっかけです。
でもやはり一番の悩みは 改造=大先生室崩壊 というイメージ。
これが解消されなければこの計画は空想となってしまう。

投稿者 yoshimoto : 07:23 AM | コメント (0)
February 21, 2008
院長室改造計画
以前にもお話しましたが院長室は実際には大先生が使用しているので“大先生室”と呼ぶのが正しいと思います。
6畳ほどのりっぱな部屋がありますが私の使用空間はパソコンを置いている半畳ほど。
私の机や書類は技工室の片隅。
もうほとんど大先生は医院には居ませんがでもこの大先生室を乗っ取るわけにはいかずもったいない空間となってしまっています。
大先生室が本当の意味での院長室になればこうしたいあーしたいと空想が膨らみます。
ここが技工室の院長室(・_・o)ン? (o・_・)ン?
椅子なんかガムテープで補強してますからね。

投稿者 yoshimoto : 07:14 AM | コメント (0)
February 15, 2008
バレンタインデーなんて大キライ(2)
気持ち的におもーい一日でした。
学生時代のトラウマでしょうか?
この日がなければいいのにという気持ちが今でも心に残っていて気持ち悪い一日でした。
義理チョコというのはもうなくなりましたねぇ。
昨日頂いた全てのチョコにはそれぞれの感謝の気持ちが込められていてうれしいものがあります。
歯が痛いのにしばらく我慢してわざわざこの日にアポイントをとってチョコを届けてくれた患者様までいて感謝の気持ちでいっぱいです。

投稿者 yoshimoto : 07:19 AM | コメント (0)
February 13, 2008
京都鈴虫寺
スッタフ・ナッチャンが京都旅行に行きお土産を頂きました。
金ゴマ・黒ゴマ入り生八橋。
これはおいしかったぁー。
そして鈴虫寺の幸せお守り。
京都の鈴虫寺の方向を向いて合掌して一つだけ願い事をするとかなえられるというお守りです。
一つだけと言われると難しいですが私にはどうしてもかなえて欲しい願いがありましたのでお守りを妻に譲りました。
妻の願い事がかないますように。

投稿者 yoshimoto : 07:24 AM | コメント (0)
February 09, 2008
院長室?
院長室の写真です。
と言っても私の居場所は手前のコンピューターの前だけ。
今座っている場所に座ることができません。
実際には大先生室と言った方が正解ですね。
大先生の椅子は立派な革張り。
私の椅子は数千円の通販商品。
革張りの椅子なんて変に沈んで座りにくい。やっぱりかたーい椅子のほうが馴染みます。
アーあ。

投稿者 yoshimoto : 07:21 AM | コメント (0)
February 08, 2008
めがねが曇る
この時期診療中にめがねが曇ってイライラするときがあります。
マスクをしているので息が全て目の方に上がってしまい曇ってしまうのです。
サージテル(治療用拡大鏡)を使用しているときは少しでもめがねのレンズが曇ると極端に見えづらくなり何度も外して拭きます。
もちろん曇り止めスプレーをかけているのですが完全な対策とはいきません。
そこで昨日からウルトラノーフォグマスクというマスクを購入し試しています。
写真でわかるかどうかわかりませんが鼻当ての部分に返しがついていて鼻からの息が目の方にいかずに分散されるという仕組みです。
昨日だけではどれだけ効果があったかわかりませんがとりあえず使用してみたいと思います。
当然ながらちょっとお高めのマスク。これで効果がなかったら腹立ちますよね。

投稿者 yoshimoto : 07:18 AM | コメント (0)
January 26, 2008
受付
受付の仕事はその会社や病院で一番初めに接する場所。
ここの対応が悪いとその先へ一歩踏み込む気がなくなってしまいます。
病院の場合は必ず悩みを持った人が訪れる場所。
私が違う病院を受診したとき私の言葉に対して必ず否定から入る受付は最低だと思うし二度と受診したくないと思います。
私の医院の受付はクマちゃんという受付秘書との出会いからドンドン私が理想とする対応がはじまりました。次のシロちゃん、エリザベスそして現在のノンちゃんへと受け継がれてきました。ただ受け継がれるだけでなくどんどん進化していっていることが院長として嬉しい限りです。
私がお世話になっている眼科クリニックの受付秘書様は私がそのクリニックを訪れるときいつも笑顔で迎えてくれ笑顔で送り出してくれます。
単なる笑顔ではなくできれば訪れたくない場所なのに心を和ましてくれる笑顔。
これって非常に難しいことですよね。
最終的には人間性の問題かな?
こんな男が受付に座っている病院には行きたくないですよね。
投稿者 yoshimoto : 07:13 AM | コメント (0)
January 23, 2008
会議
昨日は須磨区歯科医師会の理事会。
夜8時から10時までかかりました。
やっぱり診療後のこの時間の会議はしんどいです。
でも地域医療を行ううえでは私たち歯科医師会員に科せられた重要な義務ですのでがんばるしかないです。
須磨区歯科医師会の事務所は私の医院の2軒隣ですので近くて便利で助かります。

投稿者 yoshimoto : 07:31 AM | コメント (0)
January 22, 2008
サージテル(医療用拡大鏡)3
サージテル(医療用拡大鏡)を使用して2ヶ月あまり。
最初は先生何つけてんのって感じの目で見られていましたが最近では患者様のそういう視線を感じなくなりました。
特にエレベーターホールにポスターを掲示してからはこちらのやろうとしていることの意図がわかってもらえたみたいでよかったです。
いちいち患者様一人一人にこのサージテル(医療用拡大鏡)は・・・って説明できないですもんね。
でもこのポスターはサージテルではない他社のポスターなんですよ。
ないしょ

投稿者 yoshimoto : 07:18 AM | コメント (0)
January 21, 2008
リーディンググラス
リーディンググラスって言っても何かわからないですよね。
シニアグラスならわかるかな。
そう老眼鏡のことです。
なかなか老眼鏡を下さいって言いにくいものです。
目の手術後老眼鏡を次々と買い換えてきました。
はじめは+3.5からはじまり最近では目の状態も落ち着きプラス1.0を使用していました。
40代後半の平均度数が+1.5なのでまっ老眼鏡をすることは仕方がないことかな~ってあきらめています。
度数が安定するまでは東急ハンズで2000円の既製の老眼鏡(写真左)を購入してきましたが度数が安定してきたので昨日ちょっとはおしゃれな?フレームを購入し1.0のレンズを入れてもらいました。
でもやっぱり老眼鏡って抵抗ありますよね?
でも歳には勝てません。最近は運動するとすぐに腰にきてしまい以前のような激しい運動が困難になってきました。
くやしーです。

投稿者 yoshimoto : 07:25 AM | コメント (0)
January 19, 2008
不可能なことなのになぁ
あー疲れた。
昨日は精神的にぐったりの一日でした。
このブログでは絶対に患者様の個人的な話はできませんので抽象的な表現(奥歯に物の挟まった表現)しかできませんが
絶対に歯科医としてやってはいけない治療を要求されたり、また絶対に不可能な治療を要求をされる患者様がいることは残念ながら事実です。
もちろん丁寧に丁寧に優しく優しく説明をしますが絶対こうだと思い込んでいる患者様には焼け石に水。
どうしたらわかってもらえるのかなぁ~
もちろん要求を出した患者様もどうしたらわかってもらえるのかなぁ~って思っているのも事実。
お互いの接点はどこにあるのだろうか?
ストレスを吐き出しに夜のハーバーに行って熱い缶コーヒーを飲みながら星を眺めているとちっちゃなちっちゃな自分が余計に惨めになってしまいました。
投稿者 yoshimoto : 07:14 AM | コメント (0)
January 18, 2008
保健所検診
昨日午前の診療後須磨区保健所での3歳児検診へ。
70名ほどの3歳児の検診を行ってきました。
以前なら虫歯だらけのお子様が結構いましたが最近は虫歯のお子様は本当に少なくなりました。
いいことですねぇ。
検診後は妻の車の調子が悪いため東灘のDUOへ。
ここのコーヒーはおいしく何杯もいただきました。
最近では歯科医院でもコーヒーサービスを行っているところがあるとか・・・。
悪いことではないけど私の医院では考えられないのが現実。

投稿者 yoshimoto : 07:20 AM | コメント (0)
January 12, 2008
抜歯用器具
3ヶ月ほど前から今まで使ったことのない抜歯用器具を使用しています。
写真の上が今までのヘーベルという器具。
下がペリオトームという器具です。
見ての通り小さくて細くてちょっとでも力を加えると折れてしまいそうな器具です。
でもこの器具を使用しだしてから今までなら歯の周りの骨を削ってからでないと抜けないような残根(歯の頭の部分がなく根っこだけになった歯)の抜歯がびっくりするほど楽に簡単に行えるようになりました。
また骨破壊が少なく抜歯後のインプラントには最高に適しています。
この器具を使用しだしてからは抜歯の90%に使っています。
でもこの器具はまだまだ認知されておらず知り合いの先生に聞いても誰も知っている先生はいませんでした。
だから仲のいい先生にはこの器具を勧めています。
あまり仲のよくない先生には・・・・
投稿者 yoshimoto : 07:21 AM | コメント (0)
January 10, 2008
訪問診療
昨日診療後助手ナッチャンを連れて訪問診療に出かけました。
腰椎骨折のため動くことができないおばあちゃんの入れ歯を作るために。
訪問診療をするたびに思うのは歯の大切さ。
やはりちゃんと食べれないと体は回復しませんよね。
訪問診療先の階段にて
投稿者 yoshimoto : 07:13 AM | コメント (0)
January 05, 2008
仕事始め
今日から仕事再開です。
去年の年末28日に体を壊してから3日まで調子が悪くやっと昨日からまともに食事が取れるようになりました。
せっかくの休みが台無しでした。
気持ちを切り替えて
今年もがんばっていきますので宜しくお願い致します。
投稿者 yoshimoto : 07:05 AM | コメント (0)
January 01, 2008
新年
あけましておめでとうございます。
去年は初日の出の写真を撮り損ねたので今年こそと思いましたが残念ながら去年の年末に体調を壊してからまだよくならず今日もほとんど家で寝転がっていました。
それではまた明日。
早くよくならないかなぁ~。
投稿者 yoshimoto : 09:11 PM | コメント (0)
December 30, 2007
『見』・・今年を振り返って
今年一年を一文字で表すと
『見』
という漢字につきると思います。
よりよく見たい、診たい、観たい、看たい為に決心した近視矯正手術。
術後の精神的苦痛は想像を絶するものでした。
もう二度としたくないと思っていたのに少し落ち着くともっとよく見えるはずだと欲が出てくるのも人間の常、12月には左目の再手術。
極度の近視、乱視での今後の診療に不安があったため受けた手術。結果はまだ100%正解だったとは言える状況ではありませんが少なくとも受けてよかったと今は思っています。
船に乗ることは少なかったけどハーバーに行った回数は100回以上でしょうね。
今朝はどんより曇って風も強かった。
でもこの風景は心に優しく私にパワーを与えてくれました。
投稿者 yoshimoto : 07:33 AM | コメント (0)
December 28, 2007
結成式
ついに善本歯科医院チームドラゴン結成式を行いました。
といっても忘年会なんですが・・
スタッフにドラゴンのペンダントトップを渡し固い絆を約束しました。
決意新たなスタッフのりっぱな表情を見てやってください。
(・_・o)ン? (o・_・)ン? (o・_・o)ン?
まっ楽しくワイワイと食事をして今年を終えました。
12月28日から1月4日まで休診致します。

投稿者 yoshimoto : 07:10 AM | コメント (0)
December 27, 2007
今年も今日で・・・
今年の診療も今日で終わりです。
いつもの木曜日は午前中だけですが今日は午後も診療を行いその後スタッフとの忘年会です。
遠足は家に帰るまでが遠足・・・・
今日一日気を抜かずに事故の無いよう終えたいと思います。
入り口ドアのクリスマスの飾りつけも外し冬バージョンとなりました。

投稿者 yoshimoto : 07:24 AM | コメント (0)
December 26, 2007
サンタからの贈り物
プレゼントを渡した時のスタッフの嬉しそうな笑顔を見ると今年もご苦労様でしたって気分になります。
中身はたいしたものではないし高いものではありません。
でも素直に喜んでもらえて感激です。
このチームであと10年過ごせたら・・・
・・・・・いいのになぁ~♪ヽ(*^▽゜ *)ゞ^ ヾ☆

投稿者 yoshimoto : 07:19 AM | コメント (0)
December 25, 2007
サンタクロースは来ましたか?
昨日のクリスマスイブは皆さんどうでしたか?
やはり若い方には特別な日でしょうね。
我家にもサンタがやってきました。
そして善本歯科医院にもサンタがやってきたみたいです。
窓に並べられて置いているのはスタッフへのサンタからの贈り物かな?

投稿者 yoshimoto : 07:28 AM | コメント (0)
December 22, 2007
はやーい('-'*)オハヨ♪
今朝は6時10分出勤です。
早すぎます。
今日は11時30分頃には出なければならない用事があるため診療を8時から始めるため診療準備のため早く出勤してきました。
一年間に2~3回こういうことがありますが以前のスタッフチームだと遠慮して私だけ一人で8時から診療を行っていましたが今のスタッフチームだと “12月22日は8時から始めるからよろしく” の一言で誰一人文句言わずにきちっと対処してくれありがたいです。
ほんとにいいチームとして動いてくれて感謝です。
感謝の気持ちを込めていつもはしない朝の準備を今朝は私がしています。
ブログを書き終えたら残りの準備にかかります。
偉いでしょ??(・_・o)ン? (o・_・)ン? (o・_・o)ン?

投稿者 yoshimoto : 06:30 AM | コメント (0)
December 21, 2007
新しいカレンダー
今年の治療は27日の木曜日の午後で終わり年始は1月5日の土曜日から開始の予定です。
もう今年の診療も残すところ1週間をきりました。
院長室にはもう来年のカレンダーが飾られています。
裾がくるっと跳ね上がった真新しいカレンダーを飾ると本当に今年も終わりだなぁってつくづく思います。
残すところわずかとなりましたが気を引き締めていかなければ・・・
でもこの時期は患者様の“年末までになんとか”という要求が多くちょと精神的に疲れがピークを迎えてきています。
ユーエンの社長様今年もすばらしいカレンダーありがとうございました。

投稿者 yoshimoto : 07:30 AM | コメント (0)
December 20, 2007
ピアザ来院
あの凄いやつがまたやってきた。
そうピアザがきたぁ~。
♪⌒ヽ(*゜O゜)ノ スゴイッ!!!
盲導犬のピアザ君が昨日歯の治療に来ました。
もちろんご主人様のお供で。
ピアザ君のお仕事中に手を出すのはいけないとしりながらも頭をなでてしまいました。
大喜びでシッポを振っていました。
でもご主人様の治療が長いので不安になったのか何度もピーピーと声を出していました。
本当にかわいくて凄いやつです。

投稿者 yoshimoto : 07:22 AM | コメント (0)
December 19, 2007
虫歯ストラップ
何かわかりますか?
歯のストラップです。
なんと真っ黒に腐った虫歯の歯のストラップなんです。
クリスマスプレゼントに頂いちゃいました。
衛生士リカから・・・・
去年は歯型のメモクリップだったかなぁ。
携帯ストラップはもう女子高校生並みにえらいことになっています。
携帯よりもストラップのほうが重いかも。
投稿者 yoshimoto : 07:32 AM | コメント (0)
December 18, 2007
今年も届いたクリスマスカード
毎年クリスマスカードを送ってくれる衛生士(元実習生)がいます。
今年もいただきました。
5~6行の短いメッセージの中に元気そうにされてる姿が思い浮かびなんとなく嬉しくなってしまうクリスマスカードでした。
茉莉衛生士、毎年ありがと(^人^)♪

投稿者 yoshimoto : 07:25 AM | コメント (0)
December 14, 2007
見える世界の違い
同じものを見ているのにそのときの状況により違って見えることってありますよね。
はじめて大学6年のときに患者様の歯の治療をしたときドキドキ感よりもワクワクして嬉しくて楽しかったのを思い出します。
歯科医に一歩近づけたように思えて。
でもその後はそのような感情を抱くことなく過ごしてきましたが不思議ですが今あの頃の感情に似たものを感じています。
そうこのサージテルという治療用拡大鏡を使用しだしてから。
いい意味で本当に見える世界が違うんです。

投稿者 yoshimoto : 07:29 AM | コメント (0) | トラックバック
December 13, 2007
今年のクリスマスプレゼントは?
毎年恒例のスタッフへのクリスマスプレゼント。
結構これが悩みの種です。
プレゼントをする以上は喜んでもらいたい・・・さて喜んでもらえる物ってなんだろ?
それも6人に共通するもの?
(・_・o)ン? (o・_・)ン? (o・_・o)ン?
そんなのあるわけない。
去年はマフラーだったなぁ。
おととしはペンダントだっけ?
わすれたぁ。
今年はチームドラゴン結成を兼ねたプレゼントにすることにしました。
中身は25日以降のお楽しみ。
・・・・ってだーれも楽しみにしてないか・・・

投稿者 yoshimoto : 07:24 AM | コメント (0)
December 12, 2007
チームドラゴン・・隊長
チームドラゴン初代隊長に任命されました善本光広です。
隊長の証としてドラゴンリングを頂きました。
患者様の為にチーム医療を確立していきたいと思っております。
・・・・なぁ~んてねぇ。
昨日のブログを見てない人は見てから今日のブログを見て下さいね。
そうしないと意味不明になってしまいますから。
投稿者 yoshimoto : 07:21 AM | コメント (0)
December 11, 2007
チーム医療
チーム医療というととても高次元の医療と考えてしまいますが私達の小さな歯科医院はチーム医療なくしては今や成り立ちません。
10年以上前ならまだワンマンな院長のみで治療ができた時代がありましたが今はそれでは無理。
一人一人が役割分担を持ち、一人一人がスキルアップをしてはじめてチームとしての医療が成り立ちます。
善本歯科医院に私が戻ってきて21年になりますが過去最高の
“チーム・ヨシモト”
が今はできつつあります。
もちろんチームには完成品はなく貪欲にチーム作りを行っていきたいと思っています。
でもなぁ~、チーム・ヨシモトだとどうしてもお笑いチームみたいなんで
ネーミングはやっぱりかっこよく
“チームドラゴン”
にしよっかなぁ~。(´△`) えっ?

投稿者 yoshimoto : 07:35 AM | コメント (0)
December 10, 2007
サージテル(医療用拡大鏡)2
まだ使い始めて一週間にもならないので今後もずっと使っていけるかどうかはわかりませんが使用すべき道具であることは確かです。
使用経験者が口を揃えて言っている事が歯科医師であるなら使うべきである・・・と。
でも業者の話では買ってもお蔵入りすることがほとんどであると。
人は人。私が今後努力しこのすばらしい道具を使いこなせるようにならなければならないと今は思っております。
それではバチスタ手術を始めます・・なぁ~んてねぇ。
投稿者 yoshimoto : 07:15 AM | コメント (0)
December 08, 2007
サージテル(医療用拡大鏡)
ついに購入致しました。
医療用拡大鏡=サージテル=を・・・。
今週の火曜日から使用しております。
2.5倍の大きさで見ることができびっくりするような世界での治療っていう表現が一番正しいかも。
慣れるまで大変かと思っておりましたが昨日からは大分普通に使用できるようになりました。
・・・・が
患者様のほうが“なにっ”って顔をされています。
ご安心くださーい。
投稿者 yoshimoto : 07:16 AM | コメント (0)
December 01, 2007
医療用拡大鏡2・・サージテル
11月22日にお話しました新しい医療用拡大鏡・・サージテル・・のデモを昨日行っていただきました。
以前別の会社の医療用拡大鏡を試したときとは明らかに違いを感じました。
デモ中の写真を撮りたかったのですがあまりに夢中になってしまい忘れてしまいました。
LEDライト点けて2.5倍で口の中を見てびっくり。
今まで24年間見てきた世界と違っていました。
早速注文。
LEDライト付きが欲しかったんですが重くなるし値段が倍になってしまうので慣れるまではライトなしで使用してみます。
LEDライト付きサージテル

投稿者 yoshimoto : 07:03 AM | コメント (0)
November 24, 2007
海外医療品
最近よく見ているホームページがあります。
海外でしか手に入らない歯科材料、医薬品を代行輸入してくれる会社のホームページです。
この手の会社は数社あり何か新製品はないか常にチェックしています。
チェックというより海外の情勢を感じていると言った方がいいかも。
いまどうしても欲しい・・・というより使ってみたいのが新世代のボーングラフト材。
簡単に言いますと歯やインプラントの周りに骨がないときに骨を作ることができる人工骨です。
平均的にはこのボーングラフト材は0.5gで1万円ぐらいなんですがこの新世代とうたっている材料は4万円もするんです。
でもそれだけしっかりと確実に骨が再生できるなら使う価値がありますよね。
まだこれを使用した文献をみていないので調べてからゆっくり考えていきたいと思います。

投稿者 yoshimoto : 07:19 AM | コメント (0)
November 22, 2007
医療用拡大鏡
今年の7月6日のブログに医療用拡大鏡の話を載せましたが結局購入しませんでした。
どういう眼鏡かと言うとドラマ医龍2の手術の場面で坂口憲二がしている眼鏡です。
わかりましたか?
あの医療用拡大鏡は日本の歯科材料屋さんから出ているのと少し違いがあります。
どこが違うかというとサングラスで有名なオークリーとのコラボメガネなんです。
かっこいいですよね。
もちろん坂口憲二がつけているからかっこいいんですけどね。
(○`ε´○)
本当はかっこがいいとか悪いとかは二の次でなぜ日本で出ている医療用拡大鏡を購入しなかったかと言うと焦点距離が遠く、焦点深度が浅いために歯科治療に不向きだったからです。
でもこの海外物は焦点深度が深いと書いてあったので歯科治療に適しているかも?
また多くの歯科医師の絶賛の使用実体験が載っていてもう一度試してみたくなりました。

投稿者 yoshimoto : 07:17 AM | コメント (0)
November 21, 2007
そろそろ・・・Xmas
まだ11月ですが街はそろそろクリスマスの飾り付けが始まっていますね。
患者様との話の中にも
“なんとか今年中に終わらせましょうね”
・・という言葉が出るようになりました。
昨日の診療後待合室のドアの辺りでスタッフ全員がワイワイ言いながら何かをしていたのでちょっと覗いてみると我医院もクリスマスの飾り付けを。
中心になってしているのはやっぱり衛生士リカ。
飾り付けが終わったところで記念撮影。
(≧∇ノ■ゝハイ、チーズ♪
投稿者 yoshimoto : 07:14 AM | コメント (0)
November 20, 2007
練習方法
新しい治療手法を行うときはもちろんすぐに患者様に行えるわけがありません。
何度も講習会に通いそして模型を使っての技術の習得を行います。
練習用の模型も結構値段が高いのでその模型が跡形もなくなるくらい切り刻んだり削ったりしてとことん使用します。
もちろん抜歯した歯もよく使用します。
それとこれを言うとちょっと引かれる方もいらっしゃるかもしれませんが豚の顎を使用することもよくあります。
いまテレビドラマで医龍というのが放映されていますがそこで新人の先生が牛の心臓を使って練習をする場面があります。
またイメージトレーニングをしたりスタッフで手術のシミュレーションをしたり・・・・
実際に患者様に行うまでにはスッタフ全員が理解、習得を繰り返し行っています。
この練習用模型もこれからいろいろな手技の練習に使われていきます。
投稿者 yoshimoto : 07:17 AM | コメント (0)
November 19, 2007
インプラント講習会
今回の講習会は大変私にとっては有意義な内容でした。
今の時代インプラントを入れるというこに関して論じる段階ではなくいかに審美的に問題なく行えるか・・・
すなわちできるだけ自然な歯と思えるようにできるかということが重要課題となっています。
内容に関しては専門的な話なのでやめておきますがこの手の講習会は何度も受けてきましたが今回の内容はよりシンプルでかつ確実に行える方法だと思いました。
講習会中の写真はやっぱり撮れなかった。
携帯のシャッター音は結構うるさくて静かな場所では恥ずかしくて撮れないですよね。
盗撮防止の為にシャッター音を消せないようになっているみたいですね。

投稿者 yoshimoto : 07:17 AM | コメント (0)
November 18, 2007
インプラント講習会
昨日、今日と新大阪で行われているインプラント講習会に来ています。
また何か新しい手法を勉強して帰りたいと思っています。
いろいろな学会や講習会に参加しいろいろな年齢層の先生方と接していつも思うことがあります。
学校という場での勉強は24歳で終わりましたがその後も勉強は続けていかなければならないことの大切さを・・・・。
勉強を止めてしまった時点で歯科医はおしまい。
今まだ48歳ですがもっともっと勉強していればよかったとつくづく思います。
だからこれからもやめることなく勉強を続けていきます。
と言ってもかっこつけてるわけでなく元来怠け者の自分を一番知っているので自分自身にはっぱをかけないと楽なほうへ楽なほうへ行ってしまいそうで・・・。
講習会中の写真が撮れなかったので講習会が行われているホテルの外観の写真を撮りました。
こんなにいい天気なのに今日もここで閉じこもり。

投稿者 yoshimoto : 07:16 AM | コメント (0)
November 17, 2007
さぶ~
今日は寒い。
というより一日一日寒くなっていくのがつらい。
夏大好きな私はこれから3月までの寒い間のことを考えると悲しいくて悲しくて・・・。
なにか冬が待ち遠しくなるようなことはないですかね。
スクラブ白衣の下にTシャツを着ていたんですが今日から7分袖のロンティーに変えました。
ちょっとはこれで暖かいかな?
でも間違っても
“先生、下着が出てる”
って突っ込まないで下さいねぇ。
投稿者 yoshimoto : 07:14 AM | コメント (0)
November 16, 2007
ゴム手袋(2)
一日中指にフィットしたゴムの手袋をつけているのはかなりストレスを感じます。
外したときの解放感はなんとも言えません。
左の手袋と右の手袋の違いがわかりますか?
指のところを見てください・・・
左の手袋は皺状になっていますよね。
今までの手袋だとゴムの力で手のひらが縮こまり指が常に曲がった状態で伸ばすのにかなりの抵抗を感じていましたがこの指の部分が皺状になった手袋だと指の折り曲げが抵抗なくできます。
長い時間使用していても疲れにくくなりました。
・・と言ってもちょっとマニアックで普通の方にはわからないですよね。
投稿者 yoshimoto : 07:19 AM | コメント (0)
November 15, 2007
ゴム手袋
22年前に大阪で勤務していた時から私はゴム手袋をして治療を行っていました。
当時歯科医師が治療中にゴム手袋をするという今では当たり前の習慣がありませんでした。
感染性のある患者様を治療するときだけに限られていました。
一緒に勤務していた他の先生方は当然のように手袋をせずに素手で治療に当たっていました。
その当時いつものようにゴム手袋をして治療をおこなっているとある患者様にこんなことを言われました。
“私は汚いのですか?”・・・・と。
時は流れ今ではゴム手袋をしないで治療を行うと
“汚い手で口の中に入れないで下さい”
って言われることもあるそうです。(うちの話ではありませんが)
意識の変化って恐ろしいですね。
常識という観点が180度も変わってしまうのですから。
投稿者 yoshimoto : 07:17 AM | コメント (0)
November 14, 2007
簡単、安心、便利
歯科で使う薬はいろいろとあります。
薬瓶入れに入れていつでも使用できる状態にしているのが6種類。
でも使用するのには結構めんどくさい面がありました。
薬瓶から薬を移し使用する。
でも実際の使用量はほんのわずかでいいのに必要量の10倍近く出してしまうこともしばしば。
そこで今回一回押すと一滴出てくる薬瓶を購入しました。
これは便利。
しかも薬の受皿はその都度交換滅菌ができるので安心。
もっと早くにこんな便利なものがあるのを知っていればよかったのに・・・。
一番左が従来の薬瓶
投稿者 yoshimoto : 07:22 AM | コメント (0)
November 07, 2007
セキュリティソフト
ここ数日はパソコンに振り回されていました。
セキュリティソフトのバージョンアップを2週間前に行ってから日に日にパソコンが使いにくくなってしまいました。
スタートアップに登録していたソフトが自動で立ち上がらなくなっていきついにインターンネットへの接続も手動で行わなければならないし一番困ったのはCD・DVDドライブが認識されずに使用不能に・・。
どうしようもない状態に。
でもWindowsXPはこういうときに便利ですね。以前の正常な状態で作動していた日に戻すことができる機能がついているので。
何とかもとの状態に戻しもう一度セキュリティソフトをインストール。今度はセキュリティソフトを自分用にカスタマイズし終了。
今日は問題なくパソコンは動いています。
ウイルスなんて馬鹿なことをするやつがいなければこんなソフト必要ないのに。
でもこのソフトがないと今の世の中心配でインターネットできませんよね。

投稿者 yoshimoto : 07:03 AM | コメント (0)
November 06, 2007
アニメーションソフト
インプラントアニメーションソフトを各診療台のコンピューターにインストールしました。
インプラントの説明には模型を使ったり絵を使用したりしながら行ってきましたがもう一つ患者様に理解しがたいようでした。
そこで簡単で分かりやすいアニメーションソフトを探していたところやっと発見。
さっそく購入しました。
インプラントの説明をするのが破格に楽になり患者様にも分かりやすいと好評です。
アニメーションソフトから抜粋

投稿者 yoshimoto : 07:17 AM | コメント (0)
November 03, 2007
みんなで焼肉
受付イワオの正社員決定、助手ナッチャンの就職一年記念、実習生への指導打ち上げ記念と称して昨日はチームヨシモト皆で焼肉に行きました。
まーよく食べる食べる。
いきなりビビンバ、ライスを注文してご飯を食べながら焼肉をバクバク。
喉仏と大動脈といったかわったのも食べました。
やっぱり仲間意識のたかいスタッフと食事をするのは楽しいですね。
いつまでもチームでいたいですね。
手前に本当は美人がもう二人いまーす。

投稿者 yoshimoto : 08:07 AM | コメント (0)
November 02, 2007
プリンター
善本歯科医院にはプリンターが5台あります。
用途と設置場所に合わせて購入するうちに5台にもなってしまいました。
でもプリンターはよく壊れます。
どうしてこんなに壊れるのかと不思議です。
壊れると修理に出している期間、仕事に支障が出るので結局新しいのを購入してしまいます。
院長室と受付のプリンターが一台ずつ壊れてしまい仕方なくまた新しいのを購入しました。
しかし新しいのを買うたびに思いますが安くて高性能になってきていますよね。
修理するより買ったほうが安いかもね。

投稿者 yoshimoto : 07:18 AM | コメント (0)
November 01, 2007
教え子たち
兵庫歯科学院の実習受け入れ先である善本歯科医院は7月に3名、9月に2名そして10月に2名の衛生士の卵の臨床実習を行ってきました。
学生の間では実習先が善本歯科医院に決まると学生はがっかりするそうです。
なぜなら厳しくて有名だからです。
なぜ厳しく接するかはもちろん生半可な気持ちで中途半端に患者様に接してもらっては困るからです。
10月の実習生も何度泣かしたことか・・・。
でも皆私の指導について来てくれて(本当はついてくるしか仕方がないんですが)一人一人悩み苦しみ努力を重ね一ヶ月もすると衛生士の仕事の大切さを理解し生き生きした目で実習が出来るようになるまで成長しています。
毎年若い人達の吸収の早さとみなぎる力に接するといつも歳をとって悟りきった態度を取っている自分の小ささを痛感しもっともっと前向きに幾つになっても前進していこうと思います。
実習生に教えるというより教えられることの方が多いかも・・・・。
実習の最後の日はいつも学生にランチをご馳走(?)しています。
ランチをご馳走することできつく接したことを少しでも許してもらえているかな???
実習に来られた7名の学生へ
みんなすごく成長されましたね。成長したことを自分自身が一番よくわかっていると思います。
善本歯科医院での一ヶ月がこれからの衛生士として仕事をしていく上で少しでもなにかの役に立てれば光栄です。
これからは嫌かもしれませんが実習生ではなく私の教え子。なにか悩みがあったらいつでも私そしてうちのスタッフが対応しますので遠慮せずに遊びに来てください。
実習中のように
“自分で考えろ”
なんて馬鹿なことは言わないから。
チームヨシモトのメンバーだよ。
泣き虫フジモトへ
あの日を境にしての君の成長振りにはびっくりしました。もう悔し涙は流したくないよね。
古・タ・ニへ
まったくゼロからのスタートだったのにも係わらず遠慮しない私の指導によく我慢したね。
二人ともの最後までやり遂げたという笑顔を・・・その笑顔を忘れずに。

投稿者 yoshimoto : 07:22 AM | コメント (0)
October 31, 2007
神戸ビエンナーレ2007・・参加
ビエンナーレは現代アートから伝統芸術、伝統文化、デザイン、ファッションなどの発表の場であります。
そこで私もアーティストとして参加してきました。
と言っても缶バッチ作成コーナーでオリジナル缶バッチを作ってきただけですが(;´д`)トホホ
善本歯科医院スタッフバッチとして作成するつもりでしたが馬鹿馬鹿しくなって一つだけ作りました。
またこれも受付に置いていますので見つけてください。
非売品です。

投稿者 yoshimoto : 07:13 AM | コメント (0)
October 17, 2007
須磨区歯科医師会例会
今日は午後1時30分から3時まで須磨区歯科医師会例会が開催されるため午後の診療は2時からではなく3時30分からとさせていただきます。
本日の例会で保険に関して30分ほど講演をしなければいけないので朝から慣れないスーツでの出勤となりました。
幾つになってもスーツを着ると気恥ずかしさがあります。
本当に慣れない服装は肩が懲ります。
今日しゃべる予定の原稿がまだ出来ていないので今朝はいつもより早く仕事場に来ました。
これから原稿をまとめます。
医院の近くの駐車場にて・・
ここの駐車場は1分5円と良心的ですし上限が1000円ですのでお勧めですよ。
詳しくはHPのアクセス・交通のところを見てください。

投稿者 yoshimoto : 07:02 AM | コメント (0)
October 16, 2007
掲示物(2)
全ての掲示物のラミネート加工が終わりました。
特に受付下の掲示物がよれよれで気になっていましたがごらんの通りすっきりです。
これからは掲示物に関してももっと気を使いこまめにチェックをしていきたいと思っております。
投稿者 yoshimoto : 07:06 AM | コメント (0)
October 15, 2007
掲示物
医院の壁にはいろいろな掲示物が貼ってあります。
パソコンで出来るだけ見やすく分かりやすく作成し掲示するも数が増えるし古いものは色あせて破けるし・・・
あらためて待合室に座って眺めてみると汚いし読む気がしないだろうなぁーって思いました。
そこで以前から気になっていた紙をラミネート加工できる器械を購入し掲示物の整理を行っています。
なんでこんな便利で簡単そしてコストがかからないのを早く購入しなかったのかな?
これは必需品ですよね。

投稿者 yoshimoto : 07:41 AM | コメント (0)
October 13, 2007
生体用シリコンを使用した入れ歯(2)
この入れ歯に関しての問い合わせが結構ありびっくりしております。
それだけ悩んでおられる方が多いということでしょうが一つだけ注意点を書いておきます。
まずはきちっとした入れ歯を作り調整を行いそれからこのシリコンを使用するということです。
まったくあっていない入れ歯にこれを施しても意味がありません。
しっかりと主治医と相談されてから受けてくださいね。
裏面全てがゴム状のシリコンを使用しています。

投稿者 yoshimoto : 06:59 AM | コメント (0)
October 12, 2007
生体用シリコンを使用した入れ歯
コンフォートという入れ歯を始めました。
コンフォートは、硬い入れ歯の裏面を生体用シリコーンというクッションで覆う、全く新しい入れ歯の技術です。生体用シリコーンの弾性が、入れ歯でグッと噛んだときの歯ぐきにかかる負担をやわらげ、驚くほどの吸着力を発揮するというものです。
残念ながら保険適応ではなく自費診療となります。
実際コンフォートを使用した入れ歯を受付に置いておりますので手にとってご確認下さい。
詳しくはこちらまで。

投稿者 yoshimoto : 07:22 AM | コメント (0)
October 10, 2007
サーファーカエル
またまた私のそっくりさん人形を頂きました。
もちろん今回も医院の受付に置いています。
今度来院されるときどこにあるか探してみてください。
なんともいえないいい味だしてますねぇ。(・_・o)ン?
投稿者 yoshimoto : 07:21 AM | コメント (0)
October 05, 2007
足の怪我(4)
さーて今日からビーチサンダルはやめて右足も靴を履いて仕事をします。
まだ普段は靴を履くことが出来ませんが診療中はそんなに歩かないのでなんとか大丈夫です。
足のサイズは24.5cmなのになぜか買う靴のサイズはいつも26cm。
でもこういうときにはゆるゆるの靴は助かります。
(・_・o)ン? (o・_・)ン? (o・_・o)ン?

投稿者 yoshimoto : 07:27 AM | コメント (0)
October 04, 2007
博多へ・・おまけ
今回の博多での学会はいろいろと新しい情報を聞くことができ大変有意義でした。
さっそく臨床に役立てていきたいと思っております。
さて博多土産と言えば辛子明太子。
そしてひよこ饅頭。
でもひよこ饅頭は東京土産でもあるんですよね?
なぜですかね?
そして今回びっくりしたのが九州新幹線・つばめ。
どこからどこまで走ってるのかなぁ?

投稿者 yoshimoto : 07:28 AM | コメント (0)
October 03, 2007
博多へ(4)
30日・日曜日の学会へは当然スーツを着て出席。
でも靴は革靴ではなくサンダル。
どうみても異様なのに誰も足のことを聞いてくれない。
ふざけたやつって思われたかなぁ?
ネットで頼んですぐに届いたビルケンのサンダルには大変感謝しています。
本当にこのサンダルのおかげで問題なく歩くことができたし疲れることがなかったです。
定価9800円のサンダルなんて買おうとは普通なら思わないけどでも高いだけのことはありました。
もちろん以前お話したようにお店の感謝セールに当選したのでタダでしたが。

投稿者 yoshimoto : 07:21 AM | コメント (0)
October 02, 2007
博多へ(3)
9月30日の学会中、妻は一人で博多の町を探索。
初めての博多を楽しんだそうです。
そこで足を怪我したカエル人形を見つけて私にそっくりだとプレゼントしてくれました。
医院の受付に置いていますので、皆さん探してみてくださいねぇ。
投稿者 yoshimoto : 07:23 AM | コメント (0)
September 30, 2007
博多へ
昨日診療後に

インプラント学会の為

へ行ってきました。
投稿者 yoshimoto : 09:10 PM | コメント (0)
September 29, 2007
足の怪我(3)
足の指を怪我してから6日がたちますがまだまだ靴を履いて歩ける状態ではありません。
今日は診療後、学会のため福岡に行きます。
今履いているサンダルでは歩くとかなり疲れるのでいいサンダルを買おうと木曜日に三宮に出たんですが季節がらどの店も店頭からはサンダルが消えていました。
しかたなく今日の福岡行きには間に合わないかもしれないけどネットで探しビルケンのサンダルを注文しました。
すると昨日の午前中に以下のメールが届きました。
【Z-CRAFT 楽天市場店】です。
この度は当店をご利用くださりありがとうございます。
突然ですがおめでとうございます!!
お客様が見事、当店の決算太っ腹企画【100人中2人がタダ!!】
に当選致しました!
これは、当店でお買い物頂いたお客様100人様毎にお2人が
お買上代金タダ!になっちゃうというものなんです。
今回ご注文を頂いた商品は【本日発送】となります。
えー(・_・o)ン? (o・_・)ン? (o・_・o)ン?
詐欺メールかと疑いました。
7000円の商品がまったくのタダ。
もちろん送料もすべてタダ。
なんか足の痛みが飛んじゃうほど嬉しかったです。
単純ですが。♪ヽ(*^▽゜ *)ゞ^ ヾ☆
あとは今日の午前中に届けばいうことなしです。
これだと中指に負担がかからないかなぁって思い・・

投稿者 yoshimoto : 06:47 AM | コメント (0)
September 28, 2007
実習生
毎年7月・9月・10月には衛生士学校から実習生が臨床実習に来ます。
もう30年以上続いていると思います。
善本歯科医院は実習先の医院では嫌われ者です。
院長が器具を実習生に投げつける
という噂がずっとながれています。
噂って怖いもので一度も投げたことないしもし投げて怪我でもさせたら大変なことになりますよね。
そんな馬鹿な先生なんていませんよ。
でも怖がられる理由はわかります。それは自分で考えて行動させるからです。
いつも学生に言うことは、
青信号になったらどうする?
黄色の信号になったらどうする?
赤信号になったらどうする?
いちいち近くにいる人に渡っていいですかって聞くか?
自分で判断をして青信号でも渡らないときがあるし赤でも渡ることがある。
きちっと状況を判断して臨機応変に対応することが一番大切。
いつまでも幼稚園児のような行動をとっていたらだめだ。
って感じで接しています。
やっぱりこれって怖いですかね?
一年に3ヶ月しか使用しない実習生専用のロッカーも用意しています。
投稿者 yoshimoto : 07:26 AM | コメント (0)
September 27, 2007
記録を残す
何事においても記録を残すことは大切なこと。
年金問題でもそうですがずさんな管理をするとあとで大変なことになってしまいます。
医療現場では特にそうです。
どんなことでも記録として残す。
そのためにはいろいろな機器を使用することが大切だと思います。
インターネットウェブ用カメラ(6千円程度)を使用すれば簡単に動画だって残すことが出来ます。
例えば顎の関節がおかしくなり口がうまく開かない患者様の口の開け閉めを動画として残し治療毎に記録すれば明らかに違いを視覚で認識できるようになります。
言葉だけで訴える治療にはやはり限界があります。
できるだけ視覚を利用することは大切だなと最近特に思うようになりました。
一円の領収書を添付するってことは常識。当たり前。
添付せずに請求することは脱税。犯罪者。
記録を残さないことイコール不正と思われることも常識。当たり前。
硬い頭では今の世の中生きてはいけませんね。

投稿者 yoshimoto : 07:23 AM | コメント (0)
September 26, 2007
足の怪我(2)
足の怪我の痛みがまだ激しくまだ若干出血するため少し不安になりレントゲンを撮ってみました。
もしかして指が骨折しているのではないかと思い・・・
これが指のレントゲン写真です。
見た方も少ないとは思いますが骨折はしていないみたいです。
よかった。
今日もビーチサンダルで失礼します。

投稿者 yoshimoto : 07:32 AM | コメント (0)
September 25, 2007
足の怪我
日曜日の夜に右足中指を怪我してしまいました。
深く切ったみたいでなかなか出血がおさまらず朝になっても止まらないので救急病院へ。
なんとか出血は止まったもののずっと激痛があるため鎮痛剤で抑えています。
今朝は車で出勤してきましたが歩くとズキンズキンと拍動痛がして・・・
今日からしばらくは靴が履けないのでこんな格好で失礼させていただきます。

投稿者 yoshimoto : 07:17 AM | コメント (0)
September 15, 2007
今までとは違うインプラント
2週間ほど前にバイコン社製のインプラントの講習会へ行ってきました。
今日のタイトル通り今までとは少し発想が違います。
その発想の違いの
一つ目は長さ5.8mmというきわめて短いインプラントが使用できる。
すなわちあまり深く骨を削らずにすむということです。
ちなみに通常で一番短いのが8mmです。
二つ目は骨の中に入れるインプラント体とその上部構造とは通常ネジで留めるのですがバイコン社製のインプランとはネジを一切使用しません。
その為の利点はネジ留め部分の強度が弱くその部分で破折する危険性があったのがその心配がなくなるのとちょっと難しいかも知れませんが咬合高径の短いケースでも気にせずにインプラントができる。
この二点は今までのインプラントの欠点をカバーするものです。まだ当医院での導入はしておりませんがいろいろともう少し勉強してみて考えていきたいと思っております。
勝手にバイコン社のHPから絵を抜粋してきてしまいました。
ごめんなさい。

投稿者 yoshimoto : 06:59 AM | コメント (0)
September 14, 2007
口腔内カメラ(7)
この位置の虫歯を説明するのは本当にお手上げでした。
これは上の歯の一番奥の奥側の根元の虫歯です。
ハブラシも届きにくいところです。
治療器具も届きにくい難しい位置です。
ハッキリと虫歯ってわかりますよね?
投稿者 yoshimoto : 07:33 AM | コメント (0)
September 13, 2007
口腔内カメラ(6)
昨日の写真で矢印で示した部分を少し削ってもう一度写真を撮ってみました。
どうですか?
わかりますよね(・_・o)ン? (o・_・)ン? (o・_・o)ン?
隠れていた虫歯の黒い部分が現れてきました。
昨日と今日の写真を示すことで患者様も100%納得していただいて帰っていかれます。
もちろん信頼関係が出来ていればここまでしなくてもいいのかもしれませんが・・・
しかし信頼関係を崩さないためにも口腔内写真は出来るだけ活用していきたいと思っております。

投稿者 yoshimoto : 07:15 AM | コメント (0)
September 12, 2007
口腔内カメラ(5)
今日の写真は口腔内カメラで上の真ん中の歯を裏から撮った写真です。
矢印で示した部分の色が少し黒いのがわかりますか?
ブログの写真はどうしても小さくなってわかりずらいかもしれませんがなんとなく黒いのがわかってもらえると思います。
この虫歯が患者様に一番説明しづらい虫歯です。
大きく欠けているわけでもないし裏なので鏡で見てもらうわけにもいかずレントゲンでもはっきり写らない。
こういう虫歯を削るときはどうしても不信そうな顔をされます。しかたがないですが。
でもこうして写真で撮って説明すると少し納得してもらえます。
そしてさらにこのあともう一枚写真を撮るともっと納得してもらえます。
その写真は明日・・・・

投稿者 yoshimoto : 07:24 AM | コメント (0)
September 11, 2007
口腔内カメラ(4)
130万画素の口腔内カメラを購入致しました。
デモ品をしばらく使用していましたが鏡で見えないところや小さな虫歯を写真で撮って説明するとよくわかっていただけて好評だったので。
各診療台のところに青く光る物が置いてあります。これがカメラで撮った写真を無線でパソコンに送るときの受信機です。
今度診察に来られたときに探してみてください。
投稿者 yoshimoto : 07:16 AM | コメント (0)
September 10, 2007
長良川鵜飼
須磨区歯科医師会の親睦旅行で岐阜の長良川鵜飼を見に行ってきました。
テレビで見て知っていた鵜飼のイメージとはかけ離れていました。
もちろんそれなりに楽しみましたが鵜が鮎を取って鵜匠があゆを取り出すところを間近に見れるのかと思っていましたが鵜すら確認するのが難しくほんとうに雰囲気だけでした。
こんな感じでよくは見えませんでした

長良川鵜飼のHPから抜粋した文章を載せておきます。
戦国のロマンを今も感じさせる金華山と山頂にそびえる岐阜城を背景に、漆黒の闇の中、赤々と燃える篝火を川面に映し川を下りながら、鵜匠と鵜が一体となって繰り広げる古典漁法「鵜飼」は、現在を忘れ千古の昔にタイムスリップしたような幽玄の世界へと誘います。
鵜飼は漁師が鵜を遣い魚を捕える漁法で、およそ1300年ほど前から行われていました。伝統漁法を今に伝える鵜匠は世襲で受け継がれ、長良川には現在6人います。正式な職名は宮内庁式部職鵜匠といい、長良川の鵜飼用具一式122点は、国の重要有形民俗文化財に、長良川鵜飼漁法は岐阜市重要無形民俗文化財に指定されています。
鵜飼の圧巻「総がらみ」は、6艘の鵜舟が横一列になり、浅瀬に鮎を追い込み巻き狩りをする漁法のことで、「ホウホウ」とかけ声をかける鵜匠と、鵜、そして鵜舟が一体となって鮎を追い、鵜飼はクライマックスを迎えます。
投稿者 yoshimoto : 07:12 AM | コメント (0)
September 09, 2007
鵜飼

で

に行って今(午後6時)帰ってきました。
詳しくはまた明日。
投稿者 yoshimoto : 06:23 PM | コメント (0)
September 04, 2007
接客ー考えさせられますー(3)
今までに経験したことが無いこと聞いたことが無いことは全て
“信じられない”
“信じがたい”
と判断してしまうことはありがちです。
ここでもうすでに聞く耳を持っていないことになりますのでこういう担当者といくらしゃべっても無駄な時間を過ごすだけ、さらに嫌な思いが増すだけです。
でも今回の件で考えさせられたのが私の日常の診療ではいたってよくあることなんです。
例えば下のレントゲン写真。
大変きれいな歯で虫歯はありません。でも4番目か5番目当たりの歯に痛みを感じると訴えてこられました。
それも私の医院に来られる前に他の医院を受診され“気のせいだ”と言われたそうです。
こういうケースって結構あるんですよ。
正直“気のせいです”と言えるなら言いたいところですが残念ながらそう言う勇気もなくいろいろと治療を試して見ます。
それでも駄目なときはセカンドオピニオンを進めます。
とにかく聞く耳を持つことが一番大事だと思います。
私も人間ですのでその日の調子で軽はずみな表現をしてしまう事が多々ありますがちょっだけでいいですから許してくださいね。
※このレントゲンは患者様の承諾を得て掲載しております。

投稿者 yoshimoto : 07:20 AM | コメント (0)
September 01, 2007
口腔内カメラ(3)
口腔内カメラで撮った右上の2番目と3番目の歯です。
歯の根元の部分が虫歯で黒くなっていたので削って歯と同じような色をしたレジンというのを詰めています。
どこに詰めたかわかりますか?
カメラの性能が悪いから詰めたのが分からないのではないですよ。
(・_・o)ン? (o・_・)ン? (o・_・o)ン?
腕がいいからですよ?????
本当は材料が進歩したからです。
この程度はどこの歯医者で治療をしても同じ結果になります。
鏡では説明しづらかった歯の裏の部分の治療前、治療後の写真を撮れば患者様もかなり理解しやすいですよね。
そのためにももっと解像度の高いカメラが欲しいです。
解像度が高ければ高いほど手が抜けなくなりますがね・・・・(´△`)

投稿者 yoshimoto : 06:53 AM | コメント (0)
August 31, 2007
口腔内カメラ(2)
60万画素と130万画素の画像を比較してみてください。
違いがわかりますか?
私の目ではやはりかなりの違いを感じます。
ちなみに高級一眼レフ(1000万画素以上)のカメラよりもはるかに高い値段です。
そりゃこんなに高くて画像が悪いんじゃなかなか普及しませんよね。
でも130万画素は業界一なんですよ。
60万画素の画像

130万画素の画像

投稿者 yoshimoto : 07:28 AM | コメント (0)
August 30, 2007
口腔内カメラ
口腔内カメラを知り合いの先生からお借りして試しています。
60万画素程度しかないのでやはりもう一つって感じです。
昔ならまだしも今の患者様の眼は映像に関してかなりシビアであるのでこの程度の画像で納得してもらえるかどうか心配です。
カメラの先端に光源があり暗い口の中でも照明を当てることなく撮影が出来ます。

投稿者 yoshimoto : 05:49 PM | コメント (0)
August 25, 2007
歯学部学生の喫煙率
将来医療、保健の専門家を目指す学生の喫煙率を調べたところ、歯学部生は男性62%、女性35%で最も高く、患者の喫煙に関しても比較的寛容であることが、厚生労働省研究班の調査で分かりました。また、女性に限定すると全学部で全国平均を上回っていました。喫煙は歯周病を発症、悪化させる危険因子としても知られています。
林謙治・国立保健医療科学院次長は「将来患者を指導する立場として、学生のうちから喫煙の影響についてしっかり学ぶ必要がある」としています。
でも実際にはこの問題は難しいですね。
まず大学に入ればたばこを吸ってもいいと勘違いしています。大学に入る歳は18歳(浪人しなければ)なのに当たり前のようにまた誰からもとがめられることなく吸っています。
そして吸う事がやっぱりカッコイイと思っています。
テレビドラマや映画を見ているとタバコをくゆらすシーンは味がありますよね。でもテレビやスクリーンからは匂いや煙は出てこないからあの臭さが伝わってきません。
でもなぜ歯学部の学生の喫煙率が高いのかな?
喫煙率が高いイコール健康に関しての認識が低いととらわれてしまい歯学部の程度が低いと思われるのはしゃくですねぇ。
タバコはやめましょう。

投稿者 yoshimoto : 06:50 AM | コメント (0)
August 18, 2007
おとついから48歳
今年もスタッフから誕生日プレゼントを頂きました。
DIESELのTシャツとソックス。
早速スタッフルームで着替えて記念撮影。
いいでしょ?(^○^)
かっこいいでしょ(・_・o)ン? (o・_・)ン?
こんなわがままな院長に毎年ありがとうございます。
また来年も・・・・
ちなみに“一昨日”を“おとつい”って読みますか?それとも“おととい”って読みますか。
正式には“おととい”です。
でも関西の人は“おとつい”と言っています。
語源を調べるとおとついが正解でそのあと訛っておとといになり訛ったおとといが正式な言い方になったそうです。

投稿者 yoshimoto : 07:00 AM | コメント (0)
August 05, 2007
いい結婚式でした
善本歯科医院元受付エリザベス、ご結婚おめでとう。
久しぶりに感動したいい結婚式と披露宴でした。
本当にすばらしい両親、姉妹の愛を受けて育てられたのがよくわかりました。
私も20歳の娘を持つ親、ずっと泣きっぱなしだった新婦の父の気持ちが痛いほどわかってもらい泣きしてしまいました。
私のスピーチもなかなかでしたよねぇ?
やっぱりちょっと長かったけどね・・・
きれいなウエディング衣装。最高に似合っていました。
きれかったよ、木村!!

投稿者 yoshimoto : 07:20 AM | コメント (2)
August 04, 2007
元受付秘書エリザベス結婚
このタイトルだけを知らない人が見ればどこの外人さんの結婚かと思われると思いますが、有名外人ではなく
単に善本歯科医院元受付自称襟座部酢ですので・・。
本日の午後3時から挙式、4時から披露宴ですがスタッフ全員招待を受けておりスタッフも挙式前に美容院に行くため(イカンデモエエノニ)本日診療を10時30分で終わる予定です。
8時から診療を始めるため6時から今日は出てきています。
スピーチの原稿(写真)出来ましたが原稿を読めば5分ですがしゃべると10分ぐらいかかりそう。
くれぐれも5分でお願いしますと言われているのにどうしよ。
やったもん勝ちっということでいいでしょ?
ねぇ・・・・(・_・o)ン? (o・_・)ン? (o・_・o)ン?
まだ暗記していないので早く覚えないと。

投稿者 yoshimoto : 06:24 AM | コメント (0)
July 28, 2007
来週土曜日は・・
来週の土曜日は元スタッフの結婚式の為診療時間を変更いたします。
8時~10時30分まで
と致しますの宜しくお願い致します。
さーてもちろんの事結婚式ではスピーチを頼まれております。
皆様はどうかわかりませんが私はこれがなんといっても楽しみです。
なぜか昔から人前で演説(?)するのが好きです。
妻が言うには善本家の血筋だと・・・。
親父もスピーチが大好きだしうまいですね。
でも原稿を書くのがなかなかエンジンがかからないのも常です。
この一ヶ月間で書いたのはたった3行。
そろそろ頭の中の構想を字にしていかねば。
20分ぐらいはしゃべってやろっと

投稿者 yoshimoto : 06:06 AM | コメント (0)
July 27, 2007
ゴミ問題
今年の5月9日のブログで書きましたように事業所から出るゴミは全て有料化となりました。
ゴミ袋一枚が84円します。安いゴミ袋なら一枚10円ぐらいで買えることを考えると高いイメージがあります。
しかし環境問題等を考えて決まったこと従うしかありませんしきちっと善本歯科医院でも決められたゴミ袋を使用しております。
が・・・必ず守らない人が出てくるのが世の常。
私のテナントビルのゴミ入れは他からの不法投棄を防ぐために鍵が掛けられておりゴミを出すときは鍵を開けそして出し終わると閉めます。
ということはこのゴミ入れに指定のゴミ袋以外で投棄すれば明らかにこのテナントの誰かということになります。
厄介なのはゴミ収集の方も指定ゴミ袋以外のゴミの収集が出来ないのでどんどんこのゴミ入れにゴミが溜まっていく一方。しまいにいっぱいになり私たちの正当なゴミを入れることが出来なくなってしまいます。
これだけ迷惑がかかっているのになぜ不法投棄を続けるのかな。
悲しいですね。
横浜ではゴミ袋一枚が500円と聞いたことがあります。神戸市もそうならなければいいですが。

投稿者 yoshimoto : 07:19 AM | コメント (0)
July 25, 2007
チッチキチー
昨日スタッフが妙に私の手の傷を心配してくれて
“院長の手は命ですから”なぁーんて歯の浮いたような事を言ってバンドエイドを貼るように何度も勧めるんです。
おっかしーなーとは思いましたが案の定、医院のバンドエイドを全て“チッチキチーバンドエイド”に変えていたんです。
ヤレヤレ… ヽ(゜~゜o)ノ アキマヘンワ
聞くところによると6月12日のブログで紹介した“たこ焼きようかん”を買ったときに一緒に買い仕込んでいたそうです。
この1ヶ月間はバンドエイドをしなければいけないような傷がなかったので気づきませんでしたがとうとう昨日スタッフが痺れを切らしてバンドエイドをつけるように催促してきたという次第です。
本当にこういう事には知恵が働くんですがねぇー。
チッチキチーバンドエイドを見たい患者様は受付まで
投稿者 yoshimoto : 07:28 AM | コメント (0)
July 11, 2007
まだまだ現役
昨日私の父である大先生が83歳の誕生日を迎えました。
まだまだ元気で毎日午前中診療を行っております。
スタッフからピンクのポロシャツをプレゼントされ早速試着してハイチーズ。
どうですか?似合ってますか?

投稿者 yoshimoto : 07:28 AM | コメント (0)
July 07, 2007
Web用カメラ
以前のブログで歯科用口腔内カメラは30万画素程度で20万円以上するとお話しましたがそこでWeb用カメラを口腔内カメラの代用に出来ないかと考えてみました。
ソフマップに行ったときにワゴンセールで130万画素のWeb用カメラが2980円で売っていたので試しに買ってみました。
失敗してもWeb用カメラとして使えばいいかっと思い・・・・
実際使用してみると結構使えますね。
3000円弱で130万画素ですからね。20万で円で30万画素ってなんなんでしょうね。
これが2980円のWeb用カメラで撮った写真です

投稿者 yoshimoto : 06:40 AM | コメント (0)
July 06, 2007
医療用拡大鏡・・iLoupe・・
ちょっと変な人に見えるかもしれませんがiLoupeという医療用の拡大鏡です。
よくテレビで細かな手術を行うときに術者がつけてるものです。
かなり高価なものなので実際に使用できるかどうかデモ品を取り寄せました。
一週間使用してよければ購入しようと思っております。
でも業者の人が言うにはほとんどの先生が使用しなくなるとのことです。
何が原因かな?
とりあえず使ってみてまた報告します。
投稿者 yoshimoto : 07:20 AM | コメント (0)
July 02, 2007
オペラパンプス
男の人って面白くないですよね。
なにがって?
フォーマルな装いが略礼服一つで済んでしまうのが。
冠婚葬祭全てが略礼服一着ですからね。
逆に考えると楽ですがやっぱり変ですよね。
来月にスタッフの結婚式がありますが私の略礼服は15年前に買った服。さらに今までで一番太ったときに買ったので今ではぶかぶか。
それでもいつもこれを着て出席していました。
さすがにみっともなく思いフォーマルウェァーを買うことに。
いつもの通りネットで調べて大阪まで見に行ってきました。
知らないことって多いですね。
今日の写真の靴は男物ですよ。
タキシードを着たときはエナメルの靴を履くのは知っていましたが今日の写真のオペラパンプスという靴を履くのが正式な装いだそうです。
ちなみにエナメルの靴は靴墨がいらないので女性とダンスをしたときに女性の靴を汚さないからだそうです。
ほんとに知らないことで恥をかくことって多いですね。
でも日本だとこの靴を履くことが正式だとは知らないので履いている人を変だと思ってしまいそうですね。

投稿者 yoshimoto : 07:03 AM | コメント (0)
July 01, 2007
みんなでプリクラ
送別会後みんなでプリクラを撮りました。
・・・が9人も入ったため背景のカーテンを壊してしまい途中で中止。
しかたないのでプリクラの中で記念撮影。
またこれがきれいに撮れてびっくり。
ライトが強くていいんでしょうね。
投稿者 yoshimoto : 07:23 AM | コメント (0)
June 30, 2007
めっちゃ好きやねん
院長として大変嬉しい送別会でした。
辞めてもらって嬉しいという意味ではないですよ。
辞めて欲しくないスタッフの送別会ができるのは悲しくもあり、今後の仕事の不安もあり、でもこんなに皆に惜しまれる送別会が出来ることは院長としては採用が間違いではなく一緒に仕事をした3年半の“充実感”を味わえることができる送別会で嬉しかったです。
スタッフ一同からの花束贈呈ではぶっさいくな顔して泣いていました。(○゜▽゜○)/
今日一日でお別れですご苦労様でした。
そしてありがとうございました。
投稿者 yoshimoto : 07:07 AM | コメント (0)
June 29, 2007
あと2日
あと2日で受付エリザベス嬢が退職します。
3年半は長いようで短かったですね。
退職の報告を患者様にしている声を診療しながら聞いていると彼女の目に見えない患者様への気遣いを患者様自身も気づいてくれていて大変親しまれていたんだとつくづく感じました。
結婚して少し離れたところに行ってしまいますがこの受付の席で患者様をやさしく向かえてくれた君の姿はいつまでも患者様の心の中に残っていると思います。
今日は送別会。いっぱい食うぞー。
投稿者 yoshimoto : 07:44 AM | コメント (2)
June 26, 2007
口腔内カメラ
口の中を写す専用のカメラが欲しいですね。
でもこの口腔内カメラの実情は惨憺たるものです。
まず一番の問題は画素数。
30万画素程度がほとんどです。
えーーーーでしょ。この前買った普通の2万円台のカメラでも700万画素ですよ。
なんでいまどき30万画素なの????でしょ。
機能も接写モードだけでいいのにね。さらに外部メモリー機能がないので保存できるのは10枚程度。
おっどろきー
もっと驚くのが価格です。
なんとこんな程度の低いカメラが30万円以上もするんです。
30万出したら下の写真の高級デジタル一眼レフカメラが買えちゃいますよ。しかもこれなら解像度は10メガですからね。
早く普通に見れるカメラを作ってください。ってもう15年以上前から私は言っています。
ちなみに15年前の口腔内カメラの価格は100万でした。
買えませんよ

投稿者 yoshimoto : 07:40 AM | コメント (0)
June 17, 2007
竜歯会総会
私の母校である滝川学園出身の歯科医師で構成される竜歯会の総会が昨日行われました。
年齢は上は83歳から下は24歳までと幅の広い先生方の集まりです。
ここで会う先生はほとんどが一年に一回しか会いません。正直誰が誰だかわかりませんがそれでもなんとなくみんなでとりとめもない話をして楽しみました。
一人一人近況報告をするのですが話好きの私はいつものことながら10分ぐらいしゃべっていました。
今年の総会には女性の先生が参加。
滝川学園は男子校ですが男女共学の滝川第二学園ができその卒業生で歯科医師になった女性がいるため今まで暑苦しかった竜歯会も華やかになったという次第です。
その先生はこのブログでも時々投稿していただいているハンドルネーム・ゴンゴン☆という方です。
☆☆☆ゴンゴン先生ぜひ来年も出席してくださいね。☆☆☆
人の迷惑も考えずしゃべり続ける私
投稿者 yoshimoto : 07:11 AM | コメント (0)
June 16, 2007
滝川学園検診(2)
昨日は携帯を家に忘れてしまいました。
別に普段は急ぎのメールなんて来ないのに帰ってメールを確認してみるとなんと2件も急ぎのメールが。
こんなことがあるので携帯を忘れるとなんとなく落ち着かないんですよね。
ブログの写真もほとんどが携帯のカメラで撮ってアップしているので昨日のブログで検診風景の写真をアップ出来ずネットで無断拝借した写真を掲載しました。
検診風景
投稿者 yoshimoto : 07:19 AM | コメント (0)
June 15, 2007
滝川学園検診
私の母校滝川学園は阪神大震災の為建て替えをよぎなくされました。
したがって現在の母校は私が通っていたころの面影は残っておりません。
昨日検診のために滝川学園に行ってきました。
自分が3年間勉強した校舎が無いのは悲しいですね。
それと卒業後30年にもなると恩師の先生方も見うけられなくなり時代の流れをつくづく感じました。
新校舎

投稿者 yoshimoto : 07:24 AM | コメント (0)
June 13, 2007
たこ焼きようかんの味は?
食べ物じゃないですね。
とっても食べれたもんではありません。
何味かって言うとたこ焼きの匂いのした寒天にミント味をつけたわけ分からない味です。
いわゆるネタとしてのお菓子?ですね。
投稿者 yoshimoto : 07:24 AM | コメント (0)
June 12, 2007
たこ焼きようかん
なんじゃこれは?
おいしんかぁー?(・_・o)ン? (o・_・)ン? (o・_・o)ン?
神戸に住んでいながら初めて聞いたワァー。
HEY!HEY!HEY!でEXILEがダウンタウンへのお土産に買ってきて有名になったそうです。
でうちのスタッフが皆で大阪に遊びに行ったときに買ってきてくれました。
でもまだ怖くて食べていません。
食べた感想はまたこの次。
投稿者 yoshimoto : 07:27 AM | コメント (0)
June 11, 2007
善本トレイン
今日は月曜日なんとなく重たく感じられる週明け。
でも今日も一致団結。
善本チュウチュウトレイン発車。

投稿者 yoshimoto : 07:36 AM | コメント (0)
June 09, 2007
新人歓迎会
6月いっぱいで受付エリザベスが退職することとなりました。
そこで先月から新人ノンちゃん(写真右上端)を採用し現在エリザベスによる受付業務猛特訓中です。
昨日新人ノンちゃんの歓迎会を行いました。
お店からは2時間でお願いしますと言われていましたがまたまた3時間も居座ってしまいました。
ノンちゃんを宜しくお願い致します。

投稿者 yoshimoto : 07:19 AM | コメント (0)
June 08, 2007
滝川第二学園検診
私の出身高校の滝川には竜歯会という会があります。
滝川出身の歯科医師でなる会です。
毎年6月に竜歯会の有志が集まり母校の学校検診を行います。
昨日は本校ではなく第二での検診でした。
学校内に入るとすごくパワーを感じました。最近の学生はもっと活気が無いのかと思いきや昔と変わりないですね。
あのパワーは気持ちがいいです。
木漏れ日の体育館で学生に写真を撮ってもらいました。
来週の木曜日は本校での検診です。
投稿者 yoshimoto : 07:23 AM | コメント (0)
June 02, 2007
スイブルスイーパー
またネットで買い物を。
入れ歯を削る治療のときその削りかすが床にいっぱい落ちてしまいます。
いつもはほうきで掃除をします。診療時間中はやっぱり排気の気になる掃除機をかけるわけにはいきませんので・・・。
そこで以前からテレビショップで気になっていたスイブルスイーパーなるものを購入することにしました。
これは“電気ほうき”ってしろものです。
ネットでのレビューを見ると20人中1人ぐらいしか購入を勧めていませんでした。でも10000円の品が1400円で出ていたので騙されてもいいかと思い購入しました。
でも全然問題なしです。
もちろん使用目的がほうきの代わりにと限定していますので。決して掃除機の代わりにはなりません。
あとは耐久力ですね。これもネットのレビューで問題になっていました。すぐ壊れると
はたしていつまでもつかな?
投稿者 yoshimoto : 06:56 AM | コメント (0)
May 29, 2007
光ブロードバンド
今善本歯科医院ではADSL回線にてインターネットをしております。
電話はISDNにて電話、FAXの二回線を引いています。
先日NTTから光ブロードバンドにしませんかとお電話をいただきました。今までどこの会社に電話してもビルの3階以上は無理ですと断られていましたがなぜかNTTは大丈夫ですとの返事。本当かなぁ?ってちょっと不安に思いながらも工事可能かどうかの予約をしました。
光にするとどうなるかというとネットも電話もFAXも全て一回線で簡単にいけるそうです。
意味はわかりませんが便利かなって思っています。

投稿者 yoshimoto : 07:23 AM | コメント (0)
May 25, 2007
ズボンもスクラブ白衣
昨日検索サイトでスクラブ(ゴシゴシ洗える)白衣で検索してみると10位にこのブログがヒットしました。
実際にスクラブ白衣で検索する人はいないか?
さっきからスクラブ白衣って入力すると“スクラブは食い”って変換されてめんどくさいです。
結構こういうことってありますよね。
たとえば読み方を間違えて“雰囲気”が“不陰気”って変換されたり・・・。
全然意味合いが変わってしまってる。
ズボンも清潔で毎日洗うことができるスクラブは食いにしました。←変換し直すのがめんどくさかった。
投稿者 yoshimoto : 07:30 AM | コメント (0)
May 22, 2007
保険って?
昨日ある先生からFAXが届きました。そこに書かれている内容を見て愕然としました。
厚生労働省の歯周病に対する考えかたそして来年度の変更点が掲載されていました。
その一文を書きますと
・・・治らないものにどこまで保険診療が認められるか。ダラダラやるのは疾病保険の性格上問題がある・・・・
いわゆる慢性疾患である歯周病は保険から外し自費で治療しなさいといっているようです。
これって医療費削減にはなりますが正しい考えかたでしょうか?
投稿者 yoshimoto : 07:30 AM | コメント (0)
May 19, 2007
新色入荷
新しい色の白衣を注文しました。
怖くて、暗くて、痛くて、つらい・・・いろいろな嫌な気持ちを少しでもやわらげる効果があればと思っています。
もちろん治療に関しては一人一人の患者様にとって一番の治療を心がけていますよ。
投稿者 yoshimoto : 06:57 AM | コメント (0)
May 17, 2007
白衣の概念(2)
白衣の持つイメージをネットで調べてみるとやはりいろいろです。
絶対に白衣は白く清潔感がなければならないという考えは根深いものがあると感じました。
私も白衣が白くて先生らしいという考えはあります。
そういう葛藤のの中で結論としては白を着るのを辞めました。
去年から青の白衣とシルバーの白衣を着ています。
でも今回からのはスクラブという青の白衣です。
スクラブとは“ゴシゴシ洗える”という意味です。そうです今までの材質の白衣だと数日着てクリーニングに出すという清潔という観点からはかなりずれていましたがこのスクラブという白衣は毎日必ずゴシゴシ洗ってアイロンも当てずに着れますよ、実際に清潔なのはどっちの白衣ですかと問いかけています。
この考えが10年前からアメリカでは浸透し9割の病院でスクラブ白衣が使用されているそうです。
下に黒のTシャツを着用するのが定番だそうです
投稿者 yoshimoto : 07:22 AM | コメント (0)
May 16, 2007
白衣の概念
白衣の持つイメージってなんでしょ?
清潔?信頼?安心?権力?傲慢?威圧?・・・・
日本人は制服に対しての信頼感というものを持っていると思います。
したがってお医者さんイコール白衣ってなってしまいますよね。
私も正直そうでしたがこのごろではすっかり考えが変わってきました。
新しいコンセプトの白衣を今日から着てみます。
チェロキーという会社の白衣です。一度このHPを皆様も覗いてみてください。そしてまたご意見をお聞かせください。
投稿者 yoshimoto : 07:25 AM | コメント (0)
May 10, 2007
鎌倉半月
このお土産は最高においしかったです。
スタッフからゴールデンウィークのお土産にといただいたおかしです。
どれだけおいしいかというと・・・・
電話して宅配してもらうことにしました。
ヾ(@⌒¬⌒@)ノ ウマヒィ
鎌倉半月東京に行ったときはお土産にぜひ買ってみてください。

投稿者 yoshimoto : 07:32 AM | コメント (2)
May 09, 2007
ごみの有料化
医院から出されるゴミは大きく分けて二通りあります。
一つは一般家庭と同じ家庭ゴミ、もう一つは感染性廃棄物。
以前から感染性廃棄物に関しては廃棄代がかかっていましたが飲食するときに出るゴミに関しては家庭ゴミとして無料でした。
4月より事業所で出されるゴミ全てが有料化となりました。
ただこのゴミ袋がどこに行っても売り切れで手に入りませんでした。神戸市もこの現状を理解し4月から実施を5月からと変えてくれました。当たり前ですが・・・。
うちも4月終わりにやっとゴミ袋が手に入りました。
箱でまとめ買いしてレジでの請求額にびっくり。4万2千円。
えー。思わずカードで良いですか?と・・・
一枚84円の500枚入りですからそのくらいなりますよね。
投稿者 yoshimoto : 07:29 AM | コメント (0)
May 08, 2007
検診
今日の午後は保健所で1歳6ヶ月児の検診に行ってきます。
一人一人の検診の度に手袋を交換しなければなりません。
以前は手袋の上から消毒をするだけで一人一人に新しい手袋を着用する必要はありませんでした。
清潔の意識がかなり向上されいいことだとは思います。
ただ問題は今日の下の写真の器具を使用できないのは困ります。
この先の尖った器具で虫歯かどうか、また虫歯の深さを調べるのにかかせない器具ですがこの器具を使用することにより虫歯を広げるとの抗議が出た為保険所では使用できなくなりました。
いろいろな意味で過剰に反応することは問題では?
投稿者 yoshimoto : 07:29 AM | コメント (0)
May 07, 2007
さぁー気を引き締めて
休みのだらだらした気持ちを一新。
しゃきっとして今日から診療開始。
皆様も仕事に学校にがんばりましょう。
連休中は家族とパンプとの楽しい思い出いっぱいでした。
投稿者 yoshimoto : 07:26 AM | コメント (0)
April 28, 2007
レントゲンデジタル化(3)
エレベーターホールにデジタル化に関して記したポスターを掲示しております。
デジタル化の利点
1)ハイスピード
普通のフィルムでは現像、定着を行わなければならないため時間がかかりますがデジタルレントゲンでは20~30秒で現像できます。
2)環境にやさしい
現像液、定着液が必要でないため廃液に困らない。
3)体にやさしい
レントゲン照射量が1/4ですむため人体への影響も少ない
4)わかりやすい
モニターに映し出されるため見やすくわかりやすい。
投稿者 yoshimoto : 07:12 AM | コメント (0)
April 27, 2007
レントゲンデジタル化(2)
どうですか?
大きいでしょ・・・うん!(^^)
あの小さなレントゲン写真が20倍ぐらいに拡大されてみえます。
本当に説明がしやすくなりました。
でも一つ困ったことが、お年寄りの方がこのモニターを手すり代わりに使用することです。☆≡(>。<)く
投稿者 yoshimoto : 07:28 AM | コメント (0)
April 26, 2007
レントゲンデジタル化(1)
去年の今頃のブログにレントゲンのデジタル化の話をしましたがブログ休止中にデジタル化を行いました。
3月1日から善本歯科医院ではレントゲンはすべてデジタルとなりました。
各診療台にモニターが設置されレントゲン像を大きな画面で見ることができ説明もしやすくまた患者様も理解しやすくなりました。
投稿者 yoshimoto : 07:21 AM | コメント (0)
April 13, 2007
ハッカー事件
昨日私のHPのブログページがハッカーによって改ざんされたとの情報が入り開始したばかりのブログを昨日休ませていただきました。
ウイルスに侵されたとかというわけではなかったようで問題なく解決いたしました。
さてポン仲間の皆様にも2ヶ月間ご心配をお掛けしておりましたがこのようにパンプも私も元気にしておりますのでまた暇なときこのブログを見に来てくださいね。
∪・ω・∪
投稿者 yoshimoto : 07:33 AM | コメント (2)
April 11, 2007
(*^o^*)オ(*^O^*)カ(*^e^*)エ(*^ー^*)リーー!
ただいま。皆さん元気にしていましたか?
約2ヶ月間ブログを休んでおりました。
いろいろありました。
まだまだなんですがいつまでも冬眠していては・・・と思い再開することとしました。
2月22日の最後のブログが意味深な内容でいろいろな方にご心配をおかけしました。
申し訳ございませんでした。
再開第一発目はやっぱりハーバーからでしょ。
この2ヶ月間はほぼ毎日仕事の帰りにハーバーによって海と話していました。
と言ってもいたって正常ですからね(⌒^⌒)b うん
この再開第一発目でコメントを入れてくれる方はいないとは思いますが密かに期待しています。
投稿者 yoshimoto : 07:28 AM | コメント (4)
February 08, 2007
喫煙マナー
善本歯科医院のエレベーターホールは禁煙となっています。もちろん待合室も。
ただタバコを吸ったままエレベーターに入りエレベーターホールの床でタバコをもみ消して入る方がいるためにエレベーターホールには灰皿を置いています。もちろん写真の通り“禁煙”というステッカーを2箇所にはっていますがなかなか守ってもらえません。
普通に当たり前のように喫煙する方がいらっしゃいます。
エレベーターホールで吸われるとその煙、匂いが待合室から診療室まで入ってきて非常に臭く感じます。
喫煙は個人の趣向ですがマナーは守っていただきたいです。
携帯電話に関しても同様に治療の最中でも“あっ先生電話”と言って電話に出られます。
マナーをもう一度考えて欲しいです。また強く言えないこちらの立場も理解していただきたいです。
投稿者 yoshimoto : 07:23 AM | コメント (0)
February 07, 2007
S歯科医院にて(2)
昨晩も診療後S歯科医院でS先生の治療に行ってきました。
訓練されたコデンタルスタッフのおかげで慣れない器具を使用しての診療にもかかわらず短時間での治療ですみました。
またまたいろいろと勉強させてもらいました。
診療後お疲れのところS歯科医院のスタッフの皆さんご苦労様でした。
投稿者 yoshimoto : 07:25 AM | コメント (0)
February 06, 2007
訪問診療
昨晩歯科訪問診療に行ってきました。
歯科の訪問診療はかなり他科の訪問診療とは様相が違います。
削ったり、詰めたり、入れ歯のための型をとったりといろいろな作業を患者様の自宅で行わなければなりません。はっきりいってかなりの無理があります。でも行く先々で待ってましたよという顔をされるとそんな愚痴も言っておられず最善を尽くします。
昨晩診療に行ったおばあちゃん、早く骨折が直るといいですね。
いろいろな器具を患者様の自宅に持って行き治療を行います。

投稿者 yoshimoto : 07:32 AM | コメント (0)
January 31, 2007
S歯科医院にて
昨日知り合いのS歯科医院に行ってきました。
治療を受けにではなくS歯科医師の治療に・・・。
自分の歯科医院ではなく別の歯科医院で治療をするのは大変勉強になります。
ここの先生はこういう器具を使用すんだとか医院作りはこうしてるんだとかスタッフにはこういう指導をしてるんだとかいっぱいいっぱい得るものがあります。
だもんで“みっちゃん(私院長の愛称)今度この歯を治療してくれるか?”と声をかけられるのは大変うれしく思っています。
ちなみに写真でピースサインを出しているS歯科医師が船を私に任せてくれている先生なんです。
なにからなにまでお世話になりっぱなしでいつまでたっても頭の上がらない尊敬する先生です。
投稿者 yoshimoto : 07:27 AM | コメント (0)
January 29, 2007
須磨区医歯薬三師会
昨日は須磨区医歯薬三師会があり出席してきました。
あと5年後に開始される予定のレセプトオンライン化に関して協議されました。
内容はここでは説明致しませんがとにかく少し年配でコンピューターをいじったことの無い先生方には大変な話です。
今日の写真は挨拶をする須磨区歯科医師会会長です。
投稿者 yoshimoto : 07:25 AM | コメント (0)
January 27, 2007
イメージ
最近患者様からよく言われることがあります。
先生、雰囲気変わった。もしかして髭をはやされましたか?
って・・・髭はもう15年前からはやしてますって
そう最近コンタクトを外しめがねで生活しているためにいつものイメージと違うみたいです。
なかにはいつも診てくださる先生とは違いますよねって言われることも。
さらに治療の説明をしているのにうわのそらで私の顔をじっとみて不信そうにしている患者様も・・・。
たっためがね一つでこんなにも違うものかとびっくりです。
ちなみに1月31日に目の精密検査をしてきます。27年間もコンタクト生活を続けていますので今後のことも心配なのでこのさいしっかりと検査してもらいます。
検査だけに行くのになぜコンタクトを外してめがね生活を送らないといけないかというと目にコンタクトの型がついているために正確な検査が出来ないためです。
投稿者 yoshimoto : 07:16 AM | コメント (0)
January 24, 2007
消しゴム?
歯についた汚れを取る消しゴムみたいなのがあります。
根本的に歯を白くするホワイトニングとは違って歯の表面についたスティン汚れを落とすものです。
誰も買わないかなーって思っていましたが結構売れています。

投稿者 yoshimoto : 07:25 AM | コメント (0)
January 18, 2007
いよいよデジタル化始動
以前にもお話しましたが歯科用レントゲンのデジタル化を始めることに致しました。
デジタル化にすることによる患者様そして術者側のメリットはいっぱいあります。
発注をかけましたので2月の終わりごろにはデジタル化できそうです。
デジタル化されましたらまた詳しくご報告致します。

投稿者 yoshimoto : 07:41 AM | コメント (0)
January 12, 2007
めがね新調・・・でも
今日もめがねネタです。
今のめがねは手元は見えるので診療には差し支えないのですが遠くがあまり見えません。
それが原因で疲れるのかと思い昨日めがねを5年ぶりに新調に行きました。
しかーし、左目の乱視が強くコンタクトでは1.0まで矯正が出来るのにめがねだと0.4までしかできませんでした。右目はかろうじて0.8まで矯正できました。
2月10日頃までの辛抱なのでこれでいいかと思い会計を済ませ出来上がりの日を聞くと10日かかりますとのこと。思わず10日もって叫んでしまいました。
普通でしたら10分で出来るみたいですが私の場合は特注となり10日かかるそうです。
本当に簡単に物事が進まない星の下に生まれてるなーとつくづく思いました。
実はコンタクトもいつも特注で一週間かかってました。目が大きいためだそうです。目と言っても目の玉が大きいからだそうです。
そこで今日の写真は眼鏡屋でもらっためがね拭きです。手元にあるのはめがねの引換券とめがね拭きだけ・・・・出来上がりは来週の土曜日、まだまだ先ですね。
![]()
投稿者 yoshimoto : 07:34 AM | コメント (0)
January 11, 2007
へこんでいます
めがね生活、たった一日でへこんでいます。
似合わない、恥ずかしい、重い・・・・全ていやだー。
3週間我慢できるのかな?
とりあえず目的のため今日もがんばろー。
たっためがねひとつでごちゃごちゃ文句を言う自分がもっと嫌です。
![]()
投稿者 yoshimoto : 07:31 AM | コメント (0)
January 10, 2007
今日からめがね
今日からめがねで生活します。
牛乳瓶の底のような分厚いめがねなので小さい目がますます小さく見えます。
だからめがねは大嫌いです。
20歳からずっとコンタクトで生活しています。
でも目の検査を受けるためにコンタクトを3週間外しておかなければならなくなりました。
目の検査って病気ではありませんのでご心配なく。
なぜ嫌なめがねにまでして目の検査を受けるかは3週間後にお話しまーす。(・ε・)プップクプーハヤクイエ
でもめがねで診療にさしさわりが出るようでしたらこの計画は諦めます。
![]()
投稿者 yoshimoto : 07:38 AM | コメント (0)
January 09, 2007
どちらがいいですか?
どちらの白衣がいいですか?
どちらもまだ着るのが照れくさいですね。
でも患者様はあまり関心ないみたいで色が変わったことさえわからないみたいです。
確かに何を着ようが関係ないか・・・。・゜゜・(>_<;)・゜゜・。
![]()
投稿者 yoshimoto : 07:33 AM | コメント (0)
January 06, 2007
やっと届いた白衣
3ヶ月前に注文した白衣がやっと届きました。
色はシルバーって書いてあったんですが少しブルーがかってますね。
それにしても注文して3ヶ月は長すぎる。
どうですか?似合ってますか?
![]()
投稿者 yoshimoto : 07:08 AM | コメント (0)
January 05, 2007
始まり
今日が本当の意味での一年の始まりです。
気持ちも新たに歯科治療に取り組んでいきます。
![]()
投稿者 yoshimoto : 06:55 AM | コメント (0)
December 31, 2006
今年一年
やはり今年一年いろいろありました。
娘が高校卒業し大学入学しさらに自動車免許取得。
4月5日に交通事故に遭い救急車に生まれて初めて乗る。
5月の長雨。
6月からはじまって7月31日まで続いた梅雨。
おもしろくなかった6月のワールドカップ。
梅雨明けには知り合いからクルーザーをまかされ海の上で悪戦苦闘。
9月に義妹がくも膜下出血で意識不明の重体で入院。毎日のように奈良との行き来が続く。
10月にやっと交通事故の示談成立・・・・って言ってもあやまりの言葉さえ言わないような加害者を相手にすることがばかばかしくなりサインする。
10月半ばに4月に注文した車が納車されるも信じられないポンコツ車で納車3日目で業者につき返す。またまた騙されてしまった。
静岡に車探しの旅に11月出発。なんとか満足できる車を購入するも残念ながらその業者もいいかげん。今後も付き合って行きたいとは思いませんでした。
一年振り返って思い出すと残念な話が多いですね。
来年最後のブログにはいい話で埋まるような一年にしたいですね。
善本歯科医院は1月4日まで休診です。
1月5日から平常どおり診療を行いますのよろしくお願いします。
![]()
休日診療の連絡先をエレベーターホールに掲示してありますのでご確認下さい。
また留守電にも連絡先をいれておりますのでよろしくお願いいたします。
投稿者 yoshimoto : 09:09 AM | コメント (2)
December 29, 2006
忘年会(2)
本当に今のスタッフは私の言うことをなんでも喜んで聞いてくれます。
したがって診療もテキパキと流れよくいい治療ができとても満足です。
忘年会でもテーブルに置いたカメラを“セルフタイマーで撮るぞ”とわけのわからないことを私が言ってもすぐにポーズをとってくれます。それもみんな嬉しそうに。ちょっと変・・・ですかね。
![]()
セルフタイマー写真
ご満悦の院長
投稿者 yoshimoto : 05:03 AM | コメント (0)
December 28, 2006
忘年会
12月28日~1月4日まで休診致します。
昨日は忘年会でした。本日28日は大掃除。いよいよ一年も終わりです。
忘年会は私の自慢の7人乗りの車で三宮のニョッキというイタリア料理のお店へ行きました。
皆も喜んでくれて楽しく一年を締めくくることができました。
本日の集合写真のスタッフの首にちゅーもーく。
o(^-^(-_-(-_-;(・_・(・o・(^~^; ジィ~
首に巻かれている物が私がスッタフにクリスマスプレゼントに渡したマフラーです。
みんな似合ってますね。
![]()
この牡蠣料理最高においしかったです
投稿者 yoshimoto : 07:21 AM | コメント (0)
December 24, 2006
一足早いクリスマスプレゼント
昨日からブログのサーバーに繋がらず更新できませんでした。
やっと今(24日21時)に繋がりました。
善本歯科医院恒例のクリスマスプレゼントを一足早く22日の診療後スタッフに渡しました。
みんな、喜んでくれたかな?
スタッフのみんな、今年のクリスマスプレゼントは気に入ってもらえましたか?
いつもわがままな院長ですが全て、患者さんを思ってのこと(?)と思って我慢してくださいね。
ブログをご覧の皆さんはなにか今日クリスマスプレゼントをもらいましたか?
またはクリスマスプレゼントを差し上げましたか?
子供のころサンタさんが本当にいると思ってたあの純粋な気持ちでいるときっといいクリスマスが迎えられると思いますよ。
![]()
投稿者 yoshimoto : 09:03 PM | コメント (0)
December 22, 2006
クリスマスパーティー
昨夜は我家でスタッフを集めてのクリスマスパーティーを開催。
ちゃんこ鍋をつつきながら楽しく過ごしました。
リカ衛生士サンタと受付エリザベスの人間ツリーも登場。
最後は全員で仮装パーティーとなりました。
![]()

投稿者 yoshimoto : 07:30 AM | コメント (2)
December 16, 2006
クリスマスプレゼント(2)
毎年この時期になるとクリスマスプレゼントに悩まされます。
明確に欲しいものがわかっていれば助かりますがなかなか本人に聞けないし・・・。
善本歯科医院ではスタッフに毎年クリスマスプレゼントを渡します。
(・_・o)ン? (o・_・)ン? (o・_・o)ン?
さーて今年の中身はなにかな?
26日以降のブログで紹介できるでしょう。
だって渡すのは25日になるのでその前に公開するとスタッフにばれますから。
![]()
投稿者 yoshimoto : 07:26 AM | コメント (0)
December 15, 2006
クリスマスカード
クリスマスカードが届きました。
元実習生の茉莉衛生士からです。
かわいいメロディーコール付きクリスマスカードありがと。
バイクは何を買われたんですか?
私は一時期SR400をいじりまわして楽しんでいました。でもこの寒い時期はちょとバイクはしんどいですね。
今はバイクも駐車禁止対象ですので気軽に乗って出るのも難しくなりましたがけがをしないようにツーリング楽しんで下さい。
![]()
投稿者 yoshimoto : 08:47 AM | コメント (0)
December 12, 2006
大先生室のサンタさん
私の父である大先生は81歳です。
まだまだ現役で多くの患者様から慕われています。
かつての院長室は大先生室と名を変えています。
いつまで経ってもひよっこの私は技工室の片隅を院長室として使用しています。
今日大先生室の机の上を見るとサンタさんが・・・・。
自分で買うはずがないし・・誰からのプレゼントかな?
![]()
投稿者 yoshimoto : 07:19 AM | コメント (2)
December 09, 2006
白衣が来ない
10月11日に注文した白衣がまだ来ませんo(;△;)o
いくら別注でも遅すぎ。
でもこんな変わった色を作っているところは他にないのでしかたがありません。
やっと先に到着したブルーの白衣に慣れました。
なんとなくはじめは気恥ずかしくて患者様がどう言うか怖かったんですがだーれもなんにも言ってくれません。
でもたった一人の女性だけが“お似合いですね”って言ってくれましたが・・・・。
お世辞でも嬉しいものですね((o(^-^)o))
もっとみんなお世辞を言ってくれ~m(._.*)m
![]()
投稿者 yoshimoto : 07:38 AM | コメント (0)
December 06, 2006
もう一つのクリスマスツリー
昨日もう一つ小さな小さなクリスマスツリーがありますよって書きましたがやっぱり写真を載せる事にしました。
小指の先ぐらいの大きさですので見つからないかもね。
ぜひ探してみてください。
衛生士リカが見つけてきたんですが、カエルが私に似てるから買ってきたそうです。
似てるかな?
![]()
投稿者 yoshimoto : 07:21 AM | コメント (0)
December 05, 2006
サンタがやってきた
善本歯科医院にもサンタクロースがやってきました。
毎年この小さなツリーをエレベーターホールの窓際に飾りますが今年はチップのサンタクロースが参加です。
また受付のガラスケースの中には小さな小さなツリーを飾っていますので見つけてくださいね。
![]()
投稿者 yoshimoto : 07:27 AM | コメント (0)
December 02, 2006
JAひがしうら・みかん
おいいしくてあまーいみかんを頂きました。
この夏に旅行で松山から来られた方のお子様が前歯を折ってしまい日曜日(?)の夜9時過ぎに緊急で診療を行った方から頂いたみかんです。
うちは毎年みかんを箱買いするほどのみかん好き家族です。昨日は妻とコタツに入りながらあまーいみかんを堪能しました。
JAひがしうら・みかん最高でした。
![]()
投稿者 yoshimoto : 07:00 AM | コメント (2)
November 30, 2006
メモクリップ
2日前に紹介しました衛生士リカよりプレゼントされた歯型のメモクリップについての質問がありましたのでお答えします。
これはマグネットタイプで真っ二つに分かれます。
メモをはさんでマグネットで固定し卓上に置くというタイプです。
大きさは私の手のひらにちょこんと乗る程度の大きさなんですよ。
![]()
投稿者 yoshimoto : 05:30 AM | コメント (0)
November 29, 2006
メッセージプレート
一年に一度近畿地方でデンタルショーが開催されます。
善本歯科衛生士二人がこのデンタルショーで限定商品のメッセージプレートを購入してきてくれました。
いいでしょ。
ウ・・ ウン(・_・;)
可愛いでしょ。
♪⌒ヽ(*゜O゜)ノ スゴイッ!!!
そこでスッタフ一同集合写真を撮りました。
![]()
投稿者 yoshimoto : 07:22 AM | コメント (0)
November 28, 2006
クリスマスプレゼント
早々とクリスマスプレゼントを頂きました。
これ可愛いでしょ。(@'ω'@)
歯の形をしたメモクリップなんです。
衛生士リカが京都まで行って買ってきたそうです。
大事に使いまーす。
¢(ーー;メモシトク・・・
![]()
投稿者 yoshimoto : 07:16 AM | コメント (2)
November 23, 2006
歓迎会(2)
無事に私の車一台で目的地に到着です。
7人乗ってもまだ大丈夫。イナバ物置みたいな車です。
さて私が注文した飲み物は下のどれ?
真ん中が受付エリザベス。右が残り全員。そう私は一人さびしくウーロン茶。
あまりにも皆が右の“ベリーベリーなんちゃら”っていうのをおいしそうに飲んでいたので私も頼んでしまいました。
確かにおいしい。またたのもっと。
衛生士リカがなぜか料理長となかよしになりこの日の料理長お勧めの品をいっぱい頼みました。おいしかったと言うと料理長も喜んでくれなんとデザートをサービス。これまたタダのデザートがおいしい。
本当は予約のときに2時間でお願いしますと言われていたのですが店の人も私たちが料理長の知りあいだと勘違いしたみたいで3時間近く居座ったにもかかわらずいっさいお咎めなしでした。
リカのひとなつっこさに感謝。
またベリーベリーなんちゃらを飲みに行こう。
みなさん、新人ナッチャンをこれからも宜しくお願いします。ちなみに下の写真の右隅奥に写っているのがナッチャンです。わからへんか。
![]()
投稿者 yoshimoto : 08:11 AM | コメント (0)
November 22, 2006
歓迎会
今日は善本歯科医院新人ナッチャンの歓迎会です。
9月に一人衛生士が退職しその後助手を採用するも1ヵ月半でついていけないという理由で退職。その後採用した助手は21歳と若いですが非常にしっかりとしていて覚えが今まで経験した助手の中では一番といえるぐらいの早さで本当に院長としてほっとしております。
善本歯科医院は私を入れて7名です。なにか食事に行ったり出かけたりするのに今まででは私の車での移動は無理でしたが今回の車はなんと7人乗りなんです。
我が愛犬パンプの指定席の床下から座席が出てくるのです。
今日は皆で一台の車に乗ってお食事です。
さーて本当に7人も乗せて無事に目的地に着くのでしょうか?
![]()

投稿者 yoshimoto : 07:23 AM | コメント (2)
November 13, 2006
新しい白衣
1ヶ月前に注文したブルーとシルバーの白衣のうちブルーの白衣がやっと送られてきました。
着てみましたがなんか変?
でもそのうち慣れるかな?
![]()
投稿者 yoshimoto : 07:21 AM | コメント (4)
October 25, 2006
須磨区歯科医師会
私は須磨区歯科医師会の医療保険の担当理事をしております。
複雑で煩雑な保険の仕組みを会員の先生方に分かりやすく説明していくのが私の仕事です。
今年度からは抜本的な保険改革が行われ全国の歯科医師の方々が日々の診療での保険に戸惑いをと怒りを感じております。
日々地域医療に貢献できるように須磨区歯科医師会では月に一回理事会を開き夜遅くまで会合を開いております。
![]()
須磨区歯科医師会理事会の模様
投稿者 yoshimoto : 07:06 AM | コメント (0)
October 18, 2006
知覚過敏(4)
昨日お話いたしました高周波治療器にて治療を行いさらにHYセメントという薬を知覚過敏の箇所に塗布します。
HYセメントはいわゆるセメントですが神経の炎症を緩和するHY剤という薬が多量に含まれておりかなりの効果が期待できます。
高周波治療+HYセメントでかなりの知覚過敏は緩和されます。
![]()
投稿者 yoshimoto : 07:15 AM | コメント (0)
October 17, 2006
知覚過敏(3)
知覚過敏の治療法の一つに高周波治療器を使用する方法があります。
写真の左先のチップから出る高周波を歯に当てることにより歯髄(神経)の炎症を押さえ症状が緩和します。
ただ全ての知覚過敏に効くわけではありません。
それではそのほかの治療法は・・・・また
![]()
投稿者 yoshimoto : 07:08 AM | コメント (0)
October 12, 2006
白衣(2)
試着してみましたがカタログのようにかっこよくはなかったなぁ~。
・゜゜・(>_<;)・゜゜・。
モデルが着るとこんなにかっこいいのに、私が着るとなんか変。
背が低いし首や腕が細いのがダメみたいですね。
まっどんな服を着るときでもいつも思うことですが背が低いのは最大の欠点ですね。
とりあえずシルバーとライトブルーを注文してみました。
患者様で私のこの新しい白衣を着ているのを見られましたら率直な意見をお聞かせください。
「背が低いし顔が変だから似合わない」という意見はご勘弁を・・・
![]()
投稿者 yoshimoto : 07:13 AM | コメント (5)
October 11, 2006
白衣
白衣って白だから白衣って言うんですよね。
色が白でなかったらなんていえばいいのかな?
欧米では白の持つイメージが患者に威圧感や恐怖を与えるということで白の白衣を着用しないドクターが多いいようです。
日本ではなかなか難しいところがあります。
お医者さんは白衣って決まっているみたいで違う色の白衣を着ることに少し抵抗を感じます。
でも変えてみることにしました。
日本の白衣の会社では色は白か紺しかありませんがイタリアの会社がいろいろな色やいろいろなデザインの白衣を作っていました。
早速試着品を頼みました。
さーて、ど・れ・に・し・よ・う・か・な?
![]()
投稿者 yoshimoto : 07:14 AM | コメント (2)
October 07, 2006
盲導犬“ピアザ”
そうですやってきたのはあの凄いやつ!! (*゜ロ゜)ノ
盲導犬でーす。
本当にお仕事中の盲導犬に触れるのは初めてです。
さすがに歯科医院は始めてみたいで薬瓶をクンクンしてましたが。
患者様が強い男になって欲しいと願い大リーグ捕手のピアザ選手から名前をもらったみたいです。
ピアザ君、ピアザ捕手のようにしっかりとご主人様を守ってあげてくださいね。(=´ー`)ノ ヨロシク
![]()
投稿者 yoshimoto : 06:54 AM | コメント (4)
October 06, 2006
ついにやってきました(*^-^)ニコ
ついに善本歯科にやってきました。
なにがって?
そうよーく仕事をする“やつ”ですよ。
ご主人様のためならえーんやこーら♪(*^^*)
かっこよかったですね。∪・ω・∪
![]()
全容は明日
投稿者 yoshimoto : 06:54 AM | コメント (2)
October 05, 2006
知覚過敏(2)
さて知覚過敏になればどうすればいいのか。
まずは知覚過敏かどうかの診断を受けなければなりません。
単に歯がしみるイコール知覚過敏と自分勝手に判断してしまうと大変なことになります。
初期の虫歯でもしみるしもちろん昨日のブログでも言いましたように歯周病が進んでいるのかもしれません。
歯科医師の診断の結果本当に虫歯も歯周病もなく初期の知覚過敏と診断を受ければコマーシャルでよくいわれている歯磨き剤を使用することは意味があると思います。
この歯磨き剤の効能は薬用成分硝酸カリウムが、カリウムイオンとなって歯髄神経のまわりにイオンバリアを形成し、不快感や痛みを防ぎます。
さてもっと進んだ知覚過敏の処置法は・・・・
![]()

投稿者 yoshimoto : 07:31 AM | コメント (0)
October 04, 2006
知覚過敏
知覚過敏っていう言葉は皆さんコマーシャルで聴いたことがありますよね。
虫歯でないのに歯がしみるっていうやつです。
結構これがやっかいです。
なぜならほとんどのケースで歯周病から来ている場合が多いいからです。
皆さんはもうお分かりと思いますがハグキがやせてくるのは歯を支えている骨が溶けてなくなってきているためにハグキがやせるんですよね。
すなわち知覚過敏は下の図のように骨がなくなりハグキがやせて歯の根っこが露出したために歯がしみるわけです。
・・・ではどうやって治療をすればいいのか
![]()
投稿者 yoshimoto : 07:13 AM | コメント (0)
September 26, 2006
頭をやわらかく
歳を重ねるごとに新しい便利とされる機械(器械)や器具を拒絶してしまうところがあります。
医療人にはあってはならないことだと私は常日頃思っています。
従って治療器具や機械(器械)の最新の情報を入れ必要と思われるものは必ず購入します。
しかしここで問題はいかに便利とされる物を使いこなせるかです。
そこに努力が必要となります。
時にはその機械(器械)、器具を使いこなすための講習会に何度も参加し技術を習得するのにその物の値段より勉強に費やした費用のほうがはるかに多くかかることが多々あります。
幾つになっても頭をやわらかくして日常のなかでも物を使いこなす訓練をしていかなければならないと思います。
![]()
今日の写真は根管治療用の器具です。一つ一つの器具に意味がありまた一つ一つの器具を使いこなすために講習会に幾度も通いました。
投稿者 yoshimoto : 06:47 AM | コメント (0)
September 20, 2006
エレベーターリニューアル
当ビルのエレベーターがリニューアルされました。
最近のエレベーター事故のニュースを見るたびにエレベーターという安全で便利な機械が凶器と化すと思うと安全って何なのかと疑問に思います。
エレベーターが新しくなったことは患者様にもかなり好評です。
古いエレベーターは医院のイメージにも悪いですからね。
![]()
投稿者 yoshimoto : 07:01 AM | コメント (0)
September 14, 2006
金属アレルギー
金属アレルギーと聞くと指輪、ネックレス、ブレスレット、ピアス、時計等の金属で発疹やかゆみが出ることをすぐ思い浮かべると思いますが実はもっと危険なのが口の中で使用する金属です。
特にアマルガムという金属にはかなり問題があります。
ヨーロッパではすでに10年以上前から使用禁止になっていましたが日本でもやっと今年の4月から保険からはずされました。でも保険から外されただけで使用禁止にはなっていません。
私は歯科医師になりまる23年が過ぎましたが最初の2年は使用していましたが当時から金属の組成に疑問を抱いていたのでその後使用しておりません。
口の中の金属が怖いのは症状が全身に出てしまうことです。金属イオンが溶けて全身に回るからです。
最近やっとテレビでも言われ始めたため患者様からアマルガムが入っていたら除去してくださいと言われるようになりましたが、何も知らない患者様にアマルガムは危険で・・・と話をするとお金目的の治療を進めているかのような反応をされるためなかなかこちらからは進めることが出来ません。
ちなみにアマルガムという金属の組成を記しておきます。
びっくりしますよ。
銀35%・スズ9%・銅6%・少量の亜鉛、そしてあとはすべて水銀です。
![]()

投稿者 yoshimoto : 06:36 AM | コメント (5)
September 13, 2006
寒天
歯型をとる材料に何が使用されているか知っていますか?
もちろんいろいろな種類がありますが一般的に使用されているのが寒天なんです。
そうあの海藻で出来た寒天。ところてんの元の寒天。
えーって思われるかもしれませんが理由があるのです。
寒天は60℃以上で溶けてやわらかくなり常温で固まります。この性質を利用し歯型を取るときの材料にしてるんですよ。
今度歯医者さんで歯型を取るときに少し熱く感じたり、先生が“少し熱いかもしれませんよ”と声をかけられた時は寒天を使用していると思って下さい。
![]()
投稿者 yoshimoto : 07:01 AM | コメント (0)
September 08, 2006
抜歯用器具
歯を抜くのはペンチを使用して抜くと思われていますが実際には写真の様な器具を使用します。
写真一番下のへーベルという器具を使用し歯を脱臼させてから抜歯用かんし(ペンチのような器具)を使用し歯を抜きます。
但し歯冠が崩壊し根っこだけになっている場合はヘーベルだけを使用し抜かなければならず大変苦労します。
歯医者さんはすぐに歯を抜きたがると思われていますが保存可能な歯を抜くほうが大変なので歯医者さんは歯を抜くのが好きだとは思わないで下さいね。
![]()
投稿者 yoshimoto : 07:17 AM | コメント (0)
September 05, 2006
帆船
今日の写真は患者様から頂いた帆船の絵です。
これは患者様ご自身が黒一色で帆船を描いたものです。
黒一色でここまでグラディエーションが出せることにびっくりしました。
額に入れ診療室に飾っています。
![]()
投稿者 yoshimoto : 07:16 AM | コメント (0)
September 01, 2006
9月の香り
今日から9月ですね。
秋という季節にふさわしい何か新しいことをみつけてみたいですね。
とりあえず気分一新のため善本歯科医院では新しいアロマの香りをお届けします。
左が“柑橘畑のゆりかご”
右が“胸一杯のフレッシュエアー”
投稿者 yoshimoto : 06:48 AM | コメント (0)
August 27, 2006
歯科衛生士募集
本日のアイデムに詳細を掲載しております。
ネットアイデムでもご覧になれます。
投稿者 yoshimoto : 04:16 PM | コメント (0)
August 26, 2006
歯科技工士
歯科技工士という職業はあまり世間的には知られていないかもしれません。
入れ歯、詰め物、かぶせ物といった歯科技工物を作成してくれる人たちです。
内の医院には院内に歯科技工士がいます。
決して表舞台には出てきませんが善本歯科医院を影で支える大切なスタッフです。
昨日善本歯科医院技工士の?才の誕生日でした。おめでとう。
![]()
投稿者 yoshimoto : 06:35 AM | コメント (0)
August 23, 2006
残暑お見舞い申し上げます
朝起きると少し肌寒く感じてきました。
夏が急激に冷めて行くようで少し寂しさも感じられます。
しかし昼間はまだまだうだるような暑さですね。
夏好きの私はこの状態がずっと続けばと思っておりますが・・・。
皆様お体には気をつけてもう少しの夏を楽しんでください。
![]()

投稿者 yoshimoto : 07:01 AM | コメント (0)
August 22, 2006
人財
雇用することは非常に難しいことです。
歯科での雇用はどうしても女性に限られてきます。結婚・出産・育児のため年齢的に中間層の方がいません。20代か40代となってしまいます。
これから仕事にも慣れてバリバリとやってもらえるかなと思うと退職というケースが多いです。また子供の手も離れた40代の衛生士を雇用するとブランクの十数年の間での医療の進歩による新しい器具の使用、保険の解釈の変更、患者への指導内容の違い等々、戸惑うことばかりで辞めていかれる方が多いのも現実です。
人材ではなく人財であるとつくづく思います。
![]()
投稿者 yoshimoto : 06:59 AM | コメント (0)
August 18, 2006
保健所検診
昨日お昼から保健所で3歳児検診を行ってきました。
最近のお子さんはほとんど虫歯はありません。
また定期的に歯科に通院されてる方も多いようです。
今日の写真は単針といって小さな虫歯を発見するのに大事な器具です。
この器具が3年前から保健所検診で使用できなくなりました。
ある大学の教授がこれで虫歯でもない歯を傷つけたり、また虫歯になりかけの歯を虫歯にしたりしていると発表したためです。
この記事を読んだお母様からの苦情により保健所では一切使用禁止になりました。
本当にばかげた話です。使い方が問題でありこの器具を使用しないために発見できなかった虫歯はどうするんでしょうか?
もう保健所での集団検診の意味があるのかどうかを考える時期では?
![]()
投稿者 yoshimoto : 07:00 AM | コメント (0)
August 17, 2006
47歳誕生日
昨日は私の47歳の誕生日でした。
8月16日という日は学生時代は夏休みの真っ最中、社会人になってからはお盆休み中と友達と会うこともなく直接に誕生日の言葉をかけられることは無かったです。
結婚してからかな毎年祝ってもらえるようになったのは。
善本歯科医院スタッフからもプレゼントいただきました。
Tシャツとビーチサンダルでーす。似合っているでしょ?
最高のスタッフと仕事が出来るのが一番のプレゼントです。
![]()
投稿者 yoshimoto : 07:06 AM | コメント (4)
August 07, 2006
電動注射器
電動の注射器で麻酔注射を受けられたことがありますか?
または麻酔注射するときに先生の手が小刻みに震えるのを経験したことがありますか?
実は歯科の麻酔注射は一般的な注射と異なる面があります。
骨の中に直接針先を入れたり、また歯根膜腔という数ミクロンの空隙に針先を入れて注射を行うことが多々あります。
どうしてもかなりの握力を必要とし針先がぶれたり手が震えたりしてしまいます。
そこで出来たのがこの電動式です。まったく握力もいらないし、さらにもっと針を細く出来るため患者様の痛みの負担も軽減できました。
うちではもう10年も前からこれを使用しています。
絶対に手放せない器具の一つです。
![]()
投稿者 yoshimoto : 07:19 AM | コメント (0)
July 31, 2006
元スタッフからの暑中見舞い
やっと梅雨が明けましたね。でも今朝もやはり厚い雲に覆われたどんよりとした天気、気分はスッキリとしませんね。
懐かしの元スタッフからの暑中見舞いが届きました。
なべへ
丁寧な字でハガキ一面に書き綴られた文章。人間としてのやさしさ一杯の言葉に君と一緒に仕事が出来た時代があったことを私は誇りに思っています。
辞める時に君が私に言った言葉は一生忘れないし心の中の宝物として取っています。
・・・『いつかまた善本歯科に戻ってきてもいいですか?』・・・・
なべの優しさは次のスタッフへと受け継がれていますよ。
![]()
投稿者 yoshimoto : 06:53 AM | コメント (0)
July 27, 2006
酸化電位水(強酸性水)
酸化電位水って聞いたことありますか?
アルカリイオン水は聞いたことがありますよね。アルカリイオン水を生成すると同時に酸性水が生成されます。
家庭用でアルカリイオン水を生成できる器械より少しパワーアップするとよりPH値の低い酸性水ができますこれを酸化電位水(強酸性水)といいます。
だからなんなんやー・・・といわれそうですがこれが魔法の水と言われ医療現場では頻繁に使われています。
いわゆる殺菌消毒剤です。でも作り方は水から作るため人体には無害でさらにランニングコストがかからないという優れものです。
万が一飲んでも無害ですしまた患者様の衣服にこぼしても水ですので汚れません。
ネットで一度検索して詳しく見てください。皆様の知らない水がこの世の中にはあるんですよ!
![]()
酸化電位水生成器
投稿者 yoshimoto : 07:04 AM | コメント (0)
July 26, 2006
傘・かさ・カサ
この写真はスッタフ用の傘立てです。
現在朝の7時30分、もちろんスッタフはまだ来てませんし、今日は曇りで雨は降っていません。
傘の数、22本。
全て患者様の忘れていった傘です。
いかに今年雨が多いいかわかりますよね。
患者様の物なのでなかなか捨てるに捨てれません。したがって雨の日はスッタフの傘を入れるスペースがなくて困っています。
早く梅雨よ、あけろ~。
今日も梅雨明けカウントダウン、ウジウジブログでした。
![]()
投稿者 yoshimoto : 07:19 AM | コメント (0)
July 22, 2006
資料作り
20日に医療保険担当者連絡協議会が兵庫県歯科医師会で行われその報告会を須磨区歯科医師会で27日に行う予定です。
そのための資料作りで現在てんてこ舞いです。
このブログ更新の時間を見ていただければ分かると思いますが今朝も5時に医院に出てきてパソコンの前で悪戦苦闘です。
今日の写真はデジタル録音機です。以前は会議をカセットテープに録音し聞いていましたがこの器械が出てから録音した音を聞くのが楽になりました。
まず音がクリアー、で長時間録音できる。デジタルなので聞きたいところが一発再生できる。さらに任意の早送り速度が設定できるので2時間ぐらいの会議を1時間ぐらいで聞き返すことができる・・・・・。
まだまだいいところがいっぱいあります。
したがって会議中は寝てても大丈夫ヾ(~∇~;) コレコレ
![]()
投稿者 yoshimoto : 05:30 AM | コメント (0)
July 21, 2006
歯科点数改正の波紋
今年の4月に歯科の保険点数改悪が行われたことはこのブログで書きましたが、昨日兵庫県歯科医師会で県下のの医療保険担当者を集めてのその後の解釈変更点にかんしての説明会があり出席して参りました。
簡単に述べますとこの4月から点数の大幅な引き下げが行われました。
これだけを述べると患者様にとっては医療費の負担が減るので望ましいことと思われますが、いままで保険で出来ていたことが出来なくなった部分があるということも認識していただきたいと思います。
特に予防歯科関係は保険から外されました。すなわち自費ということになります。
政府の考えは今後最終的に“かぶせる治療”に関しても保険から外そうとしております。
国の医療費負担は減りますが個人の負担が増えるということになります。
どんなに歯科医師会が反対しても将来的にはこのような事態が来ることは避けられないと思います。
残念ながら・・・・・。
![]()
熱弁を奮う兵庫県歯科医師会会長
投稿者 yoshimoto : 06:30 AM | コメント (0)
July 14, 2006
清潔スリッパ
新しく作られる病院は全てバリアフリーが原則です。したがってスリッパに履き替えることなく診察室への行き来ができます。
診察室を清潔に・・・という観点からはスリッパに履き替えたほうがいいですよね。
でも履き替える動作や待合室と診察室とのちょっとした段差がお年寄りにはかなりの不自由を感じているようです。
せめて履き替えるスリッパだけでも清潔にとスリッパ殺菌器を使用しています。
この殺菌器の優れているところはスイッチ一つで自動でスリッパが出できて上に置くと自動で収納されます。しかも10足が収納され下から順番に出てくるため十分に殺菌後スリッパが使用できる仕組みになっています。
特に夏の素足の季節にでも気にせずスリッパが使用できます。
![]()
投稿者 yoshimoto : 07:09 AM | コメント (0)
July 13, 2006
レントゲン写真(5)
もう15年前になると思いますがこの用に虫歯を放置したために顎の骨の2/3以上の大きさののう胞ができてしまった患者様がいました。
もちろん悪い病気ではないので3日程の入院手術で完治しましたが・・・・・。
やっぱり痛くないから放置することは怖いですね。
![]()

投稿者 yoshimoto : 07:34 AM | コメント (0)
July 10, 2006
レントゲン写真(4)
親知らずを抜くと痛くて腫れるとよく言いますが全てが全てというわけではありません。
今日のレントゲン写真のようにまったく横向きでしかもしっかりと骨の中にあるようなケースでは骨を割りさらに歯を何分割かに切断して抜くしかありません。
当然腫れますよね。
![]()
投稿者 yoshimoto : 07:10 AM | コメント (0)
July 09, 2006
レントゲン写真(3)
歯の病気にもいろいろあります。単なる虫歯と考えていると大変なことになることもあります。
根っこの先に出来る膿の袋は大きさによっては大きな入院手術になることも・・・・・。
今日のレントゲン写真は昨日紹介したものより根っこの先の黒い部分が大きいのがわかると思います。
まだこの程度なら単なる抜歯だけで済みますが・・・・。つづく
![]()
投稿者 yoshimoto : 07:33 AM | コメント (0)
July 08, 2006
レントゲン写真(2)
歯が痛くないから大丈夫とか歯が痛いから大変とか患者様はどうしても痛さを基準に程度を判断してしまいます。
例えば今日のレントゲン写真の患者様は全く痛みも感じないし噛むのに不自由も無い状態ですが実際には真ん中の2本の歯の根っこの先を見てください黒く写っていますよね。昨日お話したように黒く写っているところは穴が開いているということですから根っこの先の骨が溶けて無くなっているということです。
原因は虫歯を放置しさらに感染が広まり根っこの中の神経が腐り根っこの先に膿が溜まってしまった為です。
痛くなく進行している場合がありますのでやっぱり定期的に歯医者さんに行きましょうね。 ![]()
投稿者 yoshimoto : 07:04 AM | コメント (0)
July 07, 2006
レントゲン写真
皆さんは虫歯がレントゲン上どのように写るかご存知ですか?
レントゲンを当てるとフィルム上には金属や骨など密度の高いものは白く写り、また軟組織や虫歯の部分は黒く写ります。
下のレントゲン写真でどの歯が虫歯か分かりますよね?
一番左の歯が黒く写っているのがはっきりと分かると思います。
さて質問です。その隣の歯も虫歯です。
さてどの部分が虫歯でしょうか?
![]()
投稿者 yoshimoto : 06:48 AM | コメント (4)
July 06, 2006
絵本の力
先日私の患者ではなく私の父である大先生の患者様が診療室に泣きながら入ってきました。どうしたのかなと気にしながら私自身の患者様の診療を続けながら耳を傾けると十数年一緒に生活をしていた猫ちゃんが亡くなってお葬式を済ませてきたとのことでした。たかがペットなんですがこの気持ちは実際に経験した方でなくては理解できないでしょうが想像以上につらくて悲しいことです。父も治療はせずにずっと患者様の話し相手になっていました。
犬の国ピタワンの絵本が完成して2~3日後の出来事でしたので受け付けで待合室に置いてあった絵本をプレゼントしました。その後その患者様からは気持ちが和みありがとうございましたとの感謝の言葉をいただきました。
“絵本の持つ力”ってすごいなーってつくづく思い知らされました。
![]()
犬の国ピタワンの絵本の裏表紙に紹介されている善本ジャッキー君です。
投稿者 yoshimoto : 07:02 AM | コメント (0)
July 03, 2006
歯周病(4)
歯周病がもうどんな病気か理解していただけたと思います。
ハグキだけの病気なら全く怖くはありません。でも本当はハグキの下で歯と骨とをつなげる靭帯が壊されさらに歯を支えている骨が溶かされる病気なのです。
ただ口の中をみただけではわかりません。レントゲンを撮りさらに下の図のように一本、一本の歯のポケットの深さを測る検査を受けてどの歯がどの程度歯周病が進んでいるのか進んでいないのかを調べてもらってくださいね。
![]()
投稿者 yoshimoto : 07:24 AM | コメント (2)
June 30, 2006
暑中見舞い
善本歯科医院は衛生士学校の生徒の実習受け入れ病院となりもう35年以上になります。その間に多くの衛生士の卵と接し多くの勉強をさせてもらいました。
6月7日のブログで元実習生から一枚の近況を報告するハガキを頂いたことを紹介しましたが昨日変わった暑中見舞いが届きました。
かわいいでしょう。なんか梅雨があけたイメージがわいてきて学生時代の夏休みって感じですね。
兵庫歯科学院の元実習生からの暑中見舞いのはがきです。
この裏にメッセージが書いてあります。こういうちょっとした近況報告が届くとうれしいものですね。(゚ー゚)(。_。)ウンウン
![]()
・・・山下君元気にやっているみたいですね。暑中見舞いありがと。君の事はよく覚えています。いつも笑顔を忘れずに・・・・・
投稿者 yoshimoto : 07:25 AM | コメント (0)
June 29, 2006
歯周病(3)
今日のイラスト写真をみていただくとよくわかると思いますが歯と歯槽骨をつなぐ赤い部分が歯根膜という靱帯です。
歯周病とは読んで字のごとく歯の周りの病気と書きます。何度も言いますが歯の周りには歯肉・歯槽骨・歯根膜がありこれらが侵されていく病気です。
でもなぜ骨までを溶かしていくのに痛みを感じないのでしょうか?
骨が溶かされる病気って他で聞いたことがありますか?・・・・・つづく
![]()
投稿者 yoshimoto : 06:53 AM | コメント (0)
June 28, 2006
歯周病(2)
歯周病ってなんですか?
答えは歯の周りにある「歯肉・歯槽骨・歯根膜(歯と歯槽骨をつなぐ靭帯)がおかされる病気のことです」
歯を支えているものは何ですか?
答えは「骨」です。
堅い骨の中に歯の根っこが埋まっているからこそしっかりと噛めるのです。
それではなぜ歯周病になるとしっかりと噛めなくなるのでしょうか?
それは歯を支えている歯槽骨が歯周病菌の毒素により溶かされ無くなっていくからです。
下のイラストの一番右端の歯の根っこほとんど骨の中にはないですよね。
こんな状態の歯でしっかりと噛めるでしょうか?・・・・・つづく
![]()
投稿者 yoshimoto : 06:55 AM | コメント (0)
June 27, 2006
歯周病(1)
久しぶりに歯のことについて書きます。
今回は歯周病シリーズです。
患者様にいつもする質問です。
「歯周病って何の病気ですか?」
「歯は何で支えられていますか?」
この両方の質問に対する患者様の答えは99%「ハグキ(歯肉)」と答えます。
皆さん冷静に考えてみてください。
ししゅうびょうは歯周病って漢字で書きますよね。歯の周りの病気という意味ですよね。歯の周りにはハグキしかないのでしょうか?
また歯を支えているのがハグキ(歯肉)なら噛めるでしょうか?だってハグキは1mmしか厚みのない肉ですよ。そんな薄い肉が歯を支えて堅いものを噛むことができるでしょうか?
どうですか歯周病に対する考え方が間違っているのにき気づき出しましたか?・・・つづく
![]()
投稿者 yoshimoto : 07:11 AM | コメント (0)
June 14, 2006
ショック続く=(´□`)⇒グサッ!!
忘れようとはするんですが頭からサッカーの事が離れません。
サッカーの霊にとりつかれているのでは・・・・・。
首のあたりがなんだか重く感じます。ε= (´∞` ) ハァー
![]()
投稿者 yoshimoto : 07:03 AM | コメント (0)
June 13, 2006
ブログお休みのお知らせ
本日のブログはW杯ショックのためお休みさせていただきます。
大変申し訳ございません。
![]()
投稿者 yoshimoto : 07:23 AM | コメント (2)
June 09, 2006
これもハブラシですよ~
こんなハブラシ見たことありますか?
細かな隙間まで磨けて非常に優れものです。
一度皆さん試して下さい。手放せなくなると思います。
![]()
投稿者 yoshimoto : 07:19 AM | コメント (4)
June 08, 2006
乳酸菌
乳酸菌ってすごいですよね。悪い菌と戦ってくれて体を正常な状態に戻してくれます。
ダイエットのテレビ番組で“すぐき”という京漬物が紹介されたのをご存知ですか?
この漬物から新しい乳酸菌が発見されました。この乳酸菌は80%が腸まで届き腸内を正常な状態にしてくれる超乳酸菌だそうです。
皆さんは乳酸菌は腸内だけでがんばってくれているとおもっていませんか?
今日の写真で紹介している乳酸菌LS1は口の中で歯周病菌と戦ってくれる乳酸菌です。
特に口臭の原因となる歯周病菌を殺菌し口臭の元から絶ってくれるというこれもまた超乳酸菌です。
人気ブログランキングへのクリック宜しく![]()
投稿者 yoshimoto : 07:22 AM | コメント (0)
June 07, 2006
アテンションプリーズ
ドラマ、アテンションプリーズは面白いですね。46歳歯科医師がみるテレビではないかな?
キャビンアテンダントの訓練生からりっぱなキャビンアテンダントになっていくというドラマなんですが、善本歯科医院にも毎年衛生士の実習生がきます。今年は9月と10月の2ヶ月間です。もう30年以上善本歯科医院は衛生士の実習受け入れを行っております。
衛生士学校の生徒には非常に厳しい実習先として有名です。
必ず実習生に私が最初に言う言葉です。
「患者様を傷つけなければ失敗をしても一切私は怒りません。だからどんどん失敗するように」
・・・・・でも患者様を肉体的、精神的に傷つけない失敗ってないんですよね。
私が言うこの言葉の重さをいつも勉強してもらっています。
でも毎年実習生から教えられることも多々あります。
今日の写真は私の技工室の机の前に置かれた歴代のスタッフの写真です。この中に写真ではなく一枚のはがきがあるのがわかると思います。
去年衛生士の実習に来られた小形君からのはがきです。国家試験に無事受かり就職し元気に働いていますという内容です。この中での一文が嬉しくてはがきを捨てずにずっと飾っています。
“何事にも患者さんの立場になって考え、行動できる衛生士になりたいと思っています”
この気持ちを忘れず小形君がんばって下さい。
人気ブログランキングへのクリック宜しく![]()
投稿者 yoshimoto : 07:09 AM | コメント (0)
June 05, 2006
虫歯予防週間
昨日は6月4日、虫歯予防デーでした。今週は虫歯予防週間になっております。
実際にはもちろん毎日が虫歯予防ですが、この機会に気になる方は歯科を受診しましょうね。
今日の写真は当医院の受付カウンターに並べられた虫歯予防、及び歯周病予防グッズです。本当にいろいろな種類がありますがそれぞれ意味あるものばかりです。
人気ブログランキングへのクリック宜しく![]()
投稿者 yoshimoto : 07:10 AM | コメント (0)
May 31, 2006
デジタル化
私の医院でレセプトコンピューター(コンピューターを使用し保険請求書を作成する方法)を導入したのが昭和62年からでした。当時このコンピューターを入れている医院は10%以下だったと思います。
コンピューターを入れる大きな利点は患者管理が簡単に出来るということです。一つ例を出して言いますと昭和62年以降来られた患者様のカルテはすぐに取り出せて当医院で処置した内容は全て把握できるということです。
レントゲンにもデジタルとアナログがあるのをご存知ですか?デジタルレントゲンはすばらしいです。まず照射レントゲン量が1/3でいいし、画像がクリアーで診断がつきやすい。本当に優れものです。
当医院もそろそろレントゲンのデジタル化を考えています。
出来れば今年中に・・・。でもおそろしく高い。w(゚o゚)w オオー!
人気ブログランキングへのクリック宜しく![]()

投稿者 yoshimoto : 07:10 AM | コメント (0)
May 27, 2006
インプラント(4)
インプラント体を埋入した後写真のような状態で下顎は3ヶ月、上顎は6ヶ月状態を見ます。
そうすることによりインプラント体が骨と癒着しはずれなくなります。
![]()
投稿者 yoshimoto : 07:11 AM | コメント (0)
May 26, 2006
インプラント(3)
骨にドリルで穴を開けた後インプラントを埋入します。
写真のネジのような物がインプラント体です。・・・つづく
![]()
投稿者 yoshimoto : 07:13 AM | コメント (0)
May 25, 2006
インプラント(2)
歯が無くなってしまった後の治療法にはいろいろありますがその一つにインプラントという方法があります。
まず歯肉を剥離し骨を露出させます。写真では分かりやすくするため歯肉のない下顎骨をしめしています。
ここに専用のドリルを使用して穴を開けていきます。 ・・・ つづく
![]()
投稿者 yoshimoto : 06:56 AM | コメント (0)
May 24, 2006
インプラント
あなたがもし写真のように歯が無くなってしまったらどうしますか?
入れ歯にしますか?
もちろんこのようになってしまったのは自分自身のせいです。
なぜこのようになってしまったかを理解してから必ず治療に望んでください。
そうでないと残っている歯もだめになり総入れ歯になってしまいますよ。
明日からはインプラントを使用しての治療法を紹介します。
![]()
投稿者 yoshimoto : 07:08 AM | コメント (0)
May 23, 2006
光重合型レジン
歯の詰め物で金属ではなく歯と同じような色の詰め物がありますよね。
特に前歯の小さな虫歯に使用する物です。これを“光重合形レジン”と言います。
光重合とは特殊な光を当てることにより固まるという意味です。
今日の写真がその光を出す器械です。
以前はこの器械4~50万もする高価な器械でしたがLEDの発明により10万前後で購入できるようになりました。
それにしても歯科の機材は高すぎる。(≧ヘ≦) ムゥ
人気ブログランキングへのクリック宜しく![]()
投稿者 yoshimoto : 07:12 AM | コメント (2)
May 19, 2006
スタッフ誕生日
5月16日は衛生士ナオミキャンベルの2?才の誕生日でした。
スタッフ全員からおいしそうな誕生日ケーキをプレゼントされ本当に嬉しそうでした。
私は今ダイエット中なのでケーキはちょっとと思いながらも誘惑には勝てず食べてしまいました。
あーおいしかった。
3日遅れましたがお誕生日おめでとう。
人気ブログランキングへのクリック宜しく![]()
投稿者 yoshimoto : 07:10 AM | コメント (0)
May 17, 2006
似顔絵(最終回)
現在一番大きな似顔絵の活用法です。
医院はビルの3階にあります。
通りに面した窓一面にこのように・・・・・。
人気ブログランキングへのクリック宜しく![]()

投稿者 yoshimoto : 07:20 AM | コメント (2)
May 16, 2006
似顔絵(5)
ついに完成です。
自分のイメージしたものになりました。2ヶ月ほどかかりました。
何事もあきらめずに・・・。もちろん治療もあきらめず納得がいくまでがんばります。
人気ブログランキングへのクリック宜しく![]()

投稿者 yoshimoto : 07:20 AM | コメント (4)
May 15, 2006
似顔絵(4)
私を知っている方ならわかると思いますがこの似顔絵ほど男前ではありません。
今回のは少し面長でかっこよすぎます。
またまたまた書き換えをお願いしました。
人気ブログランキングへのクリック宜しく![]()
.jpg)
投稿者 yoshimoto : 07:05 AM | コメント (2)
May 14, 2006
似顔絵(3)
昨日の似顔絵に対しての抗議メールにより作製されてきたのが今日の似顔絵の作品です。
あのやらしい感じは取れましたが全然似ていません。
顔が角ばっているのか、太っているのかまたまたやり直しをお願い致しました。
ここまでかかった日数が1ヶ月。なかなか思う似顔絵ができません。
果たしてイメージに合った似顔絵なんてできるのかなって迷い出していました。
![]()

投稿者 yoshimoto : 05:36 AM | コメント (0)
May 13, 2006
似顔絵(2)
キャー変態、って叫びたくなるような似顔絵でしょ?
昨日のブログでの似顔絵にもうすこしマンガっぽくしてくださいと言うとこんなのが送られてきたんです。
即刻抗議のメールを送りました。“歯科医院のイメージとしてこんな絵を載せれるとでもあなたは思っているのですか。こんな顔の先生のところに誰が行きますか。もっと考えて似顔絵を描いてください”
たぶんこんな感じで書いたのを覚えています。
実際変ですよね?・・・ええっこれのほうが似てるってヽ(´o`; オイオイ (^^;ナンデヤネン
さてこの絵がこの抗議文でどのように変わったかは明日載せますので。
人気ブログランキングへのクリック宜しく![]()

投稿者 yoshimoto : 07:02 AM | コメント (2)
May 12, 2006
似顔絵(1)
ある歯科のセミナーに参加したとき医院のイメージそして初めて来院される患者様に院長はどんな人なのかをわかってもらえるには似顔絵を作成し診察券や看板にいれることは非常に重要なことである。と言われ4年ぐらい前に作成しました。
もちろんインターネットで調べ納得行くまで何度でも書き換えてくれるというサイトを見つけお願いするもこちらのイメージがどうしてもうまく伝えられず悪戦苦闘でした。
この似顔絵は一番最初に作成されたものです。
悪くはないのですが単なる似顔絵って感じで却下しました。
人気ブログランキングへのクリック宜しく![]()

投稿者 yoshimoto : 07:22 AM | コメント (2)
May 11, 2006
キーンキーン・・・(゚_゚i)タラー・・・
これが皆様が歯医者に行きたくない、怖いと思わせているキーンキーンとなるあの削る器械の正体です。
正体をみればかわいいでしょ(^^;ナンデヤネン
名前は“タービン”と言います。正式名称ですよ。(^_^)ニコニコ
最近のすぐれているところは写真でわかるように器械の先にライトがついていることです。
口の中でよく削る部位がわかり治療がしやすくなりました。
これからは“タービン君”を怖がらないで下さいね (^0^ゞ らじゃ
人気ブログランキングへのクリック宜しく![]()
投稿者 yoshimoto : 07:31 AM | コメント (2)
May 09, 2006
ディスポーザルエプロン
エプロンを使い捨てに昨日より変えました。
エプロンの洗濯のことや衛生面を考えると使い捨てエプロンの方が良いかと思いまして。
エプロンを止めるクリップをよく見てください。
歯がエプロンをくわえているでしょ=*^-^*=にこっ♪いいでしょ
人気ブログランキングへのクリック宜しく![]()
投稿者 yoshimoto : 07:35 AM | コメント (5)
May 08, 2006
部分入れ歯(4)
5月6日のブログで説明しました金属バネを使わない入れ歯(ノンクラスプデンチャー)はこのプラスティックの驚異的な弾力を利用することにより可能となりました。
また向こうが透けるくらい薄いのも特徴です。
人気ブログランキングへのクリック宜しく![]()
投稿者 yoshimoto : 06:56 AM | コメント (3)
May 06, 2006
部分入れ歯(3)
部分入れ歯の金属バネを正式にはクラスプと言います。
この部分が見えて気になるためクラスプを白くコーティングしたり、アタッチメントと言って特殊な装置を取り付けたりいろんな試みを行いクラスプが目立たないように工夫されてきました。
ただどうしても高価なものとなりあまり一般には使われていませんでした。
下の写真は特殊なプラスティックを使用することによりクラスプを使用せずに部分入れ歯を作ることが出来た画期的なものです。
以前に比べると値段も安価ですみます。
よく見ると小さな金属が見えますがこれは噛んだときに入れ歯が沈下しないようにするレストというものです。
人気ブログランキングへのクリック宜しく![]()
投稿者 yoshimoto : 06:25 AM | コメント (2)
May 05, 2006
恐るべしマウスピース
何度かにわけてマウスピースに関しての説明をしてきましたが今回あらためてすばらしさを痛感しました。
それはゴルフでの飛距離です。
私は165cm、60kgと小柄のためゴルフでは飛ぶほうではありません。いつも一緒に回らせていただくシングルプレーヤーと距離を比較すると20~30ヤードは置いていかれます。
それがなんと5月3日のゴルフではオーバードライブ(相手よりもよく飛ぶこと)すること数回。w(゚o゚)w オオー!
ほんと、びっくりの連続でした。
でも2ヶ月ぶりのラウンド、さらに交通事故のため練習は一切していなかったのでスコアーは散々でした。Σ( ̄ロ ̄lll) ガビーン
![]()
投稿者 yoshimoto : 06:05 AM | コメント (0)
April 28, 2006
部分入れ歯(2)
完成した部分入れ歯の写真です。
初めて入れられる方で一番抵抗があるのが入れ歯をはずれないようにするために取り付けられているこの金属バネです。
これが見えると入れ歯が入っているのがわかってしまうからです。
でもこれがなければ入れ歯は落ちてしまい噛めませんからしかたがないですね。(´_`。)グスン
人気ブログランキングへのクリック宜しく![]()

投稿者 yoshimoto : 07:06 AM | コメント (0)
April 27, 2006
エリザベス誕生日おめでとう
昨日は善本歯科医院の美人受付嬢エリザベスの21歳(?)の誕生日でした。
(*^▽^)/★*☆オメデト♪
スタッフ全員からのバースデーケーキは心がこもっていておいしかったね。
いつまでも皆仲良く、そして笑顔を忘れずがんばってください。
人気ブログランキングへのクリック宜しく![]()
投稿者 yoshimoto : 06:14 AM | コメント (4)
April 26, 2006
部分入れ歯(1)
歯が一部無くなった場合ブリッジやインプラントや部分入れ歯で対応します。
よくやられるのが部分入れ歯です。
写真のように咬合器というものに患者様の模型を装着し歯を並べていきます。このあと実際に患者様の口に入れてかみ合わせや歯並びが問題ないかどうか確認したあと完成に出します。
やはりこんなものが口に入るのは嫌ですよね。
だったらやはり歯周病予防にがんばりましょうね。(*^-^)ニコ
人気ブログランキングへのクリック宜しく![]()
投稿者 yoshimoto : 06:42 AM | コメント (0)
April 22, 2006
神経を取る治療(2)
神経が通る穴って結構複雑で曲がりくねっています。
単純で太いまっすぐな穴はほとんどないです。
写真のような根っこの先が完全にU字型をしていたら普通の器具ではきれいに根っこの穴の治療はできません。右端の器具のように曲がってしまいそして折れてしまいます。
でも善本歯科医院では安心(完全に自慢話です(^_^)ニコニコ )左端のようにNi-Tiの器具を使って治療をしますのでどんなに曲がりくねった根っこの穴でもきれいにしますよ。
人気ブログランキングへのクリック宜しく![]()
投稿者 yoshimoto : 06:27 AM | コメント (0)
April 21, 2006
神経を取る治療(1)
神経を取るにはこのように大きく穴を開けて取らなければなりません。
この歯はよく見ると神経が通る小さな穴が3つ見えると思います。
その穴にリーマー、ファイルという器具を入れて根っこの穴を拡大していきます。
2つ目の写真で器具の先端が根っこの先から出ているのがわかると思います。
実際には器具の先が根っこの先から出ないように測定して治療します。
神経を取るってこんなことを口の中でしてたんですよ。
人気ブログランキングへのクリック宜しく![]()
投稿者 yoshimoto : 07:22 AM | コメント (0)
April 20, 2006
右下第2大臼歯
皆さんは抜歯された歯を見たことがありますか?
この写真は実際の抜歯した歯です。位置は右下の7番目の歯です。
もちろん抜いたばかりの写真はグロテスクなのできれいに研磨してピカピカに光らせています。
上のやや白い部分がエナメル質で下の黄色い部分がセメント質と言います。
根っこの部分は結構複雑で中がくぼんでいます。
でもなぜこんなにしっかりした根を持っている歯を抜かなければならなくなったのでしょうか?
全て歯周病が原因です。
“歯周病って何”って患者様に質問すると100人が100人歯ぐきの病気と答えさらに“歯を支えているのは何”って質問すると同じく100人が100人歯ぐきって答えます。
・・・・・・・ブッブー× さて答えは何?
人気ブログランキングへのクリック宜しく![]()
投稿者 yoshimoto : 06:50 AM | コメント (0)
April 17, 2006
スタッフ自慢
今日は私の誕生日。・・・ではありません。
昨日デジカメの画像を整理していたら去年の誕生日にスタッフから頂いたケーキの写真が出てきたので今日はそれを紹介します。
私の似顔絵を描いた誕生日ケーキです。
びっくりでしょ!こんなのを頂いたときにはなんか“うるうる”って感じになりますよね。
よく気が付きやさしい心を持ったスタッフです。
なんか恥ずかしいのでこのブログはスタッフが見ませんように。
今日は私の医院のスタッフ自慢でした。ちなみに私の誕生日は8月16日です。
人気ブログへのクリックお願いします。![]()

投稿者 yoshimoto : 06:59 AM | コメント (6)
April 15, 2006
スポーツマウスピース(5)
スポーツマウスピースは単に体が柔軟になるというだけではなくスポーツをするうえでもう一つ大事な事体のバランスをよくします。
この写真のようにスポーツマウスピースを着けずに体を横から押すと簡単にバランスを崩します。
さてスポーツマウスピースを着けるとどうなるでしょうか?“続きを読む”をクリックしてください。
このように同じ力で押してもバランスを保つことが出来ます。
以上が5回にわたって連載してきましたスポーツマウスピース関しての一部です。
まだまだ語らなければならないことがありますがこの話はこれで終わりたいと思います。
今回の話は全て三浦先生の講習会から教えてもらった事です。これから自分なりにマウスピース製作に関して取り組んで行きたいと思います。
人気ブログランキングへのクリック宜しく![]()
投稿者 yoshimoto : 07:21 AM | コメント (0)
April 14, 2006
スポーツマウスピース(4)
まだ信じてもらえていないみたいですね(ノ△・。)
実はスタッフにも信じてもらってなかったみたいでした。
そこでスタッフに私が作ったマウスピースを着けてもらいました。
この写真は着ける前です。非常に体が堅いですよね。
マウスピースを着けた写真をみるには下の“続きを読む”をクリックしてください。
もう信じてもらえますよね。
人気ブログランキンへのクリック宜しく![]()
投稿者 yoshimoto : 07:20 AM | コメント (0)
April 13, 2006
スポーツマウスピース(3)
どうもまだマウスピースが身体的能力アップにつながるとは思っていない方が多いようですね。
それでは見せましょう。ワクワク♪o(^o^o)(o^o^)oワクワク♪
この写真がマウスピースを着ける前です。
嘘ではありません本当に私は体が堅いんです。
下の続きを読むをクリックしてください。次のページに驚きの写真が・・・。
まったくのやらせではありません。
これが全てのことを考えて作ったマウスピースを装着した瞬間の写真です。
嘘ではないですよ。o(*^▽^*)oエヘヘ!
面白かったらクリックお願いします。![]()
投稿者 yoshimoto : 07:15 AM | コメント (0)
April 12, 2006
スポーツマウスピース(2)
皆さん何かスポーツはされますか?
スポーツマウスピースをされてスポーツをされているかたはいらっしゃりますか?
最近はマウスガード、すなわち口、歯、頚椎そして脳を守るためにマウスガード(マウスピース)を入れてスポーツをすることが推奨されています。
しかしこのマウスピースに大きな落とし穴があるってことを知っている方は少ないと思います。
マウスピースの厚さは?噛んだときの高さは?上顎と下顎何ミリ左右どちらにずれていますか?何ミリ前にずれていますか?どの色を選んでいますか?筋力アップがしたいですか?柔軟性を重視したいですか?体のバランスが重要ですか?
間違ったマウスピースを入れると運動能力は落ちてしまいますが全ての条件や何に重点を置くかを考えて作られたマウスピースを装着してスポーツをすると能力がアップします。
えーほんとう?まさかって思うでしょ。100%本当の話なんですよ。
能力アップを考えるならマウスピースを入れるときは歯医者さんと相談してくださいね。
もちろんマウスガードだけの意味でしたらどれでもいいですよ。
面白かったらクリックお願いします。![]()
投稿者 yoshimoto : 07:18 AM | コメント (0)
April 11, 2006
3Mix-MP法(3)
事故や講習会で3Mix-MP法の説明が途中になってしまい申し訳ございませんでした。
以前に説明したとおり3つの薬剤を混ぜそしてMPを入れることにより糊剤として使用すると説明しましたが、この写真が実際の粉状にした薬とMPです。
薬剤量の比率は左から3:3:1の割合で混ぜます。
そして混ぜ合わせた薬剤とMPとの割合が7:1となるようにします。
この辺の知識は皆様には必要ないと思いますが参考までに。
![]()
これが全ての薬剤を混ぜた状態です。
この黄色の薬を虫歯の部分に入れふたをすればOKです。
投稿者 yoshimoto : 07:00 AM | コメント (0)
April 08, 2006
スポーツマウスピース(1)
交通事故でいろいろ皆様にはご心配をお掛けしました。
頚椎捻挫はどうしても時間がかかりますがゆっくりと直して行きたいと思います。
本当はゆっくりと週末を過ごしたいところなんですが今日から東京にスポーツマウスピースの講習を2日間受けに行きます。
この先生は格闘技界では有名なマウスピースの先生らしく多くの選手が通っているそうです。
なにかいい話が聞ければ低迷を続けているVISSELの選手に役立てばと思っております。
また詳しい内容に関しましては後日報告致します。
人気ブログランキング![]()

投稿者 yoshimoto : 06:11 AM | コメント (0)
April 06, 2006
3Mix-MP法(2)
昨日は3Mixの意味を説明しましたが、本日はMPの意味を説明します。
もともとは3Mix-MP法ではなく3Mix法で行われていましたが、3Mixだと薬剤が安定した状態で持続的・効果的に作用しないため治療効果があまり期待できませんでした。
そこで3Mix法に変わり3Mix-MP法が開発されました。
下の写真にあるようにソルベース(マクロゴール)とプロピレングリコールを混ぜることにより糊剤として薬を使用でき操作性が増しました。
このマクロゴールのMとプロピレングリコールPからMP法と呼ばれております。
投稿者 yoshimoto : 07:04 AM | コメント (2)
April 05, 2006
3Mix-MP法(1)
今日から数回にわけて3Mix-MP法について説明したいと思います。
3Mix-MP法って聞いたことないよっていう方へ簡単に説明すると、虫歯の部分を全部削らずに残しその残した虫歯の上にに特殊な薬を入れふたをすることにより虫歯の部分で組織再生がおこり治癒するという夢のような方法です。
以前なら深い虫歯なら必ず神経を取らなければならなかったのが神経を残すことが可能になりました。もちろん適応症があり全てに万能というわけではありません。
まず第一回目は3Mix-MP法の3Mixとは・・・・・・
下の写真にあるようにシプロキサン、アスゾール、ミノマイシンという3つの薬を混ぜる(Mix)することを言います。すなわちこれが3Mixの意味です。
明日は3Mix-MP法のMPとは・・・・
どうですか?歯科のホームページっぽいでしょ =*^-^*=にこっ♪
人気ランキングへのクリックも宜しく
投稿者 yoshimoto : 07:13 AM | コメント (2)
April 04, 2006
てんてこ舞いの診療
以前に4月1日より歯科保険点数の抜本的改正が行われるとお話しましたが実際現場では大変なことになっています。
一番の改正点は指導や一部の処置や診断を行ったときに患者に文書を提供しなければいけないことです。
ただこの文書が簡単なものでなくまずなんといっても書くのにかなりの時間がかかりさらにカルテにも記載。肝心の歯科処置・指導の時間を削るわけにはいかず待合室では待ち時間がかかり不平不満。スタッフも私も決められたことをきちっと行うためにてんやわんやの大騒ぎ状態です。
しばらくは患者様にご迷惑をお掛けしますが私たちはルールにのっとった保険診療をするしかなく申し訳なく思っております。

善本歯科ではこれだけの種類の提供文書があります。
投稿者 yoshimoto : 07:37 AM | コメント (0)
March 30, 2006
演説をしてきました=*^-^*=にこっ♪
1ヶ月間苦しんできました歯科保険点数改正に伴う説明会を昨日須磨区歯科医師会でしてきました。
あーしんどかった。(*゚o゚*)~゚ ボー
1時間30分しゃべりっぱなしでほんと疲れました。
以前にもお話しましたが保険解釈を根本から覆すもので4月1日から歯科を受診する患者様は必ずいろいろな変化に気づくと思います。いい面でも悪い面でも・・・・。
たまにはこんなスーツ姿の私もかっこいいでしょ('∇^d) ナイス☆!!

♪♪d(=^‥^=)b ニャッ!ポーツマス、ポーツマス。猫ひろし、猫ひろし♪♪
なぜか講演中に猫ひろし風ポーズ。わかる人はいないかな( ´△`)アァ-
投稿者 yoshimoto : 06:45 AM | コメント (2)
March 29, 2006
ボビーワゴン
個人的な性格か、または職業柄か物に対するこだわりが私は強いです。
高い物を好むのではなく長く飽きずに使える物をいつも考え購入します。
以前お話した15年も使い続けたカバンもそうです。
今日の写真は善本歯科医院で使用しているワゴンです。
「ワゴンなんてなんでもいいや」って以前は思っていましたがこれを見て一目ぼれ、使用してみてまたまた気に入りけっきょくもう一つ買ってしまいました。
1970年に製図用のワゴンとして作られた物が広まったということです。。
検索エンジンでボビーワゴンって入力すると一杯ヒットしますよ。

投稿者 yoshimoto : 06:40 AM | コメント (0)
March 25, 2006
抜本的歯科点数改正
変な汚い乱雑な院長室の写真でごめんなさい。
今、4月からの歯科保険点数改正に伴い須磨区歯科医師会において改正内容を3月29日(水)に話さなければならないため資料の整理でてんやわんやです。
今の時間は朝の5時です。あーしんど。
歯科学術論を否定する点数改悪としか言いようがないです。
(◎`ε´◎ )ブゥーー! Boo~~!(-,-メ)ρ))

こんな分厚い本に目を通さなければなりません。
ほんとにしんどい!
投稿者 yoshimoto : 05:59 AM | コメント (4)
March 16, 2006
元スタッフ
昨日2年前に退職されたうちの元受付の白ちゃんが治療に来てくれました。
辞めたスタッフが治療に来てくれるのは院長にとって大変うれしいことです。
信頼していてくれたんだな~って・・・。ワーイヾ(´ρ`)ノ゛ワーイ
善本歯科医院の元スッタフのみなさん、遊びに来てくださいね。
ブログ人気投票へ
善本歯科医院最後の日の白ちゃんとの2ショットです。もう2年になるのか。
投稿者 yoshimoto : 07:18 AM | コメント (2)
March 15, 2006
ホワイトデー
昨日のホワイトデーにスタッフ全員に超高級タオルハンカチをプレゼントしました。
。・:*:・゚★,。・:*:・゚☆ very d(*⌒▽⌒*)b good 。・:*:・゚★,。・:*:・゚☆
・・・・・ホントハ、ヤスモノダケドネ。ヾ(~∇~;) コレコレ
でもこんなプレゼントでも今のスタッフは大変喜んでくれました。喜んでもらえると大変うれしいですね。これからも宜しく。((^┰^))ゞ テヘヘ
ブログランキングへの投票お願いします。
投稿者 yoshimoto : 07:23 AM | コメント (3)
March 10, 2006
診察券
診察券を新しくしました。今までの紙ではなくプラスティック製です。診察券にもホームページのアドレスを入れ、院内にもホームページ開設のポスターを貼りました。そろそろ患者様もこのブログを見てくれそうなのでぼちぼち歯科に関することも書いていきます。来月からかな・・ ブログ人気ランキングへのクリックお願いします。
投稿者 yoshimoto : 07:26 AM | コメント (6)
February 27, 2006
大先生
大正14年生まれ81歳の私の父秀知です。
まだまだ現役の歯医者です。
ほんと、脱帽です。余裕であと10年は歯医者してるでしょうね。
投稿者 yoshimoto : 12:38 PM | コメント (3)
February 25, 2006
善本歯科医院一同です
はじめまして院長の善本光広です。
今日からブログをはじめます。患者様のことを書くことはできませんのでとりとめの無いことを書いていきたいと思います。
記念すべき第1回目はスタッフの紹介です。
前列右から受付秘書・木村、衛生士・奥主、衛生士・秋田、
後列右は衛生士・玉井、後列左は技工士・小林 そして後列中央が院長の善本です。
スタッフ一同です。
あっ、すみません一人忘れてました。もう一人ドクターがいます。私の父の大先生です。
また別の機会に写真を掲載します。
これからよろしくお願い致します。
皆様の笑顔の為にがんばっていきます。